Причины хруста в голеностопном суставе у взрослых и детей, способы устранения
Хруст и щелчки в голеностопных суставах обычно возникают после 50 лет из-за снижения выработки в организме коллагена и эластина, ухудшения кровообращения, замедления регенерации хрящевых тканей. У молодых людей эти звуки появляются редко: обычно после спортивных травм, интенсивных тренировок, тяжелой физической работы. Причины потрескивания суставов во время ходьбы бывают естественными и патологическими. Дифференцировать их самостоятельно в домашних условиях невозможно. После обращения к врачу проводится ряд инструментальных исследований, из которых наиболее информативна рентгенография. Лабораторная диагностика показана при одновременном возникновении хруста, отечности и болезненных ощущений.
Терапия зависит от установленного заболевания, выраженности его симптоматики и стадии течения. Если причина хруста в голеностопном суставе естественна, то пациенту рекомендуется внести коррективы в привычный образ жизни. Например, пить больше жидкости, избегать серьезных нагрузок на сочленение.
Естественные причины
Если хруст в голеностопе возникает нечасто, не сопровождается какими-либо дискомфортными ощущениями, то в 90% случаев при обследовании патологии обнаружено не будет. Появление звуков, или крепитация, объясняется накоплением в суставной полости пузырьков углекислого газа. При начале движения синовиальная сумка растягивается, а давление в ней повышается. В этот момент формируется один большой пузырек, который схлопывается с резким звуком. Обычно треск слышится при разгибании, а не сгибании сочленения. Крепитация характерна для людей, ведущих малоподвижный образ жизни. Пока они проводят время за компьютером или просмотром сериалов, в синовиальной жидкости кумулируется много пузырьков с углекислым газом. Поэтому при начале движения или потягивании потрескивают практически все крупные суставы. Также крепитация возникает у людей, в рационе питания которых преобладают белковые продукты (мясо, молоко, бобы).
Голеностопный сустав хрустит после длительного нахождения в неудобном положении тела. При сгибании или разгибании составляющие его элементы с трудом смещаются относительно друг друга. Потрескивание в этом случае сопровождается болью из-за неестественного распределения нагрузок на мышцы и связочно-сухожильный аппарат. Такая причина крепитации не считается патологической, если дискомфортные ощущения исчезают в течение нескольких минут.
У 10% жителей земного шара суставы гипермобильны. У них чрезмерно эластичные связки и сухожилия из-за биосинтеза особого сверхрастяжимого коллагена, поэтому некоторые сочленения могут гнуться в анатомически неестественном положении. При растягивании соединительнотканных структур голеностопа часто раздается специфическое потрескивание, особенно после длительного пребывания в статичной позе. Гипермобильность — относительно естественная причина крепитации. У людей с чрезмерно эластичными связками нередко происходят подвывихи и вывихи голеностопа, а после 50 лет существует большая вероятность развития остеоартроза.
Патологические причины
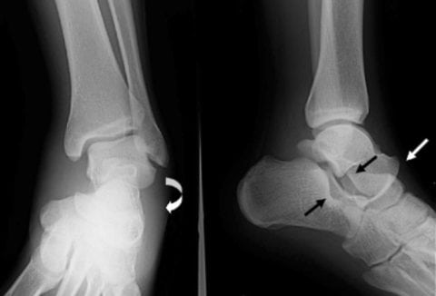
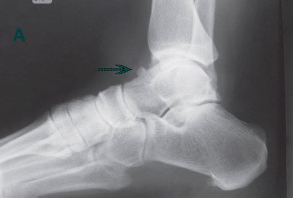
Хруст в голеностопе может быть симптомом практически любой воспалительной или дистрофически-дегенеративной патологии. Если он возникает на фоне болей, утренней скованности движений и припухлости сустава, то причиной крепитации стала деструкция костных, хрящевых или мягких тканей. Оттягивать визит к врачу нецелесообразно, так как все заболевания опорно-двигательного аппарата поддаются консервативному лечению только на начальной стадии. Что еще указывает на развивающуюся в голеностопе патологию:
- щелчки слышатся при каждом сгибании, разгибании сочленения, становятся привычным явлением во время ходьбы;
- не происходит полноценного сгибания или разгибания голеностопа, возникает субъективное ощущение определенного препятствия.
На суставную патологию указывает наследственная предрасположенность к ее развитию. Если пожилые родственники страдают от артрита голеностопа или остеоартроза, то вероятность возникновения ее у других членов семьи со временем довольно высока. В группу риска также входят люди с лишним весом, эндокринными и метаболическими заболеваниями (тиреотоксикоз, гипопаратиреоз, сахарный диабет). Очень часто развитие артроза провоцируют предшествующие травмы голеностопа: переломы, вывихи, разрывы связок, мышц, сухожилий. Симптомом каких заболеваний становится суставной хруст:
- подагрического, ревматоидного, псориатического, инфекционного, реактивного артрита, сопровождающегося острым или хроническим воспалительным процессом;
- тендинита, тендовагинита — воспаления сухожилия и (или) его оболочки в месте прикрепления к кости;
- деформирующих артрозов, спровоцированных разрушением гиалиновых хрящей, сопровождающихся формированием костных наростов — остеофитов;
- синовита — воспаления синовиальной оболочки, распространяющегося на расположенные поблизости соединительнотканные структуры;
- хондрокальциноза, для которого характерно постепенное накопление в суставной полости кристаллов солей кальция;
- бурсита — воспаления синовиальной сумки, которое сопровождается накоплением патологического экссудата в ее полости.
Следует насторожиться, если болезненные ощущения и хруст в голеностопном суставе при ходьбе появились после перенесенной респираторной, кишечной или урогенитальной инфекции. Болезнетворные бактерии или вирусы могли проникнуть из первичных очагов в полость голеностопа и спровоцировать воспаление. В этом случае требуется проведение антибиотикотерапии для уничтожения инфекционных агентов.
Хруст в голеностопе у ребенка
В большинстве случаев суставы у детей и подростков хрустят по естественной причине. Детский опорно-двигательный аппарат образуется неравномерно: связки и сухожилия не успевают формироваться на фоне постоянного ускоренного роста костей. Поэтому суставные элементы смещаются относительно друг друга со звуковым сопровождением. Потрескивания во время движения возникают в результате схлопывания пузырьков с углекислым газом. К возникновению хруста приводит и особое строение детских связок, в которых пока еще много сверхрастяжимого коллагена.
У подростков потрескивание возникает из-за резкой гормональной перестройки организма. При половом созревании в системный кровоток поступает большое количество биологически активных веществ, ускоряющих и без того быстрый рост костей. К тому же в этом возрасте организм нуждается в повышенном количестве белка, что приводит к скоплению углекислого газа. У подростков, активно занимающих спортом, щелчки в голеностопе слышатся практически при каждом приседании или поднятии тяжестей.
Родителям следует немедленно обратиться к детскому ортопеду, если ребенок жалуется на острые или тупые боли в стопах. Будет проведена дифференциальная диагностика болезни Бехтерева, ювенильного или псориатического артрита, подагры.
Основные способы устранения патологического хруста
При диагностировании воспалительной или дегенеративно-дистрофической патологии сразу приступают к лечению. Если хруст сопровождается слабовыраженными болями или дискомфортные ощущения не возникают вовсе, то прогноз на полное выздоровление благоприятный. Исключение составляют только аутоиммунные заболевания (подагра, псориатический и ревматоидный артрит), которые пока не поддаются полному восстановлению. В их терапии применяются базисные биологические препараты, средства для растворения и выведения из организма кристаллов мочевой кислоты. Функциональную активность голеностопа повышают лекарствами для локального нанесения:
- мази с нестероидными противовоспалительными компонентами (нимесулидом, диклофенаком, кетопрофеном, ибупрофеном, индометацином). Препараты с мощным противовоспалительным, антиэкссудативным, обезболивающим действием стимулируют выработку синовиальной жидкости, служащей своеобразным амортизатором для костных поверхностей;
- мази с согревающим эффектом: Финалгон, Капсикам, Випросал, Апизартрон, Наятокс. Используются только после купирования воспаления для улучшения кровообращения в голеностопе. Активные ингредиенты наружных средств устраняют дефицит питательных и биологически активных веществ, стимулируют регенерацию поврежденных связок.
В терапевтические схемы любых патологий опорно-двигательного аппарата обязательно включаются хондропротекторы с хондроитином, глюкозамином, гиалуроновой кислотой, коллагеном. Это Терафлекс, Артра, Дона, Структум, Хондроксид. Такие препараты полезно принимать для устранения хруста, возникающего как по патологическим, так и по естественным причинам. Их ингредиенты ускоряют восстановление поврежденных тканей, предотвращают развитие или прогрессирование уже имеющихся заболеваний.
Как справиться с естественным хрустом
Если у ребенка с хрустом в голеностопе патологий не выявлено, то никакого лечения не требуется. Состояние сустава со временем нормализуется, а звуковые явления перестанут сопровождать все движения маленького ребенка или подростка. Педиатры рекомендуют обогатить рацион питания свежими овощами и фруктами, содержащими высокую концентрацию веществ, необходимых для формирования скелета. Для улучшения функционирования всех сочленений врачи назначают сбалансированные комплексы витаминов и микроэлементов: Супрадин, Алфавит, Компливит, Витрум, Селмевит, Мультитабс. Для малышей с 12 месяцев выпускается Пиковит в виде сладкого сиропа.
Совсем другое дело, если хрустит голеностопный сустав у взрослых по естественным причинам. Это доставляет не столько физический, сколько психологический дискомфорт, особенно при нахождении в общественных местах. Один из эффективных способов его устранения — применение системных или местных препаратов, БАД с хондропротекторами. Как лечиться без использования лекарственных средств:
- массаж. Для устранения крепитации применяются различные массажные техники, так как все они улучшают состояние и функционирование голеностопа. Наибольшая терапевтическая эффективность массажа характерна для классического, точечного, баночного, шведского. Во время и после проведения лечебных процедур в суставной полости ускоряется кровообращение, предупреждая скапливание углекислого газа;
- коррекция рациона питания. Чем больше весит человек, тем чаще при ходьбе слышится потрескивание. Но и у людей с низким весом движения нередко сопровождаются хрустом. Особенно у девушек и женщин, соблюдающих диету и исключающих из ежедневного меню продукты с углеводами, жирами. Рацион питания должен быть сбалансированным, содержащим все необходимые питательные вещества;
- питьевой режим. При «эксплуатации» голеностопа в его полости скапливаются вредные соли, продукты распада тканей, токсины. Зашлакованность сустава может привести к крепитации из-за нарушения трофики. Поэтому ортопеды рекомендуют ежедневно употреблять не менее 2-2,5 л жидкости. Очищению суставной полости способствуют напитки с легким диуретическим действием. Это ягодные морсы, фруктовые компоты, овощные соки, негазированные слабосоленые минеральные воды.
Еще один хороший способ избавиться от хруста — активный образ жизни. Людям старше 50 лет врачи ЛФК рекомендуют йогу, плавание, длительные прогулки на свежем воздухе, лечебную физкультуру или гимнастику. Следует избегать только тех видов спорта, которые могут привести к серьезным травмам — это лыжи, хоккей, футбол. Таких ограничений для молодых людей нет. Им подойдут любые виды спорта, кроме поднятия тяжестей.
Похожие статьи










