Особенности диагностики и лечения остеоартроза суставов стопы
Остеоартроз суставов стопы – это хроническое медленно прогрессирующее заболевание, которое чаще всего встречается у любительниц высоких каблуков, людей пожилого возраста, лиц с плоскостопием и избыточной массой тела.
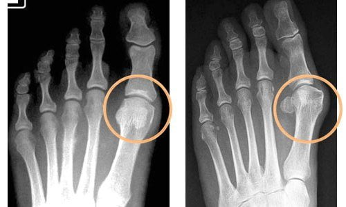
От деформирующего остеоартроза страдает плюсне-фаланговый сустав большого пальца стопы. По статистике, его артроз занимает третье место, уступая по частоте развития лишь дегенеративным поражениям коленных и тазобедренных суставов. Любопытно, что у многих больных также имеется вальгусная деформация, известная в народе, как «косточка». Эти два заболевания нередко развиваются параллельно, усугубляя течение друг друга.
Межфаланговые суставы II-V пальцев у лиц с остеоартрозом стопы страдают крайне редко. Их поражение само по себе не вызывает клинически значимых функциональных нарушений.
Симптомы и методы диагностики
Деформирующий остеоартроз проявляется болями и легкой припухлостью в области плюсне-фалангового сустава. Со временем дегенеративные изменения в хрящах и костях приводят к вальгусной деформации. На поздних стадиях артроз может сопровождаться скоплением выпота в синовиальной полости и развитием синовита. В этом случае незнающий человек с легкостью спутает патологию с подагрическим артритом.
Таблица 1. Основные различия между запущенным артрозом и подагрой
| Остеоартроз | Подагрический артрит | |
| Характер боли | Ноющая, усиливающаяся при ходьбе и движениях. Болезненные ощущения уменьшаются или исчезают после отдыха | Резкая, невыносимая, причиняющая массу страданий. Появляется в состоянии покоя, усиливается при движениях. Из-за боли человек не может передвигаться |
| Течение | Заболевание имеет медленное, но прогрессирующее течение. Симптомы появляются постепенно, со временем усиливаются | Болезнь протекает хронически, причем периоды ремиссии чередуются с обострениями. Ярко выраженная картина артрита наблюдается после употребления спиртного или жирной пищи |
| Наличие деформаций | У лиц с остеоартрозом нередко выявляют вальгусную деформацию флюсне-фалангового и молоткообразную деформацию межфаланговых пальцев стопы | Деформаций в области сустава обычно нет. Вместо этого у пациента появляются тофусы – специфические подагрические узелки. Они локализуются в области суставов, связок, ушных раковин |
Основным методом диагностики артроза стопы является рентгенография. С ее помощью диагностируют сужение суставных щелей, костные деформации, снижение плотности костной ткани и другие характерные признаки остеоартроза. Если рентгенологическое исследование малоинформативно, больному делают МРТ.
Рентгенологические стадии артроза:
- На рентгенограммах нет никаких изменений. Заподозрить болезнь можно лишь по легким болям при ощупывании или сгибании пальцев.
- При рентгенографии у больного выявляют сужение суставной щели, которое косвенно указывает на повреждение хрящей.
- На снимках отчетливо видны признаки поражения костной ткани. У многих пациентов появляются выраженные деформации пальцев стопы.
Вальгусная деформация с последующим развитием остеоартроза – это профессиональная болезнь артистов балета. Основные причины патологии – ношение узкой балетной обуви и танцы на пуантах.
Особенности лечения остеоартроза стопы
На начальных стадиях заболевание лечат консервативно. В первую очередь, пациенту рекомендуют изменить образ жизни, устранить провоцирующие факторы. Женщинам врачи советуют отказаться от ношения неудобной обуви, лицам с плоскостопием – приобрести ортопедические стельки, людям с избыточной массой тела – похудеть.
Полезные советы по снижению нагрузки на стопы:
- старайтесь чередовать ходьбу с отдыхом. После 10-минутной прогулки присядьте и отдохните хотя бы 5-7 минут, лишь после этого продолжайте идти дальше;
- избегайте длительного стояния на одном месте. Статическая нагрузка влияет на суставы намного хуже, чем динамическая;
- постарайтесь как можно меньше ходить по лестнице, почаще пользуйтесь лифтом;
- откажитесь от поднятия тяжестей. Если ваша работа связана с интенсивными физическими нагрузками, задумайтесь о смене рода деятельности.
Для лечения остеоартроза стопы 1-2 степени также используют нестероидные противовоспалительные средства (Диклофенак, Мелоксикам, Ибупрофен), хондропротекторы (Дона, Артра, Терафлекс, Структум) в виде мазей, таблеток или внутримышечных инъекций. При развитии синовита для быстрого купирования болей и воспаления больным могут назначать периартикулярные инъекции кортикостероидов (Дексаметазон, Кеналог).
Хирургические вмешательства
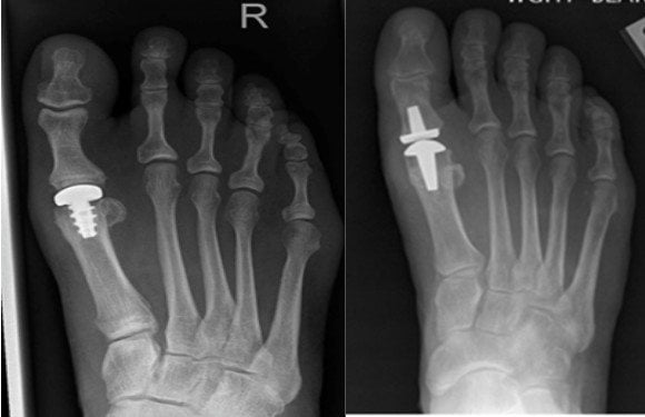
Выраженный артроз I плюсне-фалангового сустава приводит к резкому ограничению подвижности и ригидности большого пальца стопы. Рспространенным методом борьбы с этой проблемой является резекционная артропластика. В ходе оперативного вмешательства врачи удаляют костно-хрящевые разрастания и кистозные образования костной ткани. Также хирурги обязательно иссекают склерозированную капсулу сустава.
В клинической практике врачи используют несколько видов артропластики. Выбор определенной методики зависит от стадии артроза, характера деформации, возраста пациента, наличия у него сопутствующих заболеваний (плоскостопия, вальгусной деформации и т. д.).
На поздних стадиях остеоартроза врачи нередко выполняют артродезирование. Суть метода заключается в полном обездвиживании сустава путем его фиксации в определенном положении. После такой операции пациенту требуется продолжительная иммобилизация, которая длится 8-12 недель. К недостаткам артродеза можно отнести формирование костного блока, что в будущем приводит к перегрузке смежных суставов.
Сегодня в клиническую практику постепенно внедряется метод тотального эндопротезирования I плюсне-фалангового сустава стопы. Подобное лечение проводится при остеоартрозе, который сопровождается выраженным болевым синдромом. Во время операции врачи полностью удаляют разрушенный сустав и заменяют его искусственным протезом.
Похожие статьи





