Симптомы, диагностика и лечение субакромиального бурсита плечевого сустава
Субакромиальный бурсит — острый, подострый или хронический воспалительный процесс, поражающий субакромиальную сумку плечевого сустава, расположенную между головкой плечевой кости и акромионом лопатки. В ней образуется и накапливается экссудат, что приводит к возникновению болей, усиливающихся при сгибании и разгибании сочленения, отведения верхней конечности или ее подъеме вверх. Плечевой сустав отекает, движения в нем сильно ограничены, нередко повышается температура тела. Причинами развития патологии становятся функциональные перегрузки, например, частые и монотонные движения рукой.
Для диагностирования субакромиального бурсита используются рентгенография, МРТ, КТ. Обязательно проводится бактериологическое исследование воспалительного экссудата, извлеченного с помощью пункции. Лечение острой и подострой патологии — консервативное, фармакологическими препаратами, наложением ледяных компрессов, ношением ортеза. При хроническом субакромиальном бурсите больному показано хирургическое вмешательство.
Причины и провоцирующие факторы
Причина развития острого инфекционного субакромиального бурсита — небольшая травма (порез, ожог, царапина) или гнойное воспаление (пролежень, фурункул, карбункул). В поврежденные ткани проникают и начинают размножаться болезнетворные бактерии, обычно стафилококки. Затем лимфой микробы переносятся в субакромиальную сумку, инфицируя синовий и провоцируя развитие воспалительного процесса.
При некоторых травмах (глубоких порезах или проколах) эпидермальные или золотистые стафилококки попадают в сумку непосредственно с поверхности кожи. Патология может возникнуть даже при падении с велосипеда, если оно сопровождалось формированием на плече гематомы или повреждением мягких тканей. Вероятность инфицирования сумки существенно возрастает при снижении защитных сил организма. К развитию патологии предрасполагают следующие заболевания и состояния:
- алкоголизм;
- сахарный диабет;
- длительный прием гормональных препаратов;
- тяжелые почечные патологии;
- склеродермия;
- ревматоидный и подагрический артрит;
- отложение солей в субакромиальной сумке.
Причиной хронического субакромиального бурсита становится постоянное, продолжительное механическое раздражение плеча в результате профессиональной деятельности или интенсивных, частых спортивных тренировок.
Клиническая картина
Субакромиальная бурса изолирована от основной суставной полости, поэтому выраженность симптоматики зависит от степени протекающего в ней воспалительного процесса. Для острой и подострой формы патологии характерны следующие клинические проявления:
- дискомфортные ощущения умеренной интенсивности, возникающие на ранней стадии субакромиального бурсита. Интенсивность болевого синдрома быстро нарастает. Боли появляются не только при сгибании или разгибании плечевого сустава, но и в состоянии покоя;
- любое активное движение провоцирует резкую, пронизывающую боль. Ее выраженность наиболее высока при первом после продолжительного отдыха движении. Человек намеренно избегает отведения или подъема поврежденной руки, чтобы не испытывать болезненных ощущений;
- пораженный субакромиальным бурситом сустав становится немного крупнее здорового плеча. Кожа над ним отекает, а при остром воспалении — краснеет.
Симптоматика хронической патологии выражена не столь ярко. Боли возникают только при резких движениях, после интенсивных физических нагрузок или перемене погоды. Они ноющие, тянущие, не иррадиируют в предплечья или шею.
В отличие от других видов бурсита, поражающих плечевой сустав, при субакромиальной патологии боли локализуются в его наружной верхней области, где расположена воспаленная сумка. Интенсивность дискомфортных ощущений нарастает чаще в середине отведения, внутреннего или наружного вращения. Боль появляется и при подъеме рук над головой, но выражена она слабее.
Если субакромиальная сумка инфицирована патогенными бактериями, то продукты их жизнедеятельности потоком крови разносятся по всему организму. Температура тела поднимается выше субфебрильных параметров (37,1—38,0 °C), возникают неврологические (головные боли, бессонница) и диспепсические расстройства (тошнота, отсутствие аппетита).
Диагностика
Диагноз выставляется на основании внешнего осмотра, результатов инструментальных и бактериологических исследований. При пальпации ямки, расположенной под акромионом, ощущается максимальная болезненность даже при легком надавливании. Амплитуда движений снижена, но атрофия мышц наблюдается редко. При определении мышечной силы может быть выявлено только ее незначительное снижение. Для субакромиального бурсита характерен специфический диагностический признак — симптом Нира. Врач сгибает руку пациента, повернутую внутрь. Возникают неприятные ощущения, которые довольно быстро исчезают.
Также проводится проба Нира: после инъекции 10 мл Лидокаина в область сумки на некоторое время восстанавливается амплитуда движений, повышается мышечная сила. Чаще выявляется субакромиальный бурсит правого плечевого сустава, так как эта рука рабочая у большинства людей.
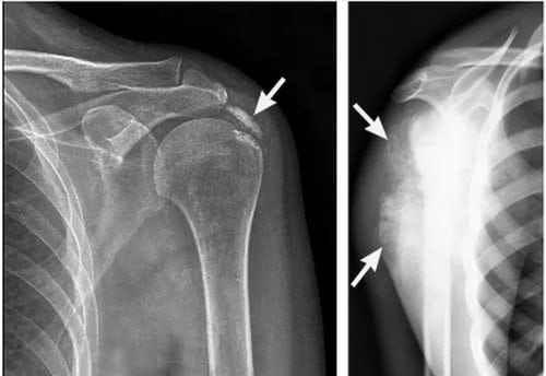
Наиболее информативно рентгенологическое исследование в диагностике патологии, МРТ, УЗИ, КТ. По полученным изображениям можно судить о локализации воспалительного процесса, стадии его течения, распространении на другие соединительнотканные структуры. Нередко на снимках обнаруживается вращающаяся шпора внизу акромиона.
При подозрении на инфицирование сумки производится посев пунктата в питательные среды. В результате бактериологического исследования после образования колоний устанавливается вид патогенных микроорганизмов и их резистентность к антибиотикам.
Основные методы консервативного лечения
Именно бурсит этой локализации требует длительного и непрерывного лечения. Субакромиальная сумка расположена глубоко в тканях, поэтому нередко воспалительный процесс носит затяжной характер. При обнаружении инфекционной природы патологии проводится антибиотикотерапия макролидами, цефалоспоринами, полусинтетическими пенициллинами параллельно с противомикробными препаратами, сульфаниламидами. Предварительно с помощью пункции из сумки удаляется патологический экссудат, а ее полость промывается антисептическими растворами.
Для купирования воспаления и устранения болей в лечебные схемы ортопедами включаются нестероидные противовоспалительные средства (НПВС) в таблетках или растворах для внутримышечного введения:
- Кетопрофен;
- Диклофенак;
- Нимесулид;
- Мелоксикам;
- Ибупрофен.
При неэффективности НПВС могут применяться глюкокортикостероиды Дипроспан, Дексаметазон, Кеналог. Но к гормональным препаратам прибегают редко, так как обычно субакромиальный бурсит не сопровождается сильным воспалением или быстро принимает хроническую форму. Глюкокортикостероиды используются и при повреждении воспалительным процессом вращательной манжеты, что также редко встречается при этой форме заболевания.
Помимо препаратов, в лечении субакромиального, субкоракоидального или поддельтовидного бурсита плечевого сустава активно применяются физиотерапевтические методы — криотерапия локальная, реже — общая, микротоковая терапия. С болезненными ощущениями хорошо справляются несколькими сеансами электрофореза или фонофореза. Практикуется и прогревание плеча, но только после купирования воспалительного процесса — примерно на 3-4 день лечения.
На протяжении всей терапии пациентам рекомендуется избегать совершения движений, вызывающих резкие боли. В период реабилитации лечебная физкультура необходима, как и плавание, йога.
| Наружные средства (мази, гели, кремы), используемые в терапии субакромиального бурсита | Наименование препаратов | Фармакологическое действие |
| Нестероидные противовоспалительные средства | Нурофен, Найз, Кеторол, Артрозилен, Диклофенак, Дикловит, Ибупрофен, Фастум, Вольтарен | Купируют воспалительные процессы, снижают выраженность болей и отеков |
| Препараты с разогревающим эффектом | Наятокс, Гэвкамен, Апизартрон, Капсикам, Випросал, Финалгон, Меновазин, Эспол | Стимулируют улучшение кровообращения за счет местнораздражающих свойств |
Хирургическое вмешательство
В случае серьезного инфекционного поражения субакромиальной сумки, неэффективности антибиотикотерапии, быстрого распространения патологического процесса бурса оперативно иссекается.
Затем пациенту показано длительное лечение антибактериальными средствами для предупреждения образования гнойного экссудата. Терапия длительная, так как заживление занимает несколько недель, а иногда и месяцев.
При диагностировании хронического, вялотекущего, асептического бурсита пациенту сразу предлагают хирургическое вмешательство. Эта форма патологии плохо поддается консервативной терапии, поэтому самый надежный способ избавиться от нее — удалить субакромиальную сумку. Операция плановая, обычно малоинвазивная. Раневая поверхность заживает спустя 7-10 дней. Вероятность возникновения рецидивов после хирургического вмешательства минимальна — в 2,5% случаев.
На этапе реабилитации проводятся физиотерапевтические мероприятия. Для восстановления всех функций плечевого сустава необходимы ежедневные занятия лечебной физкультурой или гимнастикой.
Похожие статьи







