Артроз: виды, причины возникновения, симптомы, лечение
Артроз
Что такое артроз коленного сустава: причины, симптомы, стадии, методы лечения
Артроз коленного сустава: симптомы и стадии, причины заболевания, гимнастика, лечение медикаментами. Что такое коленный артроз и как его лечить.
Артроз тазобедренного сустава 2 степени — симптомы и лечение заболевания
Артроз тазобедренного сустава 2 степени: симптомы и лечение, стадии артроза. Как лечить коксартроз 2 степени народными средствами.
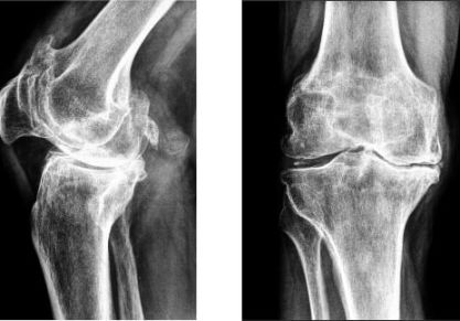
Гонартроз коленного сустава 1 степени: симптомы, диагностика и лечение заболевания
Гонартроз 1 степени коленного сустава: причины, симптомы и признаки, методы диагностики, медикаментозное и физиотерапевтическое лечение болезни.
Лечение, симптомы и причины артроза коленного сустава 2 степени
Артроз коленного сустава 2 степени: причины, симптомы, как лечить коленный артроз второй степени. Лечение артроза коленного сустава 2 степени.
Симптомы и лечение артроза суставов: причины, диагностика, как лечить — полное описание болезни
Как и чем лечить артроз суставов: симптомы и признаки, причины появления, диагностика болезни, тактика лечения медикаментами, физиотерапией, хирургически.
Артроз тазобедренного сустава — симптомы и лечение, описание заболевания
Артроз тазобедренного сустава: симптомы и лечение, что такое, признаки, диета. Как лечить артроз тазобедренного сустава. Стадии. Обзор медикаментов,
Артроз плечевого сустава — полное описание заболевания, симптомы и эффективные методы лечения
Артроз плечевого сустава: симптомы и лечение. Полное описание заболевания, причины возникновения и диагностика. Лекарства при артрозе плечевого сустава.
Загрузить ещё
Обсуждения
По рисовой диете надо бы по подробнее - Это единственная еда за день? И нужно ли промывать рис в первых емкостях? За неделю при комнатной температуре ...
Татьяна
Питание и диета при остеохондрозе позвоночника, полезные и вредные продукты
Я бросила спортзал из за болей в суставах, пока работаю без нагрузок было терпимо, потом не смога на беговой дорожке даже заниматься ни приседания нич...
Марина
Что делать, если после тренировки болят колени: причины и лучшие способы избавиться от боли
Возможно реакция на антибиотики......
Бухтина Ольга
Реабилитация после замены тазобедренного сустава: упражнения и гимнастика
А какой диагноз у Ваших суставов?...
Бухтина Ольга
Препараты для лечения суставов — список лекарств

Артроз

Артроз — это одно из самых опасных поражений сочленений, которое без надлежащей терапии может привести к деформации, а также дисфункции сочленений. Болезнь имеет дегенеративно-дистрофический характер. В основном поражается именно хрящевая ткань, которая отвечает за амортизационные свойства суставов.

Характеризуется патология сильными болевыми ощущениями, ограничением подвижности человека, а также изменением самого сочленения (часто не обратимым). Существуют такие виды заболевания:

  • Гонартроз — артроз коленного сустава. Чаще всего он встречается после 45 лет, хотя в последнее время заболевание «молодеет».
  • Коксартроз — артроз тазобедренного сустава. Данная разновидность заболевания является лидирующей.
  • Остеоартроз. Это хроническая прогрессирующая патология синовиальной части костного соединения. Она бывает генерализированной и локализованной.

Какая бы форма болезни ни была, она существенно ухудшает жизнь человека. Помимо постоянной боли, которая негативно действует на общее состояние и настроение больного, он испытывает также трудности в передвижении. Чтобы не доводить дело до оперативного вмешательства, необходимо вовремя обратиться к доктору и начать лечение.