Симптомы и лечение основных болезней суставов рук: список распространенных
Множественное поражение межфаланговых суставов кистей – проблема, с которой чаще всего сталкиваются женщины старше 40 лет. Боль в пальцах и трудности при выполнении привычной работы доставляют им немало дискомфорта. Давайте выясним, какие болезни суставов рук чаще всего вызывают эти неприятные симптомы.
В большинстве случаев поражение мелких суставов кистей возникает у лиц с ревматоидным артритом (РА) и деформирующим остеоартрозом (ДОА). Эти два заболевания имеют похожую клиническую картину, но совершенно разные причины. Лечить их также нужно по-разному. Именно поэтому так важно уметь отличать артрит от артроза.
Если у вас появились признаки непонятной болезни суставов рук, немедленно идите к врачу. Приготовьтесь к тому, что в больнице вам придется сделать рентген, сдать некоторые анализы. Подобное обследование необходимо для уточнения диагноза.
Таблица 1. Основные различия между РА и остеоартрозом мелких суставов кистей
| Ревматоидный артрит | Деформирующий остеоартроз | |
| Причины развития | Болезнь развивается у лиц с генетической предрасположенностью под действием внешних факторов. Врачи относят РА к аутоиммунным заболеваниям | Возникает у людей с наследственными дефектами строения соединительной ткани. Развитие артроза провоцируют физические нагрузки, переохлаждения, нехватка кальция в организме |
| Особенности болевого синдрома | Болезненные ощущения появляются во второй половине ночи или утром и исчезают днем. Выполнение физической работы облегчает боль | Боль при ДОА имеет механический характер. Это значит, что она появляется при активных движениях пальцами и уменьшается после отдыха |
| Утренняя скованность | Для РА характерна скованность в руках по типу тугих перчаток. Она ярко выражена, сохраняется на протяжении нескольких часов | Отсутствует или слабо выражена. Сохраняется не дольше 15-30 минут после пробуждения |
| Наличие специфических узелков | Ревматоидные узелки появляются только у 20% больных. Они подвижны при пальпации. Располагаются подкожно или периостально в области суставов | Узелки Гебердена и Бушара локализуются непосредственно в области пораженных суставов. Они неподвижны, поскольку представляют собой разрастания костной ткани |
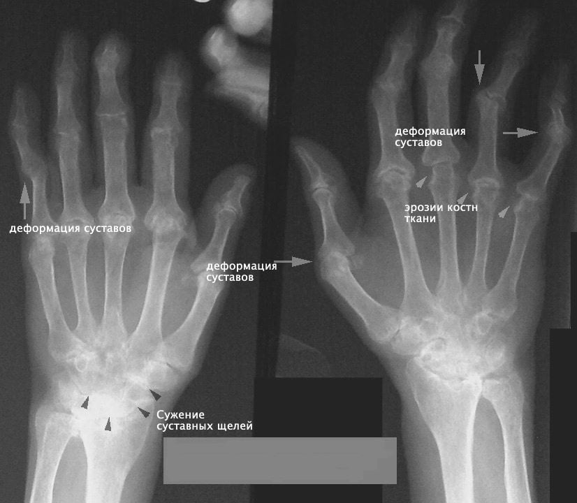
| Изменения на рентгенограммах | Для РА характерно появление околосуставного остеопороза, кистовидных просветлений костной ткани, эрозий, вывихов, деформации суставов | При остеоартрозе у больных выявляют сужение суставных щелей, характерные костные деформации. У некоторых пациентов также появляются признаки остеопороза |
| Наличие РФ и анти-ЦЦП в крови | Антитела к циклическому цитруллиновому пептиду (ЦЦП) выявляют практически у всех больных с РА. Что касается ревматоидного фактора, он отсутствует у большой части пациентов | При остеоартрозе в крови больных отсутствует РФ и анти-ЦЦП. Это позволяет с легкостью отличить ДОА от ревматоидного артрита |
Как избавиться от болей суставов рук
Поражение суставов кистей сопровождается болезненными ощущениями разной интенсивности. Для купирования болевого синдрома лучше всего подходят нестероидные противовоспалительные средства (НПВС). Препараты данной группы — универсальное лекарство для борьбы с болью в любой части тела. При артритах, артрозах их обычно используют в виде мазей или таблеток.
Препараты, улучшающие самочувствие при болях в пальцах:
- Диклофенак;
- Индометацин;
- Вольтарен;
- Целекоксиб;
- Нимесуд;
- Мелоксикам.
Многие НПВС оказывают негативное влияние на слизистую оболочку желудка и могут вызывать развитие язвы. Поэтому принимать эти препараты следует исключительно после еды. А людям с язвенной болезнью врачи рекомендуют отдавать предпочтение селективным ингибиторам ЦОГ-2 (Мелоксикам, Целекоксиб).
Лечение НПВС помогает лишь временно облегчить неприятные симптомы болезней суставов рук. Эти препараты снимают боль, воспаление, но не замедляют разрушение хрящей и костей.
Особенности лечения ревматоидного артрита
Для успешной борьбы с РА требуется применение так называемых болезнь-модифицирующих антиревматических препаратов. Эти лекарства угнетают иммунную систему человека, замедляя разрушение суставов. При ревматоидном артрите врачи обычно назначают пациентам антиметаболиты и биологические агенты.
Препараты, которые чаще всего используют при РА:
- Метотрексат;
- Сульфасалазин;
- Инфликсимаб;
- Лефлуномид;
- Артроофон;
- Ритуксимаб.
При тяжелом течении артрита врачи могут назначать сразу два или три базисных препарата. Наиболее популярными и действенными являются сочетания Метотрексата с Сульфасалазином или биологическим агентом (Артроофон, Инфликсимаб). Средства назначаются в определенной последовательности, под тщательным контролем состояния пациента.
Стероидные гормоны не относятся к базовым противоревматическим препаратам. Их могут использовать лишь для быстрого купирования симптомов артрита в период ожидания эффекта от базисной терапии.
Ни в коем случае не принимайте базисные препараты без предварительной консультации со специалистом. Эти лекарства довольно опасны, а при неумелом использовании могут вызывать тяжелые осложнения.
Какие препараты нужны при деформирующем остеоартрозе
При ДОА врачи обязательно назначают пациентам структурно-модифицирующие средства. К ним относятся хондропротекторы – препараты, восстанавливающие хрящевую ткань, замедляющие ее дальнейшее разрушение. Наиболее популярными лекарствами данной группы являются Дона, Артра, Структум, Терафлекс, Алфлутоп.
Хондропротекторы выпускаются в виде мазей, таблеток, растворов для внутримышечного введения. Большинство врачей ставит под сомнение эффективность локального применения препаратов и предпочитают назначать своим пациентам таблетки и/или уколы. Чтобы добиться ощутимого эффекта, лечение нужно проводить курсами длительностью 2-3 месяца по 3-4 раза в год.
Лечение народными средствами неэффективно при большинстве болезней суставов пальцев рук. Методы народной медицины можно использовать лишь в качестве дополнения к медикаментозной терапии.
Прогноз при полиартрите и полиостеоартрозе суставов рук
Остеоартроз и ревматоидный артрит имеют хроническое прогрессирующее течение и со временем приводят к стойкой деформации мелких суставов кистей. Медикаментозное лечение позволяет лишь замедлить развитие этих заболеваний, но не излечить их. У больных формируются анкилозы – полные сращения костей. Восстановить подвижность пальцев можно лишь с помощью хирургического вмешательства.
При ДОА и РА страдать могут не только верхние конечности. У лиц с остеоартрозом в патологический процесс нередко вовлекаются коленные, тазобедренные, плюсне-фаланговые суставы. При ревматоидном артрите крупные суставы поражаются не ранее, чем через 10 лет после появления первых симптомов заболевания.
Похожие статьи




