Остеофиты: особенности развития, разновидности и методы лечения
Остеофиты – это патологические костные наросты, которые локализуются в колене, пяточных костях, разных отделах позвоночника и прочих зонах опорно-двигательного аппарата.
В большинстве случаев патология протекает без ярко выраженной симптоматики, поэтому обнаружить их можно только после проведения ряда диагностических процедур.
Чтобы лучше понять, что это такое, как лечить, приведем следующие интересные факты о данных образованиях:
- Наросты способны локализоваться, как на поверхности костей, так и разрастаться непосредственно в суставной капсуле.
- Такие образования часто называют костными шпорами. Они могут развиваться на тканях костей совершенно любой структуры и типа.
- Костные наросты, которые уже полностью сформировались, обычно имеют шиповидную форму. Реже они похожи на продолговатое шило.
- Остеофиты – это образования, которые могут развиваться, как после непосредственного повреждения костей, так и возникать на фоне тяжелых хронических заболеваний (сахарный диабет и т. п.).
- От чего они появляются? Зависит от наличия у человека конкретных сопутствующих патологий. Причины возникновения в большинстве случаев внутренние (связаны с нарушением функций организма).
- Данные образования способны быть, как множественными, так и одиночными. Это определяется первопричиной болезни и ее запущенностью.
Код по мкб 10 (международная классификация заболеваний) – это M25.7.
Общие симптомы и характерные признаки
Характерные симптомы:
- боль; может иметь тупой, давящий или колющий характер;
- нарушение подвижности конечности или спины, которое будет развиваться постепенно — в течение нескольких недель или даже месяцев;
- деформация;
- отек.
В самом начале развития патологии человек не ощущает боли, поэтому к врачу обращаться не спешит. Только по мере прогрессирования болезни, когда наблюдается выраженный дегенеративный процесс и разрушение хряща, больной будет испытывать первые неприятные ощущения.
Пациент ощущает боль колющего или ноющего характера, которая еще больше обострится при сдавливании остеофитами нервных окончаний. Болезненность может возникать во время движения. Реже она появляется при кашле или чихании.
Боль при развитии патологии часто отдает в соседние суставы, что усложняет понимание симптомов и диагностику болезни. Если наросты локализуются в позвоночнике, развиваются вторичные симптомы в виде головной боли, головокружения, нарушения зрения, шумов в ушах и т. п. Все это происходит по причине передавливания костными наростами сосудов.
Когда остеофиты разрастаются до достаточно крупных размеров, наблюдается нарушение подвижности сустава из-за блокирования суставных движений костными образованиями.
Из-за утолщения суставной капсулы наблюдается контрактура. Больной уже не может нормально передвигаться, особенно если остеофиты развиваются в суставах ног.
При запущенном заболевании (на третьей стадии остеоартроза) у человека развивается деформация сустава по причине выраженного увеличения остеофитов, которые принимают на себя нагрузку самого сустава. Происходит тотальное разрушение хряща.

Дополнительные признаки:
- отек;
- покраснение кожи;
- нарушение походки, хромота (при поражении коленей, бедренной кости, стоп).
Диагностика
Перед тем как лечить патологию, важно выявить ее, обнаружить первопричину и степень запущенности. Установление диагноза опирается на жалобы больного и осмотр врача, для подтверждения заболевания показаны обследования:
- УЗИ-диагностика для оценки состояния мягких тканей сустава и наличия жидкости.
- Лабораторные исследования: общие клинические анализы крови и мочи, кровь на уровень сахара, гормональный фон, холестерин и биохимию.
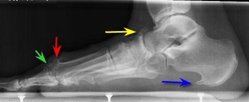
- Рентгенография. При выявлении наростов эта диагностическая мера обязательна, т. к. на рентгене можно увидеть точную локализацию, размер костных наростов, вид и степень поражения. Крупные наросты по форме очень похожи на птичьи клювы.
- КТ для исследования мягких тканей.
- МРТ для выявления остеофитов используется редко. Назначают при затрудненном диагностировании заболевания, когда врачу нужно дополнительное подтверждение состояния тканей и костей сустава.

Иногда лечащий врач назначает проведение артроскопии.
Лечение остеофитов
Традиционные методы терапии:
- Медикаментозное лечение: антибиотики, кортикостероиды, прочие группы препаратов. Растворяют остеофиты далеко не все лекарства, поэтому нужно четко соблюдать врачебные назначения.
- Оперативное вмешательство (удаление наростов хирургическим путем).
- Физиотерапия.
Перед тем как разрушить наросты и избавиться от них полностью, важно правильно подобрать курс терапии: от него будет зависеть конечный исход болезни. Заниматься подбором плана лечения должен лечащий врач.
Рассмотрим каждый метод лечения и клинические рекомендации более детально.
Эффективность народных средств
Замедлить развитие патологии, нормализовать самочувствие помогут рецепты народной медицины:
- Взять три ложки боярышника и залить 200 мл кипятка. Настоять, принимать перед едой.
- Ложку бузины залить 300 мл кипятка. Проварить в течение десяти минут, процедить, пить по трети стакана дважды в день.
- Принять теплую ванну, приложить к больному суставу чайный гриб или бинт, пропитанный его настоем. Закутать конечность пленкой и платком. Оставить на ночь. Средство помогает снять боль.
- Измельчить и смешать 1 лист лопуха и 10 листьев подорожника, ингредиенты распарить на водяной бане. Приложить к суставу, фиксируя пленкой и платком (или теплым одеялом).
- Смешать ложку цвета сирени и 150 мл водки. Настоять в течение недели. Процедить, применять для растираний суставов.
- Взять три ложки сабельника и столько же ромашки. Залить 0, 5 л воды. Довести до кипения, процедить, охладить. Принимать по ложке два раза в день.
- Подготовить 100 мл оливкового масла и добавить в него по 10 капель масла маты, эвкалипта и чайного дерева. Использовать для растираний.
Принимать пероральные народные средства от остеофитов противопоказано при заболеваниях ЖКТ и беременности. Что касается местных рецептов, то их нельзя использовать при открытых ранах, гнойных очагах, активных инфекциях или недавно перенесенных операциях. Подобные смеси не применяются при индивидуальной непереносимости ингредиентов.
Остановить разрастание остеофитов народными средствами полностью невозможно, однако эти рецепты облегчают состояние человека, уменьшить воспаление и боль. Чтобы такие средства не оказали обратного эффекта, перед использованием нужнопроконсультироваться с лечащим врачом.
В запущенных случаях назначаются таблетки или операция (удаление наростов лазером).
Клювовидные остеофиты
Главная причина образования клювовидных остеофитов в позвоночнике — прогрессирование спондилеза. Патологические наросты локализуются в передней области позвонков.
Из-за неравномерной продолговатой формы в виде скоб (по передним контурам th8 th9) при первичной диагностике врач может подумать, что это рак.
Избавиться от клювовидных наростов позвоночника можно с помощью хирургического вмешательства или терапии лекарствами. Неплохие результаты показывает физиотерапевтическое лечение.
Чем отличаются остеофиты от спондилоартроза? Оба заболевания неразрывно связаны между собой: первично развивается артроз, который приводит к воспалению и разрушению хрящей суставов. Остеофиты возникают, как осложнение болезни.
Остеофиты позвоночника
Обычно они вызваны деформирующим спондилезом, провоцирующим осложнения. Перед тем как избавиться от них, убрать наросты, следует понять, что они собой представляют.
Остеофиты в позвоночнике имеют вид отростков. Для них характерно перерождение связок позвоночника в костную структуру, резкое ограничение подвижности спины.
Перед лечением нужно пройти все необходимые диагностические процедуры. Традиционное лечение — медикаментозное и хирургическое. Может практиковаться терапия народными средствами и физиопроцедуры.
Где лечат остеофиты? В частных или государственных отделениях хирургии, ортопедии и ревматологии.
Лечение поясничного отдела позвоночника
Остеофиты в зоне поясницы сопровождаются такими симптомами:
- нарушение половой функции;
- сбои функций кишечника и мочевого пузыря;
- онемение конечностей;
- тупая боль в пояснице, отдающая в ногу.
В отличие от шейных или грудных наростов, образования в области поясницы редко когда являются кальцитами, т. е. скапливают в себе соли кальция.
Поясничные наросты (передние, клювовидные и т. п.) провоцируют тяжелые осложнения, поэтому к лечению стоит подходить максимально серьезно.
Для облегчения состояния при наростах в пояснице часто используется физиотерапия — комплекс методов лечения с применением разных видов воздействия.
Наиболее эффективные физиопроцедуры:
| Название процедуры | Действие и эффективность |
| Иглоукалывание | Практикуется при спондилезе для купирования повышенного мышечного тонуса суставов и позвоночника. Эффективно устраняет болезненность, способствует расслаблению тела |
| Массаж | Улучшает кровообращение в больном суставе, повышает тонус мышц, снимает напряжение. Можно использовать лечебные масла для растираний суставов |
| Лечебная физкультура | Укрепляет мышцы и связки, улучшает подвижность сустава. Выполнять ЛФК можно только при отсутствии противопоказаний |
| Лечебные ванны | Нормализуют процессы восстановления тканей, улучшают кровообращение. Имеют противопоказания, поэтому назначает только врач |
| Электрофорез | Воздействие на больную часть сустава электрическими токами для улучшения проводимости лекарственных средств, снижения боли |
| Лазерная терапия | Активизирует процессы регенерации в тканях, улучшает кровообращение |
Физиопроцедуры разрешены не всем. Прямые противопоказания:
- онкологические патологии;
- гипертония;
- беременность и лактация;
- острая сердечная или печеночная недостаточность;
- недавно перенесенные оперативные вмешательства;
- обильные кровотечения;
- атеросклероз;
- обострение аллергии или инфекционных болезней.
Краевые разрастания
Краевые костные остеофиты выявляются у пациентов наиболее часто. Патология позвоночника сопровождается разрастанием костной ткани на теле позвонков. Внешне они похожи на шипы или бугры, характеризуются крупными размерами и быстрым разрастанием, бывают задними, передними или боковыми (исходя из конкретного места локализации).
Помимо спондилеза, вызвать их могут субхондральный склероз, онкологические патологии костей или молочной железы. Иногда они развиваются на фоне доброкачественных опухолей.
Частые признаки краевых остеофитов позвоночника и прочих суставных поверхностей:
- головные боли;
- нарушение внимания;
- снижение зрения;
- звон в ушах;
- боль при ходьбе (при локализации наростов в коленном суставе или на пятке у ребенка);
- нарушение сна;
- иррадиирущие боли;
- сердечные боли (при небольших наростах в шейном отделе или грудном).
Лечение зависит от локализации и запущенности болезни. Врачи учитывают даже размер нароста (больше 06 мм или нет).
Образования коленного сустава
Остеофиты в колене возникают после перенесенной травмы или инфекции. Характерные симптомы:
- Сильный хруст.
- Слабость.
- Нарушение подвижности колена.
- Боль — длительная, ноющая.
- Ухудшение общего самочувствия.
Как лечить и как убрать остеофиты колена, решает врач.
В начальных стадиях костные наросты неплохо поддаются медикаментозной терапии и лечению народными средствами, в запущенном состоянии может потребоваться хирургическое удаление остеофитов или тотальная замена сустава.
Эндопротезирование — это установка искусственного импланта на место пораженных костей.
Приступать к лечению остеофитов колена нужно сразу после выявления заболевания, иначе болезнь начнет прогрессировать, что грозит полной потерей возможности передвигаться без костылей.
Остеофиты в шейном отделе
Остеофиты в шейном отделе могут долго оставаться незамеченными и проявляться только в виде хруста и боли в шее и затылке.
Именно с такой локализацией они наиболее опасны, так как при отсутствии своевременно начатой терапии передавливают важные кровеносные сосуды. Это грозит инсультом и нарушениями в ЦНС. Лечение остеофитов в шейном отделе часто требует использования анальгезирующих и противовоспалительных препаратов.
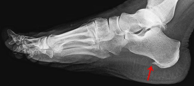
Шипы пяточных костей
Остеофиты на пятке (по МБК 10 болезнь имеет номер M25) развиваются вследствие нарушения кальциевого обмена либо по причине воспалительных процессов в стопе. Пяточные наросты диагностируются у 50 % людей с тяжелыми заболеваниями позвоночника или суставов.
Симптомы и лечение остеофитов на пятке определяются степенью запущенности патологии и ее первопричиной. Терапия для таких пациентов — только комплексная.
Если остеофиты не мешают человеку ходить, не вызывают сильной боли, для облегчения состояния можно лечиться народными средствами.
При крупных остеофитах, поражающих пяточную кость и мягкие ткани, показано хирургическое лечение (можно практиковать в Израиле и других странах). Однако хирургическое лечение очень болезненное и не всегда может полностью избавить от патологии.
Остеофиты тел позвонков: что это такое
Передние или задние остеофиты позвоночника – это образования, которые возникают при разрастании костной ткани непосредственно по самим позвонкам; могут иметь разную форму и размер и быть похожими на шипы, горбики и т. п.
Основные причины возникновения костных наростов на позвонках:
- Воспалительные процессы, которые привели к остеомиелиту. Это заболевание постепенно провоцирует выраженное поражение всех костных структур.
- Остеомиелит способен возникнуть вследствие поражения туберкулезом или опасными стафилококковыми бактериями. Механизм его развития прост: у взрослых больных он обычно возникает на фоне открытого перелома кости. В рану попадают бактерии, которые и способствуют началу длительного воспалительного (нередко и гнойного) процесса.
- Если перелом является линейным, воспаление ограничится только зоной поражения кости. Если же повреждение имеет оскольчатый характер, инфекция распространится на всю область кости — так создаются все условия для конечного образования костных наростов.
- Дегенеративные заболевания костей. Развиваются из-за чрезмерных физических нагрузок, часто выявляются у пожилых людей (из-за физиологических нарушений).
- Наиболее частая причина — спондилез и остеоартроз. Во время деформирующего спондилеза у больного поражаются межпозвоночные диски, а через время образовываются остеофиты поясничного, грудного или шейного отделов.
- Механизм развития: во время поражения межпозвонковых дисков они деформируются. Происходит перерождение тканей и появление патологических наростов.
- Второе частое дегенеративное заболевание костей — остеоартроз. Патология приводит к обширному поражению хрящевой ткани суставов. Вызвать такую болезнь способна травма, врожденные дефекты строения сустава или воспалительный процесс в анамнезе.
- В самом начале развития остеоартроз поражает только жидкость, которая питает хрящ. По мере прогрессирования патологии дегенеративные изменения наблюдаются и в самом суставе, из-за чего он больше не выдерживает сильных физических нагрузок.
- Образование наростов при остеоартрозе наблюдается на второй стадии болезни, когда происходит полное разрушение хрящей.
- Долгое пребывание в одном положении (стоячем или сидячем), когда суставы подвергаются сильной нагрузке. Это повышает давление на хрящ и провоцирует деформацию.
- Процессы разрушения превышают регенерацию тканей. Вся нагрузка оказывается на кость, которая дает толчок к развитию остеофитов.
- Онкологические патологии. Патологические наросты возникают при доброкачественных и злокачественных раковых образованиях.
- Эндокринные сбои. Чаще всего развитию остеофитов способствует акромегалия. Заболевание возникает по причине увеличения выработки гормона роста. Первопричина — развитие в передней области гипофиза доброкачественной опухоли.
- У человека с множественными мелкими или крупными краевыми остеофитами позвонков наблюдается выраженное искривление позвоночника и увеличение массы тела. Хрящи из-за воздействия нагрузок не справляются со своими задачами и разрушаются.При отсутствии лечения у больного развивается остеоартроз, который и приводит к патологическим наростам.
Костные наросты тазобедренного сустава
Причины образования остеофитов тазобедренного сустава:
- генетическая предрасположенность;
- отсутствие физической активности;
- травмы костей;
- лишний вес;
- воспалительные дегенеративные патологии (лечение будет наиболее сложным).
Частая причина остеофитов такого сустава — запущенная форма остеоартроза. На начальных этапах размер остеофитов не будет превышать 1-2 мм, однако наросты способны увеличиваться до 5 мм и приобретать заостренную форму.
Перед тем как лечить такие образования, человеку нужно выявить первопричину патологии.
Что такое костные образования
Исчезают ли со временем костные образования, стоит ли их вообще лечить? Врачи советуют начинать лечебную терапию уже при выявлении мелких остеофитов: при отсутствии вовремя принятых мер образования начнут поражать все большие участки здоровой кости, увеличиваться в размерах, устранять их после этого будет еще сложнее.
Сами по себе (без лечения) рассасываться остеофиты не могут: это не мягкие ткани, особенно если они крупные.
Изменения в стопе
Остеофиты стопы локализуются на пяточной кости. Провоцирует данное состояние пяточная шпора. Реже такие образования размещаются в области пальцев. Симптомы остеофитов голеностопном суставе: деформация, боль во время ходьбы.
Помимо терапии остеоартроза стопы таблетками, удаления остеофитов лазером и оперативным вмешательством, лечить их можно с помощью специальных фиксаторов и стелек. Часто используется тейпирование (накладывание лент для закрепления связочного аппарата), применение ночных ортезов.
Остеофиты плечевого сустава
Остеофиты плечевого сустава возникают вследствие ранее перенесенной травмы либо по причине прогрессирования дегенеративных поражений суставов рук. Образования могут локализоваться, как в одном, так и сразу в обоих плечевых суставах человека.
Гораздо легче предотвратить развитие остеофитов, нежели потом проводить их удаление лазером или прочими методами. Для этого важно придерживаться рекомендаций специалистов:
- Отказаться от пагубных привычек: курения, приема спиртных напитков.
- Оберегать себя от травм и ушибов суставов (кистей рук, локтевого сустава и т. п.).
- Своевременно лечить заболевания, вызвающие развитие остеофитов. Особенно важно вовремя устранять гормональные сбои в организме, проблемы с почками, различные эндокринные нарушения.
- Ежегодно проходить профилактический осмотр у врача и сдавать анализы, даже если нет значительных ухудшений в состоянии.
- При появлении первых признаков остеофитов (скованность в суставе по утрам, боль) как можно скорее обратиться к доктору и провести диагностику.
- Придерживаться здорового и хорошо сбалансированного питания.
- Купировать инфекционные или воспалительные процессы в организме.
- Поддерживать стабильность хронических патологий.
- Пользоваться защитными накладками на суставы при занятиях опасными видами спорта.
- При длительной работе за компьютером нужно сидеть ровно и не допускать неправильного положения суставов, которые могут ухудшить состояние седалищной кости.
- Ежедневно заниматься физкультурой. Это может быть обычная зарядка или гимнастика. Также отлично подходит йога, бег, плавание, катание на велосипеде.
- Контролировать массу тела, не допускать ожирения.
Медикаментозная терапия
Что растворяет остеофиты, какой препарат сможет полностью разрушать данные образования? Чтобы избавиться от остеофитов, нужно пройти комплексное медикаментозное лечение с применением нескольких препаратов.

Традиционный курс:
- Противовоспалительные лекарства для купирования боли (НПВС) — устраняют отек, воспаление, снижают болезненность. Лучшими являются Диклофенак, Флексен, Кетопрофен, Индометацин в виде таблеток, мазей, гелей.
- Хондропротекторы — улучшают обмен веществ и способствуют восстановлению суставной поверхности. Для этой цели могут назначаться препараты Хондроитин, Глюкозамин и Румалон.
- Анальгетики — от боли (Анальгин, Но-шпа).
- Миорелаксанты — назначаются для расслабления мышц.
- Для улучшения кровообращения применяется препарат Трентал.
- Витаминные средства. Особенно полезны витамины группы В.
Если больной страдает от ожирения, во время терапии нужно перейти на диетическое питание, чтобы ускорить прогресс от лечения.
Оперативное лечение
Оперативное лечение при остеофитах применяется только в запущенных случаях, когда медикаментозная терапия не эффективна.
Показания к операции:
- полная потеря двигательных функций сустава;
- сужение позвоночного канала;
- сдавливание спинного мозга и нервных корешков.
При костных наростах в позвоночнике используется операция с декомпрессией, во время которой человеку удаляют пораженные позвонки.
Если остеофиты поразили сустав конечности, проводится эндопротезирование сустава (колена или тазобедренного сустава) под общим наркозом. Больной сустав удаляется, а на его место устанавливается металлический аналог.
Недостаток такого вмешательства — риск осложнений:
- Кровотечение.
- Инфекционное поражение.
- Развитие некроза.
- Поражение нервных волокон с нарушением чувствительности либо (в более тяжелых случаях) параличом конечности.
- Сильные боли.
Существенны и другие недостатки операции — вредный наркоз и прием антибиотиков в послеоперационный период.
Противопоказания к оперативному вмешательству:
- тяжелые заболевания сердца в период обострения;
- заболевания дыхательной системы;
- тромбофлебит;
- ВИЧ-инфекция;
- инфекционные процессы в больном суставе.
Похожие статьи
















