Артроз: виды, причины возникновения, симптомы, лечение
Артроз
Что такое хондропатия коленного сустава: основные методы диагностики и лечения
Что представляет собой хондропатия коленного сустава: описание, виды, основные признаки и методы диагностики болезни. Способы лечения, последствия, прогноз.
Восстановление хрящевой ткани коленного сустава: возможно или нет
Восстановление хрящевой ткани коленного сустава: правда и вымысел. Исследования и факты. Влияние лишнего веса и физических нагрузок.
Ложный сустав или псевдоартроз: описание, причины развития, лечение
Ложный сустав – это массивный дефект кости, который возникает из-за неправильного сращения перелома. Чаще всего он формируется в области голени. Реже поражается надколенник, ключица, ладьевидная, плечевая, лучевая, локтевая или бедренная...
Артроз плюснефалангового сустава: причины возникновения, способы диагностики и лечения
Артроз плюснефалангового сустава, как диагностировать и лечить заболевание. Основные симптомы и признаки недуга. Перечень медикаментов для терапии.
Артроз височно-нижнечелюстного сустава: симптомы и лечение заболевания. Лекарства и операция.
Лечение симптомов артроза височно-нижнечелюстного сустава. Причины и стадии разрушения хрящевой ткани. Список терапевтических методов. Медикаменты и хирургия.
Особенности диагностики и лечения остеоартроза суставов стопы
Диагностика симптомов остеоартроза стопы. Причины заболевания. Медикаментозные и хирургические способы лечения мелких суставов.
Пателлофеморальный артроз коленного сустава: симптомы и лечение
Пателлофеморальный артроз коленного сустава, что это такое. Основные симптомы и способы лечения, от лекарств до хирургии.
Коксартроз тазобедренного сустава 4-й степени: лечение и операция
Лечение коксартроза тазобедренного сустава 4-й степени невозможно без операции. Симптомы, хирургические техники и перспективы восстановления.
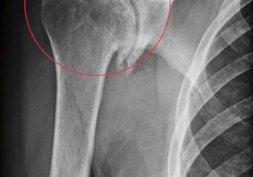
Деформирующий остеоартроз плечевого сустава: лечение 1-2-3 степени
Деформирующий остеоартроз плечевого сустава: способы диагностики, лечения и профилактики. Медикаменты, хирургия и физическая активность.
Артроз дугоотростчатых суставов поясничного отдела позвоночника: диагностика и лечение
Диагностика и лечение артроза дугоотростчатых суставов поясничного отдела позвоночника. Медикаменты, упражнения и хирургия.
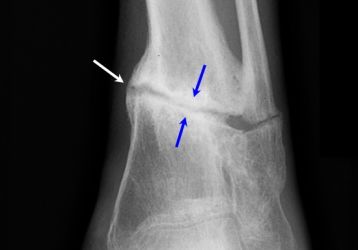
Лечение в домашних условиях артроза голеностопного сустава
Рецепты для лечения артроза голеностопного сустава в домашних условиях. Мази, кремы, гели, компрессы, физиотерапия.
Загрузить ещё
Обсуждения
По рисовой диете надо бы по подробнее - Это единственная еда за день? И нужно ли промывать рис в первых емкостях? За неделю при комнатной температуре ...
Татьяна
Питание и диета при остеохондрозе позвоночника, полезные и вредные продукты
Я бросила спортзал из за болей в суставах, пока работаю без нагрузок было терпимо, потом не смога на беговой дорожке даже заниматься ни приседания нич...
Марина
Что делать, если после тренировки болят колени: причины и лучшие способы избавиться от боли
Возможно реакция на антибиотики......
Бухтина Ольга
Реабилитация после замены тазобедренного сустава: упражнения и гимнастика
А какой диагноз у Ваших суставов?...
Бухтина Ольга
Препараты для лечения суставов — список лекарств

Артроз

Артроз — это одно из самых опасных поражений сочленений, которое без надлежащей терапии может привести к деформации, а также дисфункции сочленений. Болезнь имеет дегенеративно-дистрофический характер. В основном поражается именно хрящевая ткань, которая отвечает за амортизационные свойства суставов.

Характеризуется патология сильными болевыми ощущениями, ограничением подвижности человека, а также изменением самого сочленения (часто не обратимым). Существуют такие виды заболевания:

  • Гонартроз — артроз коленного сустава. Чаще всего он встречается после 45 лет, хотя в последнее время заболевание «молодеет».
  • Коксартроз — артроз тазобедренного сустава. Данная разновидность заболевания является лидирующей.
  • Остеоартроз. Это хроническая прогрессирующая патология синовиальной части костного соединения. Она бывает генерализированной и локализованной.

Какая бы форма болезни ни была, она существенно ухудшает жизнь человека. Помимо постоянной боли, которая негативно действует на общее состояние и настроение больного, он испытывает также трудности в передвижении. Чтобы не доводить дело до оперативного вмешательства, необходимо вовремя обратиться к доктору и начать лечение.