Лечение суставов пальцев рук: официальная медицина и народные методы
Жизнь человека переполнена стрессами, зачастую отличается неправильным питанием, малой подвижностью и повышенными нагрузками на верхние конечности. С каждым годом все большему количеству людей необходимо лечение суставов пальцев рук – лечение, требующее компетентной консультации специалиста, педантичного соблюдения пациентом предписаний врача, затрат времени и финансов. Однако если пустить дело на самотек и не заняться суставами своевременно, то вероятность утраты способности полноценно пользоваться руками будет уверенно приближаться к 100%.
Возможные диагнозы
Прежде чем лечить суставы пальцев рук, нужно выяснить, от чего они болят или плохо слушаются своего хозяина. И этим выяснением должны заниматься ревматолог с ортопедом, потому что суставы могут быть поражены разными заболеваниями.
Ревматоидный артрит
Заболевание характерно для людей преклонного возраста, чаще всего поражает мужчин. Есть версия, имеющая подтверждения, что большая часть пациентов с диагностированным ревматоидным артритом генетически к нему предрасположена.
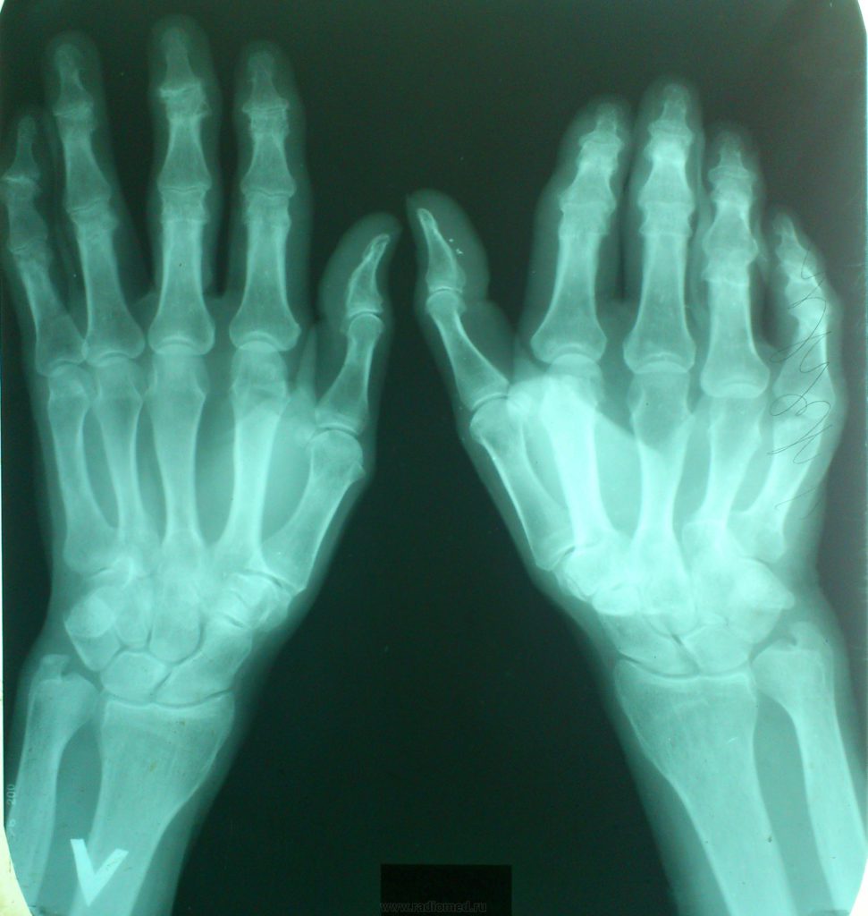
Началу развития болезни способствуют травмы, стрессы (особенно продолжительные), переохлаждения, вирусные инфекции. Даже «примитивное» ОРВИ, если его не лечить, может дать осложнение в виде ревматоидного артрита. Заболевание опасно еще и трудностью диагностики: его обнаруживают чаще всего на поздних сроках, когда ткани уже сильно повреждены. К врачу больной обычно попадает, когда суставы заметно увеличены, потеряли в своей подвижности и болят. При этом они фиксируются в смещенном к мизинцу положении; до конца согнуть или разогнуть пальцы невозможно.
При артрите долгий отдых (например, ночной сон) ведет к утренней скованности суставов: требуется время, чтобы они начали функционировать. Очень часто заболевание сопровождается поднятием температуры; в некоторых случаях оно вызывает васкулит (воспаление стенок сосудов), а у женщин – синдром Шегрена, ведущий к сухости рта, глаз, трахеи и половых органов.
Болезнь Стилла
В отличие от большинства проблем с суставами, связанных с возрастными изменениями, болезнь Стилла затрагивает только детей и подростков примерно до 16 лет. Основные ее проявления заключаются в поражении межфаланговых суставов, сыпи (возникает чаще всего незаметно для пациента и родителей, проходит очень быстро) и лихорадочном состоянии.
В развитии болезни Стилла совершенно точно «виновата» генетика. А провоцирующими факторами являются:
- вирусные и бактериальные инфекции;
- сильное переохлаждение;
- травматические повреждения кистей рук;
- вакцинация во время или сразу после болезней;
- стрессы;
- переизбыток воздействия солнечных лучей.
С диагностикой этого заболевания тоже имеются определенные трудности: анализ крови на биохимию не демонстрирует наличия ревматоидных факторов. Требуются рентгенографические исследования и пункция (берется на исследование суставная жидкость).
Остеоартроз
Во время этой болезни хрящевая ткань патологично изменяется, вследствие чего один сустав или несколько подвергаются деформации; в запущенных случаях они полностью теряют подвижность. Тяжелые формы остеоартроза характерны для пожилых людей. В молодом возрасте он тоже случается, но дискомфорт пациента выражен слабее.
Остеоартроз первыми поражает суставы пальцев. Без лечения он захватывает шейную и крестцовую области позвоночника, распространяется на колени. Проявляется хрустом в пораженном суставе во время движения. Первоначально плохая подвижность сустава наблюдается после длительного нахождения в покое, и она исчезает довольно быстро. При игнорировании проблемы сустав прочно фиксируется в не разогнутом положении, а физические нагрузки отдаются болью уже на начальных стадиях.
Стенозирующий лигаментит
Заболевание в народе (да и среди медперсонала) часто называют «щелкающим пальцем», по основному симптому: сустав самопроизвольно фиксируется согнутым, и для его разгибания требуется заметное усилие. Порой приходится помогать пальцу вернуться в исходное положение второй рукой. При этом больной палец приобретает сверхчувствительность, немеет, сустав отекает или обзаводится шишкой, мягкие ткани испытывают онемение.
Стенозирующий лигаментит – заболевание не самостоятельное. Он является следствием ревматоидного артрита или сахарного диабета. На фоне нормального здоровья лигаментит развивается только вследствие чрезмерной и длительной нагрузки на пальцы.
Врачебные рекомендации
Как лечить суставы на пальцах рук, будет решать врач после постановки точного диагноза с учетом многих факторов: общего физического состояния пациента, наличия/отсутствия у него аллергий и хронических заболеваний, характера протекания артрита или остеоартроза. Однако некоторые подходы остаются одинаковыми практически при любых диагнозах:
- снятие болевого симптома и воспаления. С этой целью пациенту прописываются чаще всего нестероидные противовоспалительные лекарства. Какие именно – решает специалист, поскольку медикаменты имеют побочные действия, а некоторые из них – противопоказания при наличии других заболеваний;
- устранение причины развития конкретного заболевания, в результате которого оказались пораженными суставы пальцев рук. Чем лечить, врач будет решать индивидуально. К примеру, ревматоидный артрит хорошо поддается гормональной терапии глюкокортикостероидами, а для лечения стенозирующего лигаментита требуются инъекции препаратов в пострадавшую область;
- восстановление функциональности суставов. Для него разрабатывается персональная программа, включающая физиотерапевтические процедуры, лечебную гимнастику, медикаментозный курс препаратов, расширяющих сосуды и восстанавливающих хрящевые ткани, лекарственные аппликации.
Однако эта схема является предельно упрощенной: в периоды обострений основные усилия прилагаются к снятию боли и воспаления; большинство процедур запрещены. Во время ремиссии врачом могут быть дополнительно назначены медикаменты, укрепляющие иммунитет. Если артрит имеет бактериальную природу, обязательным становится курс антибиотиков. Нередко пациентам рекомендуется также курс витаминных комплексов, призванных оптимизировать питание суставов. Иногда витамины дополняются препаратами, содержащими кальций.
Задача пациента
Выяснив у врача, чем лечить суставы пальцев рук, больной должен и со своей стороны приложить немало усилий, чтобы терапия была успешной, а заболевание как можно быстрее остановилось в развитии. Основные рекомендации:
- строго соблюдать все предписания доктора. Это касается как приема лекарств, так и посещения всех процедур;
- снизить нагрузки на больные суставы. Вплоть до того, что брать на время рецидивов больничный, если работа не позволяет ограничивать нагрузки. Домашние обязанности должны быть по максимуму перераспределены между другими членами семьи. Тяжести не поднимать, резких движений избегать;
- выполнять каждый день рекомендованную физиотерапевтом гимнастику – плавно и только в периоды ремиссий;
- четко и без послаблений придерживаться диеты, «прописанной» врачом, не позволяя себе отклоняться от нее даже в праздничные дни;
- каждый день пить достаточно чистой воды.
Только в тандеме с пациентом врач может добиться стабилизации состояния больного. Если он будет бороться не только с болезнью, а и с сопротивлением ее носителя, терапия будет неэффективна.
Советы народной медицины
Болезни суставов вовсе не являются чем-то новым и ранее неизвестным. Они сопровождают человечество давно, и люди непрерывно искали способы противостоять артритам и артрозам. Многие из них признаны даже официальной медициной. Вы вполне можете сделать более эффективным прописанный врачом курс, добавив лечение суставов пальцев рук народными средствами:
- водка и аптечная настойка валерианы берутся в равных количествах. В раствор опускается стручок жгучего перца (лучше его порезать, чтобы действующее вещество в более полной мере перешло в основу). Состав выдерживается в темноте примерно сутки, в нем смачивается тампон и прикладывается к больному месту. За месяц воспаление снимается, боли проходят;
- на ночь народная медицина рекомендует прикладывать к больным суставам компресс из раздробленного в пыль мела, залитого кефиром или ряженкой. Поскольку на руках он держится плохо, многие пациенты надевают поверх повязки варежки или свободные перчатки;
- во время рецидивов по утрам до завтрака следует принимать ложку оливкового масла, куда отжато немного чесночного сока. Воспаление снимается довольно быстро. Вместо масла можно брать теплое молоко; еще один способ использования чесночного сока при больных суставах рук – настаивание его на водке и прием во время обострений;
- болевой синдром неплохо снимается картошкой. Клубень следует оставить на солнце до обретения им зеленоватого оттенка. Затем он заливается горячей водой (не варится!), измельчается и используется для ночных компрессов. Правильность их приготовления проявляется теплом в районе воспаленного сустава. Боль от картофельного компресса уходит за несколько часов.
- По весне эффективным средством больных может обеспечить цветущая сирень. Соцветия этого куста около месяца настаиваются в спирте или водке. Настойка используется для растирания пораженных болезнью суставов. Затем надеваются рукавички – и через полчаса боль отпускает. Похожим образом можно использовать для растирки цветы каштана;
- Поможет и массажная мазь. Для нее нужно истолочь как можно мельче листья лавра и можжевельниковую хвою. Эта пыль вымешивается со сливочным маслом; крем хранится в холодильнике. Каждый день берется небольшой кусочек средства, с которым проводится самомассаж рук. Если вас смущает применение сливочного масла, воспользуйтесь другим кремом: смешайте вазелин и порошок из листьев зверобоя (сушеная трава продается в любой аптеке);
- хорошо помогают в снятии воспалений и боли ванночки для рук, в которые добавлен березовый отвар. Эффект усиливается, если в воду добавлять морскую соль либо иголки любого хвойного дерева. Для ванн, полезных суставам, можно использовать эфирные масла. Наиболее благоприятный эффект оказывают эвкалиптовое и сандаловое;
- параллельно со всеми примочками, растираниями, компрессами и ванночками можно пить березовый сок. Он снабжает витаминами, необходимыми не только суставам, но и организму в целом;
- для внутреннего употребления народные лекари советуют также отвар из веток калины (перед приготовлением их нужно измельчить). Пить полстакана в день, понемножку, каждый час или два;
- еще один хороший целебный рецепт: настойка на водке скорлупы грецких орехов. Принимать ее нужно до еды трижды в день по столовой ложке;
- многим артритникам быстрое облегчение приносит растирание настойкой одуванчиков. В качестве сырья используются уже распустившиеся цветы без стеблей. Их нужно мелко нарубить, залить водкой либо разведенным спиртом. До начала применения растирка выдерживается в тепле и темноте две недели. После применения кисти нужно утеплить на полчаса-час;
- хорошая массажная мазь получается из смеси глицерина, меда, йода и спирта. Соотношение компонентов определяется экспериментальным путем: натуральный мед имеет разную консистенцию;
- для компрессов при артрите неплохой основой считается смесь водки с горчицей;
- почти при всех суставных заболеваниях эффективным средством является смесь из спирта, оливкового масла и камфоры в равных количествах со скипидаром с дозой вдвое меньше. Перед нанесением емкость с составом хорошо взбалтывается (он имеет склонность к расслаиванию). После применения на руки надеваются шерстяные варежки. Перед использованием средства проверьте, нет ли у вас аллергии на какой-нибудь из компонентов.
И помните: лечение суставов пальцев рук народными средствами обязательно согласовывается с наблюдающим вас врачом!
Похожие статьи



