Артрит: виды, причины появления, симптомы, лечение
Артрит
Диагностика и лечение воспалительных заболеваний плечевого сустава
Список заолеваний ведущих к воспалению плечевого сустава. Перечень симптомов и способов лечения. Медикаменты и хирургия.
Рейтинг лекарств для лечения артрита коленного сустава: список названий
Препараты применяемые для лечения артрита коленного сустава. Перечень групп и названий медикаментов, описание свойств и эффекта.
Ювенильный идиопатический артрит у детей: диагностика и лечение
Лечение детского ювенильного идиопатического артрита у детей. Медикаменты, показатели крови и физиотерапия. Перспективы выздоровления.
Народные средства лечения артрита тазобедренного сустава: рецепты и способы
Лечение артрита тазобедренного сустава народными средствами: рецепты для приготовления, инструкции по применению, полезные советы.
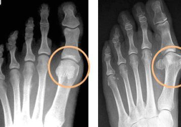
Артрит пальцев ног: симптомы и способы лечения
Лечение артрита пальцев ног. Способы медикаментозного воздействия. Диета для облегчения состояния. Терапия большого пальца.
Симптомы и лечение инфекционного полиартрита. Медикаментозная терапия
Инфекционный полиартрит суставов: это такое, способы лечения. Основные симптомы и провоцирующие факторы развития. Отличия от обычного артрита.
Реактивный полиартрит суставов: симптомы и лечение
Признаки и лечение реактивного полиартрита. Как отличить от других видов поражения суставов. Способы терапии и профилактики.
Симптомы и лечение ревматоидного артрита коленного сустава
Ревматоидный артрит коленного сустава, стадии, способы диагностики симптомов и лечения при помощи медикаментов и не только. Статистика выздоравливаемости.
Чем эффективно лечить артрит кистей рук?
Возможно ли лечение артрита кистей рук, чем лучше это делать? Какие следует принимать процедуры и медикаменты. Полезные советы.
Как лечить артрит на пальцах рук, зависит от его классификации
Артрит пальцев рук: признаки, лечение медикаментами, мазями и профилактика. Какие существуют виды артрита. Анализы и диета
Инфекционный артрит: симптомы и лечение заболевания
Природа инфекционного артрита заключается в наличии бактерий в организме в целом и полости суставов в частности. Терапия в первую очередь противомикробная.
Загрузить ещё
Обсуждения
По рисовой диете надо бы по подробнее - Это единственная еда за день? И нужно ли промывать рис в первых емкостях? За неделю при комнатной температуре ...
Татьяна
Питание и диета при остеохондрозе позвоночника, полезные и вредные продукты
Я бросила спортзал из за болей в суставах, пока работаю без нагрузок было терпимо, потом не смога на беговой дорожке даже заниматься ни приседания нич...
Марина
Что делать, если после тренировки болят колени: причины и лучшие способы избавиться от боли
Возможно реакция на антибиотики......
Бухтина Ольга
Реабилитация после замены тазобедренного сустава: упражнения и гимнастика
А какой диагноз у Ваших суставов?...
Бухтина Ольга
Препараты для лечения суставов — список лекарств

Артрит

Артрит — это сложная патология, которая имеет системный характер. Это ревматическое воспаление соединительной ткани, которое в основном поражает мелкие сочленения. Ревматоидный артрит имеет осложненный патогенез. То есть его дальнейшее развитие способствует деформации суставов. Восстановить их медикаментозным путем уже практически невозможно.
Точные причины болезни установить так и не удалось, однако, доподлинно известно, что данная патология приводит к инвалидности в 70% случаев. Несвоевременное лечение — прямой путь к оперативному вмешательству и серьезным осложнениям. Подвержены такому нарушению здоровья практически все люди на земном шаре. При этом болезнь начинает развиваться в 40—50 лет. Диагностируется артрит чаще у женщин.
Правильная терапия может замедлить прогресс патологии. Кроме того, лечение улучшает качество жизни, так как устраняет постоянную боль, восстанавливает подвижность. Существует много способов лечения заболевания, о которых нужно знать, чтобы продлить здоровье своих суставов. Наш портал ответит на все вопросы, связанные с данным заболеванием.