Причины синовиального хондроматоза коленного сустава, классификация, хирургическое лечение
Синовиальным хондроматозом колена называется дисплазия, для которой характерно формирование во внутреннем слое суставной капсулы хрящевых тел. Ведущие симптомы патологии — боли в колене при движении и покое, отечность, хруст во время ходьбы и тугоподвижность. После диагностирования хондроматоза проводится хирургическое лечение. Обычно удаляются внутрисуставные тела, но в тяжелых случаях полностью или частично иссекается синовиальная оболочка.
Описание и особенности синовиального хондроматоза коленного сустава
Синовиальная оболочка состоит из особых клеток, определяющих ее функциональную активность. Но при хондроматозе происходит их замещение хрящевой тканью с образованием плотным узелков. При проведении диагностических исследований они визуализируются в виде единичных или множественных бугорков. Большая часть узелков «встроена» во внутреннюю поверхность суставной сумки, а некоторые возвышаются над ней на ножке. Такие уплотнения со временем отделяются и начинают свободно передвигаться во внутрисуставном пространстве. Они состоят из гиалинового хряща, включающего очаги обызвествления.

Хондромные тельца округлые, прочные, отличаются друг от друга размерами. Обычно их диаметр не превышает несколько миллиметров, но встречаются крупные 4-5-сантиметровые экземпляры. В коленном суставе может одновременно находиться до нескольких сотен свободно перемещающихся внутрисуставных тел. Метаплазия синовиальной оболочки становится причиной ее деструкции:
- утолщения суставной сумки;
- гиперплазии (увеличения количества) ворсинок;
- наличия хондроматозных участков.
Наблюдается лимфоидная и плазматическая инфильтрация, обычно спровоцированная развитием реактивного синовита. Такие образования доброкачественные, хорошо устраняются хирургическим путем. Но в медицинской литературе описаны случаи перерождения клеток, озлокачествления хондроматоза.
Классификация
Хондроматозы коленного сустава бывают врожденными и постнатальными. Последние представлены доброкачественными опухолевидными хондромами или озлокачествленными новообразованиями хондросаркомами. Врожденные хондроматозы колена — истинные дисплазии, которые протекают с формированием внутрисуставных тел костной или костно-хрящевой структуры.
Также хондроматозы классифицируются в зависимости от тяжести течения патологии:
- стабильные характеризуются образованием единичных хондромных телец (до 10) или множественных (не более 25). При таком заболевания не происходит дальнейшего формирования хрящевых структур или этот процесс резко тормозится;
- прогрессирующие сопровождаются непрерывным формированием в полости коленного сустава хондромных телец, количество которых может превышать несколько сотен.
Довольно редко у пациентов диагностируется остеоматоз — наличие в полости сустава малоподвижных костных тел неправильной формы. Вид хондроматоза обуславливает выраженность симптоматики, становится решающим фактором при выборе метода хирургического вмешательства.

Причины возникновения заболевания
Причины образования в колене внутрисуставных тел окончательно не установлены. Многие ортопеды и травматологи придерживаются версии, что врожденная патология спровоцирована нарушением деления клеток тканей сустава в период эмбрионального развития. А причиной приобретенной хрящевой метаплазии внутреннего слоя суставной сумки становятся внешние, пока не выясненные факторы. Они приводят к нарушению метаболизма, расстройству определенных биохимических процессов.
К развитию приобретенного хондроматоза предрасполагают предшествующие травмы, обычно переломы и сильные вывихи колена. Предпосылкой к формированию хондромных тел служит постоянное микротравмирование тканей в результате физических нагрузок. Отмечены случаи развития хондроматоза на фоне инфекционных патологий.
Симптоматика болезни
Присутствие в полости сустава свободно перемещающихся тел не может не сказаться на функционировании колена. Постоянно или эпизодически возникают боли, усиливающиеся во время ходьбы. При сгибании и (или) разгибании колена отчетливо слышится хруст, щелчки, треск. Движения в суставе ограничены по двум причинам:
- во-первых, из-за метаплазии синовиальной оболочки она утрачивает способность выделять синовиальную жидкость, необходимую для уменьшения трения между суставными концами костей;
- во-вторых, человек сам намеренно избегает делать движения, которые приводят к появлению дискомфортных ощущений.
Нередко хондромные тела ущемляются суставными поверхностями, провоцируя частичную или полную блокаду колена. Объем движений восстанавливается только после высвобождения хрящевых частиц в просвет суставной сумки.
Наличие в полости колена посторонних тел приводит к развитию синовита — воспалительного процесса в синовиальной оболочке, сопровождающегося скоплением жидкости (выпота). Заболевание клинически проявляется повышением местной температуры, отечностью, покраснением кожи.
Диагностика
Первичный диагноз редко выставляется на основании жалоб пациента и внешнего осмотра, так как симптомы хондроматоза колена схожи с клиническими проявлениями других патологий, например, подострого периода гонартроза. Для обнаружения заболевания проводится ряд инструментальных исследований, гистологический анализ суставной оболочки.
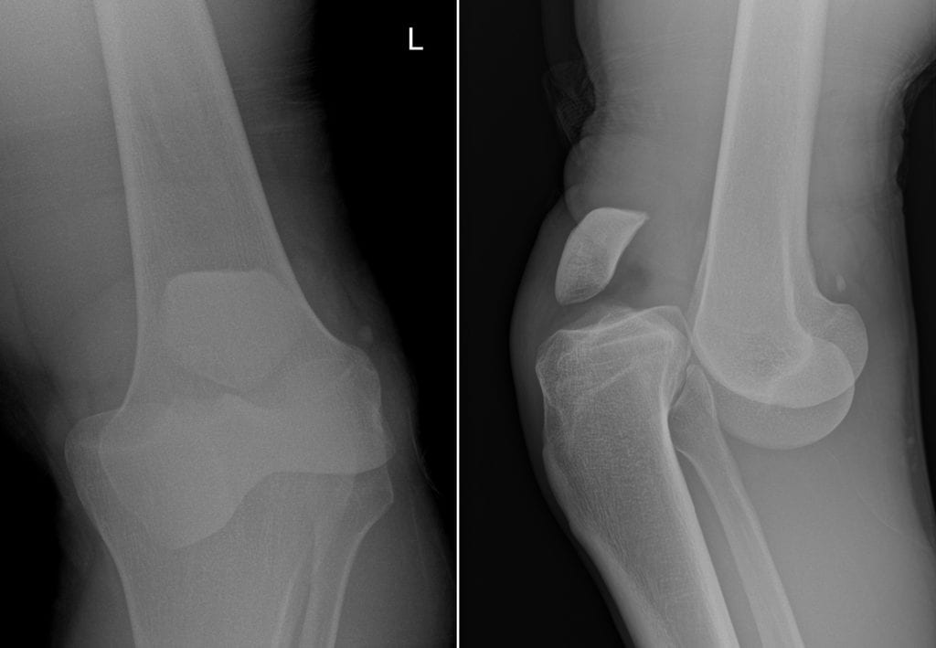
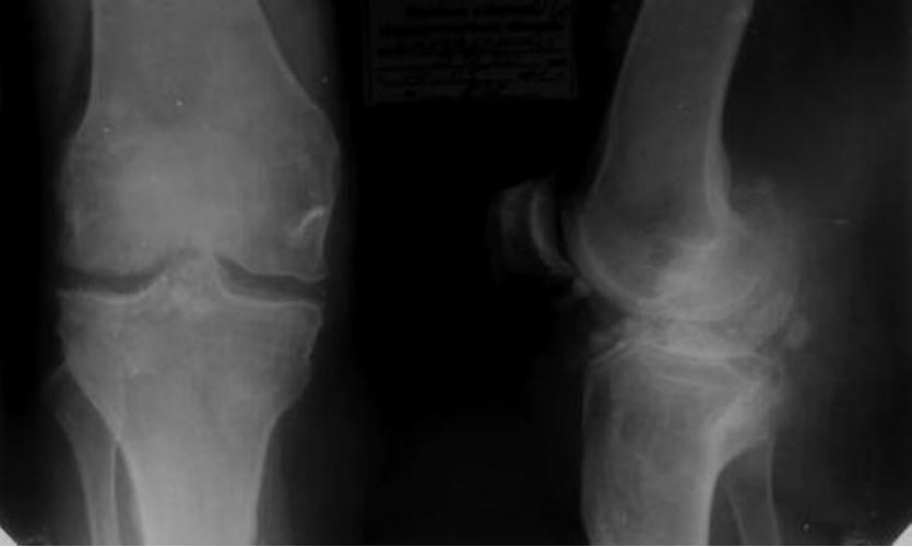
На полученных рентгенографических изображениях хондромные тела визуализируются в виде множественных шаровидных или овальных теней с четкими очертаниями. Но это исследование информативно только при наличии включений с обызвествленными участками.
Если внутрисуставные тела не содержат соли кальция, то для их обнаружения требуется проведение УЗИ, МРТ, компьютерной томографии. Эти исследования позволяют определить присутствие посторонних включений, их форму, размеры, количество.
Артроскопия и биопсия синовиальной мембраны — самые информативные диагностические мероприятия. Они помогают оценить состояние суставных структур, степень деструкции синовиальной оболочки, обнаружить хондромные тела.
Лечебные мероприятия
Терапия хондроматоза начинается сразу после выставления диагноза, так как прогрессирование патологии может привести к развитию тяжелых осложнений. Если они уже обнаружены, то проводится их одновременное устранение. Лечение направлено на улучшение самочувствия пациента с помощью удаления внутрисуставных тел и восстановления нормального функционирования колена.
Консервативная терапия
Лечение хондроматоза может быть только хирургическим. На этапе подготовки к операции пациентам назначаются препараты для снижения выраженности симптоматики. Купировать боль помогают нестероидные противовоспалительные средства в таблетках (Найз, Кеторол, Нурофен) или в виде гелей для локального нанесения (Фастум, Вольтарен, Артрозилен). Они также устраняют воспаление и отеки, характерные для синовита.
Перед хирургическим вмешательством показано ношение ортопедических приспособлений различной степени жесткости. Это могут быть эластичные наколенники или бандажи с металлическими, пластиковыми вставками. Ортопедические изделия ограничивают движения в суставе, препятствуют повреждению синовиальной оболочки хондромными телами.
Оперативное вмешательство
При выборе метода хирургического вмешательства врач учитывает форму хондроматоза колена, количество находящихся в синовиальной оболочке хондромных телец, развившиеся осложнения и выраженность симптоматики. Если обнаружено небольшое число внутрисуставных телец, то применяются более щадящие оперативные методики, например, удаление только части суставной сумки с хрящевыми включениями. При прогрессирующем хондроматозе с интенсивными клиническими проявлениями врачи часто полностью иссекают синовиальную оболочку.
| Вид хирургического вмешательства при хондроматозе коленного сустава | Техника проведения операции |
| Артроскопия | Малоинвазивная операция, в ходе которой травматолог извлекает из полости колена хондромные тела, сформировавшиеся на фоне различных травм и патологий. Удаление может проводиться специальными щипцами, иглами или вымыванием через стержень артроскопа |
| Частичная синовэктомия | Оперативное вмешательство, заключающееся в частичном удалении синовиальной оболочки колена. Может выполняться открытым или артроскопическим способом. Методика позволяет избавиться от посторонних включений, предупредить деформацию пораженного сустава |
| Артротомия | Хирургическое вмешательство, при которой суставная капсула рассекается с целью обнажения (вскрытия) полости сочленения и удаления свободных костно-хрящевых фрагментов, резекции нежизнеспособных тканей |
| Тотальная синовэктомия | При проведении операции хирург-ортопед полностью удаляет синовиальную оболочку вместе с внутрисуставными телами |
Период реабилитации
После операции на сустав накладывается гипсовая лангетка для полного обездвиживания ноги. Длительность фиксации зависит от вида хирургического вмешательства. Ортопедические приспособления используются и после снятия лангетки. Вначале пациентам показано ношение полужестких ортезов, а затем эластичных бандажей для исключения резких движений. Проводятся сеансы физиотерапии для восстановления поврежденных тканей колена:
- УВЧ-терапия;
- магнитотерапия;
- лазеротерапия;
- ударно-волновая терапия;
- гальванические токи;
- аппликации с озокеритом и парафином.
Ускорить регенерацию суставных структур пациентам помогает классический, точечный, баночный массаж. В реабилитационном периоде применяется гирудотерапия, иглорефлексотерапия, электрофорез или ультрафонофорез с витаминами группы B и хондропротекторами.
Сразу после снятия гипсовой лангетки выписывается направление к врачу ЛФК. Он изучает результаты диагностики и проведенного лечения, оценивает физическую подготовку пациента. Затем врач составляет комплекс упражнений для постепенного восстановления всех функций сустава.
С помощью ежедневных занятий лечебной физкультурой и гимнастикой укрепляется мышечный каркас колена, улучшается кровообращение, ускоряются регенерационные процессы.
Осложнения хондроматоза без лечения
Если блокада колена происходит часто и продолжается подолгу, то это предрасполагает к тугоподвижности, формированию контрактур, а в особо тяжелых случаях — атрофическим изменениям мышц ног. Постоянное повреждение эпифизарных хрящей свободно перемещающимися внутрисуставными тельцами становится причиной развития деформирующего остеоартроза (гонартроза). Эта патология быстро прогрессирует и с трудом поддается консервативной терапии.
Если пациент не обращается за медицинской помощью на начальной стадии гонартроза, то спустя несколько лет возникает частичное или полное обездвиживание нижней конечности (анкилоз). Человек утрачивает способность самостоятельного передвижения или пользуется при ходьбе костылями. Восстановить объем движений помогает проведения артродеза, артропластики, замена разрушенного сустава эндопротезом.
Профилактика и прогноз
Прогноз на полное выздоровление благоприятный. Но при нерадикальном хирургическом вмешательстве возможны рецидивы. Чтобы минимизировать вероятность повторного формирования хондромных тел, следует избегать травмоопасных ситуаций и своевременно лечить инфекционные патологии. Необходимо регулярно проходить полные медицинские осмотры с обязательным рентгенологическим обследованием.
Похожие статьи






