Коксартроз тазобедренного сустава 4-й степени: лечение и операция
Коксартроз — дегенеративно-дистрофическая патология, поражающая тазобедренный сустав. Наиболее часто он выявляется у пациентов старше 50 лет, но страдают от него и совсем молодые люди. Для коксартроза характерно постепенное развитие в течение нескольких лет. Основными причинами разрушения ТБ сустава становятся травмы, патологии воспалительного или дегенеративного характера: артриты, остеоартрозы, различные инфекции.
В медицинской классификации нет 4 степени коксартроза. Самой тяжелой считается 3 степень, сопровождающаяся необратимым повреждением тазобедренного сустава. 4 рентгенологическая стадия заболевания — полное или частичное сращение суставной щели. При таком состоянии сочленения нижняя часть тела пациента утрачивает подвижность.
Консервативное лечение направлено только на устранение симптоматики. Основной метод терапии — эндопротезирование.
Механизм развития патологии и основные причины
В ортопедической и травматологической практике коксартроз 4 степени тазобедренного сустава — самое распространенное заболевание среди всех диагностируемых артрозов. Это связано с повышенной нагрузкой на сочленение. Поражение этого сустава (врожденная дисплазия) чаще всего обнаруживается у новорожденных. От коксартроза страдают представители обоих полов, но больше подвержены разрушению сустава женщины.
В нормальном состоянии поверхность подвздошных и бедренных костей гладкая, ровная. При движении структурные элементы сустава смещаются относительно друг друга. Плавность скольжения обеспечивает густая жидкость, небольшое количество которой вырабатывается в синовиальной сумке. У здорового человека гиалиновый хрящ гладкий, упругий, прочный, правильно распределяющий нагрузки при движении. Этот слаженный процесс нарушается под действием внешних и внутренних негативных факторов:
- причинами вторичного коксартроза становятся дисплазии, врожденные вывихи, болезни Пертеса, асептический некроз бедренной головки. Патологию провоцируют инфекционные поражения и воспалительные процессы, травматические вывихи, переломы;
- причины первичного коксартроза до сих пор установить не удалось. Ученые предполагают, что к его развитию могут приводить нарушения кровообращения или повышенные нагрузки. Например, преждевременному разрушению сустава способствует подъем тяжестей, в т. ч. при занятиях спортом.
Коксартроз 4 степени развивается обычно при отсутствии врачебного вмешательства на начальной стадии. Чаще диагностируется односторонняя патология, но бывает она и двусторонней, самой тяжелой.
Заболевание не считается наследственным, но определенные особенности могут передаться ребенку от родителей. Это предрасположенность к нарушению обмена веществ, определенная структура хрящевых тканей или строение позвоночного столба.
| Факторы, провоцирующие первичный коксартроз | Основные причины вторичного коксартроза |
| Повышенные физические нагрузки — занятия силовыми видами спорта, подъем и перемещение тяжестей, избыточная масса тела | Травмирование сустава — переломы, вывихи, подвивихи, разрывы связок и сухожилий или их полный отрыв от основания кости, сильные удары, длительное сдавливание |
| Нарушения кровообращения, недостаточное поступление в тазобедренный сустав питательных и биологически активных веществ | Хронические суставные или костные патологии — остеопороз, остеоартроз, ревматоидный, ювенильный, псориатический, подагрический артрит, болезнь Бехтерева |
| Пожилой или старческий возраст, когда снижается выработка коллагена, а связки и сухожилия ослабевают | Инфицирование полости сочленения стафилококками, стрептококками, микобактериями туберкулеза, возбудителями сифилиса, гонореи, бруцеллеза |
Клиническая картина
Ведущий симптом коксартроз тазобедренного сустава 4 степени — его обездвиживание, или анкилоз. На начальной стадии патологии человек испытывает сильные боли, прихрамывает, страдает от утренней припухлости сустава и скованности движений. При сращении суставной щели все эти признаки отсутствуют. Больной утрачивает работоспособность и становится инвалидом. Но есть и некоторые особенности конечной стадии коксартроза. Полная неподвижность всегда возникает при костном сращении в функционально порочном положении. Если окостенение произошло в позиции, когда нога вытянута, то человек может передвигаться при помощи костылей, опираясь на стопу.
Существует и особый вид анкилоза, когда сращиваются не кости, а происходит разрастание фиброзной ткани. Такая форма коксартроза считается в ортопедической практике благоприятным состоянием, но при односторонней патологии. Ее клинические признаки:
- возможно небольшое сгибание и приведение ноги;
- даже при отсутствии движения в одном сочленении происходит своеобразная компенсация за счет движения таза вокруг бедренной головки здорового сустава;
- походка сильно изменяется, приобретает «вихляющий» характер.
При костном и полном фиброзном анкилозе не возникает дискомфортных ощущений при попытках передвижения. А вот артроз, при котором не произошло полного сращения суставной щели, сопровождается болями в тазобедренном суставе. Они постоянны, тревожат человека в любое время суток.
Мышцы ягодиц, бедер, голеностопа атрофированы, что становится причиной укорочения ноги. Для компенсации этого недостатка больной вынужден наклонять туловище в сторону поврежденного сочленения.
Диагностика
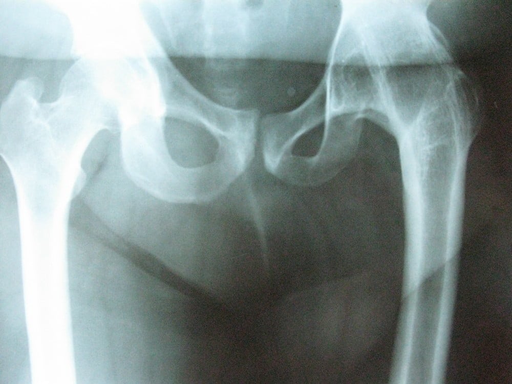
Коксартроз самой тяжелой степени устанавливается на основании ведущих симптомов, жалоб пациента. Косвенным подтверждением становятся заболевания тазобедренного сустава в анамнезе. Наиболее информативно рентгенологическое исследование. На снимках, полученных в двух проекциях, визуализируются практически все деструктивно-дегенеративные изменения:
- остеофиты — костные разрастания на краях хрящевой пластинки;
- полное или частичное сращивание суставной щели;
- деформация поверхностей костных головок;
- разряжение костных тканей при сопутствующем остеопорозе;
- формирование обызвествленных участков;
- наличие областей окостенения под гиалиновым хрящом;
- увеличенный шеечно-диафизарный угол, уплощенная вертлужная впадина при дисплазии;
- изменившаяся проксимальная часть кости бедра при заболевании Пертеса.
Послойное сканирование тазобедренного сочленения при проведении магнитно-резонансной томографии позволяет установить степень деформации хрящевых тканей. Компьютерная томография назначается пациентам для оценки состояния соединительнотканных структур: связок, сухожилий, кровеносных и лимфатических сосудов, мышечных волокон, нервов.
При необходимости врач берет пунктат для биохимического исследования. Результаты анализа покажут наличие в нем посторонних примесей и патогенных микроорганизмов.
Лечение
При коксартрозе 4 степени подвижность тазобедренного сочленения в лучшем случае минимальна, в худшем — полностью отсутствует из-за вдавливания бедренной головки в вертлужную впадину. Никакие консервативные методы лечения не способны восстановить разрушенный сустав. В нем не осталось не поврежденных хрящевых тканей, а препаратов для их регенерации пока не синтезировано.
Даже если допустить, что получится восстановить гиалиновый хрящ, это не вернет сочленению былую подвижность. Кости настолько деформированы, что нормальное функционирование тазобедренного сочленения невозможно. Коксартроз на последней стадии лечится полной заменой сустава эндопротезом. Способы хирургического вмешательства:
- эндопротезирование. Вместо поврежденного сустава устанавливается искусственный протез — металлический, полимерный, керамический;
- артродез. После разъединения костей они скрепляются хирургическими приспособлениями — пластинами, винтами, шурупами, болтами, скобами;
- остеотомия. Суставные структуры очищаются от разросшихся костных тканей и деформированного хряща. Обычно проводится перед основным хирургическим вмешательством;
- артропластика. Деформированные костные и хрящевые поверхности моделируются, что помогает сохранить двигательную и опорную функцию ноги при сращивании в благоприятном положении.
В период реабилитации пациенту показана иммобилизация конечности гипсовым лангетом или жестким ортезом. Постепенно степень фиксации снижается, назначаются физиотерапевтические процедуры, занятия лечебной физкультурой.
Консервативное лечение коксартроза 4 степени не вернет подвижность тазобедренному суставу. Его проводят только при невозможности хирургического вмешательства по каким-либо причинам. Операция — единственный способ избежать потери работоспособности и инвалидизации пациента.
Похожие статьи



