Деформирующий остеоартроз плечевого сустава: лечение 1-2-3 степени
Костно-хрящевые соединения в организме человека подвержены естественным инволюционным процессам. Для обычного гражданина эта фраза означает, что чем старше он становится, тем выше риск проблем с различными суставами, в том числе и плеча. Более 10% населения старше 40 лет испытывают начальные симптомы поражения плечевого сустава, а к 55 годам эта цифра увеличивается до 65-70%.
Несмотря на большую распространенность болезни, в МКБ 10 не существует прямого указания именно на дегенеративно-дистрофическую патологию плеча. Близкий по значению код – М 19 — требует уточнения степени и зоны поражения опорно-двигательного аппарата. Болезнь ухудшает качество жизни человека, однако при рациональном подходе к лечебным мероприятиям удается практически полностью нивелировать проблему.
Причины заболевания и провоцирующие факторы
Деформирующий артроз плечевого сустава – это многофакторная болезнь, которая связана с дегенерацией и дистрофическими изменениями костной и хрящевой ткани сочленения. Если к проблеме приводят только возрастные особенности человека, то она развивается у людей старшей возрастной группы. При иных провоцирующих факторах ДОА плечевого сустава может формироваться в любом возрасте: около 85% всех больных, страдающих от этого заболевания — старше 50 лет.
Точный процесс, который дает толчок дегенеративно-дистрофическому процессу в плечевом суставе, не установлен. Предполагается роль нескольких этиологических факторов:
- генетическую слабость костной и хрящевой ткани;
- эндокринологическую патологию – сахарный диабет, нарушения обмена кальция;
- аутоиммунное воспаление в суставе;
- травмы и операции;
- постоянные физические перегрузки плеча, связанные с подъемом и перемещением тяжести;
- вибрация верхней конечности;
- нарушения регионарного кровотока.
В старшей возрастной группе ДОА плечевого сустава может развиться практически у любого человека. Однако чаще всего проблема формируется у следующих лиц:
- страдающих хронической патологией сердца;
- имеющих эндокринные болезни;
- работающих грузчиками, сверлильщиками или дробильщиками;
- с наличием лишнего веса;
- с врожденными или приобретенными пороками развития сосудистого русла, снабжающего кислородом верхний плечевой пояс;
- у профессиональных спортсменов, резко заканчивающих тренировки.
Предрасполагает к развитию болезни злоупотребление алкогольными напитками, так как ухудшается иннервация плечевого сустава, что приводит к ускорению дегенеративно-дистрофических изменений хряща.
Клинические симптомы
На протяжении длительного времени никаких проявлений больной не отмечает. Деформирующий артроз плечевого сустава 1 степени протекает субклинически, давая о себе знать при самых экстремальных нагрузках. Однако болезнь уже фиксирована, костно-хрящевой субстрат сочленения поврежден, поэтому заболевание будет неуклонно прогрессировать. Первые симптомы появляются незаметно на фоне полного общего соматического благополучия. К ним относятся:
- непостоянные боли в пораженном плече, чаще на фоне физической нагрузки;
- ограничение движений в суставе;
- снижение мышечной силы в руке;
- невозможность завести руку назад;
- в покое и расслабленном состоянии все симптомы отсутствуют.
Небольшие болезненные проявления могут сохраняться довольно долго, хотя при сохранении провоцирующего фактора, например, занятий спортом, болезнь быстро прогрессирует.
Очень важно именно при появлении первых симптомов обратиться за помощью. Прогрессию ДОА плечевого сустава 1 степени можно полностью остановить, что сохранит функцию конечности. Существует простой способ установить, есть ли у человека начинающийся артроз. Для этого достаточно завести руки за спину и скрестить вместе на уровне чуть выше поясницы. При наличии болей в плече при выполнении этой простой манипуляции либо невозможности сделать упражнение нужно срочно обращаться к ортопеду.
С течением времени и без лечебных мероприятий болезнь неуклонно будет прогрессировать. Нарастающие симптомы проявляются так:
- боль в плече при любых движениях;
- нарушения сна – ноющие ощущения нарушают процесс засыпания;
- резкое ограничение функции верхней конечности;
- атрофия мышц плеча и предплечья;
- грубая видимая деформация в зоне плечевого сустава.
При неблагоприятном течении болезни наблюдается полное отсутствие движений в плече, а рука теряет функциональность. Обычно процесс односторонний, но при наличии генетической предрасположенности возможно и поражение симметричного сустава. Это ведет к тяжелым расстройствам верхнего плечевого пояса, поэтому разговорное выражение «как без рук» для таких больных имеет буквальное значение. Чтобы не допустить тяжелых последствий деформирующего артроза в плечевом суставе, необходимо определить заболевание на ранних стадиях, чтобы остановить дегенеративно-дистрофический процесс.
Как вовремя установить диагноз
Ранняя диагностика имеет жизненно важное значение. Хотя болезнь не вызывает летальных исходов, в результате грубой деформации резко нарушается кровоток плеча. Исход — повышенное тромбообразование в крупных сосудах, снабжающих кровью верхнюю конечность. Кроме того, при тяжелых клинических проявлениях резко страдает качество жизни больного. Поэтому диагностику необходимо проводить досконально, стараясь выявить болезнь на самых ранних стадиях.
В программу обследования входят:
- клинический минимум;
- расширенная биохимия крови;
- «ревматологическая панель»;
- рентгенография сустава в двух проекциях;
- компьютерная томография плеча;
- МРТ при наличии сомнений в диагнозе;
- артроскопия в сложных клинических случаях с проведением лечебных мероприятий.
Обычные анализы даже на поздних стадиях не обладают большой диагностической значимостью. Однако их выполнение позволяет исключить системный характер заболевания.
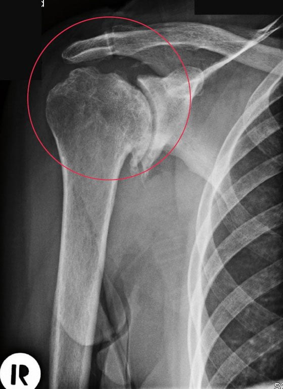
Деформирующий артроз плечевого сустава 1 степени на рентгенограмме практически незаметен. Иногда удается установить небольшое сужение суставной щели. Однако при более серьезном обследовании – КТ или МРТ, поражение костно-хрящевой структуры четко заметно. Видны начальные деформации суставных поверхностей, отек подлежащих мягких тканей, небольшая узурация.
Деформирующий артроз плечевого сустава 2 степени проявляется уже значительными изменениями. Их можно представить так:
- резкое сужение суставной щели;
- деструкция суставных поверхностей;
- краевые остеофиты – костные разрастания;
- дефицит хрящевой прослойки;
- грубая узурация костных структур;
- остеопорозные изменения плечевой кости.
ДОА плечевого сустава 2 степени уже необратим, поэтому нужно стремиться к установлению диагноза именно на 1 стадии.
Терминальный процесс сопровождается грубой деформацией суставных поверхностей с полным исчезновением синовиальной жидкости. Хрящевые структуры истончаются, движения в сочленении прекращаются, формируется контрактура, а затем анкилоз. В этой стадии только хирургическое лечение способно облегчить жизнь больного.
Лечение деформирующего артроза плечевого сустава
Терапевтические мероприятия на ранних стадиях способны восстановить активность в суставе, а прогрессию ДОА — резко замедлить. При значительном поражении суставных поверхностей правильное лечение способно улучшить качество жизни больного. Только при терминальном состоянии сустава, когда наблюдается полный анкилоз, консервативные мероприятия малоэффективны, однако существует хирургическая практика восстановления активности движений.
Комплексные лечебные мероприятия включают:
- медикаментозную терапию;
- физиопроцедуры;
- ЛФК и массаж;
- иглорефлексотерапию;
- санаторно-курортное грязевое лечение;
- ношение бандажей и ортезов, улучшающих функцию конечности;
- малоинвазивные хирургические мероприятия;
- при отсутствии эффекта – радикальное оперативное вмешательство.
Основа консервативной терапии – медикаментозное лечение. Препараты, облегчающие болезненные ощущения и стабилизирующие выработку синовиальной жидкости, назначаются, вплоть до полного анкилоза. Это позволяет улучшить качество жизни больных и немного замедлить прогрессирование заболевания. Ниже в таблице рассмотрены основные препараты, способы введения и дозы при различных стадиях деформирующего артроза.
| Препарат/стадия болезни | ДОА 1 степени | ДОА 2 степени | ДОА 3 степени |
| Диклофенак | Как и другие НПВС, принимается периодически внутрь при болях. Средняя доза – 75 мг в сутки. Прием эпизодический, по потребности | Внутрь и внутримышечно. Дозы — от 75 до 150 мг. Курсами по 10 дней с перерывами на период ремиссии болезни. Можно заменить на НПВС с более сильным анальгетическим эффектом (кеторолак, кетопрофен) | Для снятия болей до оперативного вмешательства в максимальных дозах. Комбинируется с простыми анальгетиками. При несвоевременной операции долговременный прием быстро приводит к побочным эффектам |
| Гидрокортизон | Не используется | Применяется регулярно, как основа внутрисуставной терапии. Средняя доза — 25-50 мкг. Кратность введения – до 3 раз в год | Используется только при наличии внутрисуставной щели. Введение в окружающие ткани неэффективно и опасно |
| Хондроитин сульфат | Основа лечения – постоянный прием для профилактики прогрессирования болезни. Дозы высокие – 1500 мг в сутки в комплексе с глюкозамином. Курс лечения – до 3 лет без перерыва, иногда пожизненно | Применяется постоянно для замедления прогрессирования болезни совместно с НПВС. Радикально помочь препарат не способен. Дозы — 500-1000 мг | Не используется – нет субстрата для применения |
| Мидокалм | Не используется | Периодически для облегчения движений в дозе 450 мг в сутки внутрь, курсы лечения — по 14 дней до 4 раза за год | Периодически для снятия болевых ощущений совместно с НПВС и анальгетиками. Внутрь и внутримышечно, средняя доза — 150-300 мг |
| Простые анальгетики | Эпизодически однократно для облегчения болей. Средняя доза в пересчете на парацетамол — 500 мг | Периодически для усиления эффекта от НПВС. Доза — до 1000 мг в пересчете на парацетамол или анальгин. Максимум — до 3 раз за сутки | До оперативного лечения в постоянном режиме для усиления НПВС, дозы — до 4 грамм в сутки |
Основу профилактической терапии для восстановления синовиальной жидкости при деформирующем артрозе плечевого сустава 1 степени составляют хондропротекторы. Чем раньше начат их прием, тем вероятнее стабилизация состояния хряща. При наличии массивных узураций и сужения суставной щели хондропротекторы помогут замедлить прогрессию болезни, что позволит снизить дозу НПВС и внутрисуставных инъекций гормонов.
Совместно с медикаментозной терапией обязательно используется физиолечение, массаж и иглоукалывание. Методики позволяют улучшить кровоток в зоне плечевого сустава, усилить собственные защитные возможности организма. Физкультура механическим способом облегчает движения, так как активно разрабатывается не только сам сустав, но и окружающие мышцы. Курсы вспомогательных методов лечения проводятся 2-3 раза в год, в зависимости от индивидуальных особенностей больного.
Хирургия
Существует две категории оперативных вмешательств – паллиативные, или малые, направленные на облегчение течения заболевания и улучшение функции конечности, а также радикальные. К первым относятся внутрисуставные инъекции гормонов, хондропротекторов или местных анестетиков. Это снижает воспаление, ускоряет снятие болей, но радикально повлиять на течение болезни невозможно. Эффективность инъекций хондропротекторов, хотя и очень распространенных в мировой практике, не доказана. Частое проникновение в полость сустава увеличивает вероятность развития гнойных осложнений.
Другим малоинвазивным вариантом оперативного вмешательства является артроскопия. В полость сустава вводится эндоскоп, что позволяет не только с диагностической целью осмотреть внутреннюю поверхность, но и выполнить паллиативные вмешательства на ней. Артроскопия применяется, когда невозможно точно установить диагноз, а также при резком некупируемом болевом синдроме для микрохирургических манипуляций.
Заключение и прогноз
Деформирующий артроз плечевого сустава – очень серьезное заболевание. На кону стоит функциональная возможность работы верхней конечности. При начальных стадиях прогноз всегда благоприятный. Но с течением времени, по мере развития дегенеративно-дистрофических изменений он ухудшается. При наличии анкилоза возрастает даже вероятность смерти от любых причин, что связано с повышенным риском травматизации и тромбоэмболических осложнений.
Если сформировалась тяжелая контрактура, больному можно помочь в специализированных травматологических центрах. Основу радикальной помощи составляет эндопротезирование, которое в 85% случаев улучшает качество жизни пациента. Постоянный прием хондропротекторов повышает стабильность сочленения, замедляет атрофию хрящевой ткани. Однако доказательная медицина не спешит уверить врачей и пациентов в гарантированном эффекте при наличии даже 2 стадии ДОА плечевого сустава. В любом случае при появлении первых симптомов необходимо срочно обратиться к ортопеду для получения исчерпывающей консультации.
Похожие статьи



