Лечение артроза акромиально-ключичного сочленения: медикаменты и физиотерапия
В организме человека — множество скрытых суставов, функции которых незаметны. Так, лопатка соединяется с ключицей подвижным сочленением. Основная роль этого сустава – помогать подъему рук вверх и увеличивать амплитуду движений в плече. Иногда происходит возрастная или травматическая дегенерация суставных поверхностей акромиально-ключичного сочленения, что приводит к неприятному заболеванию – артрозу. В результате болезни резко нарушается функция верхней конечности, что серьезно ухудшает качество жизни больного человека.
Причины, анатомия и биомеханика проблемы
Движения, связанные с подъемом вверх верхних конечностей, осуществляются плечевым суставом, лопаткой и ключицей. Эти костные образования формируют различные по уровню активности суставы. Чуть выше плечевой кости расположен акромион – полукруглый отросток лопатки. Своим дистальным концом он соединен с проксимальным отделом ключицы. Это место принято называть акромиально-ключичным сочленением. Кроме костных структур, в области соединения присутствуют связки и хрящевая ткань. Последняя образует вокруг сустава капсулу, но внутри синовиальная жидкость практически отсутствует, так как объем движений сочленения ограничен.
Для полноценного функционирования сустава достаточно содержания внутри полости довольно плотной хрящевой ткани. Однако по разным причинам костные структуры разрастаются, появляются наросты (остеофиты), что ведет к появлению клинических симптомов заболевания. Точный фактор, который ведет к артрозу акромиально-ключичного сочленения, не выявлен, однако есть ситуации, провоцирующие появление болезни. К ним относятся:
- подъем тяжестей;
- длительная работа с поднятыми вверх руками;
- наследственные особенности костно-хрящевого соединения (слабость связочного аппарата, недоразвитие хондроцитов);
- травмы акромиально-ключичной области;
- системные заболевания соединительной ткани (волчанка, ревматоидный артрит);
- перенесенные операции в этой же зоне;
- привычка спать, подложив согнутую руку под голову.
Наибольшее значение при развитии артроза акромиально-ключичного сочленения имеет профессиональная высокая нагрузка на плечевую область. Поэтому страдают от заболевания преимущественно люди старше 35 лет, которые в течение длительного периода были заняты в следующих профессиях:
- тяжелоатлеты;
- культуристы;
- сварщики;
- легкоатлеты, занимающиеся с брусьями или перекладиной;
- шахтеры;
- другие специальности, при которых руки подвергаются максимальной нагрузке в поднятом состоянии (электрики, тренеры, боксеры и т. п.).
Главная непосредственная причина появления клинических симптомов – замещение хрящевой подвижной ткани костными статическими структурами. Появляются остеофиты, которые ограничивают и без того скудную активность сочленения. Акромиально-ключичный артроз формируется в течение длительного периода, поэтому при начале болезненных ощущений патология уже далеко запущена.
Главные симптомы и клинические проявления
Развивается болезнь медленно. Первые симптомы появляются исподволь, обычно на высоте серьезных физических нагрузок. Долгое время пациент не обращает на них никакого внимания, однако неприятные признаки неблагополучия в суставе прогрессируют. К главным симптомам, характеризующим артроз акромиально-ключичного сустава, относятся:
- боли в области плеча;
- иррадиация болезненных ощущений в руку, шею и лопатку;
- резко ограничивается возможность поднимать руки вверх;
- нарушается сон, так как в лежачем положении боли усиливаются;
- появляются раздражительность, депрессия;
- страдает весь верхний плечевой пояс: формируется скованность движений, ограничение функции конечности. Резко ухудшается качество жизни.
Главный симптом акромиально-ключичного артроза – боль. Она изначально появляется только на высоте физической нагрузки или при подъеме рук вверх. Затем становится постоянной, усиливаясь при малейших движениях. Человек не может справиться с простейшими бытовыми ситуациями:
- скрестить руки;
- поднять их максимально вверх;
- спать на пораженной стороне;
- поднять сумку даже с небольшим весом;
- посадить малыша на плечи;
- выполнить поворот больной половины туловища в сторону.
Наибольшие неприятности доставляет проблема с засыпанием. Болезненные ощущения резко усиливаются, что требует постоянного приема анальгетиков. Фатальных осложнений у артроза акромиально-ключичного сочленения не бывает. Однако резкие постоянные боли и ограничения повседневных движений доставляют серьезные неприятности и ухудшают качество жизни. Наивысшая степень проблемы, которую может доставить болезнь – полная невозможность подъема пораженной руки.
Если сравнить особенности течения болезни вследствие различных причин, то появляется закономерность. Наиболее благоприятно и медленно прогрессируют симптомы при дегенеративно-дистрофических процессах в суставе из-за инволюционных изменений. У спортсменов, особенно с повышенной массой тела, боли выражены значительно меньше, чем ограничения функции конечности. Наиболее неблагоприятно протекает патология, связанная с травматическими повреждениями и предшествующими операциями. Столь же тяжело, но эффективно поддающееся лечению, симптомы протекают при системных заболеваниях соединительной ткани.
Трудности диагностики
При типичной симптоматике заподозрить проблему не слишком сложно, тяжелее действовать с позиций доказательной медицины, то есть выявить анатомический субстрат болезни. Непосредственно костные фрагменты акромиона и ключицы поражаются в самых запущенных стадиях, когда лечение направлено на купирование симптомов. Изначально изменения касаются хрящевой ткани и появления мелких остеофитов. Поэтому полный комплекс диагностических мероприятий должен включать:
- исследование крови для исключения системного процесса;
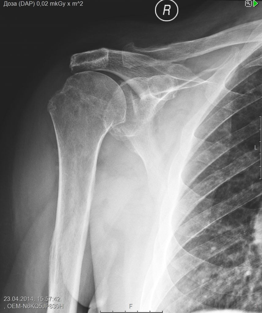
- рентгенографию плеча – опытный врач сможет заметить уменьшение расстояния между дистальным концом лопатки и ключицей;
- компьютерную томографию – видны все тонкости изменений в костной ткани;
- МРТ – дает возможность оценить патологию сухожилий, хрящей и костей;
- денситометрию – для выявления возрастного остеопороза.
Все вопросы снимает только магнитно-резонансное обследование. Четко видно разрушение суставной капсулы, уменьшение количества хрящевой ткани в полости сочленения, краевые костные разрастания.
Для дифференциальной диагностики показано привлечение врачей следующих специальностей:
- терапевт – первичное звено, организация диагностического процесса;
- ревматолог – исключение системного характера поражения;
- невролог – оценка состояния верхней конечности и назначение консервативного лечения;
- травматолог – определение показаний к оперативной коррекции и выполнение хирургических манипуляций;
- врач (инструктор) ЛФК – разработка индивидуальных упражнений для активизации восстановительных процессов в суставе.
Только совместная работа специалистов позволит наладить эффективную деятельность для полноценной диагностики и лечения артроза акромиально-ключичного сустава. В ряде случаев имеет место недооценка значимости повреждений в этом сочленении, что ведет к запоздалой диагностике и затяжному периоду мучительных для больного симптомов заболевания.
Лечение и реабилитация
Консервативными методами терапии полностью вылечить заболевание невозможно. Однако такой способ помощи больному эффективен с точки зрения контроля симптомов болезни. Удается снять проявления акромиально-ключичного артроза, стабилизировать прогрессирование костно-хрящевых изменений. Основные принципы лечения можно представить так:
- эффективное обезболивание – применяются НПВС и простые анальгетики, внутрисуставные блокады;
- улучшение кровотока в зоне сустава – используются периферические вазодилататоры;
- противовоспалительное лечение – применяются гормоны парентерально коротким курсом и внутрисуставным введением;
- терапия хондропротекторами – восстановление хрящевой ткани;
- препараты для наружного применения – усиливают эффективность системных средств;
- ЛФК, массаж, иглорефлексотерапия.
При неэффективности всего комплекса консервативных методик, нарастании клинической симптоматики выполняется хирургическая коррекция артроза.
Ниже в таблице представлены основные препараты, курс лечения и основные дозировки при различных видах доставки лекарства к пораженной зоне.
| Препарат – вид терапии | Наружно | Системно | Внутрь сустава |
| НПВС | В виде мази и геля 2 раза в сутки. Обычно применяются Кетопрофен, Ортофен и Нимесулид | Внутримышечно не более 5 дней – Кеторолак, Диклофенак (до 150 мг в сутки), затем пероральный прием таблеток в половинной дозе. При проблемах с ЖКТ – Нимесулид 200 мг в сутки либо ректальный способ введения препарата. Общий курс терапии — до 1 месяца | Не вводятся |
| Местные анестетики | В комбинации с НПВС (обычно используется лидокаин) | Не применяется | С целью обезболивания однократно в дозе 1-2 мл 10% раствора. Является диагностическим критерием – боли при введении в полость сустава анестетика полностью прекращаются |
| Гормоны | Не применяются | Внутривенно коротким курсом, обычно преднизолон в дозе 90-120 мг. Длительность — не более 5 дней | Для снятия воспалительной реакции — гидрокортизон или бетаметазон. Обычно достаточно однократной инъекции, которую можно повторить спустя 1 месяц |
| Хондропротекторы | Параллельно с НПВС или изолированно. Применяется хондроитин или глюкозамин | Длительно внутрь. Эффект терапии для артроза акромиально-ключичного сочленения не доказан. Средняя доза — 1000 мг хондроитина сульфата в сутки, курс — до 12 месяцев и более | Только в экспериментальной медицине, в обычной практике не используются |
| Простые анальгетики | Не применимы | Для быстрого купирования боли, парентерально или внутрь. Препараты выбора при наличии язвенных дефектов слизистой желудка. Применяется Метамизол или Парацетамол. Средняя доза — до 1500 мг в сутки для Анальгина и 3000 мг — для Парацетамола | Не применяются |
В клинической практике обычно сочетаются несколько препаратов из разных групп с разными способами введения. Внутрисуставные средства активно применяются вместе с лекарствами внутрь. Хондропротекторы часто назначаются при артрозе акромиально-ключичного сочленения. Однако исследований, доказывающих эффективность препаратов группы хондроитина и глюкозамина, при заболеваниях этого сустава не проводилось.
Хирургическая коррекция показана при наличии остеофитов в большом количестве и деструкции костной ткани дистального конца акромиона и проксимального участка ключицы. Обычно выполняется шлифовка костных структур для увеличения расстояния между ними. Формируется ложный сустав, заполненный соединительной тканью. Его функции достаточно для движений плеча без болезненных ощущений. Операция выполняется как открытым способом, так и посредством эндоскопической техники.
Прогноз
Так как патология связана с выполнением трудовых обязанностей, то заниматься профилактикой артроза означает смену повседневной работы. Если профессиональная переориентировка невозможна, основной задачей становится раннее выявление патологии. Каждый эпизод появления болей при поднятии рук вверх, особенно при физической нагрузке (взятие ребенка на руки, ношение сумки, подъем гимнастических снарядов), не должен оставаться незамеченным. Если боли стали регулярными, но еще терпимыми, при впервые появившихся неприятных ощущениях необходимо выполнять МРТ. Это исследование позволит детально изучить состояние костных и хрящевых структур для оценки ситуации.
Своевременное лечение приостановит и существенно замедлит деструкцию тканей, что делает переносимость болезни легкой и мало влияет на качество жизни. К тяжелым осложнениям патология акромиально-ключичного сочленения не приводит. Прогноз всегда будет благоприятным.
Похожие статьи

