Стоимость замены коленного сустава: где дешевле и качественней
Замена коленного сустава успешно осуществляется уже более 40 лет. В некоторых случаях это единственная возможность сохранить человеку подвижность, избежать инвалидности. Эффективность операций обусловлена накопленным опытом и новейшими разработками в области медицинского оборудования. К изготовлению индивидуальных протезов применяют больше требований, чем к фармацевтическим препаратам. В 95-98% ситуаций эндопротезирование приводит к полному восстановлению двигательной функции колена, 1-1,8% заканчивается ревизией.
Не затягивайте с визитом в больницу, если почувствуете хруст в колене, появится отечность или покраснение. Самолечение разрекламированными препаратами только снижает чувствительность, заглушает симптоматику, а болезнь развивается. Часто достаточно медикаментозной (консервативной) терапии, если вовремя заняться здоровьем.
Замена коленного сустава: показания
Редкая болезнь проявляется сразу, и заболевания костной ткани и сухожилий – не исключение. Если при наличии генетических патологий, сильных травм и ударов можно заподозрить «поломку», то в ряде болезней подозрений даже не возникает. Изношенность суставного компонента может наступить вследствие:
Опасность дегенеративно-дистрофичных заболеваний — в их незаметности на ранних стадиях. При минимальных разрушениях боли практически нет, ее часто путают с усталостью мышц. Наиболее успешным способом предотвратить прогрессирование болезни и избежать инвалидности в будущем – частичная замена коленного сустава. В интернете есть видео, которые подтверждают безопасность и высокий уровень проведения артропластики.

Часто можно услышать: «кости ноют на погоду». В 85% это не «природный барометр», а симптоматика артрозных поражений начальных этапов.
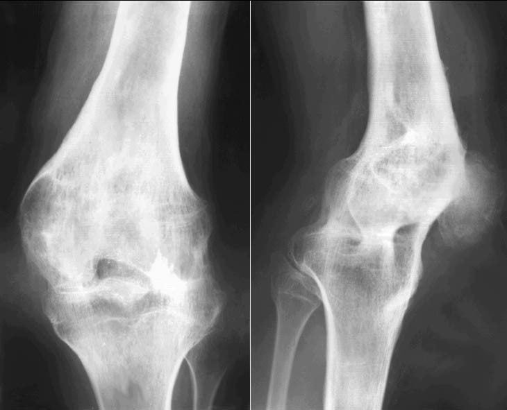
Болезнь «съедает» здоровые хрящи с разной скоростью, в зависимости от уровня физической подготовки, иммунной устойчивости, сопротивляемости организма. В первые несколько месяцев при своевременном обращении к терапевту ситуацию можно стабилизировать (не ликвидировать очаг, а остановить разрушительное движение). В любом случае терапия – не панацея, а только отсрочка. Недоедание, стресс, вредные привычки – гарантия, что рано или поздно понадобится эндопротезирование суставного сегмента. На фото стадии артроза колена выглядят так:
Основные показания — сильная боль и тугоподвижность хряща, которые при медикаментозном лечении не ликвидированы. Решение о назначении вмешательства принимается совместно — врачом и пациентом. Насильно вести на операционный стол никто не будет, здоровье ваше, ответственность за него — тоже.

Технология
Успешность замены зависит от трех факторов:
- постановки правильного диагноза и выбора верной схемы дальнейших действий;
- квалификации специалиста, наличия профессиональной аппаратуры и опыта работы с ней;
- восстановительной программы (реабилитационной).
Согласие на операцию и даже выбор клиники не означает, что теперь за вас решения будут принимать другие. Подготовку нужно проводить самостоятельно. За месяц проводится комплексное обследование, за две недели полностью исключается алкоголь, курение и вредная пища. На подготовительный период постарайтесь обеспечить неподвижность колена, минимизируйте нагрузку.
Если рекомендован покой конечности, это не означает, что нужно лежать. Двигаться необходимо, иначе мышцы атрофируются, и любая операция станет бессмысленной. Фиксация обеспечивается наколенным брейсом, а разгрузку дают костыли.
В зависимости от того, в каком состоянии находится сустав, назначается один из вариантов замены:
| Тип | Описание |
| однополюсная | Область поражения не превышает 50-60%, есть вероятность сохранить здоровыми несколько природных связок |
| тотальная | Полное удаление суставного сочленения, установка имплантата, идентичного по конструкции естественному аналогу |
| альтернативная | При небольших повреждениях, которые нельзя восстановить медикаментозно |
Хирургическое вмешательство длится 1,5-4 часа под общим или частичным наркозом. Перед процедурой необходимо принять средство, предотвращающее формирование тромбов.
Импланты коленного сустава


Протез не изготавливается для каждого человека индивидуально, но в каждом из них учтены особенности анатомии, возраста, пола. Медики учитывают даже дальнейший образ жизни и вес. Такой подход позволяет избежать трудностей при установке. Далее хирург-ортопед проводит проверку кинематики искусственного сустава в положении согнуть/разогнуть. Обнаруженные недочеты сразу исправляются.
Замена коленного сустава: цена
Стоимость эндопротезирования напрямую зависит от сложности ситуации, квалификации специалиста, ведущего вашу историю. Подсчитать, сколько стоит весь процесс, в состоянии только менеджер клиники. К расходам на саму операцию добавится стоимость стационарного наблюдения, а оно зависит от того, насколько успешно прошла процедура, и не возникло ли осложнений. Если понадобится помощь врача другой области, усиленное сестринское наблюдение, сиделка, расходы вырастут.

Также цена зависит от того, какие именно реабилитационные меры будут назначены. Чем больше назначений, тем быстрее восстановление и выше цена.
Конечно, есть способы сократить расходы: в России, например, при обращении в один из федеральных центров можно рассчитывать на «скидку» или частичную оплату по страховке. Но это в том случае, если есть время ожидать в очереди к «бесплатному» доктору.
Как получить квоту на замену коленного сустава
Согласно действующему законодательству, квота 2017 назначается детям и взрослым при:
- онкологии, при которой страдает опорно-двигательная система;
- заболеваниях соединительной ткани и деформациях суставных сочленений;
- изменениях в структуре после травм или неудачных операций;
- заболеваниях кровеносной системы, из-за чего хрящи недополучают питательных веществ и изнашиваются;
- бактериальной инфекции в области установленного имплантата;
- износе протеза вследствие окончания гарантийного срока, нестабильность его составляющих;
- деформирующем артрозе или дисплазии.
Все остальные случаи не предполагают назначение квоты. Для проведения эндопротезирования человек должен обладать финансовыми возможностями.
Алгоритм получения квоты
Решение квотного вопроса начинается с посещения врача по месту жительства; он ставит предварительный диагноз. При необходимости (и возможности) собирается комиссия, которая подтверждает поставленный диагноз и дает назначение на получение квоты (если обнаруженная патология соответствует заявленным в списке Минздрава).
С протоколом решения и ксерокопиями паспорта, страхового полиса, пенсионного полиса (при наличии) и анамнезом заболевания необходимо обратиться в департамент здравоохранения. Если боль не позволяет далеко ходить, вручение документов можно поручить доверенному лицу. Процесс рассмотрения не превышает 10-дневного срока. Если возникнет необходимость, заявителя вызовут на комиссию.

Далее начинается самое сложное – ожидание очереди на замену, которая зависит от наличия свободных протезов, уровня клиники, обращения платежеспособных пациентов и многих других факторов. Ожидание может занять от полугода и более.
Не думайте, что квота гарантирует бесплатное лечение. В госбольницах по квотному решению гарантируется операция, наркоз и 3-4 дня реабилитации, все остальное — за деньги, в том числе и имплантат.
В частных клиниках по квоте немного снижают стоимость самого вмешательства, примерно до 100 тысяч, но все дополнительные услуги оплачиваются из кошелька пациента. Кстати, при квотном лечении рассчитывать на индивидуальный протез не стоит — будет установлен тот, который имеется в больнице на момент проведения эндопротезирования.

выбирайте врача тщательно, ведь часто «переделать» плохую операцию нельзя.
Есть еще один недостаток лечения по квоте. За бюджетного вновь поступившего вряд ли возьмется профессионал высокого уровня. Скорее всего, его доверят молодому ортопеду, чтобы опыта набирался. Это не означает, что будет плохое отношение или мало старания. Просто при отсутствии навыков и точности движений скрупулезные действия выполнять сложнее.
Где делают замену коленного сустава?
Эндопротезированием занимаются ортопеды во всем мире, и успешность операций зависит не от страны, а от отношения медперсонала к пациентам. Где лучше сделать операцию, зависит от ваших предпочтений. Клиники Израиля предоставляют лучший сервис, вплоть до покупки билета в один конец для проведения вмешательства. Минус: отсутствие полноценной реабилитации.
Израильтяне позиционируют курорты Мертвого моря, как полноценное восстановление. Трудно представить, как морской воздух, вода и грязи снизят риск осложнений и помогут быстрой адаптации искусственного компонента в организме.
В Германии и США установлено современное оборудование, на профильные клиники работают целые научно-исследовательские институты. Факт: лечение здесь комфортное, результативное, но зато цена явно завышена — как минимум, на треть. За бренд, наверное.
Южная Корея предлагает оптимальный баланс по цене-качеству. Корейцы гарантируют 100% эффективность эндопротезирования, в том числе щадящей замены связки коленного сустава. Операционные здесь полностью компьютеризированы, что снижает риск «человеческого фактора». Более того, в сложных процедурах ассистируют роботы.
Пластику ПКС, тотальное и частичное эндопротезирование проводят в Чехии. Плюсы для жителей СНГ: отсутствие языкового барьера, европейское качество по цене ниже, чем в медучреждениях Европы, реабилитация в стационаре не 3-4 дня, а 10-14.
Ориентировочные цены в разных странах (с протезом):
| Страна | Стоимость (в рублях) | Время ожидания (дней) |
| США | 2738000-3481000 | 20-27 |
| Израиль | 1449000-2000000 | До 14 |
| Германия | 1102000-2000000 | 12-15 |
| Южная Корея | 790000-1450000 | 14-16 |
| Чешская республика | 700000-850000 | 10-14 |
| Россия | 600000-1000000 | В зависимости от выбора клиники и специалиста |
Замена коленного сустава: сроки восстановления
Имплантация – довольно сложная манипуляция; согласно МКБ10, по ней полагается больничный лист с указанием сроков нетрудоспособности. Максимальный период, на который рассчитан больничный – 10 месяцев. Дальше собирается комиссия, по выводам которой либо назначается инвалидность, либо человека выписывают.
Чтобы не попасть в ситуацию, что показаний для продления листа трудоспособности не выявлено, а боль не позволяет вести полноценный образ жизни, после выписки необходимо придерживаться условий домашней реабилитации:
- исключить вредные привычки: алкоголь, сигареты, кофе, пищу с канцерогенами;
- ежедневно выполнять комплекс ЛФК, постепенно увеличивая нагрузки для разработки подвижности конечности;
- регулярно являться на осмотр к лечащему ортопеду для исключения возможных осложнений;
- избегать перегрева и переохлаждения ноги.
При грамотном соблюдении рекомендаций восстановительный период занимает до 8 месяцев, через полгода после операции делается контрольный осмотр и обследование, по результатам которого выносится решение – готовы вы к самостоятельной жизни или нужно продолжить интенсивно восстанавливаться.
В период реабилитации одинаково вредны малоподвижность и избыточная активность. Не занимайтесь самолечением и усложнением/ ослаблением восстановительной программы — достаточно высок процент осложнений вследствие нарушения режима.
Противопоказания к замене
Поскольку от операции зависит не только возможность полноценно жить, но и здоровье организма в целом, при определенных показателях проведение эндопротезирования невозможно. Какие противопоказания при замене коленного сустава? Это:
- онкозаболевания 3-4 стадии;
- сахарный диабет в тяжелой стадии;
- наличие острых воспалительных процессов;
- легочно-сердечная недостаточность;
- психосоматические расстройства;
- остеопороз (хрупкость костей);
- тромбоз или паралич нижних конечностей.
Плюсы и минусы замены
Протезирование в ряде ситуаций – единственная возможность сохранить подвижность. Без своевременной помощи при прогрессировании артроза возможна полная неподвижность сустава, судороги или паралич ног, риски осложнений воспалительного и некрозного характера.

Еще один плюс – длительная беспроблемная эксплуатация имплантата. На сколько лет он рассчитан? При грамотной реабилитации и соблюдении врачебных рекомендаций срок службы составляет 15-25 лет.

Замена коленного сустава: отзывы
Мнение каждого человека субъективно. Часто в отзывах пациентов в соцсетях или на форумах встречаются гневные отзывы:
«Была сделана операция, но прошло уже полгода, а болезненный синдром и полная подвижность не восстановились. Врачи – мошенники, по такой цене могли бы и предоставить гарантии!»
Эффективность вмешательства во многом зависит от усилий и терпения пациента. Если после операции мучит боль, трудно ходить, зачем оставлять «реальные» злые отзывы пациентов? Если услуги врача вас не устраивают, смело меняйте клинику и доктора — законом это не запрещено.
Похожие статьи







