Чем лечить ревматоидный серонегативный артрит: симптомы, диагностика, лучшие медикаменты
Ревматоидный артрит (РА) относится к трудно диагностируемым патологиям. Для его выявления требуется проведение сложных биохимических и инструментальных исследований. В ревматологии определяющий критерий заболевания — наличие в кровеносном русле РФ, или ревматоидного фактора. Но у 20% пациентов этот важный диагностический маркер не обнаруживается, хотя клиническая картина соответствует ревматоидному артриту. Это привело к выделению двух форм течения патологии — серонегативной и серопозитивной. Они разнятся присутствием РФ в кровеносном русле и специфическими симптомами.
Практикуется комплексный подход к лечению серонегативного ревматоидного артрита. Его основными задачами становятся устранение клинических проявлений, предупреждение распространения заболевания на здоровые ткани, минимизация повреждений внутренних органов. В терапии, кроме препаратов, используются физиопроцедуры, экстракорпоральная гемокоррекция, массаж, ЛФК. При неэффективности консервативного лечения проводится артроскопия или эндопротезирование.
Этиология и патогенез
Определенные трудности в диагностике и лечении серонегативного ревматоидного артрита возникают из-за пока не установленных причин его развития. Чтобы патология возникла, должны совпасть сразу несколько факторов. Это генетическая предрасположенность, резкое снижение защитных сил организма, инфицирование вирусами Эпштейн-Барра, ретровирусами, цитомегаловирусами, микоплазмами, вирусами герпеса или краснухи. После проникновения инфекционных агентов в кровеносное русло и поражения клеток иммунной системой начинают вырабатываться антитела для уничтожения чужеродных белков.
Структура вирусов сходна со строением клеток синовиальной оболочки, суставной капсулы, хрящевых и костных тканей. Антитела начинают атаковать собственные клетки организма, что становится причиной развития острого воспалительного процесса.
Так как инфекционный триггер пока не удается устранить фармакологическими препаратами, то иммунная система продолжает неадекватно реагировать на него. Примечательная особенность серонегативного ревматоидного артрита — отсутствие в крови РФ. Ревматоидным фактором называются иммуноглобулиновые антитела IgM, белки, которые вырабатывает иммунная система. Именно наличие РФ связывает нарушение работы иммунной системы и развитие суставных проявлений ревматоидного артрита. Несмотря на отсутствие в системном кровотоке антител, течение патологии и ее тенденция к прогрессированию соответствуют остальным критериям РА. В постановке диагноза помогает изучение факторов, предшествующих возникновению суставных болей, тугоподвижности, отечности. Провоцируют развитие серонегативного РА:
- чрезмерная физическая активность, подъем тяжестей, переутомление;
- стрессы, острое переживание конфликтов, депрессивное состояние;
- предшествующее травмирование суставов — переломы, вывихи, разрывы связок, мышц, сухожилий;
- аутоиммунные патологии;
- эндокринные расстройства (сахарный диабет, тиреотоксикоз);
- частые респираторные, кишечные, урогенитальные инфекции.
В группу риска также входят пожилые люди и старики. С возрастом защитные силы организма ослабевают, изменяется гормональный фон, снижается выработка коллагена. Все это приводит к ускорению деструктивных процессов, нарушению функционирования иммунной системы. Более чем у 70% пациентов, страдающих от серонегативной формы РА, выявлена наследственная предрасположенность, то есть в семье у одного из старших родственников патология уже была диагностирована, причем заболевание практически во всех случаях развивалось примерно в одном возрасте.
Клиническая картина
Серонегативная и серопозитивная формы РА разнятся своим течением. Серонегативный артрит проявляется сразу выраженной симптоматикой в отличие от серопозитивного, интенсивность признаков которого нарастает постепенно. Для патологии характерна клиническая картина общей интоксикации. В течение суток несколько раз повышается температура тела, на ее фоне возникают желудочно-кишечные расстройства и неврологические нарушения. Человек страдает от лихорадочного состояния, озноба, избыточного потоотделения. Наблюдаются увеличение лимфатических узлов, быстрая потеря массы тела, атрофия скелетной мускулатуры. Анемия проявляется выпадением волос, расслаиванием ногтевых пластинок, сухостью кожных покровов и слизистых оболочек.
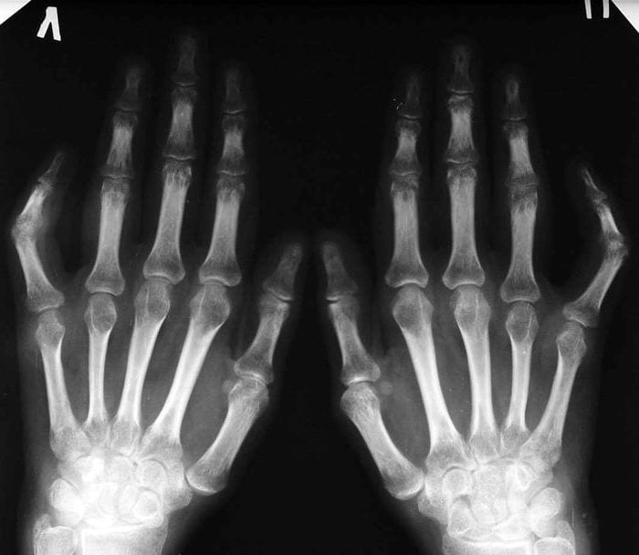
Вначале серонегативным РА поражается или один крупный сустав (голеностоп, колено), или несколько сочленений, расположенных ассиметрично. Постепенно в патологию вовлекаются другие мелкие и крупные сочленения. На руках первыми повреждаются не локти (как при серопозитивном РА), а запястные суставы. Затем воспаляются проксимальные межфаланговые, пястно- и плюснефаланговые мелкие суставы.
Характерная особенность клинической картины — незначительная утренняя скованность движений, а иногда и ее полное отсутствие. На кожных покровах не обнаруживаются высыпания, инфильтраты, выраженные покраснения. Но заметно увеличение, уплотнение лимфатических узлов по периферии. Висцериты, или воспалительные процессы, протекающие во внутренних органах, при серонегативной форме РА диагностируются редко. Но по мере прогрессирования заболевания могут поражаться печень, селезенка, слизистые оболочки желудочно-кишечного тракта. Для ревматоидного артрита характерны и другие особенности течения:
- разрушение хрящевых тканей, выстилающих костные головки, на начальном этапе патологии;
- быстрое развитие контрактур, ограничивающих подвижность суставов;
- вовлечение в воспалительный процесс органов мочевыделения в результате поражения их токсичными продуктами распада тканей;
- деформация фаланг на пальцах рук;
- формирование подкожно расположенных соединительнотканных узелков диаметром 0,5-2 см округлой формы, плотной консистенции, подвижных и безболезненных при пальпации.
Интенсивность суставных болей нарастает постепенно. При отсутствии врачебного вмешательства примерно через полгода серонегативный артрит генерализуется, распространяется на весь опорно-двигательный аппарат.
Хроническое течение РА характеризуется частой сменой стадий ремиссии с рецидивами. Толчком к обострению становятся респираторные патологии, переохлаждения, стрессы. Спровоцировать рецидив могут осложнения хронических патологий других систем жизнедеятельности.
Диагностика
Отсутствие в крови РФ значительно затрудняет диагностику серонегативного ревматоидного артрита. Но опытный ревматолог предположит РА по совокупности суставных и внутрисуставных клинических проявлений. Подсказкой становится изучение анамнеза, наличие в нем эндокринных патологий, предшествующих травм.
В ревматологической практике существует перечень маркеров, при обнаружении большей части которых выставляется диагноз «ревматоидный серонегативный артрит». Это время развития РА, количество пораженных суставов, выявление характерных округлых узелков, наличие эрозий и декальцификации костных тканей в сочленениях кистей со сформировавшимися кистами. Несмотря на отсутствие самого специфического маркера, остальные симптомы позволяют выявить серонегативный РА при обнаружении повышенного уровня скорости оседания эритроцитов и IgA.
Помимо признаков развития остеопороза, рентгенологическое исследование помогает выявить:
- частичное, а иногда полное сращивание суставных щелей;
- истончение и разрушение гиалиновых хрящей;
- ассиметричное расположение пораженных патологией суставов.
Обязательно проводится диагностика состояния внутренних органов, региональных лимфатических узлов. Своевременное выявление повреждений печени, желудка, желчного пузыря позволяет провести полноценное лечение, купировать протекающие в них воспалительные процессы. В отличие от серопозитивного РА при биохимическом анализе крови обнаруживается более высокая степень IgA. Для выставления диагноза используются следующие критерии:
- пониженная концентрация гемоглобина в крови, указывающая на анемию;
- гипоальбуминемия — снижение количества альбуминов в сыворотке ниже 35 г/л, повышение уровня креатинина;
- увеличение количества печеночных ферментов — признак прогрессирования патологии, поражения воспалением внутренних органов;
- дислипидемия — нарушение метаболизма жиров, проявляющееся в изменении соотношения между липидами и липопротеидами;
- повышение уровня лейкоцитов, указывающее на распространение воспалительного процесса.
Из инструментальных исследований применяется также артроскопия, позволяющая оценить состояние структур пораженного сустава. КТ или МРТ — информативные методики, выявляющие деструктивно-дегенеративные изменения в соединительнотканных структурах, синовиальной оболочке, хрящах, мышцах. С помощью УЗИ устанавливается наличие патологического экссудата в суставной полости, обнаруживается асептический некроз головок костей бедра.
Основные методы лечения
Серонегативный ревматоидный артрит относится к пока еще окончательно неизлечимым заболеваниям. В ревматологии практикуется двухэтапное проведение терапии. Сначала устраняются все клинические проявления, а затем применяются препараты для коррекции работы иммунной системы, переведения патологии на стадию устойчивой ремиссии. Снизить интенсивность болей, купировать воспаление помогает использование таких препаратов:
- нестероидные противовоспалительные средства (НПВС) — Диклофенак, Мелоксикам, Кетопрофен, Нимесулид, Ибупрофен. При остром воспалении препараты вводятся внутримышечно, пациентам с умеренными болями показан курсовой прием таблеток. Для минимизации повреждения слизистой желудка НПВС обязательно комбинируются с ингибиторами протонной помпы, например Омепразолом. На стадии ремиссии для устранения тупых ноющих болей применяются мази или гели — Нурофен, Найз, Фастум, Вольтарен, Артрозилен;
- глюкокортикостероиды Дипроспан, Дексаметазон, Флостерон, Триамцинолон, Гидрокортизон. Гормональные средства обычно используются при низкой эффективности НПВС. Применяются в сочетании с анестетиками Новокаином, Лидокаином для медикаментозных внутрисуставных или периартикулярных блокад.
В качестве базисных препаратов в терапевтические схемы включаются Сульфосалазин, Метотрексат, Лефлуномид, оказывающие противовоспалительное и иммуносупрессивное действие. После курсового использования средств замедляется или полностью прекращается дегенерация суставов, наступает ремиссия серонегативного РА.
Относительно недавно синтезированы биологические препараты (Этанерсепт, Инфликсимаб, Адалимумаб) для блокирования провоспалительного белка-цитокина — фактора некроза опухоли. Инактиваторы ФНО применяются в виде растворов для парентерального введения. Наилучший терапевтический эффект достигается при их комбинировании с базисными средствами. Разработаны методы лечения серонегативного ревматоидного артрита с помощью стволовых клеток, заключающиеся в нормализации трофики тканей, ускорении регенерации поврежденных суставов.
При тяжелом течении РА проводится экстракорпоральная гемокоррекция — криоаферез, мембранный плазмаферез, экстракорпоральная фармакотерапия, каскадная фильтрация плазмы. На этапе реабилитации пациентам рекомендованы ежедневные занятия лечебной физкультурой, йогой, плаванием, массаж для повышения функциональной активности суставов.
Похожие статьи











