Диета и питание при подагре — что можно и что нельзя есть, таблица продуктов, меню на неделю
Еда, которая составляет ежедневный рацион человека, должна включать продукты, имеющие большое количество полезных для организма веществ. Полезные рецепты только помогут нам оставаться здоровыми и привлекательными, несмотря на возраст. Однако если рацион не сбалансирован или в нем присутствует большое количество жирных, острых или тяжелых для пищеварительной системы блюд, то обмен веществ у человека может нарушиться, а в организме начнут накапливаться соли мочевой кислоты. Особенно это касается мужчин. Повышенная концентрация этих солей приведет к воспалению суставов, которое называется подагра.
Общее описание патологии и принципы диеты
Подагра – это хроническое заболевание суставов, которое сопровождается достаточно сильной болью и другими неприятиями симптомами. Естественно, нужно проводить ее медикаментозное лечение, так как у больных значительно ухудшается качество жизни, ограничивается подвижность. Справиться с патологией возможно в домашних условиях, если выполнять все рекомендации врачей. Диета при подагре пациенту требуется прежде всего. При этом назначенный доктором рацион должен соблюдаться не только во время обострения болезни, но и во время ремиссии. Каждый день необходимо следить за своим питанием. Правильное питание при подагре – залог здоровья человека и гарантия уменьшения случаев обострения патологии.
Подагра – это болезнь, связанная с нарушениями обменных процессов организма. Поэтому рациональное питание при подагре имеет очень большое значение для лечения. Причина появления заболевания кроется в повышенной концентрации мочевой кислоты в организме, соли которой откладываются в суставах. Диета, которая должна соблюдаться каждый день, позволяет снизить ее количество в крови, так как почки не могут справиться с этим самостоятельно.
Симптомы заболевания
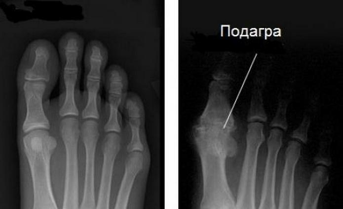
Чаще всего симптомы подагры проявляются у мужчин, достигших 40 лет. У женщин патология развивается с началом постменструального периода. Нужно отметить, что подагра может поражать практически все суставы, но чаще всего наблюдается на ногах.
Если диета во время появления симптомов подагры не будет соблюдаться, то периодически могут случаться рецидивы, ведь полностью вылечить заболевание не получится.
Подагра имеет острое начало. Часто боль появляется в ночное время. Соли мочевой кислоты при этом сначала откладываются в крупных суставах пальцев ног, коленях, в стопах. Симптомы подагры обычно появляются очень сильно, поэтому перепутать подагру с другими болезнями суставов сложно. Если во время лечения подагры в домашних условиях не соблюдать диету, то патология может распространиться на все суставы.
Повышенная концентрация солей мочевой кислоты наблюдается не только в самом сочленении, но и в связочном аппарате, хрящевых оболочках, вызывая воспаление. Естественно, в один прекрасный день подагра может проявиться в полную силу. Патология имеет такие симптомы:
- сильная боль;
- покраснение кожи в области поражения;
- повышение местной температуры;
- появление отечности.
У больных мужчин обычно симптомы проявляются ранним утром или среди ночи. Острый период может продолжаться как один день, так и более 3 суток. Днем симптомы подагры могут несколько снижать свою интенсивность, хотя боль снова усиливается с наступлением вечера. При этом мужчина может рассказать о тех нарушениях в диете, которая обычно разрабатывается врачом при подагре.
Существуют и другие признаки проявления заболевания: на руках или ногах появляются наросты костной ткани. Несмотря на то, у мужчин появилась подагра или у женщин, больной должен обязательно обратиться к врачу. Это даст возможность поставить точный диагноз, начать соответствующее лечение и составить правильную диету.
Сбалансированное питание при развитии подагры поможет забыть об обострениях на долгое время.
Диагностика
Диагностика предусматривает визуальный осмотр пораженного подагрой сустава, проведение рентгенографии, а также лабораторные анализы крови и мочи. Рентген позволяет определить состояние сочленения, наличие остеофитов. Лабораторные анализы дают возможность отметить повышенный уровень мочевой кислоты в крови. Симптомы и признаки, описанные пациентом с подагрой, помогают назначить адекватное лечение. В зависимости от степени концентрации мочевой кислоты в организме пациента ему могут быть назначены лекарства, способствующие ее выведению.
Принципы диеты
Избавиться от болезни можно в домашних условиях, так как в стационаре нет необходимости. Терапия предусматривает соблюдение правильного рациона — диеты, которая при подагре является основным методом лечения и профилактики рецидивов. Примерное меню диеты при подагре составляет доктор с учетом индивидуальных особенностей организма и сопутствующих заболеваний. Оно, должно быть направлено на устранение повышенного уровня мочевой кислоты в организме, а также признаков патологии. Для этого мужчина должен пересмотреть свой рацион на каждый день и соблюдать определенную диету.
Продукты при подагре не должны иметь в своем составе пуринов, которые и превращаются в мочевую кислоту (таблица запрещенных и разрешенных продуктов будет представлена ниже). В список таких продуктов входят почти все овощи и фрукты, поэтому еда у больных подагрой в основном схожа с меню вегетарианцев. Рецепты блюд при подагре не являются замысловатыми или сложными, однако, готовить их нужно правильно, а все ингредиенты для диеты необходимо брать из списка в таблице разрешенных продуктов.
Лечебное питание при подагре поможет больному быстро избавиться от неприятных и болезненных симптомов в домашних условиях. Однако использование жирных или острых блюд может спровоцировать рецидив и повышенный уровень мочевой кислоты в организме достаточно быстро. Например, максимальное количество пуринов содержит кофе, употребление которого может спровоцировать приступ. Этому может также способствовать алкоголь, особенно пиво и напитки на основе винограда, поэтому из диеты они исключаются.
Правильное питание во время обострения подагры или ремиссии необходимо осуществлять каждый день. Так как лечиться необходимо в домашних условиях, у больного должно присутствовать желание избавиться от симптомов болезни и сила воли не нарушить режим питания. Таблица разрешенных продуктов питания при подагре, а также рецепты, представленные далее, помогут составить индивидуальное меню с учетом всех особенностей организма и патологии больного.
Еда во время лечения подагры может быть вкусной и разнообразной. Питание, которое должно удовлетворять требованиям организма, не предполагает слишком строгих ограничений, однако, способствует правильному образу жизни.
Что нельзя есть при подагре
Если у больного наблюдается поражение суставов на ногах, необходимо узнать, что нельзя есть при подагре. Дело в том, что во время соблюдения диеты некоторые продукты (даже фрукты) употреблять не рекомендуется, так как они содержат определенное количество пуринов. Вылечить или хотя бы устранить симптомы без правильного питания невозможно. Следующая таблица покажет, что нельзя кушать при подагре.
Таблица 1. Запрещенные продукты при подагре
| Продуктовая группа | Содержание группы |
| Хлебобулочные изделия | Сдобная выпечка |
| Мясо и птица | Копченые, сырокопченые и вареные колбасы, сардельки, сосиски, мясо молодых животных, жирное свиное мясо, субпродукты (легкие, печенка, почки), консервы |
| Морепродукты, рыба | Жирная, соленая, копченая или жареная рыба (сардина, шпроты, треска), икра |
| Молочные продукты | Соленые и острые сорта сыра |
| Крупы | Чечевица, фасоль, соя, бобы |
| Овощи | Грибы, щавель |
| Фрукты, ягоды | Виноград, инжир, малина |
| Блюда | Мясной, рыбный или грибной бульон, щавелевый суп, а также блюда с добавлением бобовых и шпината; соусы на основе вышеуказанных бульонов, майонез |
| Сладости | Торты с кремом, пирожные |
| Жиры | Маргарин, сало |
| Напитки | Любой алкоголь, особенно пиво и вино; кофе, какао, крепкий чай (несмотря на то что представленные напитки содержат пурины, они не расщепляются на мочевую кислоту, однако, они обладают сильным мочегонным эффектом, который способствует обезвоживанию) |
| Пряности | Перец, горчица, хрен, острые специи |
Те продукты, которые содержит представленный список, нельзя есть при подагре на ногах ни в коем случае. Эта таблица должна всегда находиться под рукой во время приготовления блюд.
Еще до недавнего времени врачи сомневались, можно ли есть помидоры при подагре. Дело в том, что эти продукты диета предусматривает в рационе, хотя они и содержат пурины (щавелевую кислоту). Однако в помидорах ее количество настолько ничтожно, что кушать их не только можно, но и полезно. Помидоры содержат большое количество витаминов, минеральных веществ и органических кислот. Эти продукты хорошо поддерживают иммунитет. Кроме того, помидоры содержат антиоксиданты и фитонциды, которые способствуют устранению воспалительного процесса, активизируемого при подагре.
Помидоры при подагре можно есть в любом количестве. Дело в том, что они хорошо влияют на обмен веществ в организме. Лучше всего полезные свойства этих продуктов проявляются после тепловой обработки и добавления растительного масла.
Помидоры при подагре кушать можно и нужно, они не повредят.
Кроме тех продуктов, которые в диете при подагре на ногах запрещены, есть еще те, которые можно употреблять в ограниченном количестве. Следующая таблица содержит их перечень:
Таблица 2. Продукты разрешенные в ограниченном количестве
| Продуктовая группа | Перечень |
| Овощи | Репа, цветная капуста, редька, шпинат, спаржа, ревень, сельдерей, перец, зеленый лук и петрушка |
| Фрукты, ягоды | Сливы |
| Напитки | Томатный сок |
С осторожностью также следует применять мед. Как видно, множество продуктов все же нежелательны в диете, если больной страдает подагрой на ногах. Однако питание может быть очень вкусным и разнообразным. К нему нужно будет просто привыкнуть, ведь подагра – это хроническая патология, которая может беспокоить человека всю жизнь. Поэтому диету нужно соблюдать неукоснительно, ведь даже одна чашка кофе может спровоцировать приступ.
Что можно есть при подагре
Подагра — это не простое заболевание, которое требует ответственного отношения и соблюдения принципов правильного питания. Именно поэтому следует знать, какие продукты кушать можно, а какие из них запрещены. Предыдущая таблица содержала сведения о том, какие продукты питания употреблять не следует, и почему они негативно действуют на организм. Теперь необходимо разобраться в том, что можно есть при подагре.
Таблица 3. Разрешенные продукты
| Группа продуктов | Перечень продуктов | Особенности употребления |
| Хлебобулочные | Черный или белый хлеб, несдобная выпечка | |
| Мясо и птица | Кролик, индейка, курица | Любое мясо употребляется 2—3 раза в неделю и не более 170 г |
| Рыба и морепродукты | Морские головоногие, ракообразные, креветки, нежирная рыба (семга, форель), кальмары | Эти продукты питания при подагре являются очень полезными. Диета предусматривает отварную рыбу, а бульон желательно сливать |
| Молоко, яйца | Нежирное молоко, кефир, несоленый сыр, йогурты, сметана, яйца (этот продукт является разрешенным, но кушать его можно только 1 раз в день 1 штуку в любом виде), творог | Цельное молоко нужно употреблять с осторожностью. Во время приготовления блюд на основе молока лучше его немного разбавить. Сливочное масло тоже не желательно кушать в чистом виде. Лучше добавлять его в приготовленные блюда |
| Крупы | Все, кроме бобовых | Бобы входят в список продуктов, которые кушать нельзя, так как они содержат мочевую кислоту, причем в большом количестве |
| Овощи | Укроп, кукуруза, свекла, лук, чеснок, картофель, морковь, белокочанная капуста, огурцы, кабачки, баклажаны, помидоры, тыква (способствует улучшению обмена веществ) | Чеснок при подагре полезен, так как помогает устранять воспалительный процесс. Овощи активно используются во время разгрузочных дней. Картофель и огурцы обладают большим количеством калия, поэтому усиливают выведение мочевой кислоты из организма |
| Ягоды, фрукты | Апельсины, мандарины, зеленые яблоки, финики, хурма, сухофрукты (кроме изюма), клубника, лимоны, абрикосы, груши | Не следует кушать одни только фрукты и в большом количестве. Питание должно быть полноценным и разнообразным |
| Блюда | Каши из круп на молоке, вегетарианский борщ, картофельные супы с добавление круп, салаты из свежих и квашеных овощей, винегрет, овощная икра, овощной, молочный или сметанный соус | Молоко в этом случае следует развести |
| Сладости | Зефир, мармелад, варенье, пастила, не шоколадные конфеты, мороженое | |
| Жиры | Любое растительное масло | Животные жиры необходимо исключать полностью, так как они слишком тяжелы для организма |
| Напитки | Зеленый чай, чай из фруктов и ягод, чай с молоком и лимоном, сок (любой, даже томатный), травяные отвары, морс, компоты из фруктов и ягод, свежий огуречный сок, щелочная минеральная вода при подагре тоже очень полезна, отвар шиповника, цикорий | |
| Специи | Ванилин, корица, лавровый лист, лимонная кислота |
При подагре на ногах можно есть семечки и все виды орехов:
- грецкие;
- кедровые;
- фундук;
- миндаль;
- фисташки.
Арахис употреблять не следует, так как он богат пуринами. Многие пациенты не знают, можно ли пить квас при подагре. Ответ прост: можно и нужно. Диета предусматривает употребление практически всех овощей и фруктов за редким исключением. Например, вишню при подагре есть можно. В день можно съесть примерно 20 плодов. Полезны вишневые компоты, соки и морсы. Брусника при подагре особенно полезна. Морс из нее способствует выведению излишков пуринов.
Важно еще разобраться с тем, насколько полезными при подагре являются рыбий жир и чайный гриб. Рыбий жир – это уникальная кладезь витаминов. В нем содержатся практически все полезные минералы, которые необходимы организму. Рыбий жир сегодня продается в капсулах, поэтому принимать его совсем просто. В своем составе вещество имеет полиненасыщенные жирные кислоты, которые дают противовоспалительный эффект. Поэтому рыбий жир при подагре следует принимать обязательно. Однако принимая средство, нужно быть осторожным, если есть камни в мочеточниках.
Что касается чайного гриба, то его употреблять не рекомендуется. Средство способно повышать пищеварительную активность желудочного сока. Чайный гриб в своем составе имеет дрожжевые грибки и щавелевую кислоту, которая противопоказана при подагре. Кроме того, чайный гриб содержит огромное количество углеводов, которые нежелательны в диете при ожирении.
Диета при подагре на ногах – меню (принципы составления)
Диета при подагре на ногах – это основа лечения. Без нее действие прописанных доктором медикаментов будет неполным и неэффективным. Рацион питания при этом имеет специфическую структуру. Желательно, чтобы меню помог составить врач, который учтет некоторые особенности организма.
Диета предусматривает употребление жидких или полужидких блюд, которые содержат ингредиенты из списка в таблице разрешенных продуктов. Основу меню составляют овощные супы, овощные и фруктовые салаты, компоты, минеральные воды (щелочные). Питание нужно организовать так, чтобы оно было дробным – не менее 5 раз в день.
Больной обязан выпивать ежедневно не менее 2-х литров жидкости. Так как диета предусматривает наличие разгрузочных дней (они помогают организму справиться с усвоением пищи и своевременным выведением мочевой кислоты), во время которых больной не ест никаких блюд, кроме овощных салатов.
Правильное питание во время подагры предусматривает использование в большей степени вегетарианских рецептов. При этом учитывается наличие сопутствующих патологий у больного. Например, у него наблюдается повышенный уровень холестерина, значит, ему нельзя употреблять желток.
Многие факторы нужно учитывать и при сахарном диабете. Например, таким пациентам нужно ограничить употребление хлебобулочных и мучных продуктов. При этом из меню нужно полностью исключить сладкие блюда и сахар. Также при сахарном диабете не желательно употреблять мед.
Нередко подагра на ногах сочетается с ожирением. В этом случае меню существенно ограничивается строгим перечнем блюд. Дело в том, что слишком большой вес тела губительно влияет на суставы. В список разрешенных продуктов в этом случае не входит мясо и рыба. Такая диета предусматривает более частое проведение разгрузочных дней. Иногда их количество может достигать 4-х раз в неделю.
Похудение при подагре, которая локализуется на ногах, не должно быть резким, так как это больше повредит организму. Рецепты блюд в меню должны быть такими, чтобы масса тела не уходила слишком быстро. Питание не сводится к полному голоданию. В таком случае состояние больного подагрой значительно ухудшается.
Очищение организма не происходит, если в него не поступают все необходимые вещества продуктов из вышеуказанного списка, энергетические потребности человека не удовлетворяются в полном объеме. В этом случае расходуются собственные белковые соединения организма. Из-за этого уровень мочевой кислоты увеличивается, она откладывается в синовиальной жидкости и провоцирует воспалительный процесс.
Существуют такие принципы составления меню:
- Во время приготовления различных блюд нужно использовать как можно меньше соли, которая способствует появлению уратов в тканях.
- Количество потребляемой жидкости следует увеличить. Это даст возможность быстрее выводить мочекислые соединения из организма.
- Рецепты блюд должны быть такими, чтобы их общая калорийность была небольшой.
- Томаты не следует исключать полностью.
- Желательно совсем отказаться от майонеза, животного жира и навсегда забыть об алкоголе. Если пациент является гурманом и любит те блюда, в которые добавляется вино, то такие рецепты следует исключить из меню.
- Если больной не прекратит пить чай или кофе, рецидивы подагры могут повторяться, а боль — усиливаться.
Переедать нельзя — это дополнительная нагрузка на мочевыделительную систему.
Как можно увидеть, диета при таком заболевании, как подагра ног — это не прихоть врачей, а необходимость. Пациент обязан знать, какие продукты употреблять можно, а какие – нет. Поэтому больные мужчины должны запастись терпением, бросить вредные привычки и взяться за свое здоровье.
Диета при подагре: стол №6
Полностью излечить представленное заболевание, особенно если оно протекает совместно с ожирением или сахарным диабетом, нельзя. Однако, антипуриновая диета номер 6 при подагре поможет устранить обострение или уменьшить количество рецидивов. Она рассчитана на неделю, хотя придерживаться ее вы можете постоянно.
Питание имеет такие особенности:
- Из меню полностью исключаются все те продукты питания, которые содержат большое количество пуринов и щавелевой кислоты.
- Стол №6 предусматривает умеренное потребление соли. В некоторых тяжелых случаях этот продукт исключается вовсе.
- В меню на неделю добавляются ощелачивающие продукты: овощи, молоко.
- Количество свободной потребляемой жидкости существенно увеличивается, если, конечно, нет противопоказаний со стороны сердца и сосудов.
- Стол №6 также предусматривает уменьшение животных белков и тугоплавкого жира в меню.
Важно! Если подагра на ногах осложнена ожирением, то из рациона исключаются те продукты, которые содержат большое количество углеводов.
Содержание белка в диете также нужно уменьшить до 0,8-1 г. на килограмм веса. Это позволит практически остановить выработку мочевой кислоты, что приостановит развитие обострения подагры на ногах.
Существует определенная таблица норм всех веществ, которые должны поступать в организм при использовании меню диеты №6:
Таблица 4. Нормы веществ поступающих в организм при использовании диеты №6
| Вещество | Суточная норма | Особенности |
| Белки | 70-90 г | Они должны быть в основном животного происхождения, получить их можно из молочных продуктов |
| Жиры | 80-90 г | Примерно четверть всей нормы получается из растительных масел |
| Углеводы | 350-400 г | Их можно получить из 80 г сахара |
| Соль | 7-10 г | |
| Жидкость | 1,5-2 л | |
| Калории | 2400-2900 | |
| Калий | 3,5 г | |
| Кальций | 0,75 г | |
| Тиамин | 1,5 мг | |
| Ретинол | 0,5 мг | |
| Аскорбиновая кислота | 150 мг |
Классическое семидневное меню при подагре на ногах расписывается лечащим врачом. Вариантов стола №6 на неделю может быть несколько. Питание при этом не отличается какими-либо особенностями. Пища готовится в обычном режиме, температура блюд — нормальная. Мясо и рыбу лучше отваривать, а вот бульон нужно выливать, так как в нем содержатся все пурины из данных продуктов. Это же касается и грибов.
Меню стола №6 на неделю для людей с подагрой предусматривает проведение одного разгрузочного дня. Результатом такой диеты станут нормализация питания, стабилизация пуринового обмена, уменьшение количества солей мочевой кислоты. Стол №6 также позволяет существенно снизить массу тела, устранить воспаление и боль в суставах ног, снизить вероятность рецидивов состояния обострения. Однако перед тем как начать эту диету, необходимо проконсультироваться с доктором.
Несмотря на отсутствие жестких рамок в питании, стол №6 может подойти не всем. Какое влияние такое питание может оказать на больного, зависит от особенностей его организма, течения подагры. Важно! Если у больного обнаружены отложения мочекислых солей в ногах, консультация с доктором обязательна. Если пациент страдает ожирением, ему может быть назначен стол №8, который предусматривает более жесткую фильтрацию списка разрешенных продуктов.
Согласное диете № 6, перед сном обязательно нужно выпить 200 мл любой жидкости.
Диета при подагре в период обострения
Диета при подагре в период обострения поможет избавиться от неприятных болезненных симптомов и восстановить подвижность, какую человек теряет во время развития воспаления. Из меню можно совсем исключить мясные и рыбные продукты. Питание при подагре предусматривает более частое проведение разгрузочных дней (через день).
В это время можно есть только овощи и фрукты. После исчезновения болей в ногах и устранения отека можно переходить на обычное семидневное меню. Строгая диета при обострении подагры длится максимум 3 дня. Питание должно быть частое и дробное, чтобы не перегружать пищеварительную систему, хотя таким меню сильно загрузить желудок невозможно.
Итак, при обострении можно использовать такое однодневное меню:
- На голодный желудок — половина стакана предварительно подогретой минеральной щелочной воды или отвар шиповника (можно использовать цикорий).
- Завтрак — половина порции овсяной молочной каши (она должна быть жидкой), стакан молока.
- 11 часов — 1 стакан яблочного сока. Вместо этого, можно есть сырые яблоки (1 шт.).
- Обед — суп из протертых овощей (половина порции), кисель на основе молока.
- 17 часов — морковный или томатный сок (стакан).
- Ужин — половина порции жидкой молочной рисовой каши, 1 стакан фруктового компота (клубники, груши, яблока).
- 21 час — стакан кефира.
- На ночь — чай с молоком и медом (не желательно при сахарном диабете) или зеленый чай без сахара – 1 стакан.
Такое меню можно использовать до исчезновения симптомов воспаления в ногах.
После того как период обострения пройдет, в рацион можно добавить небольшое количество отварного мяса, которое лучше есть в виде приготовленных на пару котлет или тефтелей. Также мясные продукты можно запекать.
Если пациенту с подагрой такое меню не подходит, его можно всегда изменить. При этом учитываются все особенности питания в этот период. Подагра на ногах требует серьезного и ответственного подхода.
Особенности проведения разгрузочных дней
Диета при подагре в период ремиссии исключает лечебное голодание. Полное прекращение питания провоцирует обострение, поэтому традиционное лечение его не приветствует. В такой день можно употреблять продукты (овощи или фрукты) одного вида, например, зеленые яблоки или картофель. В случае надобности можно сделать салат из нескольких видов овощей или фруктов (исключаются виноград и малина).
Если больной подагрой не хочет кушать растительную пищу, то можно использовать кефирную, творожную, молочную или рисовую диету. Последняя является достаточно распространенной. Для приготовления блюда используются такие продукты: рис (75 г) и яблоки. Рис отваривается на разбавленном молоке. Съесть его нужно за несколько приемов в течение дня небольшими порциями. Между приемами пищи можно съедать яблоко или пить компот из него. Общее количество яблок в день при подагре не должно превышать 250 г. Если необходимо приготовить компот, то в этом случае лучше не использовать сахар.
Творожно-кефирная диета во время подагры предусматривает употребление 400 г обезжиренного творога и полулитра кефира в течение дня. Такое питание поможет достаточно быстро избавиться от мочевой кислоты.
Лечение заболевания нужно проводить ответственно. Достигнутый положительный результат легко потерять, если поддаться соблазну и съесть запрещенный продукт.
Диета при подагре: меню на неделю
Диета в период отсутствия симптомов отличается разнообразием. Далее будет представлено примерное меню на неделю при подагре. Недельное питание в этом случае будет выглядеть так:
Понедельник:
- Завтрак. Овсяная молочная каша, свежий огурец, отвар шиповника или цикорий.
- Обед. Нежирный творог, перемешанный со сметаной, кисель из фруктов.
- Полдник. Суп из картофеля, кабачки, фаршированные рисом, со сметанным соусом, свежая клубника со сливками.
- Ужин. Сырники, котлеты из капусты (брокколи или квашеная капуста), сок из томатов.
- 22 часа. Яблоко.
Вторник:
- Завтрак. Молочная рисовая каша, морковь, тертая со сметаной, яйцо (вареное всмятку), чай с лимоном или цикорий.
- Обед. Молодой вареный картофель, свежий огурец, яблочный сок.
- Полдник. Суп из овощей со сметаной (майонез использовать нельзя), творожная запеканка, кисель из молока.
- Ужин. Яблоки печеные, сок из фруктов.
- 22 часа. Стакан кефира.
Среда:
- Завтрак. Салат из свежей белокочанной капусты с растительным маслом, макароны с творогом, зеленый чай.
- Обед. Оладьи из картофеля со сметаной, фруктовый сок.
- Полдник. Вегетарианский борщ, мясо индейки отварное, лимонное желе.
- Ужин. Сырники со сметаной, рагу из овощей, кисель фруктовый.
- 22 часа. Яблоко.
Четверг:
- Завтрак. Молочная гречневая каша, салат из капусты и яблок (квашеная капуста или брокколи), яйцо, чай.
- Обед. Яблочная запеканка с добавлением моркови, отвар шиповника.
- Полдник. Рассольник из овощей, творожные блинчики, кисель из фруктов.
- Ужин. Яблоки печеные, тыква, сок из фруктов.
- 22 часа. Простокваша.
Пятница:
- Завтрак. Салат из свежих помидоров, творог, перемешанный со сметаной, фруктовый кисель.
- Обед. Брокколи или котлеты из капусты, отвар из шиповника.
- Полдник. Суп из лапши на молоке, голубцы, фаршированные гречневой кашей, финики или хурма (в некоторых примерных вариантах диет появляется виноград, однако он, как и вино, является нежелательным продуктом в рационе).
- Ужин. Пудинг из творога, морковные котлеты, фруктовый компот.
- 22 часа. Яблоко.
Суббота:
- Завтрак. Молочная пшенная каша, салат из овощей (или квашеная капуста), яйцо всмятку или омлет, чай.
- Обед. Зразы из моркови с добавлением яблока, отвар шиповника.
- Полдник. Щи из капусты, пудинг из творога, молочный кисель.
- Ужин. Белковый омлет, кабачки, запеченные со сметаной, фруктовый сок.
- 22 часа. Кефир.
Воскресенье:
- Завтрак. Салат из свежих овощей (огурцов и помидоров), творог со сметаной, компот. В салат можно добавить небольшое количество редьки.
- Обед. Капуста брокколи запеченная, фруктовый кисель.
- Полдник. Окрошка, курица отварная, печеные яблоки.
- Ужин. Рагу из овощей, перловые биточки, творог, зеленый чай.
- 22 часа. Яблоко или кефир.
Эта диета – только примерный образец питания больного подагрой. Как видно, здесь нет ни кофе, ни алкоголя, отсутствуют грибы, сало. Зато эта диета содержит финики, свежие овощи и соки. Можно побаловать себя сладким и съесть мороженое.
Такое питание является здоровым и может применяться, даже если у человека нет подагры. Если такая примерная диета не нравится больному, ее всегда можно изменить. На сегодняшний день специалист может составить индивидуальную диету для каждого пациента, страдающего подагрой, с учетом его вкусов. Однако самостоятельно это делать не рекомендуется.
Питание при подагре: рецепты
Лечение подагры необходимо производить обязательно, хотя полностью вылечить это заболевание без коррекции обменных процессов в организме практически невозможно. Одни медикаменты с этой задачей не справятся, поэтому больному назначают диету. Так как некоторые варианты меню уже были изложены, то можно рассмотреть некоторые самые полезные рецепты блюд. Источником ингредиентов является таблица и список разрешенных продуктов питания.
Итак, обычно в диете используются такие блюда:
- борщ вегетарианский;
- картофельный суп;
- рагу из овощей;
- салат огуречный;
- салат из зеленого горошка и моркови;
- суп молочный с вермишелью;
- овсяная молочная каша;
- сырники;
- оладьи из картофеля;
- творожная запеканка;
- отвар из сушеных ягод шиповника;
- отвар из отрубей пшеницы.
Ниже описаны рецепты приготовления каждого из блюд.
Борщ вегетарианский. Сначала следует накипятить воду, и посолить ее. Потом бросить мелко нарезанный картофель. Пока он будет вариться, на сковороде в растительном рафинированном масле (2 ст. л.) необходимо обжарить предварительно порезанный лук, натертую морковь, свеклу. Когда все хорошо протушится, можно добавить на сковородку стакан томатного сока и продолжать томить на среднем огне. Лишняя жидкость должна испариться. Когда картофель будет готов, протушенные в сковороде овощи добавляются в кастрюлю. Сюда же следует бросить нашинкованную капусту. Чем дольше она будет вариться, тем мягче станет. За несколько минут до готовности борща в него по желанию добавляется нарезанный перец и зелень. Есть это блюдо можно часто, так как оно является очень полезным.
Картофельный суп. Этот рецепт используется достаточно часто. Для приготовления понадобится картофель, половина яйца, немного сливочного масла, мука, зелень и ложка сметаны. Отваренный картофель необходимо протереть через мелкое сито и смешать с соусом. Он готовится так: мука подсушивается в духовке, потом к ней добавляется 40 г отвара картофеля. Смесь необходимо вскипятить и вылить в кастрюлю с картофелем. Далее, в суп добавляется яйцо и сливочное масло, снова кипятится, после чего его можно есть.
Рагу из овощей. Для его приготовления понадобятся следующие продукты: морковь – 3 шт., картофель – 6 шт., лук – 1 шт., зеленый горошек – 1 стакан, сливочное масло – 1 ст. л., сметана – 100 г, щепотка соли. Лук необходимо измельчить и обжарить на растительном масле (сало или жир использовать нельзя), морковь нарезать кубиками и бросить в сковородку. Смесь тушится до готовности. После этого в сковородку нужно высыпать горошек, вареный картофель, соль и сметану. Тушить всю смесь необходимо около 15 минут.
Салат огуречный. Кроме огурцов, сюда может быть добавлена редька и листья салата. Не стоит забывать, что редька входит в список продуктов, разрешенных к употреблению в ограниченном количестве. Все указанные овощи необходимо измельчить, смешать и заправить сметаной или обезжиренными сливками.
Салат из зеленого горошка и моркови. Сюда тоже может быть по желанию добавлена редька, хотя чаще блюдо делается без нее. Морковь следует натереть на крупной терке и смешать с горошком. Далее, салат обогащается зеленью и смешивается со сметаной.
Суп молочный с вермишелью. Сначала вермишель необходимо подержать около 5 минут в простой воде. Далее добавляется предварительно прокипяченное молоко. После этого суп варится, пока не будет готов. Перед завершением варки в суп можно добавить масло и сахар. В некоторых случаях вместо сахара можно добавлять мед.
Овсяная молочная каша. Молоко нужно вскипятить и добавить в него крупу, сахар и соль. Каша варится до полной готовности. Перед завершением варки в кастрюлю можно добавить сливочное масло. Вместо сахара тоже можно использовать мед (если нет противопоказаний).
Сырники. Для их приготовления понадобится сливочный сыр – творог. Он смешивается с манкой и яйцом. При этом консистенция смеси должна быть густой. После этого формируются сырники, обваливаются в муке и обжариваются на масле. Кушать их нужно теплыми. Можно употреблять сливочный сыр, перемешанный со сметаной и сахаром.
Оладьи из картофеля. Требуется на мелкой терке натереть 200 г сырого картофеля, смешать его с половиной яйца, 20 г муки, 50 г сметаны и чайной ложкой растительного масла. Полученное тесто хорошо вымешивается и жарится на сковороде.
Творожная запеканка. Следует смешать 50 мл молока, 75 г творога, 2 белка от яйца, сметану, немного сливочного масла, сахар. Все ингредиенты нужно хорошо смешать, выложить на смазанный сливочным маслом противень и поставить в духовку. Перед подачей можно полить запеканку сметаной.
При подагре полезен отвар из сушеных ягод шиповника. Необходимо 30 г сырья смешать с 270 г воды и прокипятить в течение 10 минут. Перед завершением приготовления можно добавить сахар.
Отвар из отрубей пшеницы. В кастрюлю с кипящей водой (1 литр) опустить 200 г сырья и проварить не менее часа. Отруби вытащить, а жидкость процедить. Сырье первый раз не отжимается, а второй раз – да.
Эти рецепты достаточно просты в приготовлении и составляют основу диеты. Правильное питание способствует удалению мочевой кислоты и устранению воспалительного процесса при подагре. Чтобы он не повторялся, человеку следует забыть о таких продуктах, как: сало, кофе, виноград, а особенно – алкоголь. Только с таким условием лечение подагры буде эффективным. Будьте здоровы!
Похожие статьи
































