Различные боли в тазобедренном суставе: причины, симптомы и лечение
Тазобедренный
Причины боли в тазобедренном суставе, отдающей в ногу: симптомы заболеваний, лечение
По каким причинам возникает боль в тазобедренном суставе отдающая в ногу, заболевания вызвавшие боль их их симптомы. Методы лечения патологии.
Боль в тазобедренном суставе лежа на боку ночью: почему болит и что делать
Почему может появляться боль в тазобедренном суставе лежа на боку ночью, возможные причины. Заболевания при которых может болеть тазобедренный сустав.
Болит тазобедренный сустав при ходьбе: причины и методы лечения
По каким причинам может возникать боль в тазобедренном суставе при ходьбе: лечение боли, симптомы заболеваний вызвавшие болевые ощущения в тазобедренном суставе.
Загрузить ещё
Обсуждения
По рисовой диете надо бы по подробнее - Это единственная еда за день? И нужно ли промывать рис в первых емкостях? За неделю при комнатной температуре ...
Татьяна
Питание и диета при остеохондрозе позвоночника, полезные и вредные продукты
Я бросила спортзал из за болей в суставах, пока работаю без нагрузок было терпимо, потом не смога на беговой дорожке даже заниматься ни приседания нич...
Марина
Что делать, если после тренировки болят колени: причины и лучшие способы избавиться от боли
Возможно реакция на антибиотики......
Бухтина Ольга
Реабилитация после замены тазобедренного сустава: упражнения и гимнастика
А какой диагноз у Ваших суставов?...
Бухтина Ольга
Препараты для лечения суставов — список лекарств

Тазобедренный

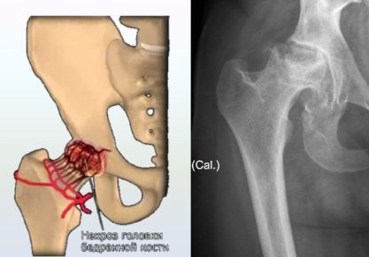
Тазобедренный сустав – это самое большое сочленение в организме человека, который отвечает за способность человека прямо передвигаться. Естественно, что боль в этой части скелета может привести к тому, что нижние конечности двигаться не будут. Тазобедренный сустав испытывает ежедневную колоссальную нагрузку, так как на него давить вся верхняя половина тела. Именное это соединение костей повреждается больше всего, особенно у пожилых людей. Причиной боли в этой части тела бывает вывих, врожденная патология (дисплазия), коксартроз, инфекционное поражение, воспалительный процесс, перелом или отмирание головки бедренной кости. Спровоцировать болевой синдром может и аутоиммунное заболевание. Осложнения заболеваний представленного сочленения очень серьезные, поэтому следует обязательно обратиться к доктору при первых признаках его поражения.