Болит локоть поднятии тяжести и других нагрузках: причина и что делать?
Неприятные ощущения могут указывать на повреждение самого локтевого сустава, его связок, мышечных сухожилий или проходящих рядом нервов. Особенности болевого синдрома нередко позволяют заподозрить то или иное заболевание локтевого сустава. Однако поставить правильный диагноз может только врач после обследования пациента.
Если вас беспокоит боль в локтевом суставе при поднятии тяжести, сходите на консультацию к специалисту. Он определит причину и посоветует, как от нее избавиться. При необходимости он назначит вам нужные препараты и процедуры.
Болезни вызывающие боль
Основная причина болей в локте — эпикондилит. Им страдает около 8% населения развитых стран. Заболевание чаще всего развивается у спортсменов, людей старше 40 лет и лиц, чья работа требует длительного выполнения стереотипных движений (маляры, строители, швеи, массажисты). Причиной патологии могут быть травмы или регулярные физические нагрузки.
Для эпикондилита характерны дегенеративно-дистрофические изменения мышечных сухожилий, которые крепятся к надмыщелкам плечевой кости. Со временем к этому процессу присоединяется реактивное воспаление, в которое вовлекаются и близрасположенные ткани. Из-за этого у человека появляются боли в локтевом суставе при нагрузке.
Виды эпикондилита:
- наружный. Характеризуется поражением сухожилий, которые крепятся к латеральному надмыщелку. Развивается у многих теннисистов, из-за чего патологию еще называют «локтем теннисиста»;
- внутренний. У человека воспаляются сухожилия, прикрепленные к медиальному надмыщелку. Патологией страдают люди, вынужденные часто и долго выполнять сгибательно-разгибательные движения в локте. Внутренний эпикондилит встречается в 10 раз реже наружного.
В 10% случаев локоть при нагрузке болит вследствие артрита. В ортопедической практике моноартрит встречается довольно редко. Гораздо чаще локтевой сустав поражается вместе с суставами другой локализации. В этом случае правильней говорить о полиартрите. Заболевание может иметь ревматоидную, инфекционную, реактивную или травматическую природу.
Также боль в локте может возникать вследствие травматического повреждения связок или сухожилий, синовитов, бурситов, деформирующего остеоартроза, синдрома кубитального канала и некоторых других заболеваний. Неприятные ощущения в левой руке при физических нагрузках могут быть первым признаком сердечно-сосудистой патологии.
Некоторым людям с шейным остеохондрозом может казаться, что у них болит локтевой сустав при нагрузке. Такая боль имеет отраженный характер, то есть локализуется вдали от очага патологии. Ее могут вызывать дегенеративно измененные суставы позвоночника, перенапряженные мышцы плечевого пояса или защемленные нервы.
Таблица 1. Особенности болевого синдрома при разных заболеваниях
| Болезнь | Ее отличительные признаки |
| Эпикондилит | Боль локализуется с внутренней или наружной стороны сустава. Она усиливается при разгибательных и хватательных движениях, вращении кистью наружу, напряжении мышц и надавливании на места прикрепления сухожилий. Также наблюдается ограничение движений в локте и снижение мышечной силы в верхней конечности |
| Кубитальный туннельный синдром | Человека беспокоят боли в локте и нарушения чувствительности в области предплечья. Неприятные ощущения всегда усиливаются при сгибании руки. Любопытно, что при кубитальном синдроме у швей и музыкантов обычно болит локоть правой руки при нагрузке. А вот у водителей, которые любят класть согнутый локоть на дверцу автомобиля, боли локализуются слева |
| Артрит | Для патологии характерно ухудшение подвижности локтя, легкая припухлость, локальное повышение температуры и покраснение кожных покровов. Характер боли различается при разных артритах. К примеру, при подагре она острая, при ревматоидном артрите – сковывающая |
| Деформирующий остеоартроз | Заболевание развивается в пожилом возрасте и крайне редко поражает локтевые суставы. Если это случается, поначалу ноющая боль возникает при физических нагрузках и исчезает после отдыха. Со временем она присутствует постоянно. У людей с артрозом также уменьшается объем движений в локте |
| Синовит | Может развиваться вследствие травм, на фоне артритов или артроза. При синовите в суставной полости скапливается выпот, из-за чего локоть выглядит отечным, а его контуры — смазанными. Боль при воспалении синовиальной оболочки локализуется непосредственно в области сустава |
| Шейный остеохондроз | Пациентов беспокоят ноющие боли в шее и мышцах плечевого пояса. В некоторых случах они иррадиируют в затылок и верхнюю конечность. Резкая боль в локте может возникать при защемлении нервного корешка или нерва, иннервирующего данную область. |
Как установить причину боли
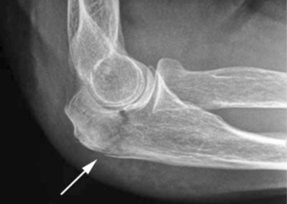
Чтобы выявить причину болей в локте, человеку требуется пройти обследование. В первую очередь, всем больным врачи делают рентгенографию локтевого сустава в 2-х проекциях. Она позволяет выявить грубые изменения в костях, которые появляются при артрозе и тяжелых хронических артритах.
На рентгенограммах нередко можно обнаружить и признаки эпикондилита: локтевые шпоры, участки эностоза, снижение плотности костной ткани и периостальные разрастания в области надмыщелков.
Для выявления синдрома кубитального канала пациенту проверяют симптом Тиннеля. Когда нужно оценить состояние околосуставных тканей, синовиальной сумки и суставных хрящей, делают УЗИ. При подозрении на боль отраженного характера человека направляют на консультации к другим специалистам.
Если у вас появились болезненные ощущения в локте – не пытайтесь лечиться самостоятельно, лучше сразу же обратитесь специалисту. Так вы сохраните свое здоровье. Лечением боли в локтевом суставе при нагрузке занимаются ортопеды и травматологи. Таким образом, лечить нужно не локтевой сустав сам по себе, а конкретный диагноз, который будет установлен во время диагностики.
Похожие статьи



