Артрит голеностопного сустава: симптомы и лечение, причины, виды, фото
Ограничение подвижности стопы, сильные, пронизывающие или тупые давящие боли, отек — ведущие симптомы артрита голеностопного сустава. Патология развивается из-за чрезмерных физических нагрузок, малоподвижного образа жизни, расстройства работы иммунной системы. Заболевание 1-2 степени тяжести хорошо поддается консервативной терапии. А при обширном поражении хрящей, костей голеностопа требуется хирургическое вмешательство.
Общее описание болезни
Артритом голеностопного сустава называется воспалительно-деструктивная патология, поражающая костные и хрящевые структуры. По мере прогрессирования заболевания повреждаются мышцы, связки, сухожилия, чувствительные нервные окончания.
Чаще всего патология различного происхождения выявляется у мужчин старше 40 лет. Но в группу риска входят также женщины, страдающие от хронических заболеваний, особенно при наступлении естественной менопаузы.
Классификация артрита голеностопного сустава
Термин «артрит» объединяет обширную группу воспалительных поражений голеностопного сустава, провоцирующих его деформацию. От происхождения патологии, формы ее течения зависит терапевтическая тактика. Артриты голеностопа классифицируются следующим образом:
- острые, проявляющиеся выраженной симптоматикой, или хронические, вялотекущие;
- первичные, развивающиеся при прямом поражении сочленения, и вторичные, спровоцированные внесуставными патологиями;
- инфекционным неспецифическим, вызванным внедрением стафилококков, стрептококков, кишечной палочки, или специфическим, возникшим на фоне туберкулеза, сифилиса, бруцеллеза;
- гнойным, опасным тяжелейшими осложнениями, или асептическим — реактивным, ревматоидным, подагрическим, псориатическим.
Артрит может поражать только один сустав (моноартрит) или сразу несколько (олигоартрит, полиартрит). Воспаление бывает односторонним, например, при травме или инфекции, двусторонним, выявляющимся при системной патологии, мигрирующим при подагре.
Причины появления патологии
Причины развития артрита голеностопа разнообразны и многочисленны. В роли провоцирующих факторов часто выступают ожирение, курение, злоупотребление алкоголем, несвоевременное лечение респираторных, желудочно-кишечных, урогенитальных инфекций.
| Вид артрита голеностопного сустава | Причины развития воспалительного процесса |
| Ревматоидный, ювенильный (детский) | Нарушение функционирования иммунной системы, вырабатывающей антитела для атаки на клетки синовиальных оболочек, других суставных структур |
| Реактивный | Повышенная иммунная реакция на антигены инфекционных агентов бактериального, вирусного, грибкового происхождения |
| Подагрический | Расстройство регуляции синтеза пуринов, раздражение суставных структур отложившимися в них кристаллами солей мочевой кислоты |
| Псориатический | Наследственная предрасположенность, неадекватная реакция иммунной системы на проникновение в организм инфекционных возбудителей |
| Инфекционный | Внедрение в полость голеностора болезнетворных бактерий, вирусов, грибков из первичных или вторичных воспалительных очагов |
| Гнойный | Проникающие ранения голеностопа, попадание гноеродной инфекции |
| Посттравматический | Повреждение хрящевых, костных тканей, полные или частичные разрывы мышц, связок, сухожилий |
Признаки заболевания
Острый артрит клинически проявляется сильными болями, отечностью, скованностью движений. Кожа в области голеностопа краснеет, припухает, становится горячей на ощупь.
Течение инфекционного артрита часто сопровождают симптомы общей интоксикации организма продуктами жизнедеятельности бактерий:
- повышение общей температуры тела;
- озноб, лихорадочное состояние;
- повышенное потоотделение;
- головные боли, головокружения;
- диспепсические расстройства у детей и ослабленных больных.
На этапе ремиссии хронический артрит почти не проявляется клинически. Изредка возникают дискомфортные ощущения при перемене погоды или переохлаждении. А при рецидивах отмечаются острые боли в стопе, ограничение подвижности, отек.
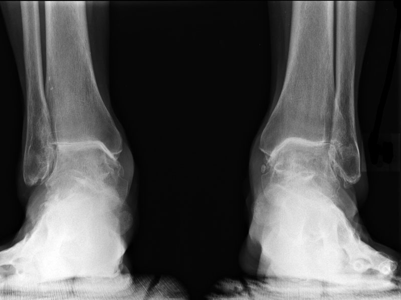
Методы диагностики
Основаниями для выставления первичного диагноза становятся внешний осмотр пациента, его жалобы, данные анализа. Врач проводит ряд функциональных тестов для определения мышечной силы, чувствительности, объема движений в стопе. Для подтверждения диагноза назначаются инструментальные исследования:
- рентгенография для оценки деструкции костных структур, обнаружения сформировавшихся наростов (остеофитов);
- МРТ, КТ для детального изучения состояния хрящей, кровеносных сосудов, мышц, связочно-сухожильного аппарата;
- артроскопия с одновременным забором синовиальной жидкости.
Биохимическое исследование крови проводится для установления уровня ревматоидного фактора, антинуклеарных антител, С-реактивного белка. Биологические образцы также высеваются в питательные среды для выявления вида инфекционных возбудителей и их чувствительности к препаратам.
Как лечить заболевание
При выборе методов лечения врач учитывает вид артрита и форму его течения, степень поражения тканей, количество развившихся осложнений, выраженность и характер клинических проявлений.
Медикаментозная терапия
Терапия артритов всегда начинается с применения фармакологических препаратов. Используются различные лекарственные средства — инъекционные растворы, таблетки, мази, пластыри, ректальные суппозитории.
Таблетки
Препараты в виде таблеток назначаются пациентам для устранения симптоматики средней выраженности. Эта лекарственная форма удобна для применения, отличается быстрым проявлением терапевтического действия. В виде таблеток обычно используются средства для подавления активности иммунной системы (иммуносупрессоры), базисные препараты. Чаще всего в лечебные схемы при любом виде артрита включаются такие медикаменты:
- нестероидные противовоспалительные средства (НПВС) — Мелоксикам, Целекоксиб, Эторикоксиб, Найз, Нурофен, Диклофенак;
- миорелаксанты — Сирдалуд, Баклосан, Мидокалм;
- хондропротекторы — Артра, Терафлекс, Структум.
Препараты в таблетках не применяются при тяжелых заболеваниях желудочно-кишечного тракта, например, гиперацидных или эрозивных гастритах.
Мази
Для купирования слабовыраженных болей, характерных для ремиссии, в терапевтические схемы включаются наружные средства с НПВС. Гели, мази, кремы, бальзамы оказывают сразу противовоспалительное, обезболивающее, антипиритическое и противоотечное действие. Какие средства может назначить врач:
Наружные средства иногда применяются при остром или подостром течении артрита голеностопа для уменьшения доз таблеток и инъекций, негативно влияющих на внутренние органы.
Уколы
При острых болях нередко применяются лекарственные блокады с глюкокортикостероидами (Дипроспан, Триамцинолон) и анестетиками (Лидокаин, Тримекаин). В форме растворов для внутримышечного или внутривенного введения используются препараты следующих клинико-фармакологических групп:
- НПВС — Ортофен, Мовалис, Ксефокам;
- средства с витаминами группы B — Мильгамма, Комбилипен;
- миорелаксанты — Мидокалм с Лидокаином;
- препараты для улучшения кровообращения — Трентал, Эуфиллин, Никотиновая кислота.
На этапе реабилитации могут быть назначены внутрисуставные инъекции хондропротекторов. Это Алфлутоп, Румалон, Хондрогард, Дона.
Диетотерапия
Пациентам с артритом голеностопного сустава диетологи рекомендуют ограничить в рационе или полностью исключить из него продукты с высоким содержанием жиров и простых углеводов — кондитерские изделия, полуфабрикаты, мясо жирных сортов.
При подагрическом артрите диета становится одним из основных методов лечения. Больным запрещено употреблять щавель, шпинат, редис, любой алкоголь, наваристые рыбные и мясные бульоны.
Гимнастика и массаж
В терапии артрита голеностопа используется лечебная физкультура и гимнастика, классический, точечный, сегментарный, вакуумный аппаратный или ручной массаж.
Ежедневные тренировки и оздоравливающие процедуры способствуют укреплению мышц, ускорению восстановления тканей за счет улучшения их кровоснабжения кислородом и питательными веществами.
Народные методы и рецепты
Народные средства можно использовать с разрешения врача и только после проведения основного лечения. Чаще всего применяются общетонизирующие чаи. Для их приготовления в термос всыпают по чайной ложке сухих трав девясила, зверобоя, календулы, заливают 2 стаканами кипятка. Через час остужают, процеживают, принимают по 100 мл 3 раза в день после еды.
Физиопроцедуры
Для устранения выраженных болей пациенту назначаются до 10 сеансов электрофореза или ультрафонофореза с гормональными средствами, анестетиками, НПВС. На этапе ремиссии для восстановления мягких, хрящевых, костных тканей используются магнитотерапия, лазеротерапия, ударно-волновая терапия, гальванические токи. Хорошо зарекомендовали себя в терапии артрита аппликации с озокеритом или парафином, бальнеолечение.
Оперативное лечение
При неэффективности консервативного лечения, сильной деформации костных структур голеностопа, развившихся тяжелых осложнениях показано хирургическое вмешательство. Нередко применяется артродез, при котором сустав закрепляют в функционально выгодном положении. Пациенту также может быть предложено эндопротезирование — замена голеностопа имплантатом.
Прогноз и профилактика
Псориатический, ревматоидный, подагрический артрит пока не поддаются полному излечению. Их терапия направлена на достижение устойчивой ремиссии. Остальные вида артрита удается вылечить, особенно при своевременном обращении за медицинской помощью. При отсутствии врачебного вмешательства на конечном этапе развития артрита происходит полное или частичное обездвиживание стопы (анкилоз) из-за сращения суставной щели.
Похожие статьи










