Артроз челюстного сустава: причины, симптомы и лечение
Артроз челюстного (височно-нижнечелюстного) сустава — дегенеративное заболевание, характеризующееся износом хрящевых структур: разложением суставного хряща, архитектурными изменениями в кости и дегенерацией синовиальных тканей. Этот шарнирный сустав расположен между височной костью и челюстью перед ухом по обеим сторонам лица. Его хрящ не такой прочный, как у других суставов, поэтому заболевание может привести к сильной боли.
Подобные проблемы часто встречаются у людей, достигших возраста 50 лет (50% случаев) и преимущественно у женщин. После преодоления отметки в 70 лет вероятность развития артроза достигает 90%. Люди часто игнорируют заболевание, боясь посещения врача. Поэтому чтобы вовремя среагировать на первые признаки болезни, нужно знать все про артроз челюсти: симптомы, лечение и причины его возникновения.
Что такое артроз?
Челюстной сустав – это место, где кость нижней челюсти присоединяется к черепу. Сочленение челюсти — одно из самых сложных, объединяет множественные мышцы и связки, которые позволяют выполнять разные движения. Любая проблема, которая препятствует правильному функционированию мышц, связок, дисков и костей, может вызвать болезненное состояние, называемое височно-нижнечелюстной дисфункцией, или артрозом челюстного сустава.
При артрозе ВНЧС макроскопическая структура хряща претерпевает изменения: гистологически происходит потеря протеогликанов, распад коллагеновой волоконной сети и жировая дегенерация. В костной ткани возникают микротрещины, увеличивается ее плотность, могут образоваться остеофиты. Подобные нарушения лишают человека многих вещей в быту: усложняется процесс разговора, приема пищи, нарушается слух.
Артроз челюстного сустава развивается в четыре стадии:
- начальная стадия (I) характеризуется суставной нестабильностью, вызванной неравномерным сужением суставной щели на фоне дегенеративных изменений в хрящевых структурах;
- прогрессирующая стадия (II) сопровождается снижением суставной подвижности, нарастанием болевых ощущений, обострением симптомов болезни. Усугубление состояния связано с окостенением мыщелкового отростка нижней челюсти;
- поздняя стадия (III) приводит к ограничению функций ВНЧС в результате полной дегенерации хрящевой ткани, появления остеофитов, уменьшения мыщелкового отростка и других деструктивных изменений;
- запущенная стадия (IV) с фиброзным сращиванием суставов.
В зависимости от выявленных рентгенологических изменений определяется и вид артроза ВНЧС, который может быть склерозирующим и деформирующим. При первом отмечают сужение суставной щели и развитие склероза костей. Для второго характерны расширение сустава, костные разрастания в виде бугорков на суставных поверхностях и выравнивание суставной ямки, сильная деформация нижней челюсти.
В зависимости от происхождения артроза ВНЧС он может быть первичным и вторичным. Первичный артроз возникает без предшествующего заболевания суставов в возрасте от 40 лет и имеет полиартикулярный характер. Вторичный развивается в предварительно измененном суставе из-за нарушенного соотношения суставных поверхностей на фоне сопутствующих болезней.
Причины развития
Артроз возникает в результате неравномерной нагрузки на суставные ткани, что приводит к постепенному износу хрящевой ткани. Совместная перегрузка может возникать из-за парафункциональных привычек (бруксизм, кусание ногтей), миофасциальной боли, несоосности и потери зубов, несогласования верхней и нижней челюстей, зубных щелей, дегенеративных и воспалительных изменений, также в результате стрессов и травм. Провоцирующие факторы:
- малоподвижный образ жизни;
- плохая экология;
- несбалансированное и нездоровое питание;
- несвоевременное посещение стоматологического кабинета.
Причины артроза ВНЧС:
- измененный прикус;
- хронический артроз;
- разрушение зубов;
- аномалии строения челюсти;
- чрезмерная нагрузка на сустав (занятия спортом);
- неверно поставленная пломба или протез;
- износ диска или хряща сустава;
- макро- и микротравмы челюсти или ВНЧС;
- операции на челюсти;
- неудачное ортодонтическое лечение;
- генетическая предрасположенность;
- заболевания сосудистой системы;
- инфекции;
- ревматоидный артрит, подагра,болезни, которые вызывают воспаление челюсти;
- неврозы и стрессы;
- патологии эндокринной системы;
- менопауза;
- слишком долгое пребывание с открытым ртом (у стоматолога);
- гормональный дисбаланс;
- возраст пациента старше 50 лет.
К факторам риска также относится деформация зубного ряда, отсутствие боковых зубов или стирание зубов в результате другой патологии.
Как помочь самому себе:
Симптомы
На первых порах патология дает о себе знать легкой ноющей болью в зоне сустава. Игнорировать такие спазмы ни в коем случае нельзя, иначе можно оказаться в больнице. Чтобы вылечить артроз челюстного сустава, симптомы нужно знать «в лицо». К ним относятся:
- боль при движении челюстью (даже незначительном) или нагрузке на сустав, возникающая с одной или сразу с двух сторон (появляется по причине истощения хрящевой, костной или соединительной тканей), которая может иррадиировать в шею, глаза, уши;
- боль в мышцах или суставах челюсти;
- щелчки или хруст челюстного сустава во время движения;
- перекошенность нижней части лица;
- смещение челюсти в бок при открытии рта;
- снижение подвижности сустава после длительного бездействия;
- возможное ухудшение слуха, мигрени;
- ограниченность подвижности, невозможность полностью открыть рот;
- жесткость в мышцах челюсти;
- мышечные спазмы вокруг челюсти.
При жевании или зевании симптомы могут ухудшаться. Они также становятся более выраженными при стрессе.
Артроз челюстно-лицевого сустава может не сопровождаться болевым синдромом при сахарном диабете или болезнях, связанных с обменом веществ и щитовидной железой.
Чем опасно заболевание?
Часто артроз челюсти на первых стадиях протекает бессимптомно, что приводит к длительному бездействию в лечении патологии. Однако игнорировать заболевание опасно. При обнаружении хотя бы одного из симптомов следует посетить врача. В запущенных формах патологии в ход идут медикаменты, ортопедия и даже хирургическое вмешательство.
В группу риска входят лица:
- старше 50 лет;
- женского пола, достигшие периода менопаузы;
- перенесшие травмы и операции челюсти;
- с нарушением прикуса, болезнями в области челюсти;
- с разрушенными или отсутствующими зубами;
- с хроническими воспалительными заболеваниями;
- с артрозом других суставов;
- чьи члены семьи страдают дисфункцией челюстного сустава.
Точная диагностика
Поскольку челюстной сустав имеет сложное строение, возможных причин развития артроза есть немало. Это существенно усложняет процесс диагностики и определения проблемы, его вызывающей. Стоматолог опрашивает, осматривает пациента на предмет асимметрии лица, западания губ, трещин в их уголках, пальпирует мышцы, определяя скованность движений. Врач определит артроз челюстного сустава сразу после этих действий.
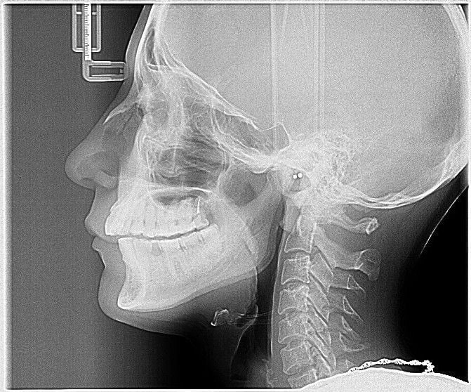
Для определения стадии развития заболевания, его локализации чаще других используется рентгенография. Рентгеновский снимок позволяет увидеть возникшие деформации, разрастания костей, изменения их формы. Реже применяются КТ, электромиография, контрастная рентгенография или брекеты (ортодонтические скобы).
Способы лечения
Лечение артроза челюстного сустава проводится комплексно, с учетом симптомов. Среди терапевтических мер — медикаментозная атака, физиолечение, соблюдение диеты, ведение здорового образа жизни, при необходимости — ортопедия или хирургия. Терапия артроза челюсти может занять много времени, но прогноз — положительный. Все процедуры и медикаменты назначает врач, который пристально наблюдает за динамикой развития заболевания.
Доктор определяет, какой образ жизни ведет больной, затем ему назначаются лекарственные препараты и подбирается режим питания. А при появлении первых результатов пациента направляют на оздоровительные процедуры.
Медикаментозное
В лечебных целях применяются болеутоляющие гели, мази или таблетки. Среди препаратов используются: НПВС, кортикостероиды, опиаты и адъюванты, миорелаксанты, гипнотические анксиолитики и антидепрессанты.
На первом терапевтическом этапе назначаются НПВС (Ибупрофен, Кетанов, Парацетамол, Эторикоксиб, Диклофенак и Кеторол). Это широкая группа препаратов с большой анальгетической, жаропонижающей и противовоспалительной активностью. Однако длительное лечение НПВП не рекомендуется из-за побочных эффектов, которые они могут вызывать (особенно на уровне желудочно-кишечного тракта).
При назначении препаратов врач должен учитывать особенности ЖКТ пациента при назначении средств, снижающих кислотность желудочного сока (Омепразол, Лансопразол).
При более тяжелых воспалительных симптомах рекомендуются кортикостероиды. Они эффективны при пероральном введении и ионтофорезе. Но повторная инъекция кортикоидов может индуцировать апоптоз хондроцитов и ускорять дегенеративные изменения. Поэтому альтернатива — инъекции гиалуроновой кислоты. Они так же эффективны, как кортикостероиды, но не вызывают дегенеративных изменений костей.
В артралгии и миалгии в качестве анальгетиков используются мышечные релаксанты, особенно при ограниченном открытии мандибулы (нижней челюсти). Другие адъюванты при лечении хронической боли в челюстном суставе — группа антидепрессантов. Трициклические антидепрессанты (Амитриптилин), уменьшают боль, борются с бессонницей и беспокойством. Селективные ингибиторы обратного захвата серотонина используют с осторожностью, поскольку они имеют много побочных действий и могут приводить к растяжению жевательных мышц, усугубляя мышечную боль.
Опиоидная терапия показана при умеренной и тяжелой хронической боли, которая не утихает при использовании традиционных анальгетиков, включая Кодеин, Трамадол, Морфин, Фентанил. Однако важно ознакомиться с противопоказаниями, которые возникают в результате применения опиатов.
Для восстановления хрящевой ткани могут потребоваться хондропротекторы (Терафлекс, Хондролон, Хондроитин сульфат, гиалуроновая кислота). Витаминные комплексы (Аскорбиновая кислота, Холекальциферол) и препараты кальция (Кальций-Д3-Никомед Форте, Кальцемин) — важная часть медикаментозного лечения артроза челюстного сустава.
Все используемые в терапии артроза ВНЧС препараты должны назначаться врачом. Важно проходить лечение курсом и не прерывать его сразу после исчезновения первых симптомов.
Физиотерапия
Физиотерапевтическая медицина может быть эффективной для пациентов с ограниченной подвижностью челюсти и болевым синдромом. Мандибулярные упражнения — часто единственное необходимое лечение. Они включают расслабление, поворот, растяжение. Растяжка вместе с местным холодом и теплом очень эффективна для уменьшения боли и улучшения подвижности. Такие упражнения эффективны при регулярном выполнении, так как уменьшают сжатие челюсти.
Если упражнения неэффективны или усиливают боль, существуют и другие физические методики, которые можно использовать:
- магнитотерапия;
- электрофорез с йодидом калия и новокаином (воздействие слабым электрическим током);
- массаж;
- лазеротерапия;
- прогревания желчью;
- облучение ультрафиолетом;
- гальванотерапия;
- воздействие ультразвуком или микроволнами;
- парафинотерапия;
- инфракрасное облучение;
- озокеритотерапия.
В краткосрочной перспективе эти процедуры могут уменьшить боль в челюсти и увеличить диапазон ее движений, чтобы продолжить выполнение упражнений лицевой гимнастики.
Антон Епифанов об эффективности физиотерапии:
Диета и образ жизни
Большое значение в лечении артроза ВНЧС придается диетическим рекомендациям. Пища, принимаемая больным, должна содержать углеводы, белки (для восстановления ткани хряща) и витамины группы В (для роста костной ткани). Ее предпочтительная консистенция – кашицеобразная, поскольку в таком виде она не будет создавать нагрузку на челюстной сустав. Поэтому в рацион включают каши, пюре, супы, яйца, перетертые фрукты и овощи, соки и молоко. Мясо можно перемалывать и подавать в виде пюре, суфле, котлет или тефтелей.
Из ежедневного меню необходимо полностью исключить кофе, крепкий чай, алкоголь, газированные сладкие напитки, шоколад, жвачку, копчености, цельные куски мяса, острые и тяжело пережевываемые продукты, поскольку они могут увеличивать напряжение в челюсти и усиливать боль.
Кроме диеты, больному следует придерживаться здорового образа жизни. На время лечения необходимо отказаться от курения и алкоголя, избегать стрессов, соблюдать режим сна и бодрствования, в достаточной мере отдыхать. Важно уменьшить нагрузку на сустав, что может быть достигнуто путем борьбы с некоторыми привычками (жевать резинку, кусать ногти, слишком широко открывать рот при зевании).
Ортопедическое лечение
Суть такой терапии — в том, чтобы создать одинаковую нагрузку на все челюстные суставы. При неправильном прикусе в лечении применяются каппы, брекеты, пластинки, коронки и протезы. В некоторых случаях больному устанавливается пращевидная повязка, ограничивающая подвижность сустава и препятствующая возможному резкому открыванию/закрыванию челюсти. Носить такую повязку приходится от 2 до 10 дней, в зависимости от степени поражения сустава.
Операция
Хирургическое вмешательство назначается, когда другие методы лечения не увенчались успехом. Показание для проведения операции — постоянная боль в суставе, связанная со специфическими структурными изменениями. Суть метода заключается в удалении сустава или внутрисуставного диска, устранении или пересадке головки нижней челюсти или установке трансплантата. Какая операция необходима пациенту, может решать только лечащий врач. Но трансплантат — наиболее эффективная методика лечения патологии, поскольку заменяет поврежденный сустав.
Реабилитационный послеоперационный период также включает прием медикаментов, физиотерапию, психологическое лечение, определенный режим питания и образа жизни.
Народные средства
С разрешения врача можно использовать нетрадиционные методы лечения артроза челюстного сустава. Существуют как простые, так и сложные в приготовлении средства народной медицины. Например, отлично помогает справиться с болью прогревание солью или песком. Их нужно разогреть, пересыпать в текстильный пакет и прикладывать к пораженной челюсти на 1,5-2 часа до полного остывания. Еще один простой рецепт – использование сырого яичного белка. На ночь мазать им всю челюсть и область за ушами.
Из более трудоемких, но и более эффективных народных средств можно выделить следующие:
Капли на основе чистотела
- Измельченный и отжатый через марлю чистотел смешать с медом в соотношении 1:1.
- Когда мед полностью растворится, лекарство готово.
- Его закапывают в каждую ноздрю по 1 капле перед сном. В первые несколько дней такое лечение может вызывать дискомфорт, но со временем будет заметен эффект.
Раствор для компрессов
- Смешать по 5 г следующие компоненты: корневища девясила, лопуха и хрена, листья и цветы мяты, зверобоя, мелиссы, чистотела, календулы, эвкалипта, подорожника, можжевеловые плоды.
- Сырье измельчить и залить раскаленным кукурузным маслом.
- После остывания раствор освобождается от всех твердых ингредиентов.
- В полученную жидкость добавить по 5 г перги и прополиса.
- Лекарство настаивать в теплом месте около 20 минут.
- В это время 100 г живичного скипидара смешать с 15-20 г живичной канифоли.
- Спустя 20 минут оба раствора смешать.
- Полученную смесь применять в качестве компрессов на ночь.
Профилактика
Профилактика предотвращения артроза челюстного сустава подразумевает выполнение нескольких условий:
- правильное и сбалансированное питание;
- повышение двигательной активности всего тела;
- избавление от вредных привычек;
- гигиена полости рта;
- регулярное посещение стоматолога и повышение внимания к прикусу.
Еще недавно артроз височно-нижнечелюстного сустава считался болезнью пожилых людей, но в нынешних условиях все чаще можно встретить представителей молодежи с таким диагнозом. С каждым годом количество больных, страдающих от этой патологии, возрастает. Причины — неправильное питание, экологические условия, малоподвижный образ жизни и нежелание идти к доктору при появлении первых симптомов.
Запоздалое обращение к врачу способствует переходу заболевания на последнюю стадию. Для его лечения может потребоваться многопрофильная команда, в которую входят стоматолог, челюстно-лицевой хирург, физиотерапевт, психолог и другие специалисты.
Похожие статьи









