Туберкулез костей, суставов и позвоночника: у кого развивается и чем опасен
Туберкулезом костей и суставов страдает 3-5% людей с легочной формой заболевания. У детей и подростков опорно-двигательная система страдает гораздо чаще, а сама болезнь имеет более тяжелое течение.
При туберкулезе может поражаться практически любая часть скелета. У половины пациентов в патологический процесс всегда вовлекается позвоночник. Это обусловлено его расположением в непосредственной близости от легких. Что касается тазобедренных, коленных и других крупных суставов, при туберкулезе они страдают немного реже позвонков. Еще реже поражаются скуловые кости, верхняя и нижняя челюсть, кисти и стопы.
Причины и механизм развития патологии
Туберкулез суставов и костей относится к инфекционным заболеваниям. Он развивается вследствие гематогенного распространения микобактерий по организму. С током крови патогенные микроорганизмы могут заноситься практически в любую часть тела. Проникнув в губчатое вещество костей, они вызывают там развитие специфического воспалительного процесса.
Специфическое воспаление имеет тяжелое течение и характерные отличительные признаки. Оно развивается у людей, инфицированных определенным возбудителем. Специфическое воспаление могут вызывать микобактерии лепры и туберкулеза, бледной трепонемы и некоторых других микроорганизмов.
У взрослых людей костный туберкулез обычно развивается на фоне легочного. Палочки Коха попадают в системный кровоток из легких, а оттуда – в костную ткань. Опорно-двигательная система поражается не сразу, а лишь при длительном течении заболевания. Тревожные симптомы появляются довольно рано, что позволяет с легкостью заподозрить и диагностировать патологию.
В детском возрасте болезнь чаще всего является осложнением вакцинации. Вакцинный штамм микобактерий с кровью разносится по организму, вызывая развитие поствакцинального БЦЖ-остита. Заболевание имеет скудную симптоматику и отличается массивной костной деструкцией на фоне хорошего общего состояния ребенка.
Этапы развития костно-суставного туберкулеза:
- Первичный остит.
- Туберкулезный артрит.
- Формирование анкилозов.
Поначалу в патологический процесс вовлекается только губчатое вещество костей. В нем формируются туберкулезные гранулемы и инкапсулированные секвестры. В дальнейшем у человека развивается туберкулезный артрит. Суставные хрящи разрушаются, а в синовиальных полостях скапливается серозно-фибринозный выпот. В случае разрыва суставной капсулы формируются наружные свищи. В итоге полость сустава облитерируется, что приводит к полной потере его функций.
В регионарных и лимфатических узлах при костно-суставном туберкулезе также можно обнаружить специфические изменения. В сосудистых стенках, миокарде и суставах у некоторых больных выявляют параспецифические реакции.
У детей спондилит чаще всего диагностируют в возрасте 2-4 лет, гонит – в 4-7 лет, поражение верхних конечностей – в 15-18 лет.
Симптомы туберкулёза костей и суставов
Для заболевания характерны симптомы общей интоксикации и местные признаки поражения скелета. К первым относятся расстройства сна, ухудшение аппетита, периодические скачки температуры тела и вегетативные нарушения. Интоксикационные явления более выражены у детей и зачастую отсутствуют у взрослых.
Боли в пятке могут быть первым симптомом туберкулеза костей и суставов. Это объясняется ранним развитием патологического процесса в пяточной кости из-за высокой нагрузки на нее во время ходьбы.
Признаки туберкулеза позвоночника
Поначалу человека беспокоит постоянная усталость, общая слабость и ночные боли в спине. Со временем болезненные ощущения усиливаются и начинают иррадиировать в другие части тела. При поражении шейного отдела позвоночника боль распространяется на шею и надлопаточную область, грудного – живот и грудную клетку, пояснично-крестцового – нижние конечности.
Для патологии характерны такие симптомы:
- напряжение мышц спины;
- вынужденная неправильная осанка;
- искривление позвоночника;
- резкие боли в спине при нагрузке;
- нарушение походки;
- боль при пальпации остистых отростков позвонков.
На поздних стадиях туберкулез позвоночника может сопровождаться образованием «холодных абсцессов». Чаще всего они располагаются на затылке, шее, бедрах, ягодицах, подвздошной области. Такие абсцессы не вызывают симптомов острого воспаления (болезненности, лихорадки, локального повышения температуры и покраснения кожи).
Туберкулез позвоночника нередко приводит к тяжелым осложнениям. К ним относятся пролежни, расстройства функций органов малого таза, парезы и параличи мышц нижних конечностей.
Симптомы туберкулеза коленного сустава
Первый признак патологии – это постоянные боли в колене, которые усиливаются при ходьбе, сгибании и разгибании ноги, ощупывании сустава. Периартикулярные ткани становятся отечными и уплотненными. Со временем симптомы становятся более выраженными.
По мере прогрессирования болезни у человека атрофируются мышцы и развивается сгибательная контрактура конечности. Из-за этого ему становится крайне трудно разогнуть ногу в колене. На поздних стадиях в околосуставных тканях могут формироваться свищи и абсцессы. При вторичном инфицировании сустава у больного могут развиваться острые артриты.
Симптомы туберкулеза тазобедренного сустава
Проявляется болями в ТБС, которые со временем усиливаются. Вскоре больному становится трудно ходить и выполнять привычные действия. При туберкулезе тазобедренного сустава отек периартикулярных тканей нарастает медленно, без лихорадки и острых болей. Легкую припухлость удается выявить лишь при внимательном рассмотрении или пальпации.
Типичным симптомом туберкулеза суставов является локальное повышение температуры кожи без ее гиперемии (покраснения).
Признаки поражения челюстно-лицевой области
Кости черепа и лица страдают крайне редко – всего в 1-2% случаев. Туберкулезные гранулемы локализуются поднадкостнично. Для патологии характерно наличие небольших округлых образований, безболезненных или малоболезненных при пальпации. Кожа над ними обычно остается неизменной.
В дальнейшем в костях формируются абсцессы, которые проявляются припухлостью и флюктуацией. Со временем они вскрываются с образованием наружных свищей. В случае поражения костей черепа абсцессы могут прорываться в полость черепа. К счастью, твердая мозговая оболочка выступает надежным барьером на пути распространения туберкулезного процесса.
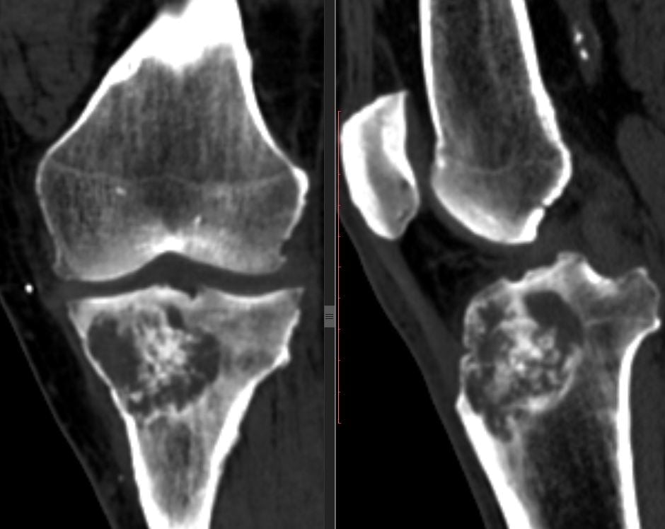
Методы диагностики туберкулеза костей и суставов
У лиц с легочным туберкулезом врачи выявляют заболевание легко. Для подтверждения диагноза они используют рентгенографию, КТ или МРТ. Немаловажное диагностическое значение также имеет обнаружение микобактерий в биоптате или гнойном отделяемом из свищей.
У людей, не состоящих на учете в тубдиспансере, врачи не всегда могут заподозрить туберкулез суставов. Они путают заболевание с хроническими артритами или остеоартрозом. Поэтому медикам следует уделять особое внимание лицам из групп риска по заболеванию туберкулезом, которые жалуются на постоянные боли в спине и конечностях.
Костно-суставной туберкулез можно спутать с сифилисом, актиномикозом, остеомиелитом, хроническим артритом, злокачественным новообразованием или другими заболеваниями. Поставить правильный диагноз врачи могут лишь после обследования.
Общие принципы лечения
В первую очередь, пациенту назначают специальные противотуберкулезные препараты. Их подбирают строго индивидуально. У некоторых людей врачи могут выявлять резистентные формы туберкулеза, которые не реагируют на применение большинства современных лекарств. Бороться с ними особенно тяжело.
При наличии больших секвестров, абсцессов и свищевых ходов пациентам рекомендуют хирургическое вмешательство. Хирурги иссекают патологические образования и промывают раны растворами антибиотиков. В позднем периоде при необходимости больному выполняют реконструктивные операции.
Если вы обнаружили у себя или своего ребенка симптомы туберкулёза суставов, обратитесь за помощью в туберкулезный диспансер. Там вас обследуют, поставят на учет и окажут помощь.
Похожие статьи





