Артроз: виды, причины возникновения, симптомы, лечение
Артроз
Лечение артрозов по методу Виталия Демьяновича Гитта: какой эффект
Особенности лечения артрозов по методу Виталия Гитта. Помогает или нет? Отличия от других терапевтических подходов. О пользе упражнений.
Артроз крестцово-подвздошных сочленений: симптомы и лечение
Симптомы и лечение артроза крестцово-подвздошных сочленений. Что это такое. Как диагностировать. Список медикаментов и мази для терапии.
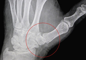
Артроз большого пальца руки: лечение медикаментами и физиотерапия
Как лечить большой палец на руке в случае артроза. Медикаменты и мази для облегчениям состояния. Перспективы полного выздоровления.
Артроз коленного сустава 4 степени: операция и восстановление
Артроз коленного сустава 4-й степени. Способы лечения и восстановления. Эндопротезирование как способ терапии.
Какой врач лечит коксартроз тазобедренного сустава: от диагностики до операции
Какой врач лечит коксартроз тазобедренного сустава зависит от стадии заболевания. Терапевт, травматолог, флеболог, ревматолог.
Лечение спондилоартроза пояснично-крестцового отдела позвоночника
Как лечить спондилоартроз пояснично-крестцового отдела позвоночника, подводная вытяжка, гимнастика, упражнения. Деформирующая форма.
Артроз 3-й степени — методы консервативного лечения без операции
Артроз 3 степени: лечение без операции невозможно. Почему не помогают медикаменты и народное лечение. Целесообразность операции.
Посттравматический артроз голеностопного сустава: симптомы и лечение
Посттравматический артроз голеностопного сустава. Причины заболевания, симптомы проявления. Способы лечения, список препаратов.
Современный подход к лечению хондромаляции коленного сустава
Что такое хондромаляция коленного сустава. Способы диагностики и и лечения. Список медикаментов и хирургических методов терапии.
Генерализованный остеоартроз: лечение первичного и вторичного типа
Особенность генерализованного остеоартроза, медикаментозные способы лечения. Как избежать операции. Советы от специалистов.
Правда о лечении остеоартроза коленного сустава 3 степени: стоит ли откладывать операцию?
Почему медикаменты не помогут. Какая существует альтернатива хирургии. Особенности 3-й степени остеоартроза коленного сустава.
Загрузить ещё
Обсуждения
По рисовой диете надо бы по подробнее - Это единственная еда за день? И нужно ли промывать рис в первых емкостях? За неделю при комнатной температуре ...
Татьяна
Питание и диета при остеохондрозе позвоночника, полезные и вредные продукты
Я бросила спортзал из за болей в суставах, пока работаю без нагрузок было терпимо, потом не смога на беговой дорожке даже заниматься ни приседания нич...
Марина
Что делать, если после тренировки болят колени: причины и лучшие способы избавиться от боли
Возможно реакция на антибиотики......
Бухтина Ольга
Реабилитация после замены тазобедренного сустава: упражнения и гимнастика
А какой диагноз у Ваших суставов?...
Бухтина Ольга
Препараты для лечения суставов — список лекарств

Артроз

Артроз — это одно из самых опасных поражений сочленений, которое без надлежащей терапии может привести к деформации, а также дисфункции сочленений. Болезнь имеет дегенеративно-дистрофический характер. В основном поражается именно хрящевая ткань, которая отвечает за амортизационные свойства суставов.

Характеризуется патология сильными болевыми ощущениями, ограничением подвижности человека, а также изменением самого сочленения (часто не обратимым). Существуют такие виды заболевания:

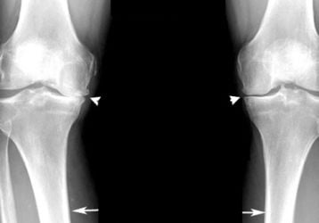
  • Гонартроз — артроз коленного сустава. Чаще всего он встречается после 45 лет, хотя в последнее время заболевание «молодеет».
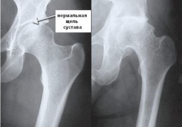
  • Коксартроз — артроз тазобедренного сустава. Данная разновидность заболевания является лидирующей.
  • Остеоартроз. Это хроническая прогрессирующая патология синовиальной части костного соединения. Она бывает генерализированной и локализованной.

Какая бы форма болезни ни была, она существенно ухудшает жизнь человека. Помимо постоянной боли, которая негативно действует на общее состояние и настроение больного, он испытывает также трудности в передвижении. Чтобы не доводить дело до оперативного вмешательства, необходимо вовремя обратиться к доктору и начать лечение.