Рентгенография ТБС: особенности проведения, диагностические возможности и расшифровка
Рентген тазобедренного сустава – это простой метод визуализации, который доступен и широко применяется в ортопедии и травматологии. С его помощью выявляют переломы, вывихи, подвывихи и грубые дефекты в строении костной ткани. Но рентгенография малоинформативна на ранних стадиях остеоартроза, при поражениях связочно-капсульного аппарата сустава. Она не позволяет увидеть мягкие ткани, в чем сильно уступает магнитно-резонансной томографии.
Место рентгенографии в диагностике заболеваний ТБС
В современной медицине популярны высокоточные визуализирующие методы исследования (МРТ, КТ). Врачи используют их все чаще, пренебрегая традиционной рентгенографией. На прием к травматологам нередко приходят пациенты, имеющие на руках только результаты МРТ, но не имеющие рентгенограммы. Такая ситуация выглядит странно и нелогично.
Поскольку рентгенография — недорогой метод исследования, ее используют на первичном уровне медицинской помощи. Семейный врач или терапевт имеет право назначить пациенту только рентген. На КТ и МРТ больного могут направлять травматолог, ортопед, хирург, другой узкий специалист (если это необходимо).
Если вы впервые обратились к врачу с жалобами на боли в ТБС, а он сразу же назначил вам МРТ – не спешите выкладывать круглую сумму за дорогое обследование. Подобное назначение обычно неоправданно. Вам лучше сходить на консультации к другим специалистам.
Преимущества рентгенографии:
- низкая цена;
- доступность;
- быстрота обследования;
- возможность наблюдать патологию в динамике;
- безопасность при грамотном назначении.
Рентгенография позволяет диагностировать многие заболевания и травматические повреждения ТБС. Более точные визуализирующие методы исследования обычно требуются для уточнения диагноза и выбора тактики лечения. Иногда рентгенография бессильна в диагностике незначительных изменений в суставе, сопровождающихся болевым синдромом. Поэтому при сильных болях неизвестной этиологии пациентам могут назначать МРТ, КТ или УЗИ.
В чем основные различия между КТ и МРТ? Магнитно-резонансная томография позволяет выявить повреждения суставной капсулы, связок и мягких тканей. На компьютерных томограммах хорошо визуализируются мелкие костные дефекты, которые не видны на рентгене.
Насколько безопасно обследование
При исследовании ТБС организм получает сравнительно небольшую дозу радиации, которая не превышает 1,5 миллизиверт. Подобное облучение не способно навредить здоровому человеку. Но рентген тазобедренных суставов разрешается делать не чаще 1 раза в 6 месяцев. Беременным рентгенографию можно назначать только в крайних случаях.
Безопасная доза рентгеновского облучения для взрослого здорового человека составляет 3-4 мЗ в в год. 2-2,5 миллизиверта в год каждый из нас получает из внешней среды. Источники радиации — солнечные и космические лучи, почва, еда, вода и даже воздух.
Возможности рентгенографии
В ортопедии и травматологии рентгенологическое исследование используют для диагностики деформирующего коксартроза, артритов, асептического некроза головки бедренной кости, костных новообразований, вывихов, переломов шейки бедра и т. д. Рентгтенография позволяет подтвердить наличие патологии, но не всегда дает достаточно информации. Нельзя, например, получить послойное изображение тканей, из-за чего врачи не могут определить точную локализацию патологических изменений.
Симптомы и синдромы, которые выявляют с помощью рентгенографии:
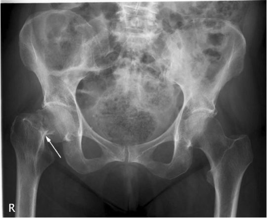
- сужение суставной щели. Признак дистрофических изменений суставных хрящей. Этот симптом выявляют у больных с деформирующим остеоартрозом и хроническими артритами;
- остеопороз. Снижение плотности костей. Характеризуется уменьшением количества костных балок в единице объема костной ткани. Патология развивается в пожилом возрасте. Сам остеопороз протекает бессимптомно, но на его фоне зачастую развивается деформирующий остеоартроз и переломы шейки бедра;
- деструкция. Возникает вследствие инфекционного процесса. Характеризуется разрушением участков кости с их дальнейшим замещением гноем, грануляциями или опухолевой тканью. Наличие деструкции может указывать на парапротезную инфекцию, остеомиелит, злокачественные новообразования;
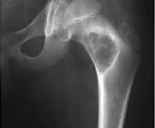
- некроз. Неинфекционное омертвение костной ткани. Чаще всего участки некроза появляются в области головки бедренной кости. Причина – возрастное ухудшение кровотока и обмена веществ.
Выявление того или иного признака на рентгенограмме косвенно указывает на определенную патологию. Часто для постановки диагноза врачу хватает данных анамнеза, осмотра и рентгенографического исследования.
Многие из вас интересовались, что лучше – рентген или МРТ тазобедренного сустава? Магнитно-резонансная томография дает больше возможностей визуализации, а доза облучения при обследовании практически равна нулю. Но МРТ является недешевым методом. В Москве стоимость обследования колеблется в пределах 3000-7000 рублей.
Как делают рентген тазобедренного сустава
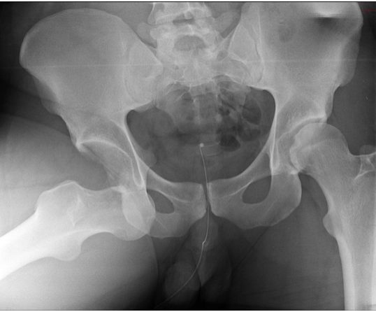
Чтобы получить исчерпывающие сведения о состоянии пациента, ему делают обзорную рентгенограмму таза в прямой проекции. Проведение рентгенографии только одного сустава является ошибкой. Для полноценного анализа рентгенологу необходимо видеть снимки обоих ТБС. Часто выявить патологию ему помогает именно сравнение.
- Подготовка. Перед рентгеном тазобедренного сустава пациенту не нужна специальная подготовка. В кабинете рентгенолога больному требуется только снять с себя одежду и лечь на стол в то положение, которое укажет врач.
- Проведение исследования. Для получение обзорной рентгенограммы пациента укладывают на спину. Таз исследуемого не должен наклоняться и поворачиваться. Чтобы получить правильное отображение шеечно-диафизарного угла, рентгенолог разворачивает обе стопы больного кнутри на 15 градусов. Установив рентгеновскую трубку, он выходит из комнаты и делает снимок.
Рис 1. Укладка пациента при выполнении обзорной рентгенографии в прямой проекции.
- а — положение исследуемого и расстояние до рентгеновской трубки;
- b — направление луча при исследовании.
Помимо обзорного снимка, пациенту также делают рентгенографию больного сустава в боковой проекции. Существует несколько методик его получения. Выбор какой-либо из них зависит от того, какие структуры сустава требуется визуализировать. Исследование может проводиться как стоя, так и в лежачем положении.
Расшифровка результатов
Получив снимки, рентгенолог анализирует и описывает их. Записав результаты, он отдает рентгенограммы и заключение пациенту на руки. Тот идет с ними на консультацию к травматологу или ортопеду. Специалист еще раз анализирует снимки и, учитывая другие имеющиеся данные, определяет диагноз.
При расшифровке рентгена тазобедренных суставов у ребенка необходимо учитывать его возраст. Это нужно, чтобы наличие зон роста и возрастных особенностей строения ТБС не привело к диагностическим ошибкам.
Наиболее частые изменения на рентгенограммах и их описание:



Похожие статьи





