Диагностика болезней суставов и позвоночника: анализы, рентген, УЗИ, МРТ
Диагностика
Какие анализы необходимы при артрите: виды и методы лабораторной диагностики
Какие анализы считаются необходимыми для диагностики и подтверждения артрита: анализы крови (общий, биохимический, серологический) и синовиальной жидкости.
Диагностика ревматоидного артрита: дифференциальные, лабораторные и инструментальные методы
Диагностика ревматоидного артрита: клиническая картина болезни, ранняя диагностика. Основные виды: дифференциальная, лабораторная, инструментальная.
Анализ крови при ревматоидном артрите: биохимический профиль
Анализ крови при ревматоидном артрите, C-реактивный белок, ревматоидный фактор, антицитруллиновые и антинуклеарные антитела.
МРТ плечевого сустава — как делают и расшифровка результатов
Что показывает МРТ плечевого сустава, как расшифровать результаты. Описание проведения процедуры и противопоказания к диагностике.
Визуализирующие возможности МРТ голеностопного сустава и стопы
МРТ голеностопного сустава: что это такое, что показывает, цена и особенности проведения. Список диагнозов ведущих к болевым ощущения в голеностопе.
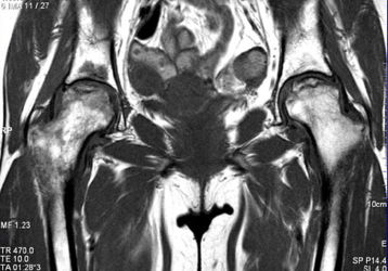
Что показывает МРТ тазобедренного сустава и всегда ли нужно его делать?
Магнитная томография тазобедренного сустава: показания и противопоказания к проведению. Что показывает обследование. Как проводится.
УЗИ тазобедренных суставов новорожденных грудничков: норма углов и расшифровка
Узи тазобедренных суставов у новорожденных грудничков. Норма углов, отклонения. Расшифровка результатов. Показания и противопоказания.
МРТ коленного сустава: что такое, что показывает, как делают
Что такое мрт коленного сустава и как делают обследование. Отличия от КТ и рентгена. Как расшифровать результаты томографии.
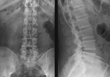
Рентген пояснично-крестцового отдела позвоночника: что показывает
Что показывает рентген пояснично-крестцового отдела. Какие проекции существуют. Примеры диагнозов видных на снимке. Как проходит процедура.
Рентгенография ТБС: особенности проведения, диагностические возможности и расшифровка
Как проводится рентген ТБС. В чем принцип лучевой диагностики. Расшифровка диагноза. Примеры снимков с разными диагнозами.
УЗИ плечевых суставов: что показывает и как делается
В чем преимущества УЗИ перед другими методами исследования плечевого сустава. Цена? Скорость исследования? Результаты обследования.
Загрузить ещё
Обсуждения
По рисовой диете надо бы по подробнее - Это единственная еда за день? И нужно ли промывать рис в первых емкостях? За неделю при комнатной температуре ...
Татьяна
Питание и диета при остеохондрозе позвоночника, полезные и вредные продукты
Я бросила спортзал из за болей в суставах, пока работаю без нагрузок было терпимо, потом не смога на беговой дорожке даже заниматься ни приседания нич...
Марина
Что делать, если после тренировки болят колени: причины и лучшие способы избавиться от боли
Возможно реакция на антибиотики......
Бухтина Ольга
Реабилитация после замены тазобедренного сустава: упражнения и гимнастика
А какой диагноз у Ваших суставов?...
Бухтина Ольга
Препараты для лечения суставов — список лекарств

Диагностика

В данной рубрике будут рассмотрены методы диагностики заболеваний суставов и позвоночника.