Боль в голеностопном суставе: причины и лечение
Голеностопный сустав – это сложно-костное сочленение голени со стопой, соединяющее между собой нижний эпифиз большеберцовой, малоберцовой и предплюсневой таранной кости. Благодаря такому анатомическому строению суставные элементы голеностопа позволяют производить сгибание и разгибание стопы, ее незначительные приведения и отведения.
Поэтому любые изменения или нарушения, обеспечивающие боль в голеностопном суставе, связаны с дисфункцией этого анатомического региона опорно-двигательной системы.
Методы исследования клинических состояний
Существуют различные физикальные и инструментальные методы исследования, определяющие причинно-следственную связь возникновения боли в голеностопном суставе. В результате собранного анамнеза, осмотра и пальпации пациента, жалующегося на боль в голеностопе, консультирующий специалист порекомендует пройти лабораторное обследование, чтобы окончательно подтвердить предварительно установленный диагноз.
Достаточно рентгенологического сканирования, чтобы определить, почему болит голеностопный сустав в случае его механического повреждения. Более информативную картину дают прочие методы инструментальной диагностики:
- компьютерная томография;
- магнитно-резонансная томография;
- гониометрия;
- артрография;
- ультразвуковое исследование суставов.
Исключая прямое механическое повреждение – ушиб, перелом или вывих, боль в голеностопном суставе может возникать в результате острого или хронического воспаления, являться следствием определенных процессов дегенеративно-дистрофического свойства или метаболического разрушения. Рассмотрим наиболее вероятные состояния клинических проявлений, их причины и лечение боли в голеностопном суставе.
Остеоартроз (артроз) голеностопного сустава
Болеть голеностопные суставы могут в результате поверхностного поражения тканевой структуры суставных хрящей по причине их дегенеративно-дистрофического разрушения. Такая клиническая патология для человека представляет серьезную проблему, так как боль при ходьбе в голеностопном суставе не только ограничивает его деятельность, но и качественно влияет на дальнейший образ жизни.
Среди возможных причинно-следственных факторов развития болезни клиницисты определяют следующие:
- истончению тканей в суставах может способствовать генетическая зависимость пациента;
- боль в голеностопе при ходьбе или в спокойном состоянии может быть следствием старой травмы или ревматической патологии;
- не сбрасывается со счетов лишний вес у человека, неправильный обмен веществ;
- ускорять тканевую дегенерацию в суставных хрящах может старение организма, сахарный диабет или хроническая патология эндокринной системы.
Первоначальная симптоматика остеоартроза (артроза) выражается незначительными болевыми ощущениями, когда в зону поражения попадают небольшие островки опорно-двигательного сегмента. Когда все сильнее болит голеностопный сустав, а симптомы становятся более выраженными, это — свидетельство прогрессирования болезни, так как затрагивается более обширный регион костно-суставного сочленения.
Условно болевой рефлекс можно разделить на несколько этапов, когда при начальной форме дегенерации суставных хрящей человек ощущает быструю утомляемость во время бега или при ходьбе. Голеностопный сустав болит ноющей или тянущей болью, возникающий дискомфорт отступает лишь в состоянии покоя.
При рентгенологическом или ультразвуковом обследовании начальная фаза дегенеративно-дистрофического разрушения суставов не подтверждается окончательным диагнозом. На этом этапе клинической патологии эффективно применение народных средств лечения, специальных упражнений, массажа и соблюдение диетических норм питания.
Следующая фаза – это прогрессирование тканевого истончения с дальнейшей нагрузкой на подлежащую кость. В этом случае голеностоп болит при ходьбе, в состоянии покоя, при любой минимальной нагрузке или физической активности. Очень часто при изменении погодных условий пациенты жалуются на обострение болевых ощущений. При несвоевременном реагировании на клиническую патологию существует риск образования остеофитов – костных наростов на тканевой поверхности. Все это ограничивает подвижность костно-суставных сегментов и отзывается тянущей или ноющей болью в голеностопном суставе при ходьбе.
Лечение остеоартроза (артроза) следует начинать при малейших признаках клинического проявления, так как последующее развитие событий может привести к осложнениям в костно-суставных регионах нижних конечностей. На первоначальном этапе очень эффективно применение народных средств лечения и специальной программы сбалансированного питания.
Если болит голеностопный сустав, что делать в домашних условиях:
- притупить болевой синдром можно втиранием различных мазей и/или гелей в воспаленную область голеностопа, выполненных на основе конского каштана;
- очень эффективна мазь Бутадион, которая обладает противовоспалительной и болеутоляющей активностью;
- снять отечность и уменьшить воспалительный процесс поможет гель Дип рилиф, который обладает анальгезирующим, противовоспалительным и антиэкссудативным действием;
- среди наиболее доступных вариантов обезболивания можно выделить Диклофенак, который оказывает выраженное жаропонижающее и противовоспалительное действие.
Обеспечить облегчение своему состоянию, когда ноет и/или болит сустав (голеностопный), можно при помощи нетрадиционной медицины:
- прикладыванием листьев лопуха к больному суставу;
- втиранием мумие в пораженный участок голеностопа;
- применением соляных и хвойных ванн;
- приготовлением народных рецептов на основе растительных лекарственных компонентов: окопника, сабельника, тысячелистника.
Однако любые действия по использованию народных средств лечения должны быть обоснованы и подтверждены соответствующей симптоматикой и диагностическим обследованием.
Артрит голеностопного сустава
Заболевание протекает в острой или хронической форме, при которой в зону поражения могут попадать как один из суставов опорной системы костного скелета, так и несколько костно-суставных сегментов.
Деформирующий суставы артрит – это не самостоятельное заболевание, а следствие прочих системных поражений, основным клиническим признаком которых является боль в голеностопном суставе. Причины такой симптоматики – инфекционное воздействие на суставы, нарушение обменных процессов в организме, следствие механического повреждения или иммуногенетическая предрасположенность человека. Суставное поражение артритом не имеет четких возрастных ограничений и не зависит от половой принадлежности человека. Однако наиболее часто болит голеностопный сустав у людей старшего и пожилого возраста.
Существует определенная классификация болезни, которая определяется по клинико-морфологическим признакам:
Опасность клинической патологии при ранней форме заболевания – это бессимптомное протекание болезни, на которое человек не обращает внимания. Симптоматической же основой воспалительного нарушения является боль в голеностопном суставе при ходьбе.
Клиническая картина артрита голеностопного сустава у взрослых или детей выглядит следующим образом:
- появляется дискомфорт при передвижении;
- зона поражения откликается повышением температурного режима;
- воспаленный регион опорной системы реагирует покраснением кожи и отечностью;
- голеностопный сустав болит при сгибании/разгибании ног в колене.
Дальнейшее осложнение – это частичное или полное ограничение подвижности опорно-двигательного аппарата. Поэтому когда голеностопные суставы болят у детей, родителям следует на это обратить особое внимание и пройти качественную лабораторно-инструментальную диагностику.
Среди возможных лечебно-профилактических действий устранения болевых ощущений – медикаментозная терапия, различные способы физиотерапевтического лечения и народные средства домашней медицины. В случае неэффективности терапии лечащий врач рекомендует более радикальный метод – оперативную коррекцию.
Народное лечение
Неизменной составляющей общего лечения артрита голеностопного сустава в условиях домашней медицины является соблюдение диеты. Цель правильного питания – это нормализация иммунного ответа и ослабление воспалительной реакции.
Организовать правильное питание поможет диета № 6, 10, 15 по методу М. И. Певзнера, основоположника диетологии и клинической гастроэнтерологии в бывшем СССР. Принцип сбалансированного питания заключается в дробном потреблении пищи, при котором должен сохраняться баланс питательных компонентов:
- белка – не менее 85-90 г в сутки;
- углеводов – не менее 70-80 г в сутки;
- жиров – не менее 300-350 г в сутки.
Соблюдая диетические пропорции, можно не только избавиться от лишнего веса, но и насытить свой организм пищей с энергетической ценностью, не превышающей 1500-2000 ккал в сутки.
Следующее необходимое условие правильного питания — ограничение соленых, копченых и маринованных продуктов.
Сохранить подвижность сустава поможет лечебный массаж голеностопного сочленения. Однако для осуществления такого манипуляционного действия необходим опыт и знания, чтобы не усугубить болезненное состояние суставных элементов.
Снизить болевую симптоматику помогут проверенные рецепты народной медицины:
- Смешать две чайные ложки скипидара с яичным желтком и ложкой яблочного уксуса. После тщательного перемешивания целебная мазь втирается в больное место нижней конечности. После 3-4 сеансов наблюдается заметное улучшение состояния голеностопа. Уменьшается болезненность сочленяющихся элементов, восстанавливается мышечный тонус, исчезает вынужденная хромота и прочие симптоматические признаки заболевания.
- Следующий рецепт борьбы с артритом голеностопного сустава дошел до нас из Древнего Рима. Местные целители натирали пораженное место морским песком, а затем наносили на голеностоп пихтовое масло. Для усиления целебного эффекта рекомендуется зафиксировать обрабатываемый участок нижней конечности целлофаном и тканевой повязкой.
- Уменьшить припухлость, снять отечность и устранить болевой синдром поможет старинный рецепт — так называемая уральская мазь. Для приготовления целебного препарата необходимо: 200 г соли, 100 г сухой горчицы и брусок расплавленного парафина. Все ингредиенты смешиваются между собой. Состав завернуть в промасленную ткань, отправить на сутки в сухое и темное место. Полученная мазь втирается перед сном в больное место, пока кожа не станет сухой. После нескольких процедур домашнего лечения опухоль на голеностопе исчезает, а мучительная боль перестает беспокоить человека.
- Секрет сибирского бальзама достался нам от староверов Западного Саяна (Хакасия). Щепотка сухого измельченного корня алтайского лютика смешивается с таким же количеством корня горечавки и сухого ягеля. Вся целебная масса заправляется по оригинальному рецепту двумя столовыми ложками лампадного масла (елей). Смесь выдерживается в плотно закупоренном стеклянном сосуде в течение суток. Пораженная нижняя конечность растирается сибирским средством до сухости в течение 3-5 минут. Голеностоп укутывается теплой шерстяной тканью. Курс лечения неограничен.
- Пчелиный подмор — это кладезь не только минералов и витаминных компонентов, но и прекрасный целитель различных заболеваний суставов. Эффективное лекарство можно приобрести в аптечной сети, а можно приготовить самостоятельно. Целебная настойка готовится их высушенных насекомых. На столовую ложку пчелиного подмора берется стакан спиртосодержащей жидкости. Выдерживается лекарство 21 день в сухом и темном месте в плотно закупоренной стеклянной банке с периодическим встряхиванием каждые 5-7 дней. Принимается настойка натощак по 2 чайных ложки один раз в день. Лекарство из пчелиного подмора можно использовать, как наружное средство лечения. Перед сном выполняется компресс на голеностопный сустав. Длительность лечения не ограничена по времени. Однако после 5-7 сеансов наблюдается заметное улучшение – исчезает боль и отечность в больном суставе.
Такое лечение полностью не избавит от проблем в голеностопе, если оно не подкрепляется медикаментозными или физиотерапевтическими процедурами. Лечебной профилактикой и возможным предотвращением рецидива станет санаторно-курортное лечение суставного голеностопного артрита в грязевых и бальнеологических ваннах.
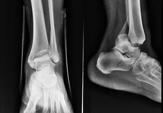
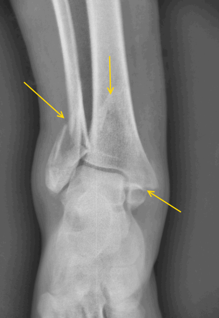
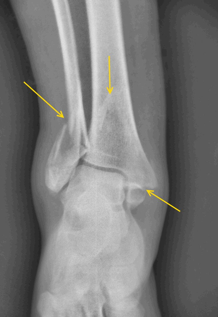
Механическое повреждение
Перелом – это достаточно распространенный вид травмы голеностопного сустава, на долю которого приходится около 15% от общего числа механических повреждений костно-суставных сегментов опорно-двигательного аппарата. Происходит опосредованное воздействие травмирующей силы, то есть при жестком фиксировании задней части стопы ее передний отдел продолжает движение. Травма (перелом) голеностопа возможна при падении с высоты, в результате неудачного приземления при выполнении физических упражнений, катании на лыжах, коньках. При получении травмы дальнейшее перемещение или движение человека становится весьма ограничено, так как голеностопный сустав болит. Что делать?
Не следует производить пораженной нижней конечностью какие-либо физические действия. Человеку нужна помощь медицинского работника и абсолютный покой, так как характер повреждения можно определить лишь при рентгенологическом исследовании. Нужно немедленно доставить пациента в ближайшее медицинское учреждение или вызвать Скорую помощь.
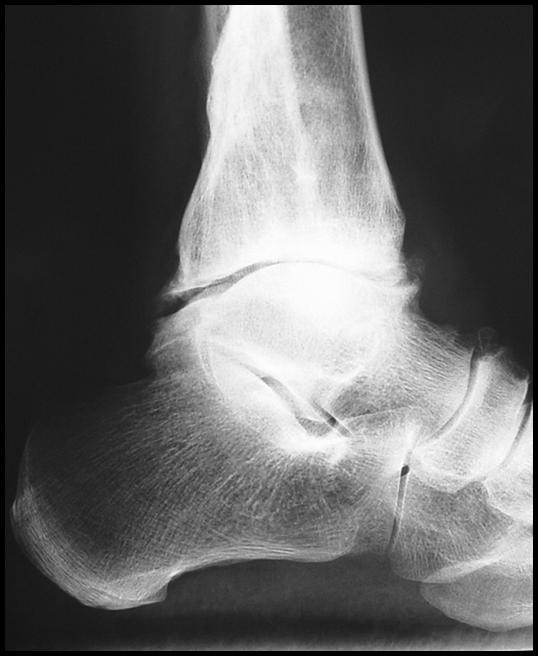
Очень часто болят суставы после бытового или спортивного ушиба голеностопа, в результате прямого удара или неосторожного падения на твердую поверхность. Характерная симптоматика повреждения голеностопа:
- возникающая сразу или усиливающаяся постепенно при движении боль в голеностопном сочленении;
- повреждение околосуставных тканей распространяется на свод стопы и обеспечивает ей отечность;
- за короткое время в области поражения образуется гематома;
- у человека ограничивается подвижность, возникают трудности при ходьбе;
- иногда появляется легкое онемение пальцев ног или чувство ползания мурашек по кожной поверхности стопы.
Однако такие проявления не обладают строгой специфичностью, так как аналогичные признаки могут определяться при разрыве мышечных тканей, растяжении связок и/или сухожилий. В состоянии покоя ушиб или повреждение связочного аппарата человека не беспокоит, а болит голеностопный сустав при ходьбе.
Лечение повреждений начинается с оказания первой медицинской помощи:
- Больному суставу необходимо обеспечить полный покой.
- К зоне поражения прикладывается холод.
- Нижнюю конечность нужно несколько выше приподнять над полом.
- Наложить эластичный бинт и вызвать Скорую помощь.
После проведения комплексной диагностики в медицинском учреждении пациенту будет определена схема терапевтического лечения.
Дальнейшие лечебно-профилактические действия – это бальнеологическая терапия, лечение парафином и электрофорезом, воздействие на суставы ультравысокочастотной индуктотермией (УВЧ).
Что делать, когда болит голеностопный сустав, симптомы которого определяются при разрыве или надрыве связочного аппарата? Как только произошло повреждение связок, необходимо приложить к больному месту лед. В дальнейшем пострадавшую конечность зафиксировать жесткой повязкой на несколько дней. Такое действие позволяет сохранить эластичность суставных и мышечных сегментов, снизить отечность стопы. После снятия повязки назначается регенеративное восстановление – прогревание суставов методами физиотерапии и народными средствами.
Профилактика
Соблюдение элементарных правил общежития станет лучшим лечебно-профилактическим дополнением к оздоровлению суставов нижних конечностей:
- Необходимо соблюдать осторожность при выполнении определенных физических упражнений или других активных действиях.
- Как только чувствуется усталость, появляется болевой синдром в голеностопной области, необходимо прекратить эксплуатацию нижних конечностей.
- Укрепление костно-суставного и мышечно-связочного аппарата невозможно без определенных физических усилий, поэтому все должно быть в меру.
- Не следует отягощать больные суставы ношением неудобной обуви.
- Важен контроль массы тела. Рано или поздно, но лишние килограммы – это больные суставы.
- Разнообразить свой суточный рацион витаминным и минеральным содержимым. Особое внимание уделить питательным компонентам с достаточным содержанием кальция, витаминных групп А, В и D.
- Не пренебрегать мудростью народной медицины, периодически осматриваться у профильного врача.
Берегите себя и будьте всегда здоровы!
Похожие статьи









