Воспаление локтевого сустава: виды, причины, лечение
Локтевой сустав состоит из суставных поверхностей образующих его костей, капсулы, связочного и мышечного аппарата. Под действием провоцирующих факторов в любой из этих структур может развиваться воспалительный процесс. У человека появляется боль, отечность мягких тканей, покраснение и гиперемия кожи, трудности при движениях в локте, другие неприятные симптомы.
При воспалении локтевого сустава страдать могут хрящи, синовиальная оболочка, суставная сумка, связки или мышечные сухожилия. Поражение каждой структуры – это отдельное заболевание, требующее определенного лечения.
Причины развития воспалительного процесса
К воспалению в области локтевого сустава чаще всего приводит регулярная травматизация локтя. В группе риска находятся теннисисты, гольфисты, строители, массажисты, трактористы и разнорабочие. Развитие воспалительного процесса также может спровоцировать неудачное падение, травма или прямой удар по локтевой области.
Иногда патология возникает на фоне длительнотекущего артроза, ревматоидного артрита, микрокристаллических артропатий, псориаза, системных заболеваний соединительной ткани, кишечных и урогенитальных инфекций. К примеру, у многих пациентов с деформирующим артрозом на поздних стадиях выявляют асептический синовит.
У людей, перенесших хламидиоз, может развиваться синдром Рейтера. Для патологии характерно развитие так называемого реактивного артрита. Он проявляется асептическим воспалением одного или нескольких суставов. В некоторых случаях пострадать может и локоть.
Для каких заболеваний характерно воспаление в области локтя
Воспаление – это комплексный патологический процесс, который может развиваться при многих болезнях и травмах. Рассмотрим, в каких случаях в него вовлекаются структуры локтевого сустава.
Таблица 1. Распространенные воспалительные заболевания локтя
| Болезнь | Локализация | Отличительные признаки | Любопытные сведения |
| Эпикондилит | Место прикрепления мышечных сухожилий к надмыщелкам плечевой кости | Боль в области внутренней или наружной поверхности локтя, усиливающаяся при движениях кистью | С болезнью приходится сталкиваться 1-3% населения. От эпикондилита чаще всего страдают лица в возрасте 40-60 лет |
| Бурсит | Суставная сумка, расположенная в области наружной поверхности локтя | Наличие выраженной припухлости на наружной поверхности локтевого сустава | Бурситом болеют в основном мужчины молодого и среднего возраста |
| Синовит | Синовиальная оболочка, выстилающая изнутри суставную полость | Скопление жидкости, которое выявляется при пальпации. Позитивный симптом флюктуации | Возникает преимущественно у лиц с дегенеративными или хроническими воспалительными заболеваниями суставов |
| Лигаментит | Локтевая или лучевая коллатеральная связки | Ноющая боль в области локтя, усиливающаяся при движениях | Встречается редко. Причиной воспаления связок локтевого сустава могут быть травмы или растяжения |
| Артрит | Суставные хрящи, субхондральные костные пластины, синовиальная оболочка | Диффузная боль в локтевом суставе, интенсивность которой зависит от выраженности воспалительного процесса | Артриты вызывают боль и дискомфорт в локтевом суставе всего в 10% случаев |
На фото вы можете увидеть разные варианты воспаления локтевого сустава.
При появлении болей в локте обращайтесь к врачу. Не пытайтесь заниматься самодиагностикой и самолечением. Скорее всего, вы не сможете самостоятельно распознать болезнь и вылечить ее.
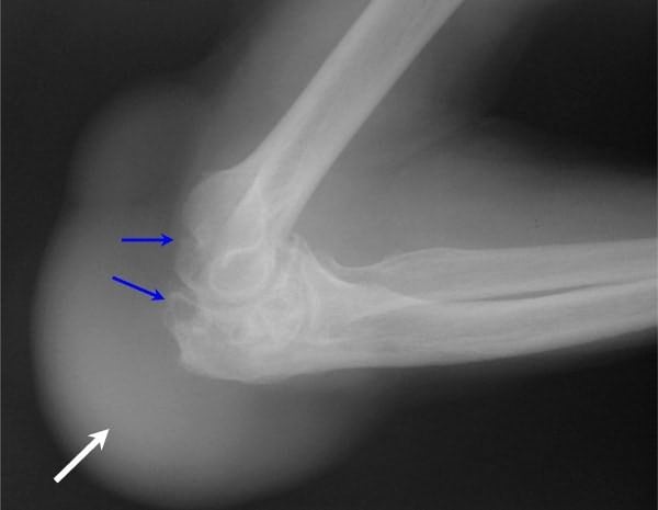
Какие обследования может назначить врач
Для уточнения диагноза специалисту потребуются результаты дополнительных методов исследования. Обнаружить воспаление в разных структурах локтевого сустава можно с помощью рентгенографии и УЗИ. Рентгеновские снимки делают в двух проекциях.
Для выявления причины и уточнения природы воспаления пациенту могут назначить дополнительные исследования (анализы крови, синовиальной жидкости). При подозрении на наличие системных заболеваний больного могут отправить на консультации к узким специалистам (ревматолог, инфекционист).
Как лечить воспаление локтевого сустава
При воспалительном процессе сначала необходимо выявить и устранить действие провоцирующих факторов. Например, работникам физического труда следует задуматься о смене рода деятельности, спортсменам – откорректировать режим тренировок и начать тщательнее следить за правильностью выполнения упражнений.
Если воспаление было вызвано псориазом, хламидиозом или системными аутоиммунными заболеваниями, требуется специфическое лечение. В случае гнойного артрита, бурсита или синовита пациенту обязательно назначают антибиотики. Для купирования болей и воспалительных процессов любой природы используют стероидные и нестероидные противовоспалительные средства.
Лечение воспаления локтевого сустава начинают только после обследования пациента. Сначала врач выясняет причину болезни, диагностирует заболевание, затем подбирает больному оптимальную схему терапии.
Эпикондилит
При воспалении сухожилий локтевого сустава пострадавшей конечности нужно обеспечить покой. Врачи рекомендуют пациентам прекратить выполнение физической работы, ограничить нагрузку на мышцы предплечья, временно отказаться от тренировок. При выраженном болевом синдроме больным могут накладывать гипсовую лонгету на 7-10 дней.
Мази и гели, помогающие купировать боль при эпикондилите:
- Диклофенак;
- Ортофен;
- Диклоран Плюс;
- Быструмгель;
- Фастум;
- Найз;
- Финалгель;
- Флексен;
- Индометацин.
В тяжелых случаях для лечения воспаления сухожилий больным назначают инъекции кортикостероидов в область локтевого сустава. Лекарственные блокады выполняют при сильных болях, сохраняющихся более двух недель. Пациентам вводят кортикостероидные гормоны (Дексаметазон, Кеналог, Дипроспан) с местными анестетиками (Лидокаин, Новокаин).
Если болевой синдром не удается купировать за 3-4 месяца, больным проводят хирургическое лечение. Его суть заключается в иссечении поврежденных участков сухожилий в месте их крепления к кости. Операцию выполняют под местной анестезией. В послеоперационном периоде пациент носит специальную лонгету. После ее снятия он проходит реабилитацию, включающую массаж, лечебную физкультуру и физиопроцедуры.
Недавние клинические исследования показали, что препараты с хондроитином и глюкозамином повышают эффективность лечения эпикондилита. Выяснилось, что хондропротекторы облегчают боль и уменьшают толщину воспаленных сухожилий.
Локтевой бурсит
Бурсит, развившийся после легкого ушиба, обычно проходит самостоятельно. Ускорить выздоровление можно путем временной иммобилизации локтя и прикладывания компрессов с Димексидом. В случае выраженного воспаления больному назначают препараты из группы НПВС (Диклофенак, Нимесил, Ибупрофен).
При неэффективности консервативного лечения пациентам выполняют пункцию бурсы. Скопившийся выпот удаляют с помощью толстой иглы. Манипуляцию проводят под местной инфильтрационной анестезией. В особо тяжелых случаях пациентам делают операцию – бурсэктомию.
Чем чревато отсутствие лечения
Отказ от медицинской помощи и попытки самолечения могут привести к прогрессирующему нарушению функций локтевого сустава. Со временем у многих больных развивается гипотрофия мышц предплечья, ухудшается подвижность кисти и пальцев. Все это вызывает ухудшение, а в некоторых случаях – даже потерю трудоспособности.
При появлении надоедливых болей в локте сразу же обращайтесь к ортопеду или травматологу. Запомните: чем раньше вы начнете лечение, тем лучше будут его результаты.
Похожие статьи





