Отложение соли в суставах: что нужно знать о микрокристаллических артропатиях
В медицине отложение солей в тканях суставов называют микрокристаллической артропатией. Заболевание проявляется острыми или хроническими болями в суставах, утренней скованностью, незначительной отечностью, покраснением кожи и локальным повышением температуры. При хроническом течении патологии симптомы могут быть слабовыраженными или вовсе отсутствовать, а в процесс могут вовлекаться суставы любой локализации.
В международной классификации болезней (МКБ-10) микрокристаллическим артропатиям присвоен код М11. К этой группе заболеваний относится подагра, псевдоподагра (хондрокальциноз), гидроксиапатитная и другие артропатии. В статье подробно описаны все эти виды отложений солей в суставах.
Микрокристаллические артриты могут быть наследственными заболеваниями. К примеру, семейная форма хондрокальциноза встречается у жителей Голландии, Чехии, Словакии, Швеции, Германии, Франции, Чили.
Основные виды артропатий
В зависимости от типа кристаллов выделяют несколько видов микрокристаллических артритов. Они имеют разное течение, что позволяет различать их еще до проведения лабораторной и инструментальной диагностики. Полноценное обследование пациента дает возможность уточнить диагноз.
Таблица 1. Виды микрокристаллических артропатий
| Вид | Тип кристаллов | Особенности артропатии |
| Подагра | Моноурат натрия | Болеют в основном мужчины старше 40 лет. В патологию обычно вовлекается пястно-фаланговый сустав стопы. Болезнь имеет циклическое течение, то есть периоды ремиссии чередуются с обострениями |
| Хондрокальциноз | Пирофосфат кальция | Заболевание может протекать в острой или хронической форме. Страдают коленные, лучезапястные, тазобедренные, локтевые суставы. В 50% случаев кристаллы пирофосфатной кислоты откладываются у больных с остеоартрозом |
| Гидроксиапатитная хондропатия | Гидроксиапатит кальция | Страдают преимущественно женщины в возрасте более 40 лет. Чаще всего поражаются плечевые суставы, реже – позвоночник. Возможно развитие псевдополиартрита, сходного по клиническому течению с ревматоидным или инфекционным артритом |
| Другие уточненные и неуточненные артропатии | Ортофосфат кальция или другие кристаллы немочекислой природы | У больного — все симптомы артропатии, но обнаружить и/или идентифицировать кристаллы удается не всегда |
Подагрическая
В конце ХХ века подагру считали болезнью накопления уратов в суставах, подкожной клетчатке, костях и почках. Исследования, проведенные в 1990-х годах, подтвердили системный характер заболевания. Отложение солей происходит на фоне гиперурикемии – повышенного содержания мочевой кислоты в крови. Подагрическая артропатия является проявлением системной болезни – подагры.

Чаще всего тофусы локализуются в области суставов, сухожилий, подкожной клетчатки. Их нередко находят на ушах и разгибательных поверхностях локтей.
Подагрой болеют преимущественно мужчины старше 40 лет. Однако в последние десятилетия патологию все чаще выявляют у женщин с ранним климаксом и гинекологическими заболеваниями. У молодых людей подагра протекает особенно тяжело. Она проявляется более высокой гиперурикемией, множественными тофусами и частыми длительными обострениями.
За последние тридцать лет заболеваемость подагрой среди жителей развитых страх выросла примерно в 20 раз. Это объясняется увеличением потребления алкоголя и массовым злоупотреблением фастфудом. У молодых женщин частой причиной развития подагры является прием диуретиков для коррекции массы тела. Сегодня в Европе патологию выявляют у 1-2% взрослого населения. Среди лиц старше 50 лет заболеваемость подагрой составляет 6%.
Не знаете, как вывести соли из суставов при подагре? Начните правильно питаться и вести здоровый образ жизни. И не забудьте обратиться к врачу, чтобы он назначил вам медикаментозное лечение.
Пирофосфатная
Для патологии характерно отложение кристаллов пирофосфата кальция (ПФК) в суставных хрящах и периартикулярных тканях. Кальцификаты могу откладываться в межпозвонковых дисках, лобковом симфизе и местах прикрепления сухожилий к костям. При пирофосфатной артропатии могут страдать любые суставы, но чаще всего болезни подвержены коленные и лучезапястные сочленения.
Виды хондрокальциноза:
- наследственный (семейный). Развивается у людей, чьи родители также болели хондрокальцинозом. Эта форма заболевания обычно дебютирует в возрасте 30-40 лет;
- метаболический. Возникает на фоне обменных нарушений. Болеют в основном люди с гиперпаратиреозом, гемохроматозом, гипомагниемией, гипофосфатазией и т. д.;
- идиопатический. Развивается у людей старше 55 лет на фоне остеоартроза. Возникает спонтанно, без видимых причин.
Хондрокальциноз может иметь бессимптомное, острое или хроническое течение. В первом случае кристаллы ПФК выявляют случайно, во время обследования по поводу других заболеваний. Для острой формы болезни характерно внезапное начало и сравнительно быстрое (на протяжении 3-5 дней) исчезновение симптомов. Хронический хондрокальциноз проявляется механическими болями и умеренно-выраженным синовитом. Наблюдаются внесуставная кальцификация и остеофитоз.
Острый артрит, возникший вследствие отложения кристаллов ПФК, называют еще псевдоподагрой. Заболевание имеет схожую с подагрой клиническую картину, однако практически никогда не поражает пястно-фаланговые суставы стопы.
Таблица 2. Сравнительная характеристика острой пирофосфатной артропатии и остеоартроза с депонированием ПФК
Многие люди интересуются, как вывести соли из суставов при хондрокальцинозе. Сделать это крайне тяжело. Медикаментозное и немедикаментозное лечение позволяет только снять воспаление в суставах и облегчить самочувствие человека. Раздробить или вывести соли из суставов, расположенные в самих хрящах, практически невозможно.
Гидроксиапатитная
Заболевание чаще встречается у женщин старше 40 лет. Для патологии характерно отложение гидроксиапатита кальция в периартикулярных тканях, сухожилиях и синовиальной оболочке. Многие современные исследователи уверены, что именно кристаллы гидроксиапатита провоцируют развитие синовита у больных с остеоартрозом.
Клинические варианты гидроксиапатитной артропатии:
- моноартрит. Развивается в 65% случаев. В патологию вовлекается один сустав. Клинически проявляется классическими симптомами артрита;
- поражение позвоночника. Возникает примерно у 35% больных. Проявляется острыми приступами радикулита и повышением температуры тела;
- острый псевдополиартрит. Вызывает множественное поражение суставов. При тщательном осмотре можно заметить, что воспалительные инфильтраты имеют периартикулярную локализацию;
- хронический псевдополиартрит. Отличительный признак болезни — постоянные артралгии. У больных наблюдаются незначительные воспалительные изменения в области суставов.
Для гидроксиапатитной артропатии характерно отложение солей в периартикулярных тканях позвоночника и плечевого пояса. У пациентов развиваются синовиты и теносиновиты. Болезненные ощущения появляются в месте крепления сухожилий, но деформации суставов нет.
Больные с гидроксиапатитной артропатией нередко интересуются, как вывести соли, которые откладываются не в суставах, а в периартикулярных тканях. Методы, позволяющие справиться с проблемой, есть. Наиболее доступный и популярный из них — ударно-волновая терапия.
Причины отложения соли в суставах
В некоторых случаях микрокристаллические артропатии являются наследственными заболеваниями. Они развиваются вследствие экспрессии дефектных генов, которые человек получил от больных родителей. К примеру, ген подагры локализуется в длинном плече Х-хромосомы и наследуется ребенком от матери.
Однако чаще всего микрокристаллические артриты имеют мультифакториальную природу и возникают у людей с генетической предрасположенностью под действием провоцирующих факторов. У больного имеется несколько дефектных генов, которые в определенных ситуациях могут привести к развитию артропатии. Человек с отягощенной наследственностью не обязательно должен заболеть. Это и отличает наследственные формы артропатий от мультифакториальных.
Около 40% больных с подагрой имеют родственников, которые также страдают от этой болезни. Это говорит о том, что в развитии патологии большую роль играют наследственные факторы.
Подагра чаще всего развивается у людей, злоупотребляющих алкоголем, и тех, кто ест много богатой пуринами пищи (жирная рыба, мясо, икра). Это ведет к повышению уровня мочевой кислоты в крови, отложению уратных кристаллов в суставах. К развитию подагрического артрита может приводить и нарушение выведения мочевой кислоты почками при ее нормальном содержании в крови.
Причины гидроксиапатитной артропатии:
- обменные нарушения;
- длительный прием витамина D;
- гиперпаратиреоз;
- пребывание на гемодиализе.
Достоверные причины развития пирофосфатной артропатии неизвестны. Считается, что кристаллы ПФК откладываются в тканях из-за локального нарушения метаболизма пирофосфата и кальция.
Симптомы отложения солей в суставах
У пациентов встречается бессимптомное депонирование кристаллов пирофосфата, ортофосфата или гидроксиапатита кальция. Патологию выявляют случайно, во время обследования пациента по поводу какого-либо другого заболевания. Однако чаще всего микрокристаллические артропатии имеют острое или хроническое рецидивирующее течение.
Симптомы, указывающие на отложение солей в суставах:
- боль. Может иметь разную степень выраженности. К примеру, при подагрическом артрите человека беспокоят невыносимые боли в стопе, мешающие ему ходить и вести привычный образ жизни. А вот при остеоартрозе с депонированием кристаллов ПФК болезненные ощущения имеют слабовыраженный характер, но сохраняются на протяжении многих месяцев или даже лет. Для гидроксиапатитной артропатии характерны механические боли, усиливающиеся при движениях;
- покраснение кожи и локальное повышение температуры. Типичны для острых микрокристаллических артритов. Из-за сильного воспаления кожные покровы вокруг больных суставов становятся ярко красными и горячими на ощупь;
- припухлость. Локализация отечности зависит от места расположения кристаллов. При пирофосфатной и гидроксиапатитной артропатиях припухлость обычно обнаруживают в области околосуставных тканей;
- ограничение подвижности суставов. Возникает из-за раздражения суставов скопившимися в синовиальной полости кристаллами. Причиной также может быть кальцификация сухожилий и периартикулярных тканей;
- появление тофусов указывает на подагру. Тофусы легко спутать с ревматоидными узелками. Обнаружив у себя подозрительные образования в области суставов, немедленно идите к врачу. Тот обследует вас и поставит точный диагноз.
Методы диагностики
Для диагностики микрокристаллических артропатий используют лабораторные и инструментальные методы. Первые более показательны при подагре, поскольку позволяют обнаружить высокий уровень мочевой кислоты в крови. При гидроксиапатитной артропатии лабораторные исследования малоинформативны и дают возможность выявить только неспецифические признаки воспаления (лейкоцитоз, повышение СОЭ).
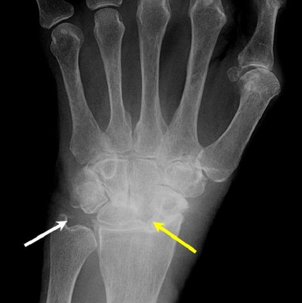
Обнаружить кальциноз суставных хрящей и периартикулярных тканей можно с помощью визуализирующих методов исследования. Наиболее простой — рентгенография. Выраженность клинической картины заболевания обычно не зависит от количества и размера кальцификатов. Часто множественные отложения солей не вызывают никаких симптомов, а типичные признаки артропатии возникают при отсутствии отложений.
Одним из наиболее информативных диагностических мероприятий является исследование синовиальной жидкости, полученной с помощью пункции. Для выявления и идентификации кристаллов используют метод поляризационной микроскопии. Исследование позволяет определить природу кисталлов и поставить точный диагноз.
Рентгенография позволяет выявить только крупные кальцификаты. А вот небольшие отложения солей можно обнаружить только с помощью УЗИ. Этот метод более чувствительный и специфичный при диагностике артропатий.
Таблица 3. Дифференциальная диагностика разных видов артропатий
| Подагра | Псевдоподагра | Гидроксиапатитная артропатия | |
| Уровень мочевой кислоты в крови | Повышенный | Нормальный | Нормальный |
| Наличие кристаллов в синовиальной жидкости | Соли мочевой кислоты | Кристаллы пирофосфата кальция | Кристаллы гидроксиапатита выявляют редко |
| Изменения на рентгенограммах | Появление асимметричных узловатых образований в тканях. На поздних стадиях наступает деструкция хрящей и костей, а кристаллы мочевой кислоты откладываются в костях | Кальцификация хрящей, суставной капсулы, сухожилий и периартикулярных тканей | Отложение солей в околосуставных тканях и местах крепления сухожилий к костям. При рентгенографии позвоночника в его мягких тканях также выявляют кальцификаты |
| Наличие тофусов | Да | Нет | Нет |
Тактика лечения отложений солей в суставах зависит от типа кристаллов. Поэтому при подозрении на микрокристаллическую артропатию нужно поставить диагноз. Сделать это может только врач после обследования.
Лечение отложений солей в суставах
Как вывести соли, которые скопились в суставах или околосуставных тканях? Можно ли это сделать самостоятельно или без помощи врача не обойтись? Реально ли вообще избавиться от скопившихся кальцификатов? Ответы на все эти вопросы есть.
Выведение солей из суставов — сложный и трудоемкий процесс. Начинать лечение нужно с уточнения диагноза и выявления причины патологии. После этого больному требуется откорректировать режим питания и исключить из рациона вредные продукты, провоцирующие отложение солей. Подбирать диету должен врач или диетолог.
Во время обострения для лечения солей в суставах используют противовоспалительные и обезболивающие мази на основе НПВС (Диклофенак, Вольтарен, Диклак). При ярко выраженном болевом синдроме пациенту назначают кортикостероидные гормоны (Дипроспан, Кеналог). Их могут вводить в суставную полость или околосуставные ткани. При подагре и псевдоподагре больным также назначают Колхицин.
При отсутствии активных воспалительных процессов для лечения отложения солей в суставах и околосуставных тканях полезны массаж, водные процедуры и методы физиотерапии. Хороший эффект дают электрофорез с Гидрокортизоном, грязелечение, парафиновые аппликации. Для дробления кристаллов в околосуставных тканях также используют метод ударно-волновой терапии.
Похожие статьи






