Заболевания и боли голеностопного сустава: причины, симптомы, лечение
Записи с меткой «Голеностопный»
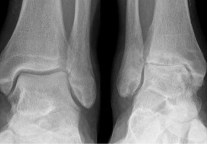
Артроз голеностопного сустава (голеностопа): симптомы и лечение, причины, описание болезни
Что такое артроз голеностопного сустава: симптомы и лечение, причины развития болезни. Диагностические мероприятия, профилактика крузартроза голеностопа.
Растяжение связок стопы: лечение, причины, симптомы, что делать при растяжении
Что делать при растяжении связок стопы, причины и симптомы травмы. Первая помощь при растяжении, чего не стоит делать. Лечение растяжения связок стопы.
Болит сустав большого пальца на ноге: чем лечить и как, причины появления боли
Почему болит большой палец на ноге в суставе, как и чем лечить такую боль. Причины появления болезненных ощущений в пальцах ног.
Болит косточка на ноге около большого пальца: лечение, причины и симптомы заболевания, как лечить недуг
Причины и симптомы появления косточки на большом пальце ноги. Развитие болезни, как лечить косточку у большого пальца на ноге: различные методы лечения.
Почему болит пятка при ходьбе: причины болей в пятке после сна, методы лечения
Почему болят пятки при ходьбе: причины появления боли, симптомы заболеваний вызвавших болевые ощущения. Методы лечения боли в пятке при ходьбе.
Артрит голеностопного сустава: симптомы и лечение, причины, виды, фото
Что представляет собой болезнь, артрит голеностопного сустава: симптомы и лечение, причины, диагностика. Правильное лечение артрита голеностопного сустава.
Как и чем лечить подагру на большом пальце ноги: медикаментозное и народное лечение, диета
Чем и как лечить подагру на большом пальце ноги, причины и симптоматика заболевания. Медикаментозное лечение, народные средства, диета и профилактика.
Что такое артроз стопы — симптомы и лечение, причины, как лечить заболевание ног
Что такое артроз стопы и как его лечить, причины развития заболевания и характерные симптомы. Степени патологии, диагностика. Комплексное лечение артроза стопы ног.
Фиксатор для большого пальца ноги — описание, разновидности, применение
Зачем нужен фиксатор косточки на большом пальце ноги, описание изделия и принцип действия. Разновидности фиксаторов, применение и эффект от их использования. Отзывы потребителей.
Голеностопный ортез: как выбрать, классификация, показания к применению
Ортезы для голеностопа: показания к использованию фиксатора, классификация. Как выбрать ортез на голеностопный сустав и как долго следует его носить.
Плоско — вальгусная деформация стоп у детей: лечение, причины, симптомы
Что должны знать родители о вальгусной деформации стопы у детей? Причины, симптомы, формы заболевания. Методы лечения детской деформации голени.
Загрузить ещё
Обсуждения
По рисовой диете надо бы по подробнее - Это единственная еда за день? И нужно ли промывать рис в первых емкостях? За неделю при комнатной температуре ...
Татьяна
Питание и диета при остеохондрозе позвоночника, полезные и вредные продукты
Я бросила спортзал из за болей в суставах, пока работаю без нагрузок было терпимо, потом не смога на беговой дорожке даже заниматься ни приседания нич...
Марина
Что делать, если после тренировки болят колени: причины и лучшие способы избавиться от боли
Возможно реакция на антибиотики......
Бухтина Ольга
Реабилитация после замены тазобедренного сустава: упражнения и гимнастика
А какой диагноз у Ваших суставов?...
Бухтина Ольга
Препараты для лечения суставов — список лекарств