Ревматоидный артрит: симптомы, лечение, диагностика, стадии
Ревматоидный артрит — системная патология соединительных тканей с аутоиммунным патогенезом и неясной этиологией, преимущественно поражающая мелкие суставы по типу эрозивно-деструктивного полиартрита. В клинической картине заболевания присутствуют как суставные, так и внесуставные признаки. Для ревматоидного артрита характерно симметричное вовлечение сочленений в патологический процесс, приводящее и их выраженной деформации. Заболевание проявляется серозитами, образованием подкожных узелков, лимфоденопатиями, васкулитами.
Для диагностирования ревматоидного артрита проводятся инструментальные и биохимические исследования. Наиболее информативна рентгенография, результаты которой позволяют оценить степень поражения соединительнотканных и костных структур. Консервативное лечение заключается в длительном курсовом приеме препаратов различных клинико-фармакологических групп. При прогрессировании патологии требуется хирургическое восстановление суставов.
Причины и патогенез
Чаще всего заболевание диагностируется у женщин, находящихся в естественной менопаузе. Но ювенильный ревматоидный артрит выявляется и у детей различного возраста. Исследования этиологических аспектов позволили установить взаимосвязь между развитием патологии и генетической предрасположенностью к нарушению работы иммунной системы при воздействии определенных негативных факторов. Вероятность воспаления суставных структур значительно повышается при наличии дефектов иммунорезистентности. Антигены гистосовместимости ответственны за изменение иммунного ответа на внедрение в организм инфекционных агентов. Чаще всего толчком к развитию аутоиммунной патологии становится проникновение:
- вирусов Эпштейна-Барра;
- лимфотропного вируса;
- герпесвирусов;
- возбудителей микоплазмоза, кори.
После внедрения инфекционных агентов начинается формирование циркулирующих иммунных комплексов, содержащих иммуноглобулины G,M. С кровью они попадают в синовиальные сумки и контактируют с их оболочками, провоцируя разрушение хрящевых клеток локтевых, коленных, плечевых суставов. Из нейтрофилов высвобождаются лизосомальные ферменты, что становится причиной развития синовита — воспалительного процесса, сопровождающегося скоплением жидкости (выпота) в полости сустава. Повреждение хрящей возникает вследствие формирования на синовиальной оболочке грануляционной ткани. По мере прогрессирования ревматоидного артрита иммунные комплексы проникают во внутренние органы, чем объясняется постепенное снижение их функциональной активности. Если неполноценность ферментных систем передается по наследству, то риск возникновения ревматического процесса достаточно высок. Особенно опасны нарушения метаболизма тирозина, триптофана и других аминокислот.
На следующем этапе патологии формируются специфические ревматоидные гранулемы, провоцируя многочисленные суставные эрозии. Костные ткани обнажаются, а затем начинает клинически проявляться анкилоз, остеопороз, бурсит, тендинит. Поражение паренхиматозных органов приводит к возникновению суставно-висцеральной формы ревматоидного артрита.
К развитию заболевания предрасполагает наличие у человека инфекционного или реактивного артрита, эндокринных и метаболических расстройств, воспалительных и дегенеративно дистрофических суставных патологий, беременность, частые стрессы, депрессивные состояния, работа с токсичными химическими соединениями:
| Степень нарушения опорных функций у больных ревматоидным артритом | Характерные признаки |
| Стадия ФН I | Двигательные ограничения минимальны, полностью сохранена профессиональная пригодность |
| Стадия ФН II | Объем движений в суставах резко снижается, развиваются стойкие контрактуры, что приводит к ограничению возможностей самообслуживания. В большинстве случаев происходит утрата работоспособности |
| Стадия ФН III | В результате сращения суставной щели наблюдается тугоподвижность или тотальная неподвижность сустава. Больной не способен обслуживать себя в быту, появляется необходимость постоянного ухода |
Клиническая картина
Для ревматоидного артрита характерны три формы течения. Патология может практически не прогрессировать или вовлечение в патологический процесс суставов и внутренних органов происходит медленными темпами. Самая опасная — быстро прогрессирующая форма, при которой существенно ускоряется инвалидизации человека. Ревматологи также классифицируют ревматоидный артрит в зависимости от степени активности клинико-морфологических изменений. При минимальной активности заболевание обычно проявляется только суставными признаками. Для средней и высокой степени свойственны и внутрисуставные симптомы.
Суставные признаки
Ведущее клиническое проявление ревматоидного артрита — суставной синдром. Наиболее часто диагностируется двустороннее поражений сочленений. Пациент жалуется на периодические болевые ощущения в мышцах суставах, усталость, утреннюю скованность, обычно исчезающую в течение часа. Постепенно развивается психопатологическое расстройство, выражающееся в быстрой утомляемости, слабости, сонливости. Увеличивается потоотделение, повышается температура тела до субфебрильных значений (в пределах 37,1—38,0°C). Обычно ревматоидный артрит дебютирует при смене сезонов года, после вхождения в определенный физиологический период (климакс, пубертатный, послеродовой). Провоцирующими факторами служат травмы, переохлаждение, респираторные, желудочно-кишечные, урогенитальные инфекции.
Если патология дебютирует остро или подостро, то клиническая картина дополняется лихорадочным состоянием, выраженной миалгией и артралгией. При медленном прогрессировании ревматоидного артрита интенсивность симптоматики почти не изменяется, как и функциональная активность сочленений, которые вовлекаются в патологический процесс постепенно:
- вначале происходит поражение суставов кистей, а также стоп, запястий (обычно лучезапястных суставов);
- затем воспалительным процессом затрагиваются плечевые, локтевые суставы, голеностопы;
- на последнем этапе деструкция тканей наблюдается в тазобедренных, коленных суставах.
Реже выявляется повреждение височно-нижнечелюстных суставов. Внутри сочленений накапливается патологический экссудат, они отекают, при пальпации болезненны. Движения ограничены, кожа краснеет, становится горячей на ощупь из-за перенаполнения кровью сосудов. Поражение воспалительным процессом влагалищ сухожилий провоцирует развитие туннельного синдрома в результате сдавливания серединного нерва. В этом случае снижается чувствительность, подвижность пальцев, а возникающие боли иррадиируют даже на предплечья. Патология может протекать по типу болезни Стила, сопровождающейся остеоартрозом, синдрома Фелти, полиартрита.
Внесуставные проявления
Системные признаки выражены более ярко при серопозитивной (наличие в крови ревматоидного фактора) форме патологии. В воспалительный процесс всегда вовлечена скелетная мускулатура — межкостная, разгибатели предплечья, прямые бедренные и ягодичные мышцы. Наблюдается выраженная атрофия, снижается мышечная сила, тонус. Кожные покровы становятся сухими, истончается эпидермис, учащаются кровоизлияния в мягкие ткани, подкожную клетчатку. Гангрена дистальных фаланг возникает в результате формирования мелких некротических очагов в подногтевой области.
Специфическое внесуставное проявление заболевания — образование подкожных соединительнотканных узелков размером 5-20 мм. Они плотные, округлые, подвижные, множественные или единичные, безболезненные при пальпации. Расположение узелков симметрично или асимметрично на предплечьях и в затылочной области. Образования нередко обнаруживаются в миокарде, легких, сердечных клапанах. Формирование узелков указывает на ревматическую атаку, а их рассасывание свидетельствует о достижении устойчивой ремиссии. Для ревматоидного артрита характерны крайне тяжелые поражения внутренних органов:
- лимфоаденопатии (увеличение лимфатических узлов);
- желудочно-кишечные патологии — энтериты, колиты, амилоидоз слизистых прямой кишки;
- нейропатии, полиневриты, диффузный фиброз, пневмониты, альвеолита, бронхиолиты;
- гломерулонефриты, амилоидозы.
Вовлечение магистральных кровеносных сосудов становится причиной развития миокардита, гранулематозного аортита, перикардита, эндокардита, артериита коронарных сосудов. При ревматоидном артрите не редок васкулит, а также висцеропатии. Клинически они проявляются полиморфной сыпью, изъязвлениями, носовыми, маточными кровотечениями, тромботическим синдромом.
Диагностика
Наличие воспалительного процесса в организме может быть установлено даже по результатам общего анализа крови. При ревматоидном артрите в ней увеличивается количество лейкоцитов (больше 9*109/л), продуцируемых иммунной системой на фоне незначительного снижения эритроцитов. Повышается скорость оседания эритроцитов — 15 мм/с. Но наиболее информативны биохимические исследования крови:
- наличие ревматоидного фактора и его количественное содержание;
- концентрация С-реактивного белка;
- АЦЦП – анализ на присутствие в сыворотке крови антител циклического цитруллиннированного пептида.
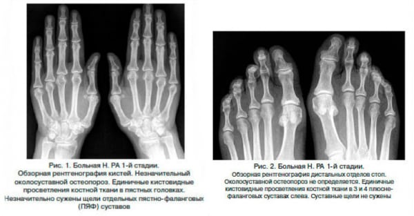
С помощью пункции производится забор суставной жидкости для исследования ее состава. На раннем этапе развития патологии информативно УЗИ, позволяющее выявить даже незначительные деструктивные изменения в соединительнотканных структурах. Обязательно проводится рентгенологическое исследование. На полученных изображениях отчетливо визуализированы признаки остеопороза (снижения костной массы), эрозии, сращения суставных щелей. Рентгенография помогает дифференцировать ревматоидный артрит от подагры, остеоартрита, артроза, инфекционных воспалений суставов. В диагностике могут быть использованы денситометрия, сцинтиграфия, артроскопия, биопсия подкожных образований.
Основные методы лечения
Ревматоидный артрит пока не поддается окончательному излечению, поэтому все усилия врачей направлены на устранение симптоматики, предупреждение распространения воспалительного процесса на здоровые суставы и внутренние органы. Диета при ревматоидном артрите не имеет терапевтического значения, но ее соблюдение позволяет снизить вес пациентам с ожирением. Для уменьшения нагрузки на суставы рекомендовано ношение ортопедических приспособлений — ортезов, корсетов, бандажей. Медикаментозное лечение проводится с помощью следующих средств:
- нестероидные противовоспалительные препараты — Диклофенак, Нимесулид, Кетопрофен, Вольтарен, Кеторолак, Целекоксиб, Аркоксиа, Индометацин, Мелоксикам, Ибупрофен;

- базисные препараты — Сульфасалазин, Метотрексат, аминохинолиновые препараты, Лефлуномид, Азатиоприн, Циклофосфан, Циклоспорин, Ремикейд, Тимодипрессин;

- глюкокортикостероиды — Триамцинолон, Преднизолон, Дексаметазон, Метилпреднизолон, Кеналог, Гидрокортизон, Дипроспан, Флостерон;

- биологические препараты — Галофугинон, Хумира, Актемра, Ритуксимаб, Оренция, Инфликсимаб, Ремикейд, Фламмэгис, Этанерцепт, Энбрел, Адалимумаб;

- поливитаминные комплексы — Супрадин, Селмевит, Центрум, Витрум, Мультитабс.
В лечении ревматоидного артрита используются физиотерапевтические процедуры, классический, точечный, вакуумный массаж, гирудотерапия, минеральные воды, ЛФК.
Статья по теме: Полезные свойства и рецепты приготовления настойки каштана — для лечения ревматоидного артрита и не только.
Ревматоидный артрит — тяжелая аутоиммунная патология, поэтому применение средств, изготовленных по народным рецептам, не только нецелесообразно, но и опасно. Пока человек принимает настои и отвары из трав, в его организме стремительно распространяется воспалительный процесс. Только своевременное врачебное вмешательство поможет достичь устойчивой ремиссии, избежать эндопротезирования.
Похожие статьи





