Симптомы и методы лечения вывихов кисти руки: вправление и открытая хирургия
В большинстве случаев к вывиху руки приводят неожиданные падения, при которых человек ударяется кистью. Это может случиться во время пробежки по неровной местности, занятия в спортзале или в быту. Спровоцировать вывих может и резкий прямой удар по лучезапястному суставу.
Определение и классификация
В медицине вывихом называют нарушение конгруэнтности суставных поверхностей костей вследствие их смещения. Это приводит к нарушению функций сустава и уменьшению объема движений в нем. Причина подобного явления – дисконгруэнтность, то есть несоответствие формы суставных поверхностей друг другу.
Кисть состоит из запястных, пястных и фаланговых костей. Под воздействием травмирующего фактора сместиться может любая из них. Травматологи выделяют вывихи запястных, пястных костей и фаланг пальцев. В данной статье речь пойдет о смещении костей запястья.
Таблица 1. Виды вывихов кисти руки
| По характеру смещения | |
| Истинный | Характеризуется полным смещением запястных костей относительно суставной поверхности лучевой кости |
| Перилунарный | Проявляется тыльно-центральным смещением всех костей запястья, за исключением полулунной. Часто сопровождается различными переломами |
| Другие вывихи | Запястье состоит из 8 мелких костей. Под воздействием травмирующих факторов смещаться может любая из них. Ввиду анатомических особенностей строения чаще всего происходит вывих костей верхнего ряда запястья (ладьевидная, полулунная) |
| По давности | |
| Свежие | О свежих вывихах речь идет в том случае, если с момента травмы прошло менее 3-х суток |
| Несвежие | Несвежими называют смещения, которые произошли максимум за 2 недели до обращения в больницу |
| Застарелые | После травмы прошло больше двух недель. Подобные вывихи плохо поддаются лечению |
| По наличию осложнений | |
| Неосложненные | Характеризуются смещением суставных поверхностей костей без переломов, разрыва связок, сухожилий и т. д. |
| Осложненные | Сопровождаются повреждением нервов, сосудов, мягких тканей. В ряде случаев у больных выявляют внутрисуставные переломы костей запястья |
| По возможности закрытого вправления | |
| Вправимые | Репозицию костей можно успешно выполнить без хирургического вмешательства. Вправимыми считаются все свежие неосложненные вывихи |
| Невправимые | Восстановить конгруэнтность суставных поверхностей закрытым методом невозможно. В этом случае врачи выполняют хирургическое вмешательство. К невправимым относится большинство застарелых и осложненных вывихов |
Симптомы вывиха руки
Первый явный признак патологии – это резкая боль в верхней конечности. Она возникает в момент травмы и доставляет больному немало страданий. Человеку становится трудно двигать рукой, а в области запястья у него появляется выраженный отек. Еще один типичный симптом вывиха кисти – деформация руки. Довольно часто ее можно увидеть невооруженным взглядом.
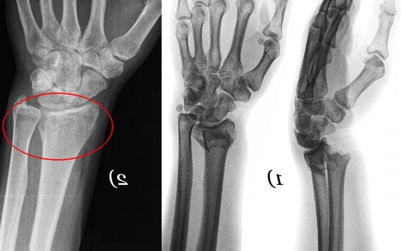
Поставить диагноз по одной клинической картине невозможно. Для этого врачам необходимо обнаружить признаки вывиха руки на рентгенограмме. Во время обследования специалисты выявляют у больного смещение одной или нескольких костей запястья.
Что делать при вывихе руки
В первую очередь, пострадавшую конечность нужно иммобилизировать, то есть зафиксировать в вынужденном положении. Ни в коем случае нельзя пытаться самостоятельно выполнить вправление: это может навредить человеку и заметно усугубить его состояние. Больного нужно как можно быстрее доставить в больницу.
Чтобы облегчить боль, вы можете дать пострадавшему любое обезболивающее средство. В этом случае лучше всего подойдет Кеторолак или Кетанов. К поврежденному запястью можно приложить холодный компресс или пакет со льдом.
Лечение в больнице
После подтверждения диагноза врачи определяются с лечебной тактикой. Чаще всего они выполняют закрытое вправление с дальнейшей фиксацией кисти гипсовой лонгетой. Спустя 4 недели гипс снимают и оценивают состояние лучезапястного сустава. При наличии нестабильности хирурги выполняют фиксацию спицами Киршнера.
После снятия гипсовой повязки пациент проходит реабилитацию. Она включает лечебную гимнастику, массаж, физиопроцедуры. Все эти мероприятия помогают восстановить функции запястья и полный объем движений в нем.
Если врачам не удается выполнить вправление закрытым способом, они используют компрессионно-дистракционный аппарат Илизарова. При осложненных вывихах медики проводят хирургическое лечение вывихов кисти руки. В случае повреждения срединного нерва операцию делают без промедлений.
Что будет, если не лечиться
Свежие неосложненные вывихи хорошо поддаются лечению. Врачи легко вправляют их. Человек несколько недель носит гипс, а после его снятия «разрабатывает» пострадавшую кисть. По окончании периода реабилитации функции поврежденной конечности полностью восстанавливаются. Большинство больных возвращается к привычному образу жизни, включающему занятия спортом и выполнение точной ручной работы.
При отсутствии лечения смещенные кости начинают «обрастать» соединительной тканью. После этого вернуть их на место невозможно. Вывихи, которые ранее можно было легко вправить закрытым способом, становятся невправимыми. Восстановить функции кисти в этом случае можно лишь с помощью операции.
Все осложненные вывихи требуют немедленного лечения. При отсутствии медицинской помощи они могут приводить к безвозвратной потере функций кисти.
Похожие статьи





