Почему возникает боль в бедре: причины и основные методы лечения
Боль в бедре — дискомфортное ощущение различной интенсивности, симптом развивающейся патологии. Она является своеобразной предупредительной и защитной реакцией организма на воздействие внешних или внутренних негативных факторов. При ее возникновении мобилизуются функциональные системы для устранения причины дискомфорта. В большинстве случаев организм не способен самостоятельно справиться с заболеванием, и человек обращается за медицинской помощью.
Для диагностирования патологии, провоцирующей появление болезненных ощущений, проводятся лабораторные и инструментальные исследования. Установить ее помогает и изучение анамнеза, осмотр пациента, описываемый им характер и периодичность болей.
Основные причины болезненных ощущений в бедре
Боли в бедре — это не только признак какой-либо патологии. Они нередко возникают после серьезных физических нагрузок и активных спортивных тренировок. Для интенсивного сокращения мышц необходимо много энергии, получаемой при распаде глюкозы. В результате биохимических реакций в мышечных тканях накапливается много молочной кислоты. Именно она провоцирует возникновение жжения и болей. Для их устранения достаточно непродолжительного отдыха. Молочная кислота выведется из организма, и состояние человека улучшится.
От дискомфортных ощущений могут страдать люди, ведущий малоподвижный образ. Боли возникают у них после продолжительной ходьбы или любой физической нагрузки. Ортопеды рекомендуют в таких случаях все-таки пройти полное обследование. Низкая двигательная активность может стать причиной развития артроза — рецидивирующей суставной патологии.
Если человек в течение дня много двигается, его тазобедренные суставы не подвергаются повышенным нагрузкам, но боль возникает с пугающей периодичностью, пришло время обратиться к врачу.
Травмы
Резкая боль в бедре возникает в момент травмирования мышц, костей, суставов, связочно-сухожильного аппарата. Наиболее опасен перелом шейки бедренной кости, особенно в пожилом или старческом возрасте. Чем старше пострадавший, тем меньше вероятность его полного выздоровления. Боль настолько острая, что человек теряет сознание, появляется при таких травмах:
- перелом лобковой кости;
- перелом тазовой кости в ее крестцовой части;
- компрессионные травмы в поясничном отделе позвоночника, возникающие в результате падения с высоты;
- повреждение тазобедренного сустава, костей бедра из-за падения, сильного удара, длительного сдавливания.
Сильнейший болевой синдром требует немедленной госпитализации пациента в отделение травматологи. При вывихах, подвывихах, разрывах мышц, сухожилий, связок дискомфортные ощущения не менее интенсивные. Но при таких травмах их выраженность может постепенно снижаться. В некоторых случаях человек даже не обращается в лечебное учреждение. Разорванные волокна срастаются неправильно, нередко их целостность не восстанавливается вовсе. В итоге боли в бедре становятся ноющими, хроническими, усиливающимися при ходьбе или незначительной физической нагрузке. Нередко у травмированного человека спустя несколько лет развивается остеоартроз — патология, не поддающаяся полному излечению.
Заболевания суставов и мышц
Частой причиной болей в бедре становится коксартроз, или остеоартроз тазобедренного сустава. Дегенеративно-дистрофическая патология при отсутствии врачебного вмешательства медленно, но упорно прогрессирует. На начальной стадии коксартроза дискомфортные ощущения выражены слабо, возникают при повышении двигательной активности. По мере разрушения гиалинового хряща и истирания костных поверхностей боли усиливаются, возникают даже в состоянии покоя. Они сопровождаются хрустом и щелчками в суставе, его утренней отечностью и скованностью движений. Спустя некоторое время интенсивность болей вновь снижается. Это ни в коем случае не свидетельствует о выздоровлении — суставная щель срастается, и врачи диагностируют анкилоз — полное обездвиживание тазобедренного сочленения.
Дискомфорт при движении и в состоянии покоя может сигнализировать также о развитии следующих острых и хронических патологий:
- синовит — воспалительный процесс, протекающий в синовиальной сумке, распространяющийся на связки и сухожилия. Чаще всего поражает один тазобедренный сустав, двусторонний синовит выявляется достаточно редко. Для острой патологии характерно возникновение резкой, пронизывающей боли, а для хронической — приглушенной, ноющей. Ее часто сопровождают симптомы общей интоксикации организма: высокая температура и желудочно-кишечные расстройства;
- артрит — воспалительный процесс в полости тазобедренного сустава. При обострениях провоцирует сильнейшие боли, распространяющиеся по передней и задней поверхности бедра, иррадиирущие в колено, голень, лодыжку. Артриты могут протекать на фоне общей интоксикации организма. Если человек не обращается за медицинской помощью, то вскоре наступает необратимое поражение хрящевых тканей. По причине развития артриты делятся на инфекционно-аллергические, травматические, метаболические, дистрофические, ревматические;
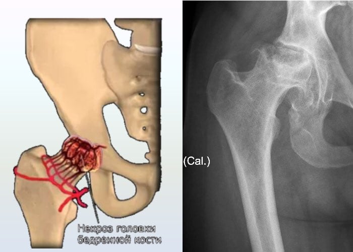
- асептический некроз костной головки — отмирание тканей в тех участках, где на тазобедренный сустав ложится наибольшая нагрузка. Симптоматика патологии проявляется так: на начальном этапе боль в правом или левом бедре резкая, внезапная, локализующаяся в области сустава. Затем она распространяется в пах, пояснично-крестцовый отдел позвоночника, колено. В течение нескольких дней интенсивность болевого синдрома не снижается, мешая человеку не только передвигаться, но и сидеть. Затем самочувствие человека улучшается, дискомфортные ощущения возникают лишь при серьезных физических нагрузках. Вскоре они возвращаются, а их выраженность значительно усиливается.
Частой причиной болей в бедре становится ревматическая полимиалгия. Ее этиология до сих пор не установлена. Одни ученые выдвигают гипотезы о развитии заболевания в результате инфицирования человека вирусами. Другие считают, что спусковым крючком к возникновению патологии служат наследственность и сбой в работе иммунной системы. При ревматической полимиалгии человек страдает от тянущих, дергающих, режущих болей. Они появляются не только при динамических, но и при статистических нагрузках. Чтобы снизить интенсивность дискомфортных ощущений, больной очень часто меняет положение тела.
Другие причины
Причины появления боли в левом или правом бедре устанавливаются только после изучения результатов рентгенографии, МРТ, КТ, артроскопии, лабораторных исследований. Самостоятельно диагностировать патологию невозможно. Даже если человек болен ревматоидным артритом, поражающим все суставы, вывод о причине возникновения болей не столь очевиден. В некоторых случаях они спровоцированы патологиями, не имеющими отношения к опорно-двигательному аппарату. Что еще может спровоцировать ухудшение самочувствия человека:
- синдром грушевидной мышцы — совокупность болезненных ощущений, возникающих при защемлении седалищного нерва;
- защемление нервов, иннервирующих пояснично-крестцовый отдел позвоночника;
- патологии сердечно-сосудистой системы, протекающие на фоне стойкого сужения аорты и подвздошных артерий, снабжающих кровью нижнюю часть тела человека;
- синдром подвздошно-поясничных мышц, сопровождающийся повреждением бедренных нервов и расположенных поблизости мышечных тканей;
- костно-суставные заболевания инфекционного происхождения — остеомиелит, туберкулез костей, абсцесс, возникающий при тяжелом течении аппендицита;
- воспалительные процессы в органах женской или мужской мочеполовой системы.
Причиной болей в правом или левом бедре и ноге могут стать доброкачественные и злокачественные новообразования, сформировавшиеся метастазы. Например, рак простаты может метастазировать в кости, провоцируя интенсивный болевой синдром.
Почему появляется боль в бедре у ребенка
Дети ведут более активный образ жизни, чем многие взрослые, поэтому травмируются чаще. Тянущая или ноющая боль в бедре может стать результатом падения с велосипеда, прыжка с высоты, удара ногой. Травматологи рекомендуют обязательно обратиться за медицинской помощью даже при дискомфортных ощущениях слабой интенсивности. Опорно-двигательный аппарат детей только формируется. Предсказать последствия травмирования, предупредить развитие осложнений может только врач. Что еще провоцирует возникновение болей у ребенка:
- врожденный вывих, обычно диагностируемый в течение полугода после рождения;
- остеохондропатия, поражающая кости нижних конечностей, для которой характерны доброкачественное хроническое течение и относительно благоприятный исход;
- эпифизеолиз головки кости — разрушение зон роста костей в области эпифизарных пластинок (хрящевых пластинок роста);
- остеомиелит и его осложнение — коксит, сопровождающиеся воспалительным процессом.
Довольно редко после жалоб ребенка диагностируются скрытые переломы. Их провоцируют различные нарушения процессов формирования костей и суставов, например, при рахите.
Основные методы лечения
Навсегда устранить боль в бедре поможет лечение патологии, ставшей ее причиной. Терапия многих суставных и костных патологий может занимать несколько месяцев или лет. Поэтому для улучшения самочувствия больного ортопеды, ревматологи, травматологи назначают препараты с анальгетическим действием. В лечении патологий опорно-двигательного аппарата чаще всего используются нестероидные противовоспалительные средства (НПВС) с такими активными ингредиентами:
- нимесулидом;
- кеторолаком;
- диклофенаком;
- ибупрофеном;
- мелоксикамом.
Для устранения сильного болевого синдрома используются НПВС в инъекционных растворах. Их анальгетическое действие проявляется спустя несколько минут после введения препаратов. Через 5-7 дней лечения врачи заменяют инъекции таблетированными формами НПВС. При тяжелых системных патологиях тазобедренного сустава, например, коксартрозе пациенту часто приходится принимать обезболивающие препараты. Чтобы минимизировать вероятность поражения НПВС слизистой желудка, их комбинируют с ингибиторами протонного насоса — Омепразолом, Пантопразолом, Эзомепразолом.
Избавиться от тянущих, ноющих болей в бедренном суставе позволит применение мазей с НПВС. Они наносятся тонким слоем и слегка втираются в кожу. Особенно эффективны они при патологиях, сопровождающихся воспалением: синовитах, артритах. После абсорбции активных ингредиентов происходит ослабление болезненных ощущений, купирование воспалительного процесса и отека. Выраженное анальгезирующее действие характерно для таких наружных препаратов:
- Вольтарен;
- Долгит;
- Долобене;
- Артрозилен;
- Фастум;
- Индометацин;
- Найз;
- Кеторол.
Врачи нередко назначают местные НПВС для лечения болей в бедре, чтобы снизить разовые и суточные дозировки системных препаратов.
Для купирования острого воспаления используются глюкокортикостероиды — Триамцинолон, Кеналог, Дипроспан, Преднизолон, Гидрокортизон, Дексаметазон.
Чтобы устранить режущие боли, гормональные препараты нередко вводятся прямо в полость сустава вместе с анальгетиками или анестетиками. Внутрисуставные инъекции не используются чаще 3-5 раз.
Для усиления лечебного действия препаратов пациентам рекомендованы физиопроцедуры: магнитотерапия, лазеротерапия, электрофорез, фонофорез, ударно-волновая терапия. После 5-10 сеансов боли ослабевают или исчезают вовсе. Врачи предупреждают, что устранить дискомфортные ощущения консервативными методами можно при своевременном обращении за медицинской помощью.
Похожие статьи















