Артрит суставов стопы: симптомы, причины, как лечить заболевание
Клинически артрит стопы проявляется болью, ограничением движений, гиперемией, отечностью мягких тканей. При отсутствии врачебного вмешательства прогрессирующая патология становится причиной деформации суставов, частичного или полного анкилоза. На начальных этапах развития артрита стопы используются консервативные методы лечения. А при необратимых изменениях в хрящевых и костных тканях требуется проведение хирургической операции.
Что такое артрит стопы
Артритом стопы называется воспалительная патология, поражающая костно-суставной аппарат. Этим термином обозначают группу заболеваний, в результате развития которых постепенно повреждаются мелкие костные сочленения, хрящи истончаются и костные поверхности начинают соприкасаться.
Наиболее часто воспалительный процесс протекает в суставах предплюсны, плюсны. Он нередко сочетается с артритом голеностопа или пальцев стопы.
Патология может быть ревматоидной, посттравматической, подагрической, инфекционной. Но для всех видов характерен быстрый переход в хроническую форму без купирования воспаления в остром и подостром периоде.
Артрит — серьезная медико-социальная проблема, так как его затяжное и рецидивирующее течение приводит к инвалидизации и утрате трудоспособности.
Виды и стадии заболевания
Помимо воспалительных артритов, бывают и дегенеративные, к которым относятся остеоартроз и посттравматическая патология. Заболевания также классифицируются в зависимости от тяжести течения. Они бывают острыми, подострыми, хроническими. А непосредственно воспаление подразделяется на следующие виды:
- серозное, обычно возникающее при синовите и характеризующееся накоплением в полости сустава серозного выпота;
- серозно-фибринозное, отличающееся тяжелым течением и выраженной симптоматикой из-за выпадения фибринозного осадка;
- гнойное, быстро распространяющееся на суставную капсулу, рядом расположенные мягкие ткани с формированием флегмоны (острого разлитого гнойного воспаления).
Если поражен единичный сустав стопы, то у пациента диагностируется моноартрит. При распространении заболевания на 2-3 сочленения выявляют олигоартрит, а при поражении более 3 — полиартрит. Патологии классифицируют и в зависимости от их этиологии и патогенеза. Выделяют первичные артриты, развившиеся из-за предшествующей травмы, инфекции, расстройства метаболизма. А к вторичным заболеваниям относятся те, которые стали результатом деструктивно-дегенеративных изменений хрящевых и костных тканей.
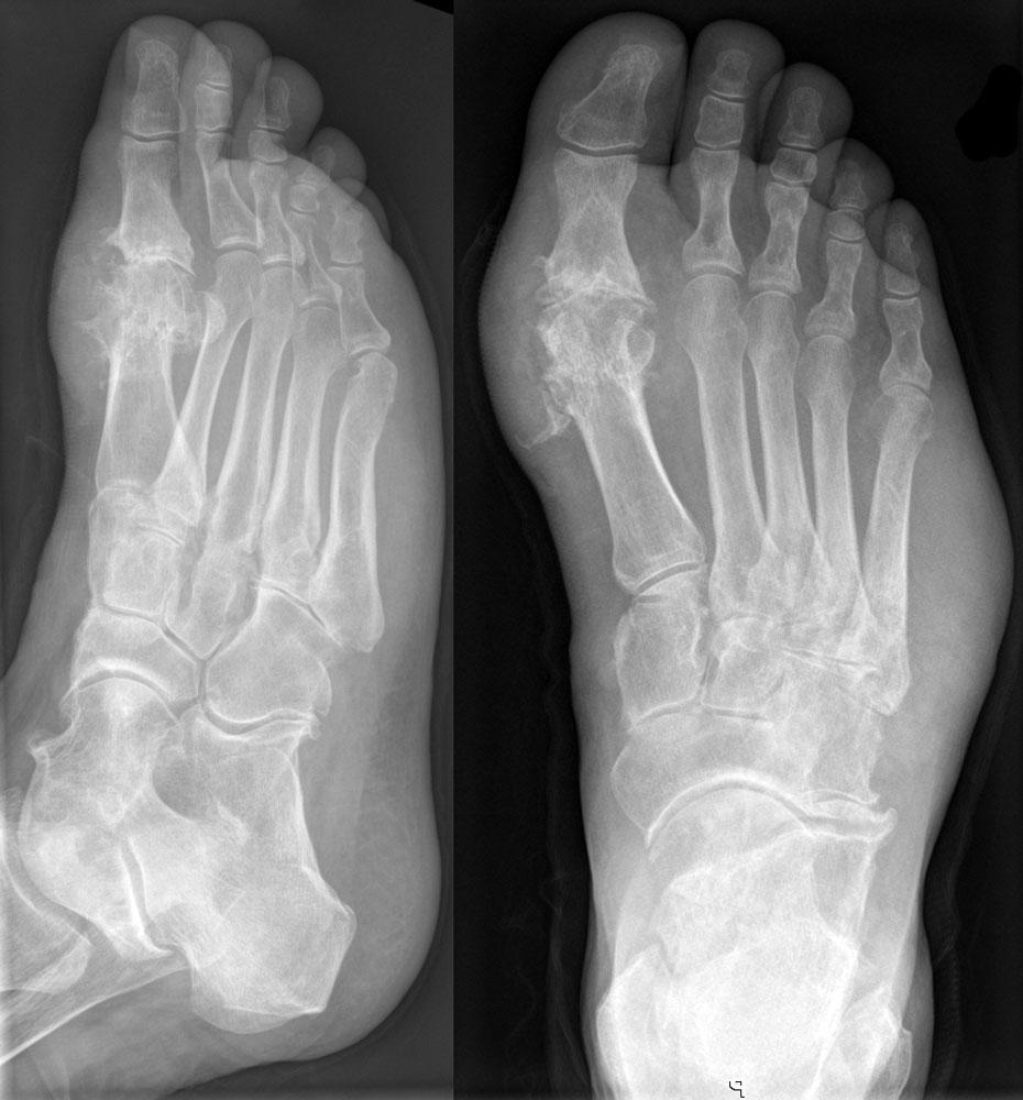
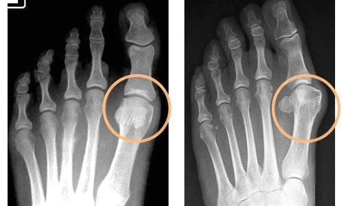
Определяющим критерием стадии артрита являются рентгенологические признаки. На начальных этапах развития какие-либо изменения отсутствуют. На второй стадии наблюдается разрушение гиалиновых хрящей, на третьей — подвывихи мелких суставов. Для артрита высокой степени тяжести (4 стадия) характерно полное или частичное сращение костных поверхностей.
Причины появления болезни
Причиной развития артрита стопы часто становится проникновение в суставы патогенных микроорганизмов из первичных воспалительных очагов. Они формируются в органах дыхательной или мочеполовой системы, в желудочно-кишечном тракте. Патология выявляется при сифилисе, гонорее, бруцеллезе, туберкулезе, респираторных инфекциях. Эпидермальные стафилококки внедряются в полость суставов и в момент получения травмы с нарушением целостности кожи.
Спровоцировать воспалительный процесс в стопе могут также следующие патологические состояния:
- аутоиммунные заболевания, например, системная красная волчанка;
- эндокринные патологии (сахарный диабет, гипотиреоз);
- травмы — ушибы, вывихи, разрывы и растяжения связок, переломы, повреждения мышц или сухожилий;
- врожденные или приобретенные аномалии строения стопы;
- частые переохлаждения.
Предпосылками к развитию артрита становятся ожирение, ношение обуви на плоской подошве или высоком каблуке, расстройства кровообращения, интенсивные спортивные тренировки или малоподвижный образ жизни, иммунодефицитные состояния.
Симптоматика патологии
Общими для всех видов артрита стопы ведущими симптомами являются боль, деформация суставов, нарушение функций. Но для каждой формы патологии характерны специфические признаки. На начальном этапе болевой синдром выражен слабо, но постепенно его интенсивность повышается. Боль может эпизодической, но чаще она становится постоянной, усиливается при ходьбе, сгибании, разгибании, вращении стопы.
Дискомфортные ощущения немного стихают только после продолжительного отдыха. В клинической картине присутствуют и такие типичные признаки артрита:
- отек мягких тканей, сдавливающий чувствительные нервные окончания, усиливающий выраженность болезненности;
- утренняя скованность движений, обычно исчезающая к полудню;
- хруст, щелчки, треск, возникающие при сгибании или разгибании суставов;
- разглаживание, покраснение кожи над пораженными суставами, повышение местной температуры.
Подвижность стопы ограничивается, уменьшается объем, амплитуда движений. К этому приводит формирование остеофитов (костных наростов). Человек и сам намеренно избегает делать полноценный упор на стопу, чтобы не спровоцировать появления болей. Это становится причиной изменения походки.
Методы диагностики
Диагноз выставляется на основании жалоб пациента, анамнестических данных, результатах инструментальных, биохимических исследований. При внешнем осмотре изучается физикальный статус — оценивается положение и форма стопы, характер активных, пассивных движений. Пальпация дистального отдела ноги позволяет обнаружить воспалительную отечность, гиперемию.
В диагностике артрита наиболее информативны рентгенография, УЗИ, магнитно-резонансная и компьютерная томография.
Эти исследования позволяют выявить:
- разрушение хрящей;
- деформацию костных структур;
- локализацию и степень воспаления.
Диагностические мероприятия также помогают исключить плантарный фасциит, подпяточный бурсит, болезнь Мортона.
Для установления этиологии воспаления проводятся иммунологические, биохимические анализы и исследования. Определяются уровни глюкозы, ревматоидного фактора, С-реактивного белка. Пункция показана при подозрении на инфекционное происхождение заболевания.
Первая помощь при обострении
При обострении артрита возникает острая боль, часто делающая невозможным передвижение. Особенно сильны клинические проявления рецидива подагрического артрита. Больного следует уложить, успокоить, дать таблетку анальгетика. Обычно для купирования острого воспаления используются нестероидные противовоспалительные средства (НПВС) — Диклофенак, Найз, Ибупрофен. Если выраженность болей не снижается или уменьшается незначительно, следует пригласить врача для парентерального введения анальгетиков.
Как лечить артрит стопы ног
Практикуется комплексный подход к терапии любого вида артрита стопы. При выборе методов лечения учитывается стадия диагностированной патологии, интенсивность симптомов, степень поражения суставных структур.
Медикаменты
Для устранения острых болей, характерных для рецидивов артрита стопы, используются фармакологические препараты в форме инъекций. На этапе ремиссии избавиться от болезненности в суставах позволяет прием таблеток, капсул, драже.
| Группа препаратов, использующихся в терапии артрита стопы | Наименования лекарственных средств |
Терапевтическое действие |
| Нестероидные противовоспалительные средства | Целекоксиб, Кетопрофен, Нимесулид, Мелоксикам, Целекоксиб | НПВС купируют острые и хронические воспалительные процессы, оказывают выраженное анальгетическое действие |
| Глюкокортикостероиды | Триамцинолон, Кеналог, Дипроспан, Дексаметазон, Флостерон | Гормональные средства используются для устранения острых болей обычно в качестве основного компонента лекарственных блокад |
| Хондропротекторы | Алфлутоп, Дона, Румалон, Терафлекс, Структум, Артра | Препараты частично восстанавливают поврежденные хрящевые ткани, а при накоплении в полости сустава проявляют противовоспалительную, анальгетическую активность |
| Витамины группы B | Мильгамма, Комбилипен, Нейромультивит, Нейробион, Пентовит | Средства применяются для восстановления иннервации, улучшения кровообращения, микроциркуляции |
Схемы питания
Соблюдение диеты является одним из основных методов лечения только при подагрическом артрите. Больным рекомендовано исключить из рациона продукты с высоким содержанием пуринов, отказаться от алкоголя, кофе, чая. При подагре лечебное питание настолько эффективно, что позволяет существенно снизить фармакологическую нагрузку за счет уменьшения доз системных препаратов.
Пациентам с псориатическим артритом необходимо ограничить в ежедневном меню количество продуктов с простыми углеводами (кондитерские изделия, фастфуд). Их употребление негативно влияет на функционирование иммунной системы, способно спровоцировать болезненный рецидив. При любой форме патологии следует меньше подсаливать пищу, готовить ее на пару, запекать, припускать в небольшом количестве воды.
Мази
Для устранения болей слабой и средней выраженности используются наружные средства с нестероидными противовоспалительными ингредиентами — диклофенаком, кетопрофеном, кеторолаком, ибупрофеном, мелоксикамом. Это Вольтарен, Фастум, Артрозилен, Финалгель, Долгит. Локальное нанесение мазей и гелей позволяет быстро справиться практически со всей симптоматикой — болью, воспалением, отечностью, гиперемией.
После купирования воспаления в терапевтические схемы включаются местные средства с согревающим, раздражающим, отвлекающим действием:
- Капсикам;
- Финалгон;
- Апизартрон;
- Випросал;
- Наятокс.
В лечении применяются мази с хондропротекторами — Артро-Актив из синей линейки, Терафлекс, Хондроксид. Но многие опытные ортопеды, травматологи, ревматологи предпочитают системные препараты. Способность ингредиентов наружных хондропротекторов проникать в полость суставов не подтверждена клиническими испытаниями.
Терапия парафином
Одним из эффективных физиотерапевтических методов лечения артрита стопы являются аппликации с парафином. Его предварительно разогревают до 50 °C, а затем широкой кистью или деревянной лопаткой наносят в несколько слоев на область больного сустава. Поверх парафина укладывают клеенку и плотную ткань. Лечение в домашних условиях также возможно с проведением аппликаций. Но вместо послойного нанесения чаще просто парафин немного остужают, формируют из него лепешку и прикладывают на 1 час к стопе.
Оперативное вмешательство
При неэффективности консервативного лечения, быстром прогрессировании артрита, выраженных структурных изменениях стопы показана хирургическая операция. Она становится единственным способом избежать полного ограничения подвижности и инвалидизации.
Наиболее часто проводится артропластика — восстановление функции за счет разделения фиброзных сращений с последующим моделированием суставных поверхностей. Но самым эффективным методом терапии является эндопротезирование плюснефаланговых суставов.
Гимнастика
Ежедневные занятия лечебной физкультурой и гимнастикой способствуют снижению выраженности симптоматики артрита, предупреждению его рецидивов. В ходе регулярных тренировок укрепляется мышечный каркас стопы, улучшается кровообращение и микроциркуляция, ускоряется выведение из суставов токсичных продуктов распада тканей. Комплекс упражнений составляет врач ЛФК с учетом вида артрита и стадии его течения. Обычно пациентам рекомендуются следующие упражнения:
- ходьба на пальцах стопы;
- ходьба на внутренней и внешней стороне стопы;
- собирание пальцами стопы мелких предметов из пола;
- ходьба на пятках;
- ходьба по песку или мелкой гальке.
При возникновении болезненных ощущений занятие следует прекратить, возобновив его после продолжительного отдыха. Движения во время тренировок должны быть плавными, немного замедленными, с небольшой амплитудой.
Физиотерапия
Помимо аппликаций с озокеритом и парафином, в лечении используются гальванические токи, магнитотерапия, лазеротерапия, УВЧ-терапия, ударно-волновая терапия. После проведения физиотерапевтических процедур отмечается улучшения кровоснабжения хрящевых и костных тканей питательными веществами и кислородом.
Для купирования болей применяется электрофорез, ультрафонофорез с анальгетиками, глюкокортикостероидами, анестетиками. А на стадии ремиссии при проведении этих процедур используются витамины группы B, хондропротекторы.
Народные средства и рецепты
Артрит — прогрессирующая патология, поэтому народные средства не используются в его терапии из-за риска быстрого распространения воспалительного процесса. После проведения основного лечения для устранения слабых болей применяются мази. В ступке растирают чайную ложку живичного скипидара с 20 г ланолина, добавляют 50 г детского жирного крема.
Слабым анальгетическим и противовоспалительным действием обладают чаи из ромашки, чабреца, девясила. Чайную ложку сухого растительного сырья заливают стаканом кипятка на час, процеживают, пьют по 100 мл после еды 2-3 раза в день.
Профилактика и прогноз
Основные профилактические мероприятия артрита стопы — отказ от курения и алкоголя, включение в рацион свежих овощей, ягод, фруктов, регулярные занятия лечебной физкультурой и гимнастикой. Врачи рекомендуют избегать избыточных физических нагрузок, способных спровоцировать микротравмирование хрящей.
Ревматоидный, подагрический, псориатический артрит пока полностью вылечить не удается. Терапия направлена на достижение устойчивой ремиссии. А вот инфекционные патологии при своевременном диагностировании хорошо поддаются лечению.
Похожие статьи















