Боли в суставах: коленных, тазобедренных, голеностопных, локтевых
Боли
Причины хруста в голеностопном суставе у взрослых и детей, способы устранения
Почему слышится хруст в голеностопном суставе: естественные и патологический причины. Как избавиться от хруста в голеностопе у детей и взрослых.
Болит сустав в челюсти: причины и лечение. Что делать при жевании
Список причин боли в челюстном суставе при жевании, открывании. Описание диагнозов. Методы диагностики и лечения в болевых ощущений.
Боли в бедрах при беременности: норма и патология. Диагнозы
Боли в бедрах при беременности: почему возникают. Причины в питании, двигательной активности, гормональном фоне. Как лечить боль.
Боли в шейных лимфоузлах: причины, симптомы и лечение
Что делать если болит лимфоузел на шее слева? Причины, принципы диагностики, инфекционные возбудители. Методы лечения детей и взрослых.
Боли в области сердца при остеохондрозе: кардиологические симптомы
Как отличить боль в сердце при остеохондрозе от таковой при кардиологических проблемах? Перечень отличий, описание диагностики и методов лечения.
Что делать, если крутит суставы ног и рук: советы и причины
Почему крутит суставы рук и ног. Влияние погоды, сопутствующих заболеваний, образа жизни. Что делать и как лечить неприятные ощущения.
Утренняя скованность суставов: причины, последствия и способы лечения
Какие болезни ведут к утренней скованности суставов? Отличия в лечении воспалительных и дегенеративных процессов. Перечень медикаментов.
Хруст и щелчки в плечевом суставе: опасно или нет? Причины и лечение.
Какой хруст в плечевом суставе опасен, а какой нет? Что вызывает щелчки и как лечить заболевания. Советы врачей и перечень медикаментов для терапии.
Почему после простуды болят суставы: что делать для облегчения состояния
Чем вызвана боль в суставах и спине после перенесенной простуды. Что делать для избавления от последствий. Опасность продуктов распада.
Воспаление локтевого сустава: виды, причины, лечение
Как лечить воспаление локтевого сустава, его связок и сустава. Фото недуга. Список диагностических мер и способов терапии связочного аппарата. Перечень диагнозов.
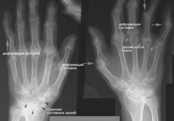
Симптомы и лечение основных болезней суставов рук: список распространенных
Распространенные болезни суставов рук: симптомы и лечение народными и традиционными способами. Перечень диагнозов для терапии.
Загрузить ещё
Обсуждения
По рисовой диете надо бы по подробнее - Это единственная еда за день? И нужно ли промывать рис в первых емкостях? За неделю при комнатной температуре ...
Татьяна
Питание и диета при остеохондрозе позвоночника, полезные и вредные продукты
Я бросила спортзал из за болей в суставах, пока работаю без нагрузок было терпимо, потом не смога на беговой дорожке даже заниматься ни приседания нич...
Марина
Что делать, если после тренировки болят колени: причины и лучшие способы избавиться от боли
Возможно реакция на антибиотики......
Бухтина Ольга
Реабилитация после замены тазобедренного сустава: упражнения и гимнастика
А какой диагноз у Ваших суставов?...
Бухтина Ольга
Препараты для лечения суставов — список лекарств

Боли

Боль внутри сустава может быть разной: сильной, слабой, ноющей или жгучей, но всегда она доставляет массу дискомфорта. Болевой синдром не дает человеку нормально двигаться, заниматься спортом, работать и даже отдыхать. Мучительные ощущения пронизывают сочленения насквозь.

Боли в суставах могут быть спровоцированы разными причинами: нарушением обменных процессов в организме и сочленении; неправильном кровообращении внутри мягких тканей, что не позволяет нормально питать хрящ. Кроме того, появлению боли способствуют инфекционные, системные, воспалительные, ревматические, эндокринные заболевания. Вызываются неприятные ощущения тем, что раздражитель активно воздействует на нервные окончания, которые тянутся от синовиальной сумки.

Какой бы ни была причина появления дискомфорта в суставе, повседневная жизнь больного значительно ухудшается. Часто человек может даже потерять свою трудоспособность и стать инвалидом.

Чтобы этого не допустить, необходимо обязательно лечиться. Но самостоятельно это делать не следует. Консультация грамотного специалиста – залог эффективности терапии. Если болят суставы, то это может говорить о развитии серьезной патологии в организме. Шутить с таким состоянием нельзя.