Заболевания и боли тазобедренного сустава: причины, симптомы, лечение
Записи с меткой «Тазобедренный»
Почему болит тазобедренный сустав: причины, что делать, как лечить
По каким причинам появляется боль в тазобедренном суставе, особенности диагностики патологий. Что делать если болит тазобедренный сустав, как лечить.
Артрит тазобедренного сустава: симптомы и лечение у детей и взрослых, полное описание болезни
Артрит тазобедренного сустава у детей и взрослых: симптомы и лечение, причины болезни. Классификация и диагностика артрита, осложнения коксита, профилактика.
Защемление нерва в тазобедренном суставе: причины, симптомы и лечение ущемления
Каковы причины и симптомы защемления нерва в тазобедренном суставе. Лечение ущемления нерва в ТБС консервативным и хирургическим путем.
Причины боли в тазобедренном суставе, отдающей в ногу: симптомы заболеваний, лечение
По каким причинам возникает боль в тазобедренном суставе отдающая в ногу, заболевания вызвавшие боль их их симптомы. Методы лечения патологии.
Массаж при коксартрозе тазобедренного сустава: правила выполнения, противопоказания, самомассаж
Помогает ли массаж при коксартрозе тазобедренного сустава, особенности проведения, показания к применению. Правила проведения сеанса и особенности самомассажа при коксартрозе.
Боль в тазобедренном суставе лежа на боку ночью: почему болит и что делать
Почему может появляться боль в тазобедренном суставе лежа на боку ночью, возможные причины. Заболевания при которых может болеть тазобедренный сустав.
Болит тазобедренный сустав при ходьбе: причины и методы лечения
По каким причинам может возникать боль в тазобедренном суставе при ходьбе: лечение боли, симптомы заболеваний вызвавшие болевые ощущения в тазобедренном суставе.
Самые эффективные упражнения при коксартрозе тазобедренного сустава
Какие упражнения при коксартрозе тазобедренного сустава следует выполнять при легой стадии и при тяжелой. Комплекс упражнений по Бубновскому и Евдакименко.
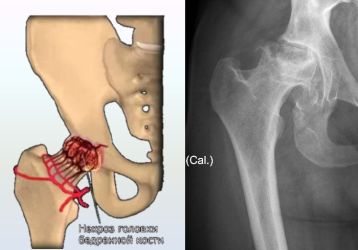
Асептический некроз головки бедренной кости: причины, симптомы, лечение
Асептический некроз головки бедренной кости: причины появления болезни, характерные симптомы, диагностика. Лечение некроза тазобедренного сустава.
Что такое дисплазия тазобедренных суставов у детей: как проявляется, методы лечения патологии
Какие причины способствуют развитию дисплазии тазобедренных суставов у детей, характерные симптомы проявления болезни. Методы диагностики и лечения дисплазии.
Что такое коксартроз тазобедренного сустава и как его лечить, симптомы, полное описание заболевания
Причины развития коксартроза тазобедренного сустава, характерные симптомы. 4 степени развития патологии, методы диагностики. Все способы лечения недуга. Профилактика заболевания.
Загрузить ещё
Обсуждения
По рисовой диете надо бы по подробнее - Это единственная еда за день? И нужно ли промывать рис в первых емкостях? За неделю при комнатной температуре ...
Татьяна
Питание и диета при остеохондрозе позвоночника, полезные и вредные продукты
Я бросила спортзал из за болей в суставах, пока работаю без нагрузок было терпимо, потом не смога на беговой дорожке даже заниматься ни приседания нич...
Марина
Что делать, если после тренировки болят колени: причины и лучшие способы избавиться от боли
Возможно реакция на антибиотики......
Бухтина Ольга
Реабилитация после замены тазобедренного сустава: упражнения и гимнастика
А какой диагноз у Ваших суставов?...
Бухтина Ольга
Препараты для лечения суставов — список лекарств