Остеоартроз локтевого сустава: симптомы, лечение и профилактика
Остеоартроз локтевого сустава – заболевание, характеризующееся дегенеративными изменениями хрящевых тканей, приводящие к деформации и нарушению конгруэнтности суставных поверхностей с развитием остеофитов и синовитов. Эти явления сопровождаются болевым синдромом и нарушением функции сустава.
В мировом масштабе диагностируется примерно у 12% людей из всего населения Земли. Риск поражения остеоартрозом возрастает после 55–60 лет, причем у мужчин он выше, чем у женщин.
Болезнь может развиться и раньше, если род деятельности человека связан с тяжелыми физическими нагрузками. В зоне риска — спортсмены, грузчики, подземные горнорабочие, бурильщики, строители и люди других профессий с применением тяжелого физического труда. Патология приводит к ухудшению качества жизни, иногда – к инвалидности.
Механизм развития и причины остеоартроза
Патологические изменения развиваются вследствие функциональной перегрузки сустава: в нем возникает нарушение кровообращения и ухудшение питания хрящевой ткани. Из-за происходящих изменений она истончается и деформируется. Хрящ перестает быть эластичным, появляются трещины, суставные поверхности приобретают «шероховатые» очертания. При движении и нагрузке на сустав ощущается дискомфорт и боль в локте, которая со временем приобретает интенсивный характер.
Такие изменения могут произойти в результате следующих факторов:
- несбалансированность питания, нарушения обмена веществ;
- чрезмерные физические нагрузки на сустав;
- длительная микротравматизация и повреждения сустава;
- послеоперационная патология;
- инфекционные поражения, особенно вирусной этиологии;
- воспалительные процессы;
- алкогольная интоксикация;
- вредные условия труда.
Клиника заболевания
Симптомы остеоартроза локтевого сустава достаточно характерны. Однако на ранних стадиях развития заболевание может никак не проявляться. В ряде случаев выявляются дискомфорт и хруст в суставе, крепитация при движениях.
Болевые ощущения усиливаются при нагрузке, достигая пика интенсивности к вечеру и затихая ночью в период покоя. Для патологии характерны «стартовые» боли, которые возникают обычно утром при первых физических нагрузках на локтевой сустав. Часто наблюдается припухлость в этой области, которая может сопровождаться нарастанием боли. В далеко зашедших случаях наблюдается деформация локтя, иногда – гипотрофия мягких тканей вокруг него.
Периодически сустав может «заклинивать»: возникает «блокадная» резкая боль с одновременным его обездвиживанием. Это явление обусловлено ущемлением участка измененного некротизированного хряща между суставными поверхностями и называется «суставной мышью». При последующих движениях эта блокада снимается, параллельно уменьшается боль, а сустав обретает подвижность.
Различают три стадии заболевания.
Остеоартроз локтевого сустава 1 степени. Это начальная стадия, которая обычно никак не проявляется и обнаруживается в редких случаях при рентгенографии локтевого сустава. Хрящевая ткань становится менее гладкой и упругой. Больной ощущает небольшой локальный дискомфорт и утомляемость, незначительное снижение силы в суставе при нагрузке.
Остеоартроз локтевого сустава 2 степени. По мере развития заболевания нарастают дегенеративные изменения, которые приводят к нарушению функциональной способности локтя. Хрящевая ткань начинает разрушаться, внутрисуставная щель сужается более чем на 50%.
Для этой стадии характерны:
- хруст и крепитация;
- уменьшение работоспособности, снижение силы в суставе;
- появление боли при движениях, нагрузках.
При 3 степени остеоартроза больного беспокоит интенсивная боль, которая возникает при незначительном движении или нагрузке, заметно нарушаются функции сочленения. При осмотре выявляют деформацию и отек в области поражения.
Остеоартроз локтевого сустава 3 степени встречается нечасто, редко приводит к инвалидизации, но все же такие случаи в практике не исключены.
По степени ограничения трудовой деятельности в зависимости от стадий остеоартроза применяют классификацию по А. И. Нестерову:
Таблица №1
| Степень остеоартроза | Возможность выполнять работу |
| Первая | Незначительно затрудняет процесс трудовой деятельности |
| Вторая | Препятствует выполнению профессиональных обязанностей, особенно связанных с тяжелым физическим трудом |
| Третья | Потеря трудоспособности |
Диагностика и лечение
Больного направляют к врачу-травматологу. Диагностика заболевания начинается с осмотра и опроса пациента, выяснения жалоб, анамнеза, давности болезни. При осмотре обращается внимание на внешний вид локтей обеих рук, цвет кожных покровов, наличие отечности, гипертрофии (гипотрофии) тканей в сравнении со здоровой верхней конечностью.
Далее врач проверяет функциональность сустава, объем движений, наличие болезненности в нем, деформации. Ограничение подвижности в локте, вплоть до полной его неподвижности, сигнализирует о явных признаках остеоартроза.
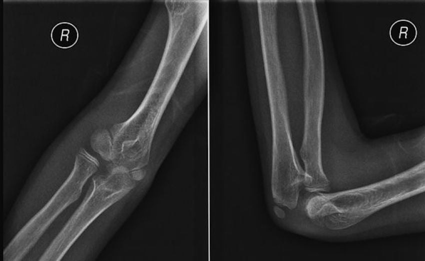
Основной метод диагностики — рентгенография локтевого сустава. При необходимости производится компьютерная томография.
Таблица №2. Степени остеоартроза в аспекте рентгенологической картины и эффективности лечения
| Степень | Рентгенологическая картина | Эффективность лечения |
| Первая | Появляются небольшие разрастания костной ткани (остеофиты), небольшое сужение суставной щели. Начало перерождения хрящевой основы сустава в костную | Хорошо поддается медикаментозному лечению, ЛФК, физиотерапии. Иногда эффект наступает при соблюдении диеты, двигательного режима, отказа от вредных привычек |
| Вторая | Краевые костные разрастания хорошо видны на снимке, выражено сужение суставной щели | Основное внимание придается медикаментозному (противовоспалительному и противоболевому) лечению, однако предыдущие мероприятия также учитываются |
| Третья | Значительная деформация сустава, полное или почти полное исчезновение суставной щели. Значительные костные разрастания. Внутрисуставные связки утолщены, количество синовиальной жидкости резко снижено | Плохо лечится консервативными методами. Применяется в основном симптоматическое лечение по устранению болевого синдрома. Эффективны хирургические методы |
Эффект от медикаментозного лечения наблюдается только на первой и второй стадиях заболевания. Третья стадия подразумевает симптоматический его характер.
Назначать лекарства может только врач после детального обследования больного. Терапия подбирается индивидуально каждому, в зависимости от стадии заболевания и переносимости медикаментов. Применяя препараты самостоятельно, вы можете навредить своему здоровью.
Из лекарственных средств применяются:
- нестероидные противовоспалительные и противоболевые средства: Диклофенак, Вольтарен, Ибупрофен, Нимесил, Кетанов, Триган, Кеторолак;
- гормональные препараты: Гидрокортизон, Кеналог, Дексаметазон;
- хондропротекторы: Мукосат, Хондролон, Алфлутоп, Структум.
Такие средства имеют неплохие лечебные свойства, однако дают ряд побочных эффектов. Поэтому применять их необходимо только по четким предписаниям врача.
Например, длительный прием нестероидных противовоспалительных средств не рекомендуется из-за пагубного влияния на желудочно-кишечный тракт (максимально – 2 недели). Гормоны быстро устраняют отек и воспаление локтя, но грозят появлением трофических язв и другими нарушениями в организме.
Подробно о НПВП:
Немедикаментозные методы
Основные методики — физиотерапия, лечебная физкультура, массаж, соблюдение диеты. Очень хорошо помогают на начальных стадиях заболевания и проводятся в периоды ремиссий.
К физиотерапевтическим процедурам относятся электрофорез, магнитотерапия, криотерапия, лазер, дарсонвализация, диадинамические токи и пр.
Мануальная терапия с массажем помогают бережно и постепенно увеличить объем движений в пораженной конечности. Препятствуют развитию атрофии мышц, окружающих сустав. Улучшают кровоснабжение и устраняют мышечный спазм.
Комплекс упражнений ЛФК проводится в лечебном учреждении или самостоятельно выполняется пациентом в домашних условиях. Методика подбирается врачом индивидуально, а больного обучают выполнению упражнений.
Особенно важно придерживаться диеты. Часто лица, страдающие остеоартрозом, имеют избыточную массу тела. Поэтому пересмотрите свой рацион и придерживайтесь следующих принципов:
- питаться дробно, небольшими порциями;
- пища не должна быть высококалорийной (не злоупотреблять углеводами, жирами, уменьшить потребление хлебобулочных изделий, особенно из муки высшего сорта);
- добавить в рацион овощи и фрукты;
- уменьшить потребление соли, специй;
- отказаться от алкоголя.
Народная медицина
На фоне основной терапии при первой-второй стадиях заболевания могут использоваться и народные методы. Немалую популярность завоевало применение солевого компресса на пораженную область (локоть).
Раствор готовится из расчета 3 столовых ложек соли на литр воды. Смоченная марлевая повязка накладывается на локтевой сустав, обвязывается шерстяной тканью и оставляется на ночь. Курс — 5-7 таких процедур, затем делается перерыв.
Хирургическое вмешательство
На 3 стадии заболевания больного беспокоит сильная боль, эффекта от лекарственных препаратов практически нет. При таких обстоятельствах поможет только хирургия. Применяется остеотомия – иссечение кости в месте поражения и фиксация ее в выгодном положении. При наличии остеофитов их удаляют.
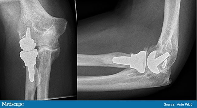
В далеко зашедших случаях производится эндопротезирование локтевого сустава или головки лучевой кости. Оно показано при выраженной контрактуре или анкилозе (полное обездвиживание в локте). Пораженные костные участки иссекаются, на их место устанавливается протез. Его части крепятся к костной ткани оперируемого при помощи медицинского цемента.
После такого лечения больному предстоит период восстановления, который проводится в реабилитационных центрах или в домашних условиях под наблюдением врача.
Заключение
Остеоартороз локтевого сустава – болезнь, ведущая к ограничению жизнедеятельности, причиняет массу неприятностей больному. При малейших проявлениях болезни не стоит пускать ее развитие на самотек и надеяться, что боль и хруст в суставе каким-то образом исчезнут сами.
Необходимо сразу обратиться к врачу. Панацеи от этого заболевания не существует, но вовремя начатое комплексное лечение избавит вас от прогрессирования процесса в тканях сустава и развития сильного болевого синдрома. Будьте здоровы!
Похожие статьи






