Воспаление голеностопного сустава — причины и лечение заболевания
Артрит голеностопного сустава – результат перенесенной травмы, инфекции или признак прогрессирования аутоиммунного заболевания. Патология возникает с равной долей вероятности у мужчин и женщин. Нарушению подвержены люди пожилого и преклонного возраста, спортсмены, которые часто подвергают себя повреждениям. Только на приеме у врача подтверждается, что ухудшение здоровья вызвало воспаление голеностопного сустава – причины и лечение также устанавливает специалист, поскольку сам пациент может только предполагать о первоисточнике болезни. Главный аргумент раннего обращения в больницу – улучшение самочувствия, предупреждение инвалидности, риск которой при рассматриваемом заболевании довольно высок.
Причины воспаления
Как лечить воспаление голеностопного сустав,а полностью зависит от фактора, послужившего первопричиной заболевания.
К развитию патологии предрасполагают следующие явления:
- Перенесенные травмы, особенно если они осложнились бактериальной инфекцией. Даже давние повреждения способны послужить благотворным условием для развития активного воспалительного процесса. Поскольку вывихи, надколы, переломы сопровождаются нарушением выработки синовии, что вызывает артрит.
- Перенесение бактериальной микрофлоры из близлежащих очагов – например, если у пациента цистит, фурункулы, простатит, пиелонефрит. Бактериальная флора достигает суставов и потенцирует воспаление в их полости.
- Переохлаждение – общее или местное (когда человек надевает легкую обувь в холодное время года, недостаточно утепляет ноги).
- Аутоиммунные заболевания – системная красная волчанка, ревматоидный артрит.
- Плоскостопие, поскольку сустав претерпевает повышенную нагрузку.
- Замедленный метаболизм.
- Аллергические реакции, вызывающие деформацию тканей.
- Повышение концентрации глюкозы крови.
Развитию воспаления в голеностопе способствуют частые нагрузки. Например, если по роду деятельности нужно подолгу стоять, ходить, поднимать тяжести. Взаимодействие с большим весом также предполагает усиление нагрузки на голеностоп.
Симптомы
Воспаление голеностопного сустава – это заболевание, которое невозможно не заметить. В отличие от латентных патологий, артрит этой части ноги проявляется дискомфортом. Неприятное ощущение нарастает ежедневно (при острой форме патологии) или реагирует на смену погоды (при затяжном воспалении).
Заболевание характеризуют следующие симптомы:
- болевой синдром. Боль становится интенсивнее по мере прогрессирования воспаления из-за циркуляции бактериальной флоры;
- отек. Увеличение объема ноги создает проблему с подбором обуви;
- повышение температуры тела (локальная гипертермия);
- нарушение функциональной способности. Пациенту больно наступать на ногу, он хромает. При начинающемся артрите боль возникает во время установки стопы на поверхность. Резкий прострел возникает в пятке, мучительное ощущение охватывает голень полностью, распространяется до колена. Пациент вынужден пребывать в положении сидя, чтобы облегчить самочувствие.
Отчетливо прослушиваются различные звуки: приложив ухо к больному суставу, можно распознать специфический хруст, щелчки, ощущение трения или скрипы в ноге на месте воспаления.
Диагностика
При подозрении на артрит проводят следующие диагностические мероприятия:
- Пункцию сустава с эвакуацией синовиальной жидкости, ее последующим исследованием, посевом на определение патогенной микрофлоры (также желательно провести окрашивание мазков по Граму).
- Лабораторное исследование крови (клиническое, биохимическое), мочи. Среди анализов крови ценность представляет определение C-реактивного белка.
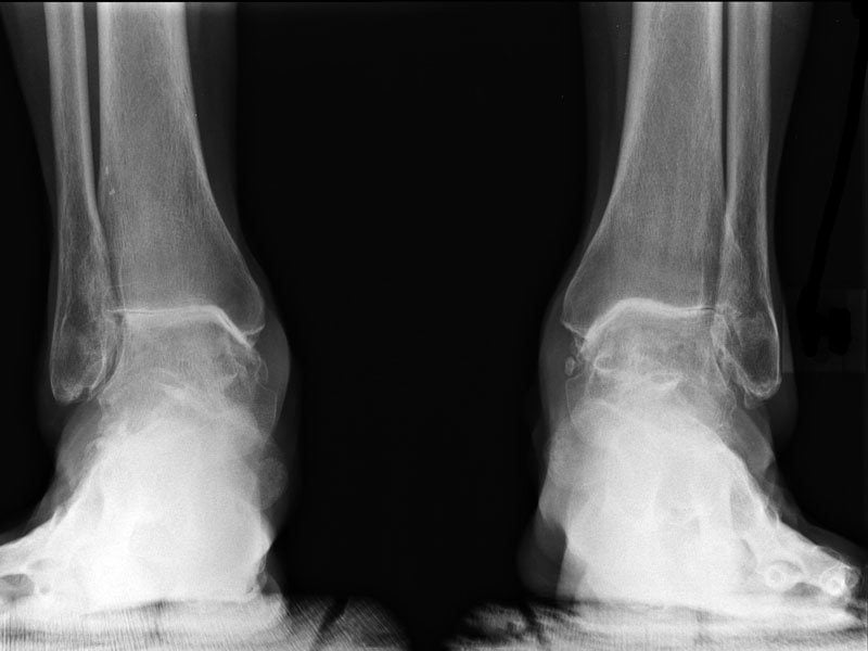
- Рентгенографию пораженного сочленения.
При изучении раневого отделяемого у пациентов, страдающих гнойным воспалением голеностопного сустава, удается выделить грамположительные возбудители — Staphylococcus aureus, Staphylococcus epidermidis, Staphylococcus saprophyticus, Enterococcus faecalis. В грамотрицательной патогенной микрофлоре выделяют Pseudomonas aeruginosa, Escherichia coli. Полученные сведения бактериологического исследования представляют информативную значимость. Врач выяснит степень тяжести клинического течения гнойных артритов голеностопа, назначит адекватное лечение.
Учитываются данные опроса и осмотра. Специалист выясняет, не было ли в семье больного случаев воспаления голеностопного сустава, узнает о событиях, предшествовавших заболеванию (полученные травмы, переохлаждение).
Лечение воспаления голеностопного сустава
Консервативное лечение проводится на 1 и 2 стадиях развития артрита голеностопного сустава. Если на момент обращения за медицинской помощью у пациента уже 3 или 4 стадия патологии, рассматривается вопрос о проведении хирургического вмешательства. Попытки лечения болезни одними медикаментами приравниваются к потере времени, что чревато ампутацией воспаленной конечности пациента.
При стойком повышении температуры тела назначают системную антибиотикотерапию. Получив результаты выполненного посева, допустимо осуществить ее коррекцию с учетом чувствительности патогенной флоры, выявленной в образце биологического материала.
Медикаментозное лечение
Задача врача – купировать воспалительный процесс, чтобы восстановить функциональную способность пораженной ноги. Но важно нормализовать общее самочувствие. С этой целью назначают системное введение обезболивающих средств.
Медикаментозная терапия предполагает следующие лекарственные предписания:
- Нестероидные противовоспалительные препараты (НПВП). Диклофенак, Нимесулид (Найз), Ибупрофен обеспечивают снижение спектра воспалительного процесса, снимают боль.
- Анальгетики. Назначают, когда введения НПВС недостаточно для снижения боли. Кетанов, Кетарол, Дексалгин, Анальгин – перечисленные препараты купируют приступы болезненности, помогают перенести послеоперационное восстановление.
- Терапия, направленная на снижение отеков. Чтобы снять отечность, назначают диуретики – Фуросемид, Лазикс. Дозировка определяется весом пациента, степенью выраженности отеков.
- Витаминотерапия. Введение витаминов необходимо для улучшения циркуляции крови, укрепления иммунных свойств организма пациента в период послеоперационной реабилитации.
- Гиалуроновая кислота – часть терапии воспаления голеностопного сустава. Натуральный компонент помогает увеличить вязкость синовиальной жидкости.
- Антибиотики назначают, если лабораторно доказано, что причина воспаления – внедрение бактериальной флоры внутрь сустава.
Видео пункции:
Важная часть лечения рассматриваемой патологии – внутрисуставное введение препаратов. Чаще – гормональные. Системное введение кортикостероидов становится причиной развития широкого спектра неблагоприятных явлений. Этот вид гормонотерапии в 8 из 10 случаев не обеспечивает достаточного угнетения интенсивности воспалительного процесса.
Местное введение медикаментов усиливает степень влияния на центр воспалительного процесса, сокращает необходимость проведения системной терапии, минимизирует риски неблагоприятных исходов.
Глюкокортикоиды вводятся внутрь сустава при следующих провоцирующих факторах: при отработке специалистом основной терапии; при обострении затяжного артрита (одновременно с базисным и в целом успешным лечением); если базисное лечение по разным причинам невозможно. Но главное основание для введения глюкокортикоидов внутрь сочленения – его воспаление, протекающее в активной фазе.
Гормональные средства для введения:
- Триамсинолона ацетонид (второе название – Кеналог; единоразовое применение Триамсинолона в полость пораженного сустава задерживает прогрессирование деструкции);
- Метилпреднизолон (фармацевтическое определение – Метипред, Депомедрол);
- Бетаметазона дипропионат (относится к составу Дипроспана);
- Бетаметазон;
- Гидрокортизон.
Дозировка препарата (однократная, суточная, курсовая) предопределяется величиной пораженного сустава. Если врач назначит Кеналог или Метипред, доза составляет 20 мг (как и для плечевого, локтевого сочленений). Большую дозировку вводить нецелесообразно и небезопасно (к слову, 40 мг используют для устранения артрита коленного сустава – он считается физиологически крупным).
Особенности локальной гормональной терапии следующие:
- часто повторяющиеся инъекции больших дозировок глюкокортикоидов способны вызвать дегенеративные процессы хряща сустава;
- вторичное введение кортикостероидов в тот же сустав допустимо не чаще, чем 4-5 раз за 12 месяцев;
- объем и кратность инъекционного введения препаратов в сочленения не регламентируется (предопределяется динамикой состояния пациента);
- при острой стадии воспаления голеностопного сустава инъекции выполняются с высокой регулярностью – лечение приближено к полноценной системной гормонотерапии.
Кроме гормонов, внутрь сустава также вводят препарат гентамицин – из расчета 8 мг антибиотика в 0,5 мл 0,25% раствора новокаина. Предварительно проводить эвакуацию синовиальной жидкости нецелесообразно. По результатам наблюдений, препарат гентамицин, введенный в суставную полость, уже на 2 сутки дает выраженное улучшение у 28 больных из 30, взятых под наблюдение. Произошел полный регресс гиперемии, удалось купировать ночные боли; в 3 раза уменьшился выпот в сочленениях. Лекарство сняло отек мягких тканей.
99% пациентов оценили полученный эффект, как выраженный, что соответствовало объективным данным. В случае подтверждения острого артрита голеностопного сустава было достаточно выполнения 1 внутриполостной инъекции гентамицина. Благодаря однократному введению произошло полное обратное развитие признаков воспалительного процесса.
Физиотерапия
Физиотерапевтические методы помогают добиться выздоровления пациентов с воспалением голеностопных суставов начальных стадий, ускорить восстановление у прооперированных больных.
Актуальны следующие виды физиотерапевтического лечения:
- Ультразвук. Механические колебания обладают высокой терапевтической способностью. В основе положительного воздействия – обеспечение микромассажа клеток и тканей. Ультразвук способствует рефлекторному расширению кровеносных сосудов, что вызывает усиление кровоснабжения тканей. Повышаются интенсивность и качество биохимических реакций. Поскольку нормализуется проницаемость клеточных мембран, активируются процессы диффузии и адсорбции, улучшается циркуляция и распределение лимфы, кровоток. Одновременно с перечисленными процессами ускоряется репарация и регенерация. Врачи регулируют и усиливают терапевтические свойства ультразвука путем добавления медицинских мазей, гелей. Несмотря на широкий спектр консистенций лечебных препаратов, предпочтительны средства в форме геля, поскольку индивидуальные критерии медикаментов наиболее сочетаемы с ультразвуком.

- Криотерапия (от греч. «крио» — «холод») представляет собой совокупность физических способов терапии. Они основаны на применении холодового фактора, цель которого – отводить тепло от тканей, органов и тела. Уровень их температуры понижается в рамках криоустойчивости (5-10 °C), не создавая явно выраженных изменений терморегуляции. Криотерапия классифицируется на местную и общую. Физиологическое свойство локальной криотерапии состоит в стремительном, интенсивном падении температуры кожного покрова и плавном, умеренном снижении этого показателя у мышечной, суставной ткани. Процедура вызывает сокращение просвета артериол и капилляров кожи, понижает проницаемость кровеносных сосудов, изменяет местное кровоснабжение, уменьшает отек. Благодаря данным проведенной допплерографии установлено, что холодный компресс за 20 минут уменьшает циркуляцию крови в синовиальной оболочке сочленений. Криотерапия у пациентов с воспалением голеностопных суставов позволяет добиться обезболивающего эффекта. Анальгетическое действие (локального вида рассматриваемой методики) объясняется прямым и косвенным воздействием холода. Криотерапия уменьшает порог возбудимости сенсорных нейронов, активируемых раздражителями. Процедура замедляет скорость нервной проводимости. А благодаря косвенному действию криотерапии происходит противоотечный и спазмолитический эффект, что благотворно отражается на состоянии воспаленного сочленения голени. Снижение боли отмечается, когда температура кожи понижается до 10-15 °C и сохраняется до 15-30 минут после процедуры. Противовоспалительный эффект – результат снижения выработки специфических ферментов (чаще – металлопротеиназы) и веществ, отвечающих за появление воспаления. Перечисленные свойства криотерапии находятся в основе теоретической аргументации ее использования при лечении артрита голеностопного сустава. Локальная воздушная криотерапия (ЛВКТ) — новейшая разработка, действенный способ улучшения состояния структур опорно-двигательного аппарата. Методика обеспечивает качественное охлаждение воспаленных сочленений воздушным потоком. Его температура – 40-58 °С. Результат процедуры – снижение температур двух видов: кожной и внутрисуставной, усиленное анальгезирующее действие. Цель криотерапии в ортопедии – достижение гипотермии, снижение отека, обезболивание, что позволяет на 30% улучшить двигательную активность (при условии артрита голеностопного сустава 1 и 2 стадий).

- Фонофорез с применением лечебных мазей и гелей (Фастум, Лиотон). Процедура позволяет улучшить циркуляцию крови, активировать внутрисуставные обменные процессы, уменьшить отечность мягких тканей. Положительную динамику продемонстрировало продолжительное наблюдение за пациентами, прошедшими курс терапии фонофорезом противовоспалительными препаратами в форме мазей и геля. 100% больных с 1 и 2 степенями артрита голеностопа отметили значительное общее улучшение. Успешность проведенной терапии удалось оценить и по состоянию пораженной конечности: уже к 7-10-м суткам улучшилась подвижность, практически ушла боль, устранился отек. После этого у всех пациентов наступал период стабилизации состояния. Необходимость повторного курса фонофореза появлялась только спустя 6-9 месяцев – это хороший показатель для больных с рассматриваемой патологией.

Таблица отражает основные критерии наблюдения пациентов, которым проводился фонофорез с каждым из препаратов:
| Критерий оценки | Фонофорез с препаратом Фастум® гель | Фонофорез с препаратом Лиотон® гель |
| Длительность курса применения препарата | 10 дней(По поводу артрита голеностопного сустава острой фазы) | 10 дней(Относительно лечения артрита голеностопа, протекающего в острой фазе) |
| Главный активный компонент, обеспечиваемое им действие | Основное действующее вещество препарата – кетопрофен — нестероидное противовоспалительное соединение, которое уменьшает процесс воспаления — внутрисуставного, в мышцах и сухожилиях | Активный компонент – гепарин натрия.При наружном применении оказывает следующие виды положительного действия:
Купирует формирование тромбина, подавляет физиологическую активность гиалуронидазы, участвует в фибринолизе крови, активирует эту способность |
| Преимущества препарата |
|
Препарат не вызывает привыкания, риск побочных эффектов практически исключен |
Антон Епифанов о применении физиотерапии:
Целесообразность использования для фонофореза препаратов Фастум® гель и Лиотон® гель продиктована набором требуемых фармакодинамических процессов. Они обеспечиваются активными компонентами рассмотренных препаратов (НПВС — кетопрофеном и гепарином соответственно). А топикальное (местное) применение медикаментозных средств, усиленное фонофорезом, обеспечивает достижение требуемых терапевтических эффектов без угрозы развития системных побочных реакций.
Физиотерапевтические методы лечения необходимы для устранения воспаления голеностопного сустава. Преимущества очевидны – положительное воздействие происходит непосредственно на пораженные ткани, процедуры не вызывают привыкания, оказывают мощное анальгезирующее и противоотечное действие.
Народные методы
Пациент, ощущающий болезненность в голеностопе, не должен полагаться на сомнительные методы. Попытки нормализовать функцию сустава прогревающими компрессами, наложением подогретой соли бесполезны.
Больному допустимо употреблять отвар ромашки, зверобоя, чабреца и календулы, но только с целью общего укрепления здоровья, ведь для борьбы с заболеванием нужен крепкий иммунитет.
С разрешения врача можно укутывать пораженный участок конечности шерстяной (натуральной) тканью, поскольку тепло обеспечивает отвлекающую терапию. Но полагаться на любое средство народной медицины опрометчиво: нужно получить помощь врача.
Хирургическое лечение
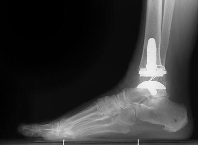
Эндопротезирование голеностопного сустава – перспективное, но мало изученное направление. Реконструкция этой части опорно-двигательного аппарата, как бы хорошо она ни была проведена, все равно потенцирует возникновение вторичного деформирующего артроза. Риск осложнения – результат следующих факторов:
- дополнительного повреждения во время хирургического вмешательства;
- нагрузки на околосуставные ткани и их травмирование;
- ухудшение суставной трофики в период послеоперационного восстановления.
Клиническое наблюдение в больницах Европы позволило сделать вывод, что на протяжении длительного времени использования хорошо зарекомендовали себя эндопротезы марки S.T.A.R. производства фирмы WALDEMAR LINK GmbH & Co. KG (Германия), Mobility™ (DePuy, Англия), марки HINTEGRA (New Deal SA, Франция).
У 15 пациентов со сроком наблюдения 6,2 года удалось установить признаки нестабильности и преждевременного износа компонентов протеза. Выполненное исследование показало: наибольшая выживаемость эндопротеза – у пациентов с ревматоидным артритом и у лиц со сниженной двигательной активностью.
Преимущества современных эндопротезов:
- Костный цемент, применяемый в процессе фиксации, не выдавливается за пределы эндопротеза при его установке.
- Усовершенствованные модели имплантов исключают необходимость проведения резекции значительной площади суставных поверхностей. Учитывая этот фактор, губчатая кость представляет собой достаточно надежную опору для закрепления костного цементного материала.
- Не происходит перемещения имплантатов. Протез не мигрирует в дистальный метаэпифиз большеберцовой кости или тело таранной кости.
- Хирургическая травма не провоцирует слабое заживление послеоперационной раны.
- Минимальное число неблагоприятных исходов.
Интерес к эндопротезированию голеностопного сустава вернулся сразу после внедрения бесцементных имплантатов, совершенствования дизайна (стали практиковать имплантацию трехкомпонентных моделей), нормализации качества операционного инструментария.
Осложнения эндопротезирования
Несмотря на модернизированное оборудование, применяемое при установке эндопротеза, на опыт врачей, в 25% клинических случаев после операции развиваются осложнения. Они возникают как в раннем, так и в позднем восстановительном периоде. К числу неблагоприятных исходов ЭП суставов относятся:
- инфекционное поражение сустава, который подвергался протезированию (ИПС);
- миграция компонентов эндопротеза, связочного аппарата;
- периостальные и перипротезные переломы;
- развитие тромбофлебита, тромбоэмболии.
ИПС — колонизация бактериальной флоры, поражающей одну или несколько структур. К таковым относится участок соединения кости с цементным материалом; поверхность и полость искусственного сустава; остаток синовиальной оболочки; мягкие ткани, которые окружают сустав. Инфекция протезированного сустава – показание к повторной госпитализации (если осложнение возникло в позднем послеоперационном периоде) или основание для продления срока пребывания в отделении (при раннем появлении отягощающего явления). Тактику врача усложняет необходимость проведения объемных ревизионных операций. Указанное действие не только ухудшает самочувствие пациента – оно повышает риск летального исхода.
Заключение
Воспаление голеностопного сустава, развитие которого не удалось предотвратить, можно вылечить. Для этого нужно обратиться к врачу при первых признаках ухудшения состояния конечности. Консервативная терапия и хирургические методики позволяют восстановить функцию ноги. Современные возможности эндопротезирования голеностопного сустава допускают полноценную эксплуатацию импланта на протяжении 6 лет. По истечении этого времени потребуется визит к врачу и контрольный осмотр, чтобы удостовериться в отсутствии скрытых осложнений. В целом, прогноз относительно выздоровления благоприятный, но при условии раннего обращения за медицинской помощью.
Похожие статьи







