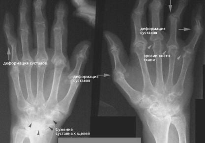
Боли в кистевом суставе, запястье и пальцах: причины, лечение
Кисть
Симптомы и лечение основных болезней суставов рук: список распространенных
Распространенные болезни суставов рук: симптомы и лечение народными и традиционными способами. Перечень диагнозов для терапии.
Немеют пальцы рук: причины и что делать
Причины, почему немеют, болят и покалывают пальцы рук по утрам и ночам, от работы, после родов, перелома. Что делать? Народные средства.
Народные средства лечения боли суставов пальцев рук
Виды болевых ощущений, способы правильной диагностики и лечения народной медициной без вреда для здоровья. Рецепты для приготовления
Причины появления шишек на пальцах рук, методы лечения
Откуда берутся шишки на пальцах рук: причины и лечение появившегося недуга. Какие болезни способствуют появлению шишек, симптомы и диагностика патологий.
Боль в суставах пальцев рук: причины и лечение, что делать если болят суставы пальцев
Почему болят суставы пальцев рук: причины и лечение, воспалительные и не воспалительные процессы, травмы пальцев. Медикаментозное и народное лечение боли.
Болит большой палец на руке в суставе: список причин и методов лечения
Почему болит сустав большого пальца на руке, лечение причин вызвавших болевые ощущения в большом пальце. Описание причин возникновения боли в большом пальце руки.
Обсуждения
По рисовой диете надо бы по подробнее - Это единственная еда за день? И нужно ли промывать рис в первых емкостях? За неделю при комнатной температуре ...
Татьяна
Питание и диета при остеохондрозе позвоночника, полезные и вредные продукты
Я бросила спортзал из за болей в суставах, пока работаю без нагрузок было терпимо, потом не смога на беговой дорожке даже заниматься ни приседания нич...
Марина
Что делать, если после тренировки болят колени: причины и лучшие способы избавиться от боли
Возможно реакция на антибиотики......
Бухтина Ольга
Реабилитация после замены тазобедренного сустава: упражнения и гимнастика
А какой диагноз у Ваших суставов?...
Бухтина Ольга
Препараты для лечения суставов — список лекарств

Кисть

Кисть – это одна из самых функционально сложных частей тела. Ее особенностью является то, что она состоит из большого количества мелких костей и предназначается для выполнения тонких манипуляций. Обычно боль в кистях рук появляется после серьезной нагрузки, вследствие перелома, продолжительной работы за клавиатурой компьютера, растяжения. При этом болевые ощущения могут быть настолько сильными, что лишают человека возможности работать руками. Он даже не всегда может обслужить себя. Медлить с лечением такой боли не стоит, так как можно остаться инвалидом.