Незрелость тазобедренного сустава у новорожденных: причины и лечение
Незрелость тазобедренного сустава у новорожденных — патологическое состояние, при котором сочленение формируется недостаточно быстро. При рождении ребенка основная часть его тазобедренных сочленений состоит из хрящевых тканей. Ядра окостенения локализуются в области головок бедренных костей суставов, а их размеры ядра составляют 3-6 мм. Иногда такие зоны появляются позже, чаще до полугодовалого возраста.
Незрелость ядер бедренных костей нередко сочетается с различными формами дисплазии. Ранее эти понятия отождествляли, выделяя незрелость, как раннюю форму дисплазии. Теперь незрелость тазобедренных суставов рассматривается, как отдельное патологическое состояние, несмотря на схожесть диагностики и лечения. В терапии используются только консервативные способы — физиотерапевтические и массажные процедуры, ношение ортопедических приспособлений. А для устранения тяжелых форм дисплазии требуется хирургическая операция.
Характерные особенности патологии
Недоразвитие тазобедренного сустава (ТБС) диагностируется у более 20% новорожденных, причем в четыре раза чаще у девочек, чем у мальчиков. В отличие от дисплазии при незрелости ТБС способны формироваться правильно, но происходит это значительнее медленнее нормы.Поскольку детские суставы и позвоночник состоят из большого количества хрящевых тканей, то их временная незрелость вполне физиологична. Диагноз выставляется на основании задержки развития ядер окостенения. Остальные признаки незрелости считаются вариантом нормы:
- большой размер вертлужных впадин;
- их плоская форма;
- повышенная эластичность элементов связочно-сухожильного аппарата.
Но при сочетании таких особенностей строения и незрелости ТБС возможно развитие и прогрессирование дисплазии — заболевания, опасного своими тяжелыми последствиями. Поэтому детские ортопеды не дожидаются формирования очагов окостенения, а принимают меры, позволяющие обеспечить полноценное развитие ТБС.
Причины и провоцирующие факторы
В некоторых случаях незрелость тазобедренных суставов у новорожденного можно спрогнозировать из-за осложненного течения беременности. Если во время вынашивания ребенка у женщины обостряются хронические заболевания или у нее обнаруживается острая форма инфекции, требуется прием лекарственных средств. Препараты определенных клинико-фармакологических групп (антибиотики, иммуномодуляторы, цитостатики) нередко провоцируют побочные реакции. Одним из них может стать замедление формирования ядер окостенения. Другие причины физиологической незрелости тазобедренных суставов у новорожденных:
- ягодичное предлежание плода;
- тяжелая форма токсикоза на протяжении большей части беременности;
- отсутствие в рационе будущей матери достаточного количества микроэлементов, жиро- и водорастворимых витаминов;
- резкие колебания гормонального уровня;
- осложненные роды.
У недоношенных детей незрелость ТБС диагностируется практически всегда, и этому есть логическое объяснение. Ребенок преждевременно появился на свет, поэтому ядра окостенения находятся только на этапе формирования. Часто физиологическая незрелость спровоцирована недостаточным поступлением к плоду питательных и биологически активных веществ, необходимых для правильного развития опорно-двигательного аппарата. Но существуют и генетические предпосылки, обычно выявляемые на этапе планирования беременности.
На замедленное образования ядер окостенения влияет гормональный фон будущей матери. Например, перед родами начинает вырабатываться яичниками и плацентой повышенное количество релаксина. Этот гормон способствует расслаблению связок лонного сочленения тазовых костей, расширению таза, нормальному протеканию родов. Но избирательность для этого гормона не характерна. Поэтому одновременно размягчаются и костные структуры плода, провоцируя недоразвитие тазобедренных суставов.
Клиническая картина
Неразвитость тазобедренных суставов у новорожденных иногда обнаруживается в условиях роддома при первом осмотре детского ортопеда. Но в отличие от дисплазии незрелость ТБС не проявляется выраженной симптоматикой, особенно в течение первых дней жизни ребенка. Признаки замедленного окостенения и неправильного формирования сочленений обычно возникают после 3 месяцев. Что могут заметить родители или педиатр при очередном осмотре:
- укорочение бедра;
- снижение мышечного тонуса;
- асимметричное расположение кожных складок;
- возникновение препятствия при попытке отведения сочленения;
- характерный щелчок при отведении ТБС.
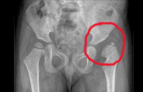
Чем раньше диагностирована патология, тем быстрее и успешнее проходит терапия. Обнаружить недоразвитость позволяют внешний осмотр, жалобы родителей, проведение функционального тестирования. Подтвердить диагноз помогают результаты ультразвукового, рентгенологического исследований. Хотя рентгенография считается самым информативным методом, ее проведение противопоказано детям до 3 месяцев. Степень зрелости ТБС устанавливается по параметрам ультразвуковой классификации Графа. Например, тип 2а по Графу – это незрелый диспластичный сустав.
Окостенение бедренных головок происходит примерно в возрасте 7 месяцев у девочек, 9 — у мальчиков. Если лечение незрелости тазобедренных суставов проводится до достижения ребенком полугода, то в дальнейшем они формируются в пределах нормы.
| Формы недоразвития тазобедренных суставов | Краткое описание |
| Ацетабулярная форма | Так называется врожденное недоразвитие вертлужной впадины у новорожденных. Для него характерны изменение централизации бедренной головки и повышенная эластичность связок. Отклонения незначительны, легко корректируются лечебными массажем и гимнастикой. В первые месяцы жизни подобное состояние той или иной степени выявляется у большинства младенцев. Станет ли оно предпосылкой для неправильного формирования ТБС, позволяют установить только последующие обследования, которые обычно проводятся через месяц |
| Диспластические изменения проксимального отдела бедренной кости | Такая врожденная форма недоразвития выявляется при измерении шеечно-диафизарных углов. Параметр рассчитывается по линиям, объединяющим центры шеек и головок костей, и диафизарным линиям. У детей старше 3 месяцев недоразвитие бедренных головок устанавливается по рентгенографическим изображениям |
| Ротационное недоразвитие | Нарушение развития, для которого характерны изменения углов между осями тазобедренных и коленных суставов в горизонтальных плоскостях. При отклонении полученных значений от нормы (у новорожденных – около 35°) диагностируется нарушение центрирования ТБС в вертлужной впадине |
Методы лечения
При диагностировании гипоплазии (недоразвития) тазобедренных суставов у новорожденных устанавливается ее форма. Это позволяет детским ортопедам быстро определить необходимые методы лечения для коррекции дальнейшего формирования ТБС.
Диспластические изменения нередко сопутствуют незрелости тазобедренных суставов. Самый опасный — врожденный вывих ТБС, при отсутствии лечения приводящий к косолапости, хромоте, нарушениям осанки. Предвывихи и подвывихи обнаруживаются чаще, но и значительно легче поддаются коррекции консервативными методами.
Консервативная терапия
Лечение недоразвитости тазобедренных суставов у новорожденных легкой степени начинается с массажа. Процедуру выполняет только специалист с медицинским образованием, хорошо знакомый с анатомией маленьких детей. В последующем, после выздоровления ребенка, массаж могут делать родители для пролонгирования клинического эффекта и в целях профилактики.
Описание упражнений:
К терапии незрелости ТБС, осложненной диспластическими изменениями, требуется несколько другой подход. На некоторое время тазобедренные суставы фиксируются для окостенения в физиологичном положении. Сделать это можно правильным пеленанием новорожденного:
- пеленка складывается так, чтобы сформировался треугольник, направленный вершиной вниз;
- надеть на малыша подгузник и положить его на пеленку, чтобы ее верхние концы располагались по обеим сторонам пояса;
- согнуть ноги под углом 80°;
- боковые стороны пеленки обернуть вокруг ножек, а нижнюю часть закрепить на поясе.
Если пеленание проведено правильно, то малыш оказывается в позе «лягушки». В некоторых случаях для придания такой позиции показано ношение подушки Фрейка, кокситной повязки или других ортопедических приспособлений. Они используются на протяжении нескольких месяцев, а при диагностировании серьезных диспластических изменений — 1-2 года.
Правильному формированию ТБС способствуют ежедневные занятия лечебной гимнастикой. Комплекс упражнений разрабатывает врач ЛФК, который и проводит первые занятия. Он показывает родителям, как сгибать ножки малыша, вращать ступни, разминать пяточки. Очень полезно упражнение «велосипед», при выполнении которого задействуются все структуры сочленения.
Если ребенок уже научился ходить, то педиатры рекомендуют приобрести ортопедический коврик. Его поверхность имитирует речную гальку, крупные камушки или песок. Хождение по такому коврику стимулирует кровообращение в ногах, способствует ускоренному выздоровлению.
Фармакологические препараты редко используются в лечение недоразвития тазобедренного сустава у новорожденных. Детские ортопеды рекомендуют прием витаминов, ускоряющих регенерационные процессы. Также назначаются физиотерапевтические процедуры, обычно электрофорез. На тазобедренное сочленение накладываются тампоны, пропитанные растворами лекарственных средств, а сверху устанавливаются металлические пластины. Через них пропускается электрический ток, под воздействием которого молекулы препаратов проникают и равномерно распределяются во всех тканях сочленения. При проведении лечебных процедур используется обычно раствор кальция для ускорения формирования ядер окостенения.
Хирургическое вмешательство
При неэффективности консервативного лечения врач может принять решение о проведении операции. При диагностировании обычной незрелости такой способ терапии не используется. Хирургическое вмешательство необходимо при обнаружении сопутствующей дисплазии — врожденного вывиха ТБС. Если ребенку исполнился год, то врач назначает бескровное вправление сустава по методу Адольфа Лоренца. Под наркозом хирург возвращает головку бедренной кости в физиологичное положение. Затем таз и ноги иммобилизуются примерно на полгода. Для этого накладывается кокситная гипсовая повязка, фиксирующая ноги ребенка в разведенном положении.
История лечения:
Реже проводятся операции открытым способом. Это вправление врожденного вывиха с рассечением суставной сумки, а иногда и углублением вертлужной впадины. Для придания правильной конфигурации бедренной кости производится остеотомия. При выборе лучшего метода хирург учитывает степень деформации впадины тазовой области и эластичность связок. В период реабилитации показаны массажные и физиотерапевтические процедуры, ежедневная лечебная гимнастика.
Терапия недоразвития ТБС проводится сразу после диагностирования, так как ребенок растет, а ядра окостенения не формируются. В суставах слишком много эластичных хрящевых тканей, которые не превращаются в кости. Поэтому одной из основных задач современной детской ортопедии становится раннее выявление патологического состояния.
Похожие статьи





