Перелом локтевого сустава: анатомия, симптомы и виды травм локтя
Локтевой сустав — важное анатомическое образование, которое объединяет кости плеча и предплечья. Если он функционирует с нарушениями, то возникают трудности с выполнением самых простых движений. Человек испытывает дискомфортные ощущения во время еды, расчесывания, подъема тяжести, захвата любого предмета. Когда локтевой сустав двигается, то одновременно в пространстве перемещаются и поворачиваются кости предплечья, запястья, фаланг. Только за счет нормальной работы сочленения мы можем выполнять сложные движения кистью.
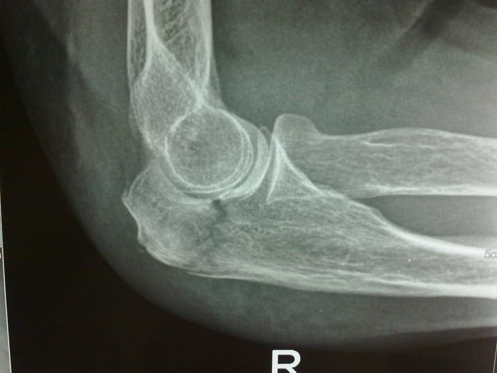
При переломах образующих его костей происходит ограничение функций всей руки. Возникают препятствия при попытке выполнить любое элементарное движение, например, развернуть кисть вверх. Полное восстановление функций локтя возможно только при размещении костей и их отломков в анатомическом положении, обеспечивая их быстрое сращение. Ведущий метод диагностики всех переломов локтевого сустава — рентгенография. Метод лечения зависит от локализации и тяжести травмы, возраста пациента. Если консервативное лечение (наложение гипса) не окажет эффекта, больного готовят к хирургической операции.
Немного анатомии
Локтевой сустав образован локтевой, плечевой, лучевой костями. Локоть сформирован двумя суставами. При соединении костей плеча и предплечья образуется первый; благодаря ему локоть сгибается и разгибается. Второе сочленение формируется за счет локтевой кости и гладкой головки лучевой кости. Во время движения в сочленении локтевая кость вращается вокруг лучевой. Основные функции этого сустава:
- супинация, или поворот кисти ладонью кверху;
- пронация, или ее разворот ладонью вниз.
У нижней трети плечевой кости сложная форма. Ее центральный отдел немного выше локтя делится на две части, поддерживающие мыщелки. Их можно обнаружить при прощупывании мягких тканей, расположенных справа и слева от локтевого сустава. На участке с мыщелками есть определенное количество выступов и борозд, в которых находятся концы костей. В этих анатомических структурах они сочленяются, смещаются относительно кости плеча.
Костные поверхности выстланы прочным и одновременно эластичным гиалиновым хрящом. Он белый, гладкий, скользкий, защищает от повреждения кости, которые часто и монотонно смещаются в локтевом сочленении. Плавные и безболезненные движения обеспечивают хрящевые ткани. В отличие от других анатомических элементов тела они практически не снабжаются кровью. Синовиальная жидкость для них служит источником:
- молекулярного кислорода;
- питательных и биологически активных веществ.
Хрящ в большинстве случаев повреждается во время перелома. Для его дальнейшего функционирования нужна ювелирная репозиция (сопоставление, совмещение) отломков.
Основная задача терапии любого перелома — восстановление суставных поверхностей. Если полноценной регенерации хрящевых тканей не происходит, то значительно повышается риск необратимых осложнений.
Травматологи проводят лечение так называемого посттравматического артроза локтя — дегенеративно-дистрофической патологии, провоцирующей анкилоз (полную или частичную суставную неподвижность). Очень опасны переломы головок лучевых костей локтевых суставов. Кровообращение в этой части локтя полностью нарушается. При дефиците питательных веществ высока вероятность необратимого разрушения костной головки.
Клиническая картина
Во время перелома возникает острая боль. Один из ведущих симптомов травмы — хруст, напоминающий треск переламываемых сухих ветвей. Болезненные ощущения обычно локализованы на задней стороне сустава. Для травмы также характерны следующие признаки:
- боль иррадиирует в область плеча и предплечья;
- через несколько минут после повреждения начинает формироваться отек, интенсивность которого быстро нарастает;
- кожа в области повреждения прохладная, бледная, иногда синюшная;
- гематома образуется немного позже. Сначала происходят точечные кровоизлияния из-за разорвавшихся крупных сосудов. Постепенно кровь изливается в подкожную клетчатку и на передней поверхности локтя появляется обширная гематома;
- при открытом переломе кожа повреждается, а из раны могут выступать костные отломки и острые края трубчатых костей;
- пострадавший не способен произвести движения травмированной рукой — согнуть и разогнуть локоть, развернуть кисть.
Обычно локоть деформирован. Нередко возникает настолько острая боль, что пациент может потерять сознание. При пальпации доктор обнаруживает крупные отломки, оценивает тяжесть травмы. Симптомы трещины в локтевом суставе выражены не настолько ярко. Формируется крупная гематома, область повреждения отекает, но ограничения движений не происходит. Пострадавший придерживает травмированную руку здоровой для снижения интенсивности болезненных ощущений.
Разновидности переломов локтя и методы лечения
Локтевой сустав — стабильное анатомическое образование за счет наличия эластичных связок, расположенных по обе стороны сочленения. Травматологи очень редко диагностируют вывихи локтя из-за его прочного связочно-сухожильного аппарата. Стабильность обеспечивают и крепкие двуглавые и трехглавые мышцы, пересекающие суставы. Человек способен сгибать локоть благодаря надежному креплению бицепса к лучевой кости. А за разгибание отвечает трицепс, который присоединен к отростку локтя. В результате такого сложного анатомического строения у пострадавших выявляются разнообразные переломы.
В результате удара или падения могут образовываться трещины в локтевом суставе. Они бывают одиночными или множественными, а по расположению к костной осевой линии — линейными, косыми, спиралеобразными. При трещинах в кости сустав сохраняет опорную функцию. Если они не сопровождаются переломом, то для полного выздоровления достаточно ношения гипсовой повязки.
Переломы нижних отделов плечевых костей
Перелом, не затрагивающий суставные поверхности, называется внесуставным. При его диагностировании прогноз на полное выздоровление благоприятный. Внесуставные травмы выявляются немного выше локтя, обычно в области надмыщелков. Даже наложение гипсовой повязки плохо иммобилизует сочленение, поэтому сразу проводится хирургическая операция. Врач сопоставляет фрагменты в анатомическом положении, закрепляет их металлическими пластинами и винтами. Форма хирургических приспособлений соответствует изгибам костей. Это обеспечивает стабильную фиксацию и быстрое сращение перелома. Операция, проведенная по такой методике, позволяет пострадавшему раньше приступить к разработке движений.
Частая травма локтя — отрыв медиального надмыщелка, сопровождающийся его переломом, из-за запредельной тяги коллатеральных связок. Происходит отсоединение костного отломка, попадающего в суставную полость и полностью блокирующего движения. Попытка согнуть или разогнуть локоть приводит к возникновению сильной, пронизывающей боли. Показана открытая операция с фиксацией костного фрагмента к участку отрыва. Иногда восстановить сочленение возможно консервативным способом, но только при нахождении отломка рядом с местом его отрыва.
При установлении внутрисуставного перелома прогноз на полное выздоровление хуже. Задачами терапии становится качественное совмещение отломков и восстановление хрящевых поверхностей. Чаще всего диагностируются следующие травмы:
- переломы плечевых костей в области их головчатых возвышений. Отломки смещаются внутрь суставов, ограничивая их функционирование. Травмирование часто происходит при падении с упором на вытянутую руку или при вывихе. Пациентам показана хирургическая терапия. Крупные отломки закрепляют винтами в правильном положении. Маленькие фрагменты, не подлежащие репозиции, удаляют;
- травмы чрезмыщелковые, межмыщелковые. Это самые часто диагностируемые виды переломов, обычно возникающие при сильном ударе в локоть. Поддерживающие надмыщелки костные структуры разрушаются, что становится причиной изменения соотношения костей. Для таких травм характерно серьезное повреждение хрящевых тканей, восстановление которых является сложной задачей. После репозиции суставных элементов они крепятся винтами и пластинами до полного их сращения. Это не станет ограничением для постепенной разработки сустава.
Во время диагностирования оценивается состояние кровеносных сосудов, степень кровоизлияния в суставы. При проведении операции хирургу приходится восстанавливать и поврежденные нервы. Если этим этапом пренебречь, то разовьются тяжелейшие осложнения. Нарушение иннервации спровоцирует потерю чувствительности кисти, также возможно значительное снижение объема движений в локте.
Перелом проксимального отдела локтевой кости
При таких травмах обычно повреждения локализованы в верхних третях локтевых костей. Происходит перелом локтевого отростка (переломо-вывихи Монтеджи).
Если произошло спровоцированное тягой трицепса смещение фрагмента, то проводится только оперативное лечение. Хирург восстанавливает хрящевые и костные ткани, а затем фиксирует отломки спицами и проволокой. Удаляют спицы примерно через полгода после оценки состояния локтя. А пластины извлекаются позже — через 1-2 года.
Благодаря близкому расположению локтевого отростка к коже операция длится недолго и не представляет сложности. Но есть и исключения — многооскольчатые переломы с повреждениями венечных отростков. Они закрепляются специальными хирургическими металлическими конструкциями.
Перелом шейки и головки лучевой кости
При переломе руки в локтевом суставе человеком утрачивается способность вращения лучевой кости. Это приводит снижению функциональной активности предплечья. Пострадавший также не может повернуть кисть, взять любой предмет. Иногда костные отломки смещаются в суставные полости, блокируя движения. Опасным осложнением травмы становится повреждение костными фрагментами кровеносных сосудов, ответственных за трофику лучевой кости. При незначительном смещении фрагментов операция не проводится. Функции локтя восстанавливаются при наложении гипсовой повязки. Если фрагменты блокировали сочленение, то производится внутренняя их фиксация винтами и пластинами. При многооскольчатом переломе пациенту показано эндопротезирование костной головки.
Образующие локтевой сустав кости расположены близко к поверхности кожи, поэтому часто диагностируются открытые переломы. При таких травмах повреждаются сразу несколько элементов, расположенных внутри сустава. При открытом переломе проводится хирургическая операция. Иссекаются поврежденные, загрязненные ткани на участке разрыва кожи, а затем кости закрепляются аппаратами внешней фиксации. Как только раны заживают, приспособление удаляется. Теперь кости крепятся пластинами, винтами, которые извлекаются после полного восстановления функций руки. Такой метод проведения операции снижает вероятность инфицирования суставных полостей болезнетворными бактериями.
Эффективность терапии зависит от своевременного обращения за медицинской помощью. Руку пострадавшего следует зафиксировать повязкой в виде косынки, прикладывать к области отека холодовой компресс на 10-15 минут каждый час, дать таблетку Нурофена, Диклофенака, Найза или Кеторола. Человека следует как можно быстрее доставить в травмпункт для обследования и лечения.
Похожие статьи









