Выбираем эндопротез коленного сустава: срок службы, материалы, цены
Процедура по замене коленного сустава — действенный способ восстановления подвижности конечностей, утерянной по ряду причин. Часто этот метод – единственное, что поможет при сильных травмах. Эндопротезирование практикуется, если консервативная терапия не дает результатов, а пациент испытывает сильную, непрекращающуюся боль, что негативно сказывается на психологическом состоянии.

На медицинском рынке нет недостатка в производителях, выпускающих коленные протезные устройства. Несмотря на единую цель – заменить больную кость, устранить болезненность, каждый из имплантатов имеет ряд отличий. Разработчики предлагают модели с различными функциями, размерами, уровнем активности пациента. Для успешности процедуры замены важно выбрать оптимальный протез.
Процесс выбора имплантата
Проявите интерес к процессу подбора устройства, вживляемого в ваше тело. На рынке их представлено около 150 видов. Консультирующий хирург должен ответить на имеющиеся вопросы, подвести к выбору идеального протеза, соответствующего возрасту, весу, особенностям анатомии, активности пациента.
Производители обучают и поддерживают специалистов, применяющих на практике их продукты. Возможно, у оперирующего хирурга не будет опыта в установке выбранного вами приспособления.

Учитывайте, что некоторые виды устройств сочетаются только с определенными хирургическими методами. Если вы выбрали малоинвазивную хирургию, придется сузить выбор хирургов и доступных имплантатов.

Каким должен быть идеальный коленный эндопротез?
- Делает доступным обычный диапазон движений;
- носится 15-20 и более лет;
- имеет отличные отзывы, используется на практике минимум 5-10 лет;
- отвечает вашему состоянию, потребностям, любым дополнительным требованиям (например, подходит для людей с аллергией на никель);
- бренд, стиль выбранного устройства знакомы оперирующему хирургу.

Компоненты коленного эндопротеза
Естественный коленный сустав состоит из трех отсеков:
- медиального (внутренняя сторона колена);
- бокового (внешняя сторона);
- бедренного (под коленной чашечкой).
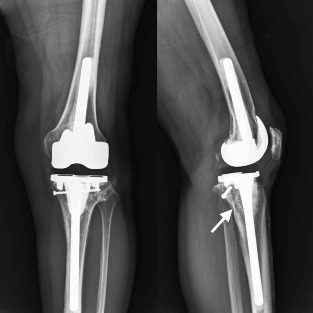
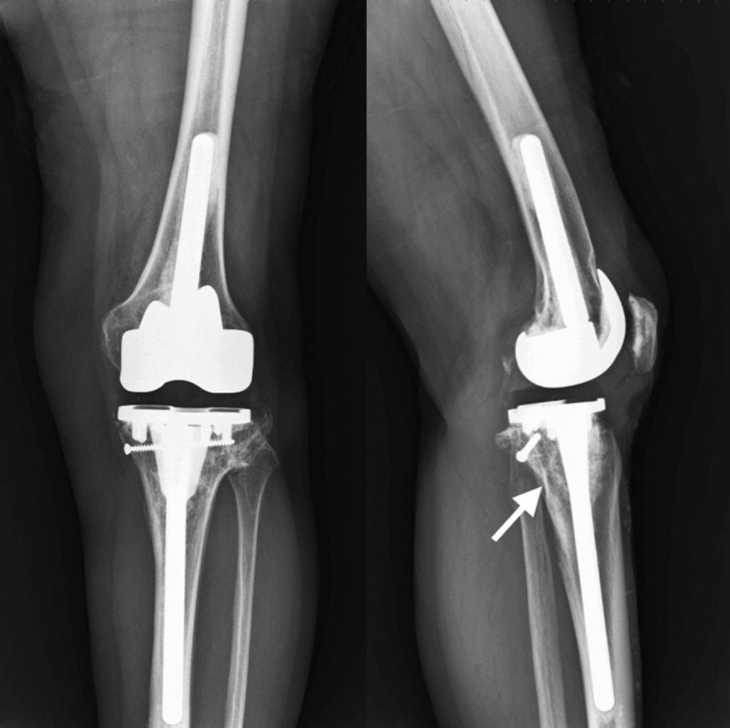
При полном эндопротезировании замене подлежат все три отсека, при частичном – только один из них. Большинство искусственных имплантатов состоят из четырех компонентов:
Частичное и полное эндопротезирование колена.
- Большеберцовый компонент. Плоский элемент, закрепляемый к верхней части голени. Изготавливается в виде металлической платформы с полиэтиленовой (пластиковой) вставкой. Материалом для изготовления — мягкий металл, например, титановый сплав.
- Бедренный компонент – крупная, изогнутая часть имплантата, закрепляемая в бедренной кости. Изготавливается из металла или керамики, чаще из прочных сплавов кобальта и хрома, потому что эта часть участвует в большинстве движений.

- Коленный компонент – куполообразная часть, заменяющая поврежденную коленную чашечку, трущуюся о бедренную кость. Используется не при всех видах суставной хирургии, изготавливается из полиэтилена (прочного пластика).
- Пластиковая прокладка. Располагается между большеберцовой и бедренной частью. Изготавливается из пластика (полиэтилена). Эта гибкая распорка обеспечивает гладкую, скользящую поверхность для обновленного коленного сустава, позволяет ему изгибаться и гнуться.
Классификация эндопротезов
Существует целый ряд факторов, различающих коленные имплантаты между собой. Беседа с оперирующим хирургом поможет понять, какой из них подойдет вам.
Конструкция
- Протез с фиксированной опорой. Традиционный тип эндопротеза, используется для пожилых пациентов, ведущих малоактивный образ жизни. Большеберцовый компонент изготавливается из полиэтилена, прикрепляется к нижней металлической детали. Бедренный компонент обладает мягкой поверхностью. У пациентов с подобными имплантатами диапазон доступных движений расширяется на 20-50%;
- подвижный подшипниковый протез. Обеспечивают колену дополнительные градусы вращения по сравнению с предыдущим вариантом. Мобильность обеспечивается за счет полиэтиленовой вставки. Этот тип эндопротеза требует поддержки со стороны окружающих его мягких тканей, в том числе связок — так уменьшается риск вывиха. Исследования показывают примерно одинаковую эффективность обоих типов протезов, однако врачи предпочитают использовать эту разновидность для более молодых, активных пациентов. Процедура установки требует большого практического опыта хирурга.
Материал
Протезы могут различаться не только конструкцией, но и используемыми материалами. Большинство из них состоят из нескольких компонентов, различных по медицинскому классу.
Металлические части состоят из титана или кобальт-хромовых сплавов, известных своей прочностью, стабильными (инертными) химическими свойствами, отсутствием взаимодействия с человеческим телом.
В ряде случаев у пациентов могут наблюдаться аллергические реакции на некоторые металлы.
Перед тем как лечь на хирургический стол, обязательно следует пройти диагностическое обследование, выявить общее состояние организма, наличие скрытых и явных аллергических реакций.
Полиэтилен с высокой молекулярной массой – распространенный материал для изготовления пластиковых компонентов. Его широкое распространение объясняется способностью плавного скольжения в пределах механического соединения, имитирующего естественные движения коленного сустава.

При выборе имплантата имеет значение биосовместимость. Важно, чтобы ваше тело не отвергало материалы, входящие в состав протеза. Искусственный элемент должен длительное время выдерживать вес и нагрузки тела, продолжая нормально сгибаться.
Тип фиксации
В хирургии используется два основных метода, обеспечивающих фиксацию имплантата с костями, позволяя им двигаться, как единое целое:
- цементный. На эндопротезе есть поверхность, на которую накладывается специальный костный цемент для надежного сцепления с костями. Соединение успешно используется для всех типов замены коленного сустава. У некоторых молодых и более активных пациентов наблюдались проблемы ослабления цементного состава, однако этот материал в последнее время доработан и улучшен;
- бесцементный. Имплантаты имеют специальную текстурированную, пористую поверхность, через которую костная масса свободно прорастает во внутреннюю полость эндопротеза. Винты и штифты стабилизируют соединение, пока не произошло врастание. При установке приспособления требуется более длительный период восстановления. Не применяются для пациентов с остеопорозом, поскольку врастающая кость должна быть в хорошем состоянии.
Некоторыми хирургами используется гибридный метод с элементами обоих типов фиксации, однако он применяется при тазобедренном эндопротезировании.
Гендерные имплантаты
Производители разрабатывают имплантаты на основании усредненных размеров. Это обычно сужает выбор до 2-3 подходящих протезов. Однако некоторые компании, например, Zimmer и Biomet, производят модели, различаемые по признаку пола. По их словам, продукция позволяет учитывать и корректировать анатомические различия между мужчинами и женщинами.

Не существует убедительных доказательств большей эффективности гендерных эндопротезов. Многие эксперты уверены, что такой подход – не более чем маркетинговый ход, призванный повысить продажи.
Особенности устройств и их производители
По данным ВОЗ, частичное эндопротезирование колена подходит лишь 10% пациентов. Решение об оптимальном для вас методе лечения принимается хирургом.
Факторы, определяющие правильность выбора имплантата:
- доступный диапазон движений (максимальное сгибание, разгибание);
- настраиваемость (размер, форма, половые различия);
- стабильность;
- уровень активности пациента.
Обсудите с хирургом важные функции, уточните, какой именно тип устройства максимально отвечает потребностям, анатомии, типу заболевания. Решающие факторы — успешность эндопротеза, длительность его эксплуатации во врачебной практике и срок использования.
Самые популярные модели и производители
| Тотальное | Мобильный подшипник | Zimmer: The NexGen® LPS-Flex Mobile и LPS-Mobile Bearing Knees | Обе системы позволяют искусственному суставу сгибаться и свободно вращаться. Используются металлические компоненты: присоединяемый к концу бедренной кости, заменяющий верхнюю часть голени. Эндопротезы включают пластиковую суставную поверхность, свободно прикрепленную к опорной плите, выполняющую роль искусственного хряща. Обеспечивают 155⁰ активного сгибания и 25 градусов беспрепятственного внутреннего / внешнего вращения. Для фиксации используется костный цемент |
| The Zimmer Gender Solutions® Patello-Femoral Joint | Предназначен для активных пациентов, позиционируется, как вариант раннего вмешательства. Позволяет сохранить большие участки костей, требует меньшего разреза. Использование данного имплантата требует от хирурга умения обращения со специальными инструментами, знание минимальноинвазивных техник. В эндопротезе учтены гендерные различия, специальная форма его компонентов более точно отражает особенности женской и мужской анатомии. Предполагает 35 различных вариантов проклейки | ||
| DePuy Sigma® Rotating Platform Knees | Подразумевает установку подвижного подшипника, опирающегося на поворотную платформу, что позволяет имитировать естественные движения колена. Конструкция обеспечивает снижение внутреннего напряжения и износа, поэтому эксплуатируется он дольше, чем аналоги. По статистике, в мире имплантировано около 1 млн. подобных эндопротезов, 97% которых используются более 20 лет | ||
| Неподвижная опора | DePuy Sigma® Fixed-Bearing Knees | Используется износостойкий полиэтилен и передовые металлические компоненты, которые не вызывают отторжения в 99,6% случаев после 5 лет эксплуатации | |
| Smith & Nephew OXINIUM ® | Протез с высоким уровнем износостойкости. Изготавливается из металлического циркония, что делает его более стойким к истиранию и царапанью. При проведении испытаний было отмечено уменьшение износа полиэтилена на 85% по сравнению с кобальт-хромовыми материалами, используемыми в других имплантатах | ||
| Stryker Triathlon® Total Knee Replacement System | Этот тип искусственного сустава предназначен для работы с телом. Дает хорошие результаты по возврату двигательной активности после операции. Конструкция устройства позволяет имплантату сгибаться, расширяться, вращаться аналогично естественному колену | ||
| Biomet Vanguard® Complete Knee System | Устройство, подстраиваемое под конкретные особенности анатомии пациента. Предполагает высокую степень сгибания (около 145⁰), доступен в 90 типоразмерах, 10 вариантах размеров бедренной кости | ||
|
Частичное |
BioMet Oxford ® Knee | Устройство, предназначенное для пациентов с ограниченным (медиальным) артритом. В протезе используются подвижные пластиковые подшипники, имплантируется только с одной стороны. Позволяет удалять на 75% меньше костей и хрящей, поэтому процедура его установки менее болезненна, а скорость восстановления выше. Клинические испытания показывают 98% успеха после 10 лет ношения и 95% — после 15 лет | |
| DuPuy Sigma® High Performance Partial Knee | Предназначен для активных пациентов, для которых требуется высокая степень сгибания, но еще не наступило время полного эндопротезирования. Позволяет становиться на колени, приседать, сидеть со скрещенными ногами. Хирург использует любой из его компонентов по отдельности для замены нужного отсека колена. Сохраняет максимум неповрежденной площади родного колена. | ||
Срок службы эндопротеза
Срок эксплуатации искусственного коленного сустава составляет 10-30 лет. Зависит он от качества используемого материала, типа протеза, применяемой методики, периода реабилитации, соблюдения пациентом правил эксплуатации и предписаний врача, наличия повторных травм, веса пациента. Лучшие отзывы получили титановые сплавы; гарантийный срок таких протезов — 15-20 лет.

75% пациентов пользуются искусственным протезом на протяжении всей жизни без необходимости замены.
Онкологический эндопротез
Бедренная и большая берцовая кость часто становятся местом развития опухолей, онкологических заболеваний. Раньше такой диагноз считался однозначным противопоказанием к процедуре эндопротезирования, но производители разработали онкологические эндопротезы, обеспечивающие выдающиеся результаты даже при наличии обширных костных дефектов.

Костные отделы подвергаются резекции, заменяются на искусственные имплантаты. Если заболевание пациента носит злокачественный характер, устройства позволяют сохранить ему жизнь, вернуть подвижность.
Отечественные протезы
Говоря о российской практике эндопротезирования, отметим наличие ряда центров с опытными хирургами, проводящими свыше 1000 операций в год. Такой прорыв обеспечен федеральной программой финансирования операций. Поэтому утверждение, что хороших хирургов можно найти только за границей, не соответствует действительности.
К сожалению, нельзя то же самое сказать об имплантатах. Несмотря на проводимые разработки, отечественные эндопротезы уступают импортным по качеству, надежности, хотя остаются в одном с ними ценовом сегменте.
Подойдите к выбору подходящего имплантата ответственно, изучите информацию о доступных моделях, и вы обязательно подберете подходящий вид. Учитывайте мнение оперирующего хирурга, собственную активность, отзывы о предлагаемых моделях и успешности протезирования. При таком подходе продолжительный срок эксплуатации и ваше хорошее самочувствие гарантировано!
Похожие статьи





