Остеомиелит — лечение, симптомы и перспективы выздоровления

Лечение остеомиелита: что ждет пациента

Инфекционные агенты, проникая из внешней среды или хронического очага внутри организма, способны поражать любые ткани. В костях формируются гнойные расплавления с образованием секвестров – новых измененных фрагментов, обусловленных работой остеокластов. Эти клетки пытаются противостоять микробной агрессии, восстанавливая костные структуры. Однако эффект их деятельности недостаточен, так как на фоне сниженного иммунитета и высокой инвазирующей способности бактериальных возбудителей гнойное расплавление продолжается. Так формируется остеомиелит – очаг инфекционного поражения костной ткани.

Гнойный очаг.

В стандарт лечебных мероприятий входит консервативная помощь больному, хирургические способы воздействия на бактериальный процесс. Острое воспаление подразумевает небольшое вмешательство, ограничиваемое локальной трепанацией и налаживанием оттока гнойного содержимого. Протокол операции при хроническом остеомиелите может включать разные методики, вплоть до частичной резекции кости и наложения аппарата Илизарова. Отзывы больных, перенесших радикальное вмешательство, свидетельствуют, что длительность реабилитационного периода достаточно высока. Однако впоследствии часто наблюдается полное выздоровление, освобождая пациентов от длительных мучительных проявлений заболевания.

Основные симптомы

Болезнь встречается у детей и взрослых — с самого рождения и до поздней старости. Основная причина остеомиелита – бактерии, которые проникают в костную ткань контактным или гематогенным путем. Среди микроорганизмов этиологическую основу составляют:

  • стафилококки, особенно золотистый;
  • стрептококки;
  • синегнойная палочка;
  • спорообразующие бактерии;
  • клебсиеллы, легионеллы и более редкие инфекционные агенты.

Более 90% всех остеомиелитов вызывается стафилококками и стрептококками. После проведения оперативных вмешательств на костной ткани по замене протеза при отсутствии надлежащей антисептики в рану попадают условно-патогенные микроорганизмы. Это усложняет выявление этиологического фактора, влияет на выбор антибиотика, так как подобная флора крайне малочувствительна.

Причины снижения местной иммунологической защиты известны — это факторы, способствующие проникновению бактерий в костную ткань:

  • очаги бактериального воспаления в организме – кариес, желчнокаменная болезнь, инфекции мочеполового тракта, тонзиллиты;
  • длительные острые респираторные заболевания, снижающие клеточный и гуморальный иммунитет;
  • ВИЧ-инфекция;
  • алкоголизм, наркомания;
  • травмы костной ткани;
  • операции – экстракция зуба, эндопротезирование.

На фоне ослабления защиты организма бактерии проникают и размножаются в костной ткани. В результате появляется очаг гнойного расплавления.

Основные проявления остеомиелита:

  • боль;
  • повышение температуры;
  • отек и гиперемия на коже вокруг локального участка поврежденной костной ткани;
  • асимметрия конечностей или лица;
  • ухудшение общего самочувствия – интоксикация, слабость, потливость.

Конкретные проявления остеомиелита и его диагностика зависят от места локализации боли и воспалительного процесса. Наиболее подвержены деструкции следующие кости:

У детей процесс может распространяться на суставы в силу слабости синовиальной оболочки. Болевой синдром и интоксикация принимают резко выраженные черты, что утяжеляет течение болезни у несовершеннолетних.

Основные принципы лечения остеомиелита:

  • дезинтоксикация;
  • назначение антибиотиков;
  • хирургическая санация очага инфекции;
  • общеукрепляющая терапия;
  • восстановление и реабилитация.

Лечение после перенесенного остеомиелита включает витаминотерапию, стимуляцию иммунитета, профилактические курсы антибактериального воздействия, ЛФК, массаж и симптоматическую помощь.

Терапия антибиотиками

Антибактериальная терапия назначается до хирургической санации и после нее. Главная задача антибиотиков – подавить активное размножение микроорганизмов. Вне зависимости от локализации инфекционного очага наиболее широко применяются парентеральные внутривенные средства, комбинируемые с принимаемыми внутрь. Для антибактериальной терапии используются группы препаратов:

  • цефалоспорины – Цефуроксим, Цефтазидим, Цефтриаксон;
  • гликопептиды – Ванкомицин;
  • полусинтетические пенициллины – Амоксициллин в сочетании с клавулановой кислотой, Тикарциллин;
  • аминогликозиды – Тобрамицин, Амикацин, Нетилмицин;
  • фторхинолоны – Левофлоксацин, Ципрофлоксацин;
  • производные имидазола – Метронидазол;
  • антибиотики других групп у отдельных категорий больных.

Выбор конкретного препарата зависит от тяжести состояния больного, особенностей инфицирования. Ниже представлена таблица вариантов антибактериальных сочетаний у различных категорий больных.

Дети Ослабленные лица любого возраста, пожилые люди Наркоманы и ВИЧ-инфицированные Обычные пациенты
Острый остеомиелит Амоксициллин + клавулановая кислота в сочетании с Цефуроксимом или Цефотаксимом Цефалоспорины 3-4 поколения в сочетании с фторхинолонами и Метронидазолом Ванкомицин, Рифампицин, Бисептол в сочетании с цефалоспоринами 2-3 поколения Цефтриаксон плюс аминогликозиды
Послеоперационный процесс Имипенем либо прежняя комбинация Ванкомицин Та же комбинация Фторхинолон, цефалоспорины, Метронидазол
Хронический остеомиелит Амоксициллин + клавулановая кислота, Ванкомицин, Цефепим Цефтазидим, аминогликозиды, Метронидазол Ванкомицин, Метронидазол, фторхинолоны в больших дозах Цефалоспорины, аминогликозиды, Тикарциллин
Диффузное поражение с многочисленными очагами в костях Парентеральные макролиды, цефалоспорины, Ванкомицин Та же комбинация Та же комбинация Метронидазол плюс ванкомицин в сочетании с цефалоспоринами
Сочетанная микс-инфекция Имипенем, Ванкомицин Цефалоспорины 4-5 поколения, Нетилмицин, Метронидазол, фторхинолоны Бисептол, Ванкомицин, Имипенем Та же комбинация
Устойчивые формы болезни Ванкомицин Ванкомицин, Имипенем Та же комбинация Ванкомицин или Имипенем

Медикаментозное лечение наряду с антибиотиками должно включать дезинтоксикацию путем введения плазмозамещающих жидкостей, витаминотерапию, специфические препараты для отдельных категорий больных. При ВИЧ-инфекции обязательно параллельное проведение АРВТ (противовирусное воздействие). При отсутствии влияния на ретровирус эффект антибактериальной терапии будет незначительным даже при применении всех групп антибиотиков.

При многоочаговом диффузном остеомиелите, который распространяется гематогенным путем, показано только внутривенное и внутриартериальное введение антибиотиков. Для детей играет роль подавление воспаления, поэтому можно пренебречь некоторыми побочными реакциями препаратов и расширить круг антибактериального воздействия. Первоначально всем категориям пациентов назначается эмпирическая терапия для подавления наиболее вероятных возбудителей. Дальнейшая коррекция осуществляется путем выявления конкретного микроорганизма, вызвавшего очаг острого или хронического воспаления. Дополнительно к медикаментам и хирургической помощи применяется физиотерапия лазером, УВЧ или диадинамическими токами.

Для облегчения страданий больного могут применяться народные средства лечения. Они не являются основными, так как без полноценной врачебной помощи больной погибнет, но способны ускорить процесс выздоровления. Для местного воздействия знахари рекомендуют следующие травы для помощи при остеомиелите:

  • ромашку;
  • зверобой;
  • мяту;
  • окопник;
  • овес;
  • цветки сирени.

Эти растения обладают ранозаживляющим, рассасывающим, противовоспалительным действием. Из них делают отвары и настойки, а затем накладывают компрессы на пораженный участок костной ткани. Удаление гноя соком алоэ при остеомиелите практикуется в народной медицине на протяжении многих лет. Столь же популярна терапия окопником, как растением с ярко выраженными обезболивающими свойствами. Против кариеса используются ромашка или календула в виде отвара в качестве средства для полоскания полости рта. Однако при всех плюсах народных методов лечения эффективность их при серьезном остеомиелите недостаточная, поэтому помощь хирурга необходима.

Хирургия

Остеомиелит – это гнойный процесс костной ткани с образованием секвестров и абсцессов, поэтому лечебные мероприятия не обходятся без хирургического вмешательства. В домашних условиях заболевание не лечится, поэтому для обеспечения полноценной помощи пациенту необходима госпитализация в гнойное хирургическое отделение.

Основные современные методы оперативной коррекции включают:

  • локальную трепанацию путем нанесения фрезевых отверстий с наложением дренажа;
  • вскрытие абсцесса;
  • секвестрэктомию и открытую санацию очага инфекции;
  • резекцию кости с наложением аппарата Илизарова;
  • открытый остеосинтез с применением металлических пластин;
  • замена участка кости искусственным материалом.

Какое оперативное лечение выбрать, решает специалист, исходя из особенностей течения заболевания. Острые случаи чаще заканчиваются благополучно после простой трепанации, но хронический процесс нуждается в радикальной хирургической помощи.

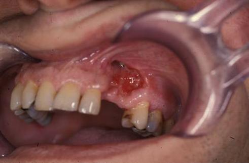
Инфецирование после удаления зуба

Одна из разновидностей болезни — остеомиелит челюсти. Он возникает при попадании инфекции контактным путем после экстракции зуба, сопровождается выраженным болевым синдромом с невозможностью выполнять жевательные функции. Проблема требует немедленного лечения, так как резко нарушается качество жизни пациента.

Основные принципы терапии включают:

  • хирургическую санацию очага в челюсти;
  • применение антибиотиков;
  • иммобилизацию путем наложения шины;
  • щадящий режим питания;
  • дезинтоксикацию.

Последовательность лечебных мероприятий начинается с хирургической помощи, затем накладывается иммобилизация, параллельно назначаются консервативные мероприятия. После снятия шин лечение меняется: снижается доза антибактериальных препаратов, прекращается местное антисептическое воздействие, расширяется режим питания, присоединяется физиотерапевтическая помощь. В течение двух недель наступает полное выздоровление.

Поражение челюсти

Очаги хронической инфекции часто расположены в ротовой полости: плохо излеченные кариозные зубы, тонзиллиты, гаймориты приводят к попаданию микроорганизмов в область верхней или нижней челюсти. Так развивается остеомиелит, которому способствуют травмы лица, осложненные пункции гайморовых пазух или экстракции зуба. Клиника одонтогенного остеомиелита включает следующие симптомы:

  • сильная боль в пораженной зоне;
  • резкий отек слизистой рта и кожи над пострадавшей челюстью;
  • повышение температуры;
  • асимметрия лица;
  • слабость, резкая утомляемость.

У больного нарушается функция жевания, так как зачастую сложно открыть рот. Меняется речь, присоединяются головные боли. Интоксикация нарастает, а процесс склонен к быстрому распространению при отсутствии помощи. Поэтому симптомы и лечение оценивает врач-стоматолог с целью принятия решения о ведении больного.

Поражение кости требует хирургической санации челюсти, которая выполняется путем открытого доступа через ротовую полость. Дальнейшая тактика — иммобилизация шиной с последующим рентгенологическим контролем за изменениями в костной ткани. Назначается консервативная терапия антибиотиками с расширенным спектром действия. Особенно часто используются Метронидазол в сочетании с цефалоспоринами 3-4 поколений. Дополнительно назначаются фторхинолоны или Рифампицин. Можно помочь больному и народными средствами. Для этого используется полоскание фито-антисептиками, которые входят в состав ромашки, календулы или эвкалипта. Состав можно приготовить самостоятельно, но предпочтительнее использовать в разведении готовые аптечные настойки этих растений.

Остеомиелит в стоматологии

Поражение челюстей играет ведущую роль в генезе остеомиелита после экстракции зубов. Заражение происходит в стоматологическом кабинете или дома вследствие неправильного ухода за послеоперационной раной. Основные симптомы связаны с поражением ротовой полости:

  • сильная боль;
  • резкий отек;
  • невозможность принимать пищу;
  • затруднение речи;
  • проявления интоксикации.

Лечебные мероприятия сводятся к санации очага остеомиелита с последующим назначением антибиотиков. Оперативные меры проводятся в стационаре, а при благоприятном течении болезни в последующие 3-4 дня пациент выписывается для наблюдения в хирургическом кабинете стоматологической поликлиники. Антибиотики меняются на пероральные с сохранением дозировки, а рентгенологический контроль и снятие иммобилизации осуществляется в амбулаторных условиях. Такой подход нужен для удобства больного и ускорения реабилитационного периода.

Остеомиелит кости

Симптомы и лечение поражений костной ткани зависят от особенностей локализации воспалительного процесса. Наиболее легко протекают остеомиелиты пяточной кости. Зона поражения локализована только небольшим участком конечности. Поэтому отек и нарушения функции ноги хотя и имеются, но простой доступ для дренирования и мощная антибиотикотерапия обеспечивают быстрый результат.

Поражение голени захватывает процесс в большеберцовой кости, что протекает с резкими нарушениями функции конечности:

  • острейшая боль;
  • отек голени;
  • невозможность ходить;
  • нарастание интоксикации;
  • гектическая лихорадка.

При воспалении только малой берцовой кости сила болезненных ощущений снижается. Однако оперативный доступ к ней затруднен, а при присоединившемся нарушении кровоснабжения в нижних конечностях болезнь часто затягивается.

Поражение бедренной кости проходит с тяжелой интоксикацией и зачастую с обездвиживанием больного. Обычной трепанации не хватает, так как велика мышечная масса вокруг. Поэтому выполняется открытая операция, что затягивает реабилитацию и полное выздоровление пациента. Остеомиелит седалищной кости приводит к резким болям в пояснице. Иногда парез конечности достигает такой силы, что полностью затрудняет передвижение пациента. Открытая операция проводится редко, чаще используется трепанация и консервативная терапия.

При поражении любой кости ноги можно помочь народными средствами. Травы в виде отваров или настоек, наложенные в виде компресса на воспаленную зону, ускоряют снятие отека и усиливают действие антибиотиков. Однако на открытом дренаже их применение бесперспективно, так как попадание инородных тел растительного происхождения усиливает бактериальный рост в ране.

Хронический тип

При неадекватном лечении острого процесса формируется длительный воспалительный очаг в костной ткани. Часть ее склерозируется, что вызывает болезнь Гарре, лечение которой проводится годами в периоды обострения. Но склеродегенеративный остеомиелит лечится только консервативно, основу терапии составляет физиолечение и ЛФК. Ограниченный абсцесс Броди, возникающий при образовании полости в костной ткани, заполнен гнойными массами. Здесь необходима расширенная санация с последующей иммобилизацией конечности.

После посттравматического остеомиелита реабилитация всегда затягивается. Это связано с вовлечением в воспаление мягких тканей. Формируется гнойный свищ, ход которого продолжается глубоко в костную ткань. Лечение потребуется радикальное, с резекцией пораженного участка и замещении искусственными материалами. При поражении плюсневой кости или мизинца стопы, которое встречается довольно редко, лечение ограничено закрытой санацией с антибактериальной терапией. Такой же подход применяется при воспалении ребра или грудины. Тяжело протекающий остеомиелит бедра требует серьезных мер — эндопротезирования или установки аппарата Илизарова.

Поражение позвоночника

Поражение позвонков приводит не только к болевому синдрому, но и неврологическому дефициту в нижних конечностях. Это проявляется затруднением ходьбы, нарушением функции тазовых органов, развитием вялых парезов ног. Симптомы и лечение оценивает нейрохирург, что зачастую меняет тактику стандартной терапии.

Больному показаны:

  • хирургическая санация;
  • при расположении остеомиелитного очага в замыкательной пластике она полностью удаляется;
  • консервативное лечение — физиотерапия, антибиотики;
  • симптоматическая помощь — снятие интоксикации, обезболивание, улучшение кровотока в конечностях;
  • ношение иммобилизирующего корсета.

При поражении поясничного отдела позвоночника лечение направлено на стабилизацию неврологических нарушений. Помимо ламинэктомии, осуществляется дренирование раны с последующей мощной антибактериальной терапией.

Инфекция ноги

Патология большого пальца ноги встречается редко. Провоцирует процесс подагра, травматические повреждения этой зоны. Остеомиелит протекает по типу хронического поражения с периодическими обострениями и формированием гнойного свища. Это связано с недостаточным кровоснабжением зоны, особенно у лиц старшей возрастной группы.

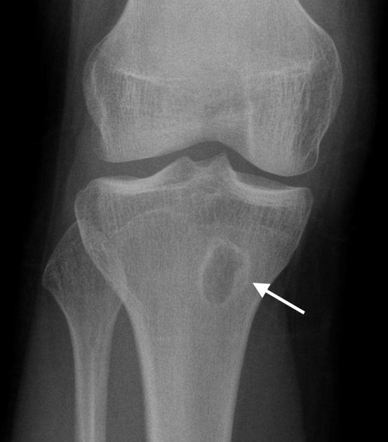
Так на рентгене может выглядеть инфекционное осложнение.

С целью предупреждения распространения инфекции одним из методов лечения является радикальное удаление пораженной фаланги. Такой подход обусловлен низким эффектом антибиотикотерапии даже на фоне применения препаратов, улучшающих кровоснабжение конечности. Вышележащие отделы ноги характеризуются более качественным кровотоком, поэтому лечение назначают согласно стандартному протоколу ведения больных.

Лечение гематогенного типа

Распространение инфекции посредством крови всегда представляет опасность в плане развития септических осложнений. Один из подобных очагов — гематогенный остеомиелит, который чаще встречается у детей и ослабленных больных. Важнейшим условием скорейшего выздоровления пациентов, страдающих сепсисом, является сочетание быстрой оперативной помощи и консервативной терапии.

Основной метод хирургического лечения острого гематогенного остеомиелита – локальная фрезевая трепанация с присоединением активного дренажа. Принцип помощи прост – быстро налаживается отток гноя, а затем присоединяется эмпирическая антибактериальная терапия. Для уточнения возбудителя берут на исследование не только гнойное отделяемое раны, но и кровь пациента.

Инфекции конечностей

Любая кость ноги может поражаться инфекционными агентами. Чаще всего воспаление локализуется в голени или бедре. При поражении голени симптомы и лечение оцениваются травматологом. В качестве консервативной помощи применяются следующие антибиотики:

  • Цефтазидим;
  • Цефепим;
  • Левофлоксацин;
  • Тобрамицин;
  • в тяжелых случаях – Ванкомицин.

Одним антибиотиком лечение нижних конечностей не осуществляется. Обычно применяется эффективная комбинация в зависимости от чувствительности выделенного возбудителя. Симптомы, лечение, реабилитация проходят под контролем специалиста вплоть до полного выздоровления пациента.

Лечебные центры

Где занимаются лечением остеомиелита? Этот вопрос задает себе каждый пациент, а также его родственники. Ни в России, ни за границей специального центра, который занимается только терапией остеомиелита, не существует. Лечебными мероприятиями занимаются крупные травматологические клиники. В России лечение осуществляется бесплатно в полном объеме по месту жительства больного либо в центральных больницах при наличии квоты.

В Германии и Израиле, а также в других странах большинство ортопедических центров имеют отделения, где занимаются помощью больным с остеомиелитом. Лечение проходит исключительно на возмездной основе, включая не только оплату работы хирургов, но и пребывание в стационаре. Стоимость помощи в Израиле несоизмеримо выше, чем в любой европейской стране.

Похожие статьи

Похожие статьи