Травмы коленного, голеностопного и других суставов
Травмы
Реабилитация и восстановление после разрыва связок коленного сустава
Какие методы существуют для восстановления коленного сустава после разрыва связок: принципы реабилитации, длительность, основные этапы.
Что делать при растяжении мышц на ноге: симптомы травмирования, методики лечения
Как и чем лечить растяжение мышц на ноге: причины растяжений, симптомы и признаки, первая помощь, методы лечения и реабилитации.
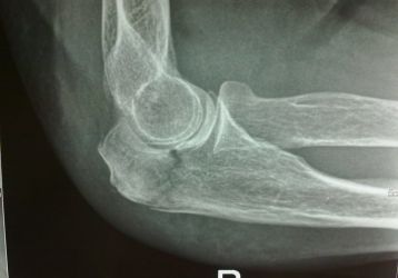
Перелом локтевого сустава: анатомия, симптомы и виды травм локтя
Как определить перелом локтевого сустава: клиническая картина и симптомы. Виды травм: переломы нижних отделов, шейки и головки, проксимального отдела.
Ушиб голеностопного сустава: основные признаки, первая помощь, тактика лечения
Что такое ушиб голеностопного сустава, как его определить. Меры первой помощи, способы лечения медикаментами, физпроцедурами, народными средствами.
Как лечить растяжение мышц шеи: причины, симптомы и методы лечения
Признаки и симптомы растяжения шейных мышц: клиническая картина, основные методы медикаментозной терапии, физиотерапии и ЛФК. Особенности реабилитации.
Какими бывают контрактуры и как с ними бороться: симптомы и методы лечения
Ограничения подвижности суставов: какие виды контрактур бывают, основные симптомы,способы диагностики, методы лечения суставных и мышечных контрактур.
Растяжение связок запястья: симптомы и лечение травмы
Как распознать и лечить растяжение связок запястья. Важные симптомы, методы первой помощи. Медикаменты, мази и восстановление после травмы.
Растяжение ахиллова сухожилия: симптомы и лечение. Отличия от разрыва
Как получается растяжение ахиллова сухожилия. Методы диагностики и отличия от разрыва. Первая помощь, лечение и реабилитация.
Что делать, если опухло колено без ушиба и болит: диагнозы и способы лечения
Если опухло колено без ушиба и болит нужно установить причину. Перечень диагнозов ведущих к отеку мягких тканей. Что делать с опухолью.
Хроническая нестабильность: когда выскакивает плечевой сустав
Что делать пациенту если выскакивает плечевой сустав. Хроническая нестабильность. Виды лечения, консервативной и хирургической терапии.
Разрыв задней крестообразной связки: причины, лечение и восстановление
Разрыв задней крестообразной связки: что приводит к травме. Как лечить консервативно и хирургически. Перспективы восстановления подвижности.
Загрузить ещё
Обсуждения
По рисовой диете надо бы по подробнее - Это единственная еда за день? И нужно ли промывать рис в первых емкостях? За неделю при комнатной температуре ...
Татьяна
Питание и диета при остеохондрозе позвоночника, полезные и вредные продукты
Я бросила спортзал из за болей в суставах, пока работаю без нагрузок было терпимо, потом не смога на беговой дорожке даже заниматься ни приседания нич...
Марина
Что делать, если после тренировки болят колени: причины и лучшие способы избавиться от боли
Возможно реакция на антибиотики......
Бухтина Ольга
Реабилитация после замены тазобедренного сустава: упражнения и гимнастика
А какой диагноз у Ваших суставов?...
Бухтина Ольга
Препараты для лечения суставов — список лекарств

Травмы

Травма является одной из самых частых причин появления боли в области суставов. Она может быть разной степени тяжести, различаться разной симптоматикой. Человек обычно получает такие виды повреждений: переломы костей или внутрисуставные, ушибы, растяжения, вывихи, разрывы связок. Как бы ни было, они характеризуются болевым синдромом, отеком, повышением местной температуры, ограниченностью подвижности. Причиной травмирования суставов может стать ДТП, бытовое или спортивное повреждение конечности, несчастный случай, сильный удар или падение с высоты. Некоторые травмы могут сопровождаться деформацией сочленений. Какая бы она ни была, больному требуется предварительная иммобилизация конечности, а также последующее лечение. В особо сложных случаях лечение больного производится в стационаре. Для восстановления функциональности травмированных участков понадобится определенный период реабилитации. Длится он по-разному: на это влияет степень тяжести повреждения. Осложнения после травмы бывают достаточно серьезными, поэтому с лечением лучше не затягивать.