Симптомы и методы лечения секвестрированной грыжи позвоночника
Секвестрированной грыжей позвоночника называется состояние, при котором пульпозное ядро выпадает за пределы межпозвонковой щели. У пациентов диагностируется настолько крупное выпячивание, что возникает серьезный риск развития тяжелых, часто необратимых осложнений. Чтобы не допустить сдавления спинного мозга и появления компрессионной миелопатии, неврологи немедленно приступают к проведению терапии.
Что из себя представляет секвестрированная грыжа позвоночника
Секвестрированная грыжа позвоночника формируется на фоне деструктивно-дегенеративных изменений, характерных для остеохондроза. Межпозвонковый диск утрачивает способность удерживать воду, становится менее прочным и неэластичным. Сокращается расстояние между соседними телами позвонков, что приводит к чрезмерному сдавлению диска и еще большему его повреждению.
Патология сопровождается постепенным микротравмированием фиброзного кольца и смещением межпозвонкового диска. Эти процессы часто протекают бессимптомно, поэтому человек не обращается за медицинской помощью. Через несколько лет целостность фиброзного кольца нарушается, а пульпозное ядро выбухает по направлению к спинномозговому каналу. Оно вытекает в межпозвоночное пространство с образованием секвестров — твердых омертвевших тканей.
Причины появления заболевания
Основная причина образования секвестрированной грыжи — остеохондроз, обычно 2 или 3 степени тяжести. К его развитию предрасполагают врожденные и приобретенные аномалии позвоночника. Это клиновидные позвонки или их слияние, синдром короткой шеи, люмбализация. Провоцирующими дегенеративно-дистрофическую патологию факторами также являются:
- нарушения функционирования надпочечников, щитовидной или поджелудочной железы (гипотиреоз, эндокринное ожирение, сахарный диабет);
- предшествующие травмы — переломы позвоночника, сильные ушибы, постоянное микротравмирование дисков, позвонков, мышечно-связочного аппарата;
- дисплазия тазобедренного сустава, провоцирующая неравномерное распределение нагрузок на отделы позвоночника;
- нарушения осанки, в том числе при кифозе, лордозе, сколиозе;
- частое длительное нахождение в одном положении тела, например, при работе за компьютером.
Остеохондропатии чаще диагностируются у пожилых пациентов и стариков. Объясняется это замедлением процессов регенерации хрящевых и костных тканей, изменениями гормонального фона, снижением выработки в организме эластина и коллагена.
В чем опасность (возможные осложнения)
Сформировавшаяся секвестрированная грыжа сдавливает спинномозговые корешки, что становится причиной выпадения их функций. В местах, которые ими иннервируются, отмечаются мышечная слабость и понижение чувствительности. При отсутствии врачебного вмешательства вскоре развивается парез, мышцы атрофируются, угасают сухожильные рефлексы, расстраивается трофика.
Высока вероятность и образования дискогенной миелопатии (хронического поражения спинного мозга) на фоне сужения позвоночного канала. В области формирования грыжевого выпячивания развивается парез, пропадает чувствительность. У пациента наблюдается сенситивное специфическое нарушение походки и координации движений. Такие осложнения могут быстро стать необратимыми, так как образовавшийся неврологический дефицит нельзя восстановить даже проведением хирургических операций.
Секвестры, находящиеся в межпозвонковом пространстве, содержат белки. При их попадании в спинномозговой канал велика вероятность развития асептического воспаления. Были отмечены случаи возникновения аутоиммунных патологий из-за неадекватной реакции иммунной системы на белковые вещества из секвестров.
Где чаще всего возникает
Секвестрированное грыжевое выпячивание наиболее часто образуется в поясничном отделе позвоночника. Это происходит из-за серьезных статических и динамических нагрузок, постоянно воздействующих на диски, позвонки, связки, расположенные в нижней части спины. Примерно у 50% пациентов диагностируется смещение межпозвонковых дисков (L4-L5, S1) в пояснично-крестцовом отделе. Именно они испытывают максимальные нагрузки при ходьбе, наклонах и поворотах корпуса. Грудной и шейный позвоночные отделы наименее подвержены формированию грыжи с вытеканием пульпозного ядра.
Виды патологии
Секвестрация считается последней стадией смещения межпозвонкового диска, поэтому грыжевые выпячивания этой формы классифицируются только в зависимости от локализации.
Шейного отдела
Секвестрированная грыжа образуется между шестым и седьмым шейными позвонками. Причиной ее формирования обычно становится остеохондроз или травма, например, сильный направленный удар. Такая локализация смещения диска наиболее опасна из-за близкого расположения к головному мозгу. Нахождение секвестров около спинномозгового канала может провоцировать не только его сдавление, но и позвоночной артерии. В результате расстраивается кровоснабжение отделов головного мозга кислородом и питательными веществами. А состояние гипоксии чревато нарушением функционирования всех систем жизнедеятельности организма.
Поясничного отдела
Для секвестрированного грыжевого выпячивания, образовавшегося в пояснично-крестцовом отделе, характерна самая выраженная симптоматика. Патология этой локализации начинает клинически проявляться на ранней стадии развития, что позволяет быстро диагностировать заболевание и приступить к лечению. Но и количество развившихся осложнений выявляется чаще именно в этом отделе. Отмечаются нарушения работы органов малого таза, в том числе снижение либидо и расстройства мочеиспускания. При отсутствии врачебного вмешательства патология быстро прогрессирует. На конечном этапе возможно недержание мочи и кала.
Грудного отдела
Грудные позвонки и диски мало задействованы при движении, чем объясняется редкое образование секвестрированной грыжи в этом отделе. Ему придают дополнительную прочность и жесткость ребра. Если смещение дисков все же произошло, то возникает весьма специфическая симптоматика. Дело в том, что грудные позвоночные сегменты иннервируются теми же спинномозговыми корешками, что и внутренние органы. Возникающая при сдавлении нервных окончаний боль ощущается не столько в спине, сколько в области сердца, почек, желудочно-кишечного тракта.
Симптоматика болезни
На этапе секвестрации грыжи в большинстве случаев возникают уже довольно выраженные болезненные ощущения. При ущемлении спинномозговых корешков они острые, иррадиирущие в рядом расположенные участки тела. Развивается мышечно-тонический синдром, что становится причиной ограничения движений. Боль ощущается не только в дневные, но и в ночные часы, провоцируя появление неврозов, психоэмоциональной нестабильности, депрессивного состояния.
| Отдел позвоночника, в котором сформировалась секвестрированная грыжа | Характерные клинические проявления патологии |
| Шейный | Боль в шее при наклонах или поворотах головы, головокружения, нарушения координации движений, скачки артериального давления, онемение пальцев рук, снижение остроты зрения и слуха, шум в ушах, двоение предметов перед глазами и (или) появление цветных пятен, кругов |
| Грудной | Боль в грудном отделе, имитация симптомов патологий внутренних органов (острого панкреатита, язвенного поражения желудка, стенокардии), диспепсические расстройства, ферментная недостаточность, ощущение «кома в горле» и нехватки воздуха, кашель, чаще непродуктивный, першение |
| Поясничный, пояснично-крестцовый | Тугоподвижность, намеренное ограничение движений для предупреждения появления симптомов люмбаго, внезапно возникающие «прострелы», вынужденное положение тела, пронизывающие, интенсивные, острые боли в пояснице, тазовые расстройства на конечном этапе |
Методы диагностики
Диагноз выставляется на основании жалоб пациентов, проведения ряда функциональных тестов и результатов биохимических и инструментальных исследований. Больным назначаются общеклинические анализы крови и мочи для оценки состояния здоровья и обнаружения дисметаболических расстройств.
С помощью рентгенографии не удается выявить непосредственно само грыжевое выпячивание. Исследование позволяет установить деструктивно-дегенеративные изменения, возникшие из-за остеохондроза. Это уменьшение расстояния между соседними позвонками, разросшиеся края костных пластинок, уплотнение и истончение межпозвонковых дисков.
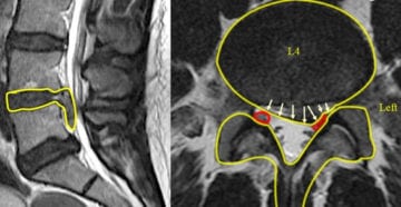
Наиболее информативны в диагностировании секвестрированных грыж МРТ и КТ. На полученных изображениях хорошо просматривается выпячивание, его локализация и размеры.
Когда стоит обратиться к врачу
Появление дискомфортных ощущений в шейном, грудном, пояснично-крестцовом отделах позвоночника — сигнал для обращения за медицинской помощью. Следует насторожиться при снижении чувствительности конечностей, часто возникающих ощущениях «ползающих мурашек», покалывания, онемения.
Пока выраженность симптоматики незначительна, возможно консервативное лечение патологии. Используются массажные, физиотерапевтические процедуры, местные и системные препараты, ЛФК. Но при диагностировании уже развившихся осложнений (дискогенной миелопатии, корешкового синдрома) пациента готовят к хирургическому вмешательству.
Способы терапии
Практикуется комплексный подход к лечению секвестрированных грыж любой локализации. Для устранения симптоматики используются препараты различных клинико-фармакологических групп. А для восстановления функций позвоночника проводятся физиопроцедуры, массаж, иглорефлексотерапия, сухая или подводная тракция. Предупредить появление болезненных рецидивов позволят ежедневные занятия лечебной физкультурой.
Медикаментозное лечение
Препараты первого выбора в терапии секвестрированных грыж — нестероидные противовоспалительные средства (НПВС). Для купирования острых болей используются инъекционные растворы Ортофен, Мовалис, Ксефокам.
Устранить болезненные ощущения средней выраженности поможет прием таблеток с активными ингредиентами мелоксикамом, кетопрофеном, кеторолаком, ибупрофеном, нимесулидом. При дискомфорте в спине на стадии ремиссии неврологи назначают мази и гели с НПВС:
При неэффективности НПВС проводятся лекарственные блокады с лидокаином, новокаином и глюкокортикостероидами Дипроспаном, Дексаметазоном, Триамцинолоном. В терапии также используются миорелаксанты, хондропротекторы, наркотические и ненаркотические анальгетики, транквилизаторы, средства для улучшения кровообращения. В лечебные схемы обязательно включаются препараты с витаминами группы B. Они особенно необходимы при секвестрированных грыжах, провоцирующих неврологические клинические проявления.
Физиотерапия
Физиотерапевтические мероприятия показаны пациентам для повышения эффективности медикаментозного лечения и улучшения состояния пораженных позвоночных сегментов. В острый период назначаются 5-10 сеансов УВЧ-терапии, заключающейся в воздействии на организм высокочастотного электромагнитного поля. Для устранения сильных болей применяется ультрафонофорез или электрофорез с глюкокортикостероидами, анальгетиками, НПВС, анестетиками.
Так как в клинике смещения дисков присутствуют спазмы скелетной мускулатуры, то проводятся несколько сеансов электромиостимуляции для восстановления паретичных мышц. Хорошо зарекомендовали себя грязелечение, иглоукалывание, гирудотерапия, аппликации с озокеритом и (или) парафином.
ЛФК
Это один из эффективных способов консервативного лечения грыжевых выпячиваний, в том числе секвестрированных. Сразу после купирования острых болей и асептического воспаления пациент направляется к врачу ЛФК. После изучения результатов МРТ и рентгенографии он составляет индивидуальный график тренировок, подбирает упражнения с учетом физической подготовки больного.
Регулярные тренировки помогают улучшить кровообращение в области поврежденных дисков, укрепить мышцы спины. Даже при неэффективности консервативной терапии это весьма полезно на этапе подготовки к хирургическому вмешательству.
Массаж и мануальная терапия
Укрепить мышечный корсет спины можно и с помощью массажа — классического, акупунктурного, баночного, сегментарного. После проведения нескольких сеансов исчезают мышечные спазмы и тугоподвижность, снижается интенсивность болезненных ощущений. Улучшается и психоэмоциональное состояние пациента, что положительно сказывается на скорости выздоровления.
Больным может быть назначено вытяжение позвоночника (тракция). Нередко это последний способ избежать хирургического вмешательства. Во время подводного или сухого вытяжения расстояние между телами позвонков увеличивается. Они перестают сдавливать диски, ущемлять спинномозговые корешки и кровеносные сосуды.
Хирургическое вмешательство
При выявлении осложнений или неэффективности консервативной терапии в течение нескольких месяцев пациентам показано хирургическое лечение. При секвестрированных грыжах операции проводятся примерно в 80% случаев. После разрыва фиброзного кольца и вытекания ядра в межпозвоночном канале присутствуют омертвевшие ткани, способные повредить спинномозговой канал при любом неловком, резком движении. Поэтому неврологи часто сразу предлагают хирургическое вмешательство:
- ламинэктомию;
- открытую или эндоскопическую дискэктомию;
- лазерную вапоризацию;
- внутридисковую электротермальную терапию.
Если во время операции грыжевое выпячивание удаляется вместе с диском, то необходима последующая стабилизация позвоночника. Выполняется установка B-Twin-имплантов, в том числе для профилактики формирования грыж в области соседних позвоночных сегментов.
Народные средства
Средства, изготовленные по рецептам народной медицины, не используются в терапии секвестрированных грыж из-за их неэффективности. Их применение не только нецелесообразно, но и опасно. Из-за слабого анальгетического действия компрессов и растирок больной не торопится обращаться к врачу. В результате хирургическая операция проводится на этапе развившихся необратимых осложнений.
Реабилитация после удаления секвестрированной грыжи
Чтобы избежать нежелательных постоперационных последствий, на этапе реабилитации пациенту показано ношение ортопедических приспособлений, соблюдение щадящего режима. Это эластичные бандажи с металлическими или пластиковыми вставками. Они надежно фиксируют позвоночный столб, ограничивают движения, приводящие к смещению дисков и позвонков.
Для ускорения восстановления рекомендованы ежедневные занятия лечебной физкультурой. На этапе реабилитации показаны массажные и физиотерапевтические процедуры — магнитотерапия, лазеротерапия, диадинамические токи.
Профилактика и прогноз
В большинстве случаев прогноз на выздоровление благоприятный независимо от способа терапии секвестрированной грыжи. Только при длительной миелопатии полное восстановление невозможно из-за развившегося неврологического дефицита.
Профилактика патологии заключается в проведении регулярных (1-2 раза в год) медицинских осмотров, своевременного лечения обнаруженных заболеваний. Необходимо избегать серьезных физических нагрузок, отказаться от курения и употребления алкоголя.
Похожие статьи














