Артрит локтевого сустава: симптомы и лечение медикаментами и при помощи операций
В лечении артрита локтевого сустава используются консервативные методы. Это курсовой прием препаратов, проведение массажных и физиопроцедур, ЛФК. Терапия направлена на устранение болей, отеков и воспаления, восстановление объема движений, профилактику прогрессирования артрита. При неэффективности консервативного лечения пациентам показано хирургическое вмешательство.
Общая информация о болезни
Артритом называется воспалительное заболевание, которое поражает все структуру локтевого сустава — синовиальные оболочки, капсулу, хрящ, костные поверхности, связки, сухожилия. При отсутствии лечения оно довольно быстро прогрессирует, провоцируя развитие часто необратимых осложнений. Артрит выявляется у людей различного возраста, в том числе у детей и подростков. Но наиболее часто от него страдают женщины 40-50 лет.
Виды заболевания
Поражения локтевого сустава бывают воспалительными и дегенеративными. К последним относятся остеоартроз и артрит, развившийся после травмы. Воспалительные патологии — подагрический, ревматоидный, инфекционный, реактивный артрит. Заболевания классифицируются и в зависимости от формы течения. Они бывают острыми, подострыми, хроническими.
Остеоартрит
Остеоартрит (остеоартроз) — дегенеративно-дистрофическая патология, вначале поражающая суставной хрящ. В результате его истончения, уплотнения и постепенного разрушения повреждаются и костные структуры. Формируются костные наросты (остеофиты), травмирующие мягкие ткани, провоцирующие развитие воспалительного процесса. К терапии остеоартрита практикуется только комплексный подход.
Ревматоидный
Это ревматическое заболевание, для которого характерно эрозивно-деструктивное поражение локтевого сустава. Ревматоидный артрит проявляется и внесуставными симптомами со стороны внутренних органов, кожи, центральной и периферической нервной системы. Заболевание пока не подается полному излечению, поэтому основные задачи терапии — достижение устойчивой ремиссии и улучшение самочувствия пациента.
Ювенильный
Ювенильный ревматоидный артрит — самое распространенное заболевание в детской ревматологии. Он выявляется примерно у 0,5% юных пациентов с двухлетнего возраста и старше, преимущественно у девочек. Ювенильным артритом называется диффузная патология соединительных тканей, поражающая суставы. Она трудно поддается лечению, требует пожизненного приема препаратов.
Инфекционный
Инфекционный артрит локтевого сустава — патология, спровоцированная проникновением в его полость патогенных микроорганизмов (бактерий, грибков, вирусов). В процессе жизнедеятельности они выделяют в окружающее пространство токсины. Развивается воспаление, быстро распространяющееся на здоровые ткани. Большинство инфекционных артритов исчезают бесследно после курсового приема антибиотиков, антимикотиков или противовирусных средств.
Гнойный
Гнойным артритом называется воспаление всех структур локтевого сустава, обычно вызванное стафилококками или стрептококками. Болезнетворные бактерии проникают в суставную полость через рану или переносятся кровью из первичных очагов. В ней накапливается гнойный экссудат, возникает риск сепсиса. Лечение такой формы артрита проводится вскрытием и дренированием локтевого сустава с одновременным приемом антибиотиков.
Гонококковый
Гонорейный (гонококковый) артрит — патология бактериального происхождения, являющаяся осложнением гонококковой инфекции. Он развивается не у всех больных гонореей, а только у 2-3%. В группу риска входят сексуально активные молодые люди возрастом от 15 до 40 лет, преимущественно женщины. Лечение гонококкового артрита длительное, с использованием препаратов различных клинико-фармакологических групп.
Туберкулезный
Туберкулезный артрит — наиболее частая локализация внелегочного туберкулеза. Он провоцирует деструктивные изменения костных, хрящевых, мягких тканей локтевого сустава. Костно-суставным туберкулезом болеют дети 7-14 лет и мужчины старше 50 лет. Его развитию способствуют неблагоприятные санитарно-гигиенические условия, слабый иммунитет, контакты с больными туберкулезом. Основа лечения — специфическая противотуберкулезная терапия.
Причины появления артрита локтевого сустава
Вторичный артрит развивается на фоне уже присутствующего в организме заболевания. Чаще всего он бывает спровоцирован остеомиелитом, патологиями легких и желудочно-кишечного тракта, расстройствами кроветворения, саркаидозом, злокачественными опухолями. К первичным артритам относятся инфекционные, являющиеся последствиями респираторных, урогенитальных, кишечных инфекций.
Ревматоидная, в том числе ювенильная патология развивается из-за агрессии иммунной системы по отношению к собственным клеткам организма. Подагрический артрит возникает в результате отложения в локтевом суставе солей мочевой кислоты.
Признаки и симптомы патологии
На начальном этапе развития артрит проявляется общим недомоганием, которое человек принимает за переутомление. Его также беспокоят слабые дискомфортные ощущения в локте, немного ограничивающие подвижность. Но их выраженность быстро повышается. Теперь при сгибании и разгибании сустава возникают сильные, острые или тупые, ноющие боли. Вскоре к ним присоединяются и другие симптомы артрита:
- увеличиваются размеры пораженного артритом локтя по сравнению со здоровым суставом;
- кожа краснеет, становится горячей на ощупь;
- при сгибании или разгибании локтя слышатся щелчки, хруст, потрескивание;
- скованность движений становится постоянной.
Особенно тяжело протекают инфекционные артриты. Выделяемые патогенными микроорганизмами вещества разносятся кровью по всему организму, что приводит к появлению симптомов общей интоксикации. Это повышенная температура тела, озноб, лихорадочное состояние, у детей и ослабленных больных — желудочно-кишечные расстройства.
Какой врач поможет
При появлении первых дискомфортных ощущений в локте нужно обратиться к ортопеду или врачу общего профиля — терапевту. Они назначат все необходимые лабораторные и инструментальные исследования. В соответствии с результатами диагностики дальнейшим лечением больного будет заниматься ортопед, ревматолог или травматолог. В проведении терапии могут принимать участие инфекционист, венеролог, уролог, гастроэнтеролог, эндокринолог.
Методы диагностики болезни
На первом прием врач осматривает пациента, выслушивает жалобы, изучает анамнез. Он измеряет амплитуду активных и пассивных движений для определения степени функциональных расстройств. Выставить окончательный диагноз позволяют результаты инструментальных исследований:
- рентгенография локтевого сустава в прямой и боковой проекциях;
- КТ или МРТ;
- артрография;
- электрорентгенография;
- УЗИ сустава;
- радионуклидная сцинтиграфия.
По показаниям проводится артроскопическое обследование внутренних поверхностей локтевого сустава с забором синовиальной жидкости. Установить возбудителя инфекционного артрита помогают результаты бакпосева. В диагностике ревматоидной патологии используются биохимические и серологические исследования.
Как лечить артрит локтевого сустава
При выборе методов лечения врач учитывает вид артрита, его форму и тяжесть течения. При острых болях пациентам показано исключение нагрузки на локтевой сустав, в том числе за счет ношения полужестких ортезов, ограничивающих подвижность. Ортопедические приспособления используются на протяжении всего лечения гнойного артрита, а также во время подагрической атаки.
Медикаментозное лечение
Нестероидные противовоспалительные средства — препараты первого выбора в лечении артритов. С их помощью можно быстро устранить боль и отеки, купировать воспаление. НПВС используются в различных лекарственных формах:
- инъекционные растворы — Ортофен, Мовалис, Ксефокам;
- таблетки — Диклофенак, Нимесулид, Кеторолак, Индометацин;
- гели, мази — Вольтарен, Фастум, Артрозилен.
В терапевтические схемы врачи часто включают средства для улучшения кровообращения, витамины группы B, миорелаксанты, хондропротекторы, согревающие наружные средства.
| Вид артрита локтевого сустава | Основные лекарственные средства | Фармакологическое действие |
| Ревматоидный, ювенильный | Этанерсепт, Инфликсимаб, Адалимумаб, Сульфасалазин, Метотрексат, Лефлуномид | Купирование воспалительного процесса, предотвращения разрушения локтевого сустава |
| Инфекционный | Амоксиклав, Кларитромицин, Азитромицин, Цефтриаксон, Цефазолин, Метронидазол | Уничтожение возбудителей респираторных, кишечных, урогенитальных инфекций |
| Подагрический | Колхицин, Аллопуринол, Пробенецид, Сульфинпиразон, Азапропазон, Бензбромарон | Снижение выработки пуриновых оснований, растворение и выведение кристаллов солей мочевой кислоты |
| Остеоартрит | Терафлекс, Артра, Структум, Дона, Хондроксид, Алфлутоп, Румалон, Хондрогард | Частичное восстановление хрящевых тканей, предупреждение распространения заболевания |
Физиотерапия
Электрофорез и ультрафонофорез с анестетиками, глюкокортикостероидами, НПВС применяется для устранения сильных болей при остром или подостром течении артрита. Эти процедуры проводятся и на этапе ремиссии с использованием витаминов группы B, хондропротекторов. При любой форме заболевания пациентам могут быть назначены 5-10 сеансов таких физиопроцедур:
- УВЧ-терапия;
- магнитотерапия;
- лазеротерапия;
- ударно-волновая терапия;
- ультрафиолетовое облучение.
После купирования воспаления в лечении артритов используются аппликации с озокеритом и парафином для улучшения кровообращения, восстановления подвижности локтя.
ЛФК
Занятия лечебной физкультурой начинаются сразу после устранения воспаления и выраженных болей. Врач ЛФК разрабатывает комплекс упражнений индивидуально для больного. Первые тренировки проходят под его руководством, а затем можно заниматься в домашних условиях. Наиболее часто в комплекс включаются такие упражнения:
- встать, расставить ноги на ширине плеч, наклониться вперед и по 5 раз сжать и разжать кулаки. Вернуться в исходное положение, выполнить упражнение еще 5-7 раз;
- выпрямиться, немного расставить ноги, делать круговые вращения согнутыми в локтях руками вперед и назад. Количество повторов — 10-15;
- встать на колени, упереться ладонями в пол, выпрямить спину. Отжаться 7-10 раз.
Все функции сустава восстанавливаются только при регулярных, ежедневных тренировках. Если во время занятия возникают болезненные ощущения, то к выполнению упражнений можно приступить после продолжительного отдыха.
Оперативное вмешательство
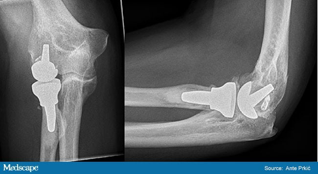
При неэффективности консервативного лечения, быстром прогрессировании артрита, развитии осложнений показано хирургическое вмешательство. Это синовэктомия, артротомия, резекция локтевого сустава, хейлэктомия, артроскопия. Пациентам с остеоартритом 3 степени тяжести врачи сразу предлагают установку эндопротеза, так как консервативное лечение при выраженной деформации костей не имеет смысла.
Эндопротезирование локтевого сустава
Установка искусственного сустава проводится под эндотрахеальным наркозом. Хирург делает разрез на задней поверхности локтя, отделяет и закрепляет нерв, рассекает фасции, сухожилия. После удаления локтевого отростка устанавливает имплантат, закрепляет его цементным или бесцементным способом.

Затем хирург фиксирует локтевой нерв в отдельном канале, сшивает мягкие ткани. Реабилитация начинается спустя 1-2 дня. Срок службы эндопротеза — 10-15 лет.

Открытая синовэктомия
Синовэктомия локтевого сустава — артротомическая операция, направленная на удаление патологически измененной синовиальной мембраны. Она проводится под общей или эпидуральной анестезией. Хирург вскрывает сустав, дренирует ее полость, обрабатывает антисептическими растворами. Затем он полностью или частично иссекает синовиальную оболочку. После наложения швов локтевой сустав иммобилизуется гипсовой повязкой.
Народные методы
В остром и подостром периоде локтевого артрита народные средства не применяются из-за высокой вероятности усиления воспалительного процесса. Их используют только после излечения или на этапе устойчивой ремиссии для устранения слабых дискомфортных ощущений. Лечебный эффект многих народных средств весьма сомнителен, поэтому следует обсудить целесообразность подобной терапии с врачом.
Глина
2 столовые ложки красной, голубой или черной косметической глины разводят нежирным кефиром до образования эластичной массы. Формируют из нее лепешку и прикладывают на 1 час к локтю, фиксируя пленкой и марлевым бинтом. Вместо кефира можно использовать любую минеральную воду.
Береза
Молодые свежие березовые листья заливают кипящей водой на 10-15 минут. Процеживают, остужают. Листья плотно накладывают на пораженный артритом сустав. Сверху размещают полиэтиленовую пленку, шерстяную ткань. Закрепляют лечебную повязку эластичным бинтом, оставляют на 1-2 часа. Листья можно заменить свежими березовыми почками, после заваривания завернув их в марлю.
Сосна
Горсть свежих или сухих сосновых иголок заливают литром кипятка, оставляют под крышкой на 2 часа. Процеживают, настой подогревают до температуры 30 °C, опускают в него локоть на полчаса. Смывают остатки теплой водой, втирают жирный детский крем. Для усиления лечебного эффекта в ванночку можно добавить по капле эфирных масел пихты и чабреца.
Прополис
Доводят до кипения стакан нежирного молока, кладут щепотку измельченного прополиса. Томят на небольшом огне 10 минут, остужают, добавляют чайную ложку меда. Принимают по 100 мл 2 раза в день после еды в течение месяца.
Яичная скорлупа
Яичную скорлупу очищают от пленок, заливают кипятком на час. Подсушивают, измельчают до состояния порошка. Смешивают с нежирной сметаной до образования густой массы, распределяют толстым слоем на локте. Закрепляют пленкой и марлевым бинтом, оставляют на 4-5 часов или на всю ночь.
Конский щавель
Емкость из темного стекла на 1/4 наполняют очищенными и измельченными корнями конского щавеля. Вливают по горлышко водку или 90% медицинский спирт, разведенный равным количеством воды. Настаивают в теплом месте 2 месяца, втирают в локти при появлении дискомфортных ощущений.
Одуванчик
Свежие листья одуванчика (2-3 горсти) растирают в ступке до однородного состояния, добавляют по столовой ложке меда и миндального косметического масла, по 1 капле эфирных масел можжевельника, эвкалипта и сосны. Прикладывают к локтю, фиксируют пленкой, плотной тканью, эластичным бинтом, оставляют на 1 час.
Девясил и мед
50 г сухих корней девясила заливают 2 стаканами горячей воды, томят под крышкой на медленном огне 1 час. Остужают, процеживают, добавляют 3 столовые ложки густого меда. Отвар хранят в холодильнике, втирают в больные локти до 3 раз в день.
Подсолнечник
Банку из темного стекла наполняют на половину очищенными, измельченными корнями подсолнуха. Заполняют емкость 70% этиловым спиртом, оставляют в темном месте на 1-2 месяца, периодически встряхивают. Втирают в локти 1-2 раза в день, при необходимости предварительно разбавив водой.
Квас
Крупный свежий корень хрена очищают, измельчают, смешивают с 0,5 литрами белого кислого хлебного кваса. Настаивают в холодильнике 2-3 дня, процеживают. Подогревают, смачивают в жидкости большую стерильную салфетку, прикладывают к локтевому суставу на час, не утепляя.
Каменная соль
2 столовые ложки каменной или морской соли разводят в литре горячей воды, остужают, процеживают. Смачивают в полученном растворе шерстяную ткань, оборачивают вокруг локтя. Продолжительность процедуры — 1-2 часа.
Возможные осложнения
Если больной не обращается за медицинской помощью даже при выраженных симптомах артрита, то воспалительным процессом поражаются все суставные структуры. Из-за деформирования костных поверхностей возникает анкилоз — полное или частичное необратимое обездвиживание локтя.
Наиболее тяжелые осложнения характерны для ревматоидного артрита. Это хроническая почечная недостаточность, инфаркт миокарда, аортальный стеноз, бронхоплевральные свищи.
Меры профилактики
Профилактика артрита — это исключение факторов, провоцирующих его развитие. Нужно ограничить количество соли, заменить в ежедневном меню копчености и кондитерские изделия свежими овощами и фруктами. При необходимости следует похудеть, повысить двигательную активность, отказаться от употребления алкоголя и курения, ухудшающих кровоснабжение локтевого сустава питательными веществами.
Похожие статьи




