Артроз плечевого сустава — полное описание заболевания, симптомы и эффективные методы лечения
Артроз плечевого сустава – заболевание хрящевой и костной ткани в плечевом поясе, приводящие к дистрофическим изменениям. Иначе говоря, остеоартроз, хроническое заболевание, постепенно нарастающее и проявляющееся с возрастом. Чаще всего страдает мужская половина населения.
Дегенерация суставного хряща и структурные изменения целостности кости приводят к постоянным воспалительным процессам синовиальной оболочки. Разрушение тканей происходит медленно и до определенного момента бессимптомно. При значительном заполнении трещин хрящевой ткани солевыми отложениями появляются болевые ощущения.
Причины заболевания
Артроз плечевого сустава является следствием длительного воспалительного процесса. Без своевременного лечения, болезнь прогрессирует, что с каждым годом сказывается на качестве жизни заболевшего человека. Воспаление тканей сустава вызывает набухание хрящевой ткани, сдавливание оболочек сустава и кровеносных, лимфатических сосудов.
Нарушается трофика сустава и костной ткани, вызывающая первичные изменения хрящей, костей и прилежащих тканей. Нет одной определенной причины заболевания. Выделяют несколько основных факторов, влияющих на развитие артроза:
- Различные травмы;
- Инфекционные и вирусные поражения;
- Избыточный вес;
- Разнообразные тяжелые нагрузки на плечевой пояс;
- Наследственная предрасположенность;
- Нарушение работы эндокринной системы;
- Врожденные изменения;
- Следствие приема лекарства;
- Сосудистые заболевания;
- Пожилой возраст;
- Заболевания костно-суставной системы.
Такое перечисление можно добавить несколькими неспецифическими причинами появления артроза сустава, которые устанавливает только врач на основании обследования.
Симптомы
При начальных стадиях артроз плечевого сустава протекает без каких-либо проявлений. Постепенно начинает появляться чувство дискомфорта. В некоторых положениях руки и тела может появиться чувство боли в плечевом суставе. Длительный сон в одном положение вызывает иррадиирущие боли в руку и лопатку.
Если человек замечает некомфортные ощущения в суставе при расчесывании волос или при одевании, когда нужно закинуть руку назад — это уже симптомы активного воспаления плеча.
- Ноющие боли, нарастающие в ночное время;
- Припухлость плеча;
- Повышение местной температуры.
Все это – характерные проявления артроза, требующие немедленного обращения к врачу и назначению противовоспалительного лекарства. Со временем симптомы могут затихнуть и тогда в суставе происходят изменения, формирующие артроз.
Первичные проявления могут длиться от месяца до года. Остановить прогрессирование артроза и вылечить сустав при такой степени поражения возможно, процессы еще обратимые. Необходимо пройти комплексное обследование.
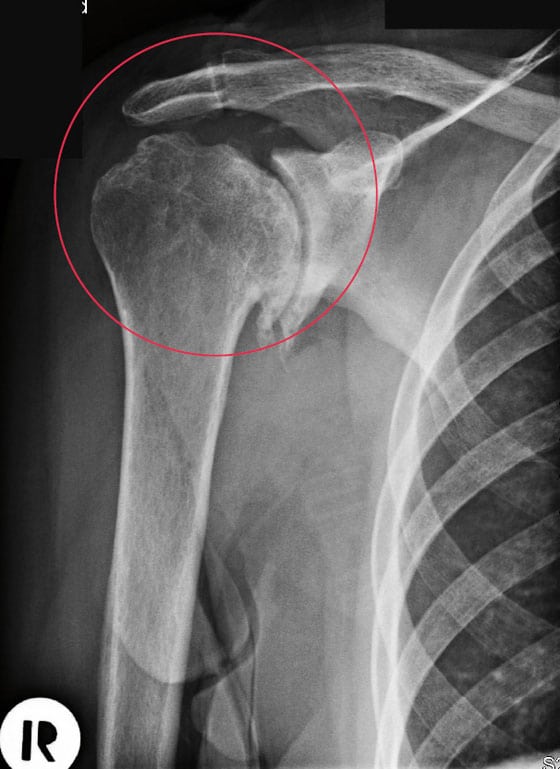
Появление специфического хруста в плечевом в суставе означает изменение хрящевой и костной ткани, ограничивающие движение руки. Постоянная и сильная боль, спазмы мышечной ткани и ощущение жжения в соседних суставах. При рентгенографическом обследовании на снимках будет видно изменение суставных поверхностей хряща, сужение полости, сращение синовиальных оболочек между собой и другие изменения.
Симптомы третей и четвертой степени артроза характеризуются сильными болями, необратимыми изменениями сустава, что приводит к изменению и частичной потери подвижности сустава. В тяжелых случаях отсутствует подвижность в плечевом суставе и возникает частичная атрофия прилежащей мышечной и сосудистой ткани.
Диагностика
Лечение артроза плечевого сустава начинается с полного обследования пациента.
Необходимо выяснить причины появления артроза плечевого сустава, является ли это системным заболеванием или симптомы указывают на поражение одного сустава.
Диагностический процесс, включает в себя:
- Осмотр пациента врачом (травматологом) и при необходимости невропатологом.
- Сбор анамнеза (причины возникновения).
- УЗИ.
- Лабораторные исследования: анализы крови и мочи.
- Рентгенологические обследования.
- Магниторезонансная томография (помогает увидеть более глубокие изменения хрящевой и костной ткани).
Как лечить артроз плечевого сустава объяснит врач после полного курса обследования и окончательной постановки диагноза.
Лечение
Основными методами лечения является:
- Медикаментозное;
- Физиотерапевтическое;
- Оперативное.
Артроз плечевого сустава 2 степени – это хроническое заболевание, которое окончательно вылечить практически невозможно из-за дегенеративных изменений хрящевых и костных тканей. Лечение направляется на замедление процесса дегенерации плечевого сустава.
Медикаментозное лечение первоочередно направлено на устранение причины возникновения боли. Острые болевые ощущения в плечевом поясе снимаются обезболивающими препаратами: таблетки или инъекции, их применение зависит от степени боли. Одновременно назначаются противовоспалительные лекарства и хондропротекторы.
В список рекомендаций входят препараты, улучшающие микроциркуляцию крови, а также снимающие спазмы мышц. Дополнением могут стать травяные противовоспалительные сборы и гомеопатия.
Практически все люди являются правшами, поэтому чаще всего встречается артроз правого плечевого сустава. Нагрузки на плечо в период лечения и реабилитационный период должны быть ограничены.
В остром периоде назначается только медикаментозное лечение, сухое тепло, определенная диета и ограничение двигательной активности руки с больной стороны.
Применение физиотерапевтических процедур и массажа рекомендуется в период ремиссии.
Может назначаться:
- Магнитотерапия.
- Лечебные ванны.
- Грязелечение.
- Лазерная терапия.
- Сухие прогревания.
После прохождения полного курса лечения, пациент обязательно должен пройти курс обследования, чтобы оценить качество лечения и состояние плеча. Особенно в случаях изменений на фоне гормональных патологий в организме.
Лечение артроза на начальной стадии
Артроз плечевого сустава 1 степени позволяет человеку продолжать работать и чувствовать себя практически нормально. При комплексном лечении происходит достаточно быстрое восстановление, так как существует возможность применения сразу медикаментозного лечения и физиотерапевтических процедур.
Лечебная гимнастика и правильно подобранное питание помогут быстрее снять симптомы заболевания. Упражнения для гимнастики подбираются без нагрузок на плечевой пояс и направлены на восстановление двигательной функции руки. Гимнастические упражнения при артрозе выполняются под наблюдением специалиста.
После прохождения первого полного комплекса лечебной физкультуры под контролем физиотерапевта, его можно повторять в домашних условиях. Также назначаются гели и мази для местного применения. Смазывать больное место нужно в течение месяца, иногда врач продлевает лечение в зависимости от эффективности применения. В домашних условиях можно проводить сухие согревания, но никак не длительное распаривание в ванне.
Симптомы затихают быстрее, если придерживаться определенной диеты при артрозе. Рекомендуется исключить острую и соленую пищу. Важно употреблять продукты, с повышенным содержанием натурального коллагена (из которого состоят хрящи) и побольше жидкости.
Своевременное лечение и профилактика позволят ощущать себя комфортно.
Похожие статьи




