Артрит: виды, причины появления, симптомы, лечение
Артрит
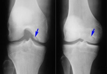
Остеоартрит коленного сустава: симптоматика и тактика терапии
Как лечится остеоартрит коленного сустава медикаментозно и хирургически? Помогает ли народная медицина? Как не навредить себе?
Разбираемся какой врач лечит артрит суставов: терапевт, ревматолог, травматолог, ортопед
Артрит требует правильной диагностики и лечения, в этом процессе участвует несколько профильных специалистов: ревматолог, травматолог, терапевт, хирург и т.д.
Ревматоидный артрит и беременность: опасная совместимость
Чем опасно зачатие и вынашивание плода при диагнозе ревматоидного артрита. Стоит ли избегать беременности и можно ли обезопасить ребенка.
Детский артрит коленного сустава: симптомы и лечение
Артрит колена у ребенка или подростка очень хорошо поддается лечению. Важно его быстро диагностировать и подобрать правильное лечение.
Гнойный артрит коленного и голеностопного суставов: симптомы и лечение
Любое гнойное образование в человеческом организме требует немедленных терапевтических мероприятий, диагностики и лечения. Стафилококк.
Полиартрит коленного сустава: симптомы и лечение
Полиартрит коленного сустава, все о заболевании. Способы лечения: хирургия, медикаменты, народная медицина. Рекомендации врачей.
Реактивный артрит коленного сустава: лечение симптомов
Можно ли вылечить реактивный артрит коленного сустава? Какие терапевтические методы существуют, эффективные медикаменты.
Посттравматический артрит суставов: причины, симптомы, лечение
Систематические микроразрушения суставных поверхностей опасны суставов. Что нужно предпринять сразу после травмы, для избежания дальнейших осложнений.
Лечение ревматоидного артрита препаратами нового типа
Описание препаратов, формы выпуска и способы применения. Результаты клинических исследований и другие способы лечения ревматоидного артрита.
Ревматический полиартрит суставов: симптомы и лечение
Все о симптомах и лечении ревматического полиартрита, как его не допустить и способы профилактики. Использование антибиотиков в терапии
Лечение воспаления суставов пальцев рук: причины, статистика, медикаменты и процедуры
Что делать если воспалились суставы пальцев рук. Медикаментозное лечение после полноценной диагностики. Противопоказания и физиотерапия.
Загрузить ещё
Обсуждения
По рисовой диете надо бы по подробнее - Это единственная еда за день? И нужно ли промывать рис в первых емкостях? За неделю при комнатной температуре ...
Татьяна
Питание и диета при остеохондрозе позвоночника, полезные и вредные продукты
Я бросила спортзал из за болей в суставах, пока работаю без нагрузок было терпимо, потом не смога на беговой дорожке даже заниматься ни приседания нич...
Марина
Что делать, если после тренировки болят колени: причины и лучшие способы избавиться от боли
Возможно реакция на антибиотики......
Бухтина Ольга
Реабилитация после замены тазобедренного сустава: упражнения и гимнастика
А какой диагноз у Ваших суставов?...
Бухтина Ольга
Препараты для лечения суставов — список лекарств

Артрит

Артрит — это сложная патология, которая имеет системный характер. Это ревматическое воспаление соединительной ткани, которое в основном поражает мелкие сочленения. Ревматоидный артрит имеет осложненный патогенез. То есть его дальнейшее развитие способствует деформации суставов. Восстановить их медикаментозным путем уже практически невозможно.
Точные причины болезни установить так и не удалось, однако, доподлинно известно, что данная патология приводит к инвалидности в 70% случаев. Несвоевременное лечение — прямой путь к оперативному вмешательству и серьезным осложнениям. Подвержены такому нарушению здоровья практически все люди на земном шаре. При этом болезнь начинает развиваться в 40—50 лет. Диагностируется артрит чаще у женщин.
Правильная терапия может замедлить прогресс патологии. Кроме того, лечение улучшает качество жизни, так как устраняет постоянную боль, восстанавливает подвижность. Существует много способов лечения заболевания, о которых нужно знать, чтобы продлить здоровье своих суставов. Наш портал ответит на все вопросы, связанные с данным заболеванием.