Деформирующий артрит суставов: симптомы и лечение
Артрит деформирующий — прогрессирующая дистрофическая патология из группы остеоартрозов. Для заболевания характерны деструктивно-дегенеративные изменения суставов, заключающиеся в первичном разрушении хрящевых тканей и последующим повреждением всего сочленения. Ведущие признаки деформирующего артрита — артралгия (боль в суставах), утренняя припухлость и скованность движений. Постепенно форма сочленения изменяется, снижается его функциональная активность. При отсутствии врачебного вмешательства развивается анкилоз или патологическая суставная нестабильность.
Для диагностирования деформирующего артрита проводится ряд инструментальных исследований — рентгенография, артроскопия, МРТ, КТ. В терапии используются глюкокортикостероиды, НПВС, миорелаксанты, хондропротекторы, массаж, физиопроцедуры, ЛФК. При неэффективности консервативного лечения поврежденный сустав заменяется эндопротезом колена или бедра.
Механизм развития и причины
Основная причина развития заболевания — замедление восстановительных процессов в соединительнотканных структурах. Нарушение их регенерации приводит к постепенному, преждевременному разрушению хрящей, выстилающих костные головки. Они истончаются, растрескиваются, становятся шероховатыми, утрачивают прочность и эластичность. Хрящи уже не способны выполнять свою амортизирующую функцию. Поэтому при соприкосновении костных головок повреждаются не только хрящевые, но и костные ткани. Субхондральные кости обнажаются, уплотняются, остеосклеротически изменяются. Организм предпринимает попытки стабилизировать сустав во время движения. Начинают разрастаться края костных пластинок, формируются остеофиты (костные наросты).
Регенерация хрящей замедляется в большинстве случаев из-за чрезмерных нагрузок на сустав. Например, в процессе или после интенсивных тренировок появляется боль, сигнализирующая о травматизации хрящевых тканей. У молодых людей скорость восстановительных процессов довольно высокая. Поэтому хрящевые ткани в суставах своевременно регенерируются. А вот у пожилых людей и стариков эти структуры восстанавливаться не успевают. Количество микротравм увеличивается, провоцируя преждевременное изнашивание поверхностей костных головок. Вторичный деформирующий артрит может развиться на фоне следующих патологий:
- воспаления костно-суставных тканей;
- асептического некроза коленного сустава;
- гормональных или обменных нарушений.
В отдельную группу врачи выделяют травматические повреждения хрящевых тканей. Артрит становится тяжелым последствием внутрисуставного перелома. В этом случае его развитие объясняется механическим разрушением хряща и последующей замедленной, неправильной регенерацией. Предупредить возникновение заболевания часто невозможно даже при проведении адекватной, грамотной терапии.
Совсем другое дело — повреждение мениска колена. Для профилактики развития деформирующего артрита хирурги как можно раньше удаляют разрушенные ткани или пришивают их на место. Если операция не будет проведена, то нестабильная поврежденная часть начинает постоянно травмировать суставные хрящи. Это становится причиной хондромаляции — нарушения структуры хряща на задней поверхности с потерей физиологической упругости и его размягчением.
Клиническая картина
Наиболее часто пациенты обращаются за медицинской помощью с жалобами на боли в суставах. На стадии ремиссии артралгия выражена слабо, возникает после физических нагрузок, при резкой смене погоды или обострении других хронических патологий. Во время рецидивов человек страдает от сильных «давящих», «крутящих» болей в коленных, голеностопных, локтевых, плечевых или тазобедренных суставах. Возникновение механической артралгии объясняется микропереломами трабекулярных костных тканей, венозным застоем. Наблюдается также внутрисуставная гипертензия, мышечный спазм, раздражающее действие остеофитов на мягкие ткани. Такая артралгия довольно быстро исчезает после непродолжительного отдыха. «Стартовая» артралгия кратковременна, возникает при начале движения из-за развившегося отека. «Блокадные» боли периодичны, появляются при движении. Они провоцируют тугоподвижность сочленения при ущемлении разрушенных хрящей (так называемая «суставная мышь») между 2 поверхностями суставов.
Для деформирующего артрита любой локализации характерны такие клинические и рентгенологические признаки:
- крепитация — хруст, треск, пощелкивание суставов во время их сгибания или разгибания, указывающие на истончение хрящей и ослабление связочно-сухожильного аппарата;
- ограничение подвижности сочленений из-за уменьшения размеров суставных щелей;
- разрастание остеофитов, провоцирующее развитие синовита и воспаление мягких тканей;
- необратимая деформация крупных и мелких суставов в результате дегенерации субхондральных костей;
- спазмы скелетной мускулатуры.
Пациенты жалуются ревматологам, ортопедам или травматологам на утреннюю припухлость (отечность) суставов, скованность движений, исчезающую примерно спустя 30-40 минут. При обследовании больных с артритом нижних конечностей обнаруживается мышечная гипертрофия бедер, ягодиц, сгибательно-приводящие контрактуры. Если человек не обращается за врачебной помощью, то спустя несколько лет у него выявляется укорочение поврежденной ноги, хромота, а затем и анкилоз — патологическая тугоподвижность или полное обездвиживание.
Для деформирующего артрита мелких суставов характерно формирование плотных узелков на краях межфаланговых проксимальных и дистальных сочленений кистей рук. Это так называемые узелки Гебердена и Бушара, при надавливании на которые возникают болезненные ощущения. При диагностировании генерализованной формы патологии (болезнь Келлгрена, полиостеоартроз) выявляется множественная деструкция не только периферических, но и межпозвонковых сочленений. Полиостеоартроз в таких случаях часто сопровождает остеохондроз межпозвонковых дисков, спондилез шейного и пояснично-крестцового отделов позвоночника, периартриты и тендовагиниты.
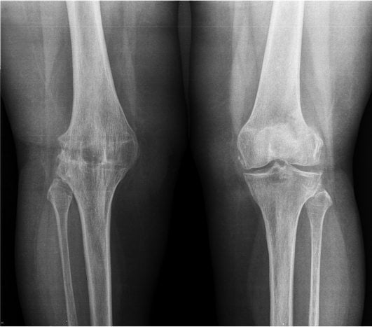
| Стадии деформирующего артрита | Клинические и рентгенологические проявления |
| Первая | В местах крепления связок формируются своеобразные заострения. В области коленей — межмыщелковые возвышения на участке крестообразных связок, в тазобедренных сочленениях — в области надмыщелков, боковых связок большеберцовых костей. Размеры суставных щелей не изменены. Болезненные ощущения возникают только при физических нагрузках. Если лечение начинается на этом этапе, то патология надежно купируется и дальше не развивается. О заболевании будут напоминать только окостеневшие участки в местах прикрепления связок |
| Вторая | Суставные щели сужены в результате изнашивания гиалиновых хрящей. Замыкательная пластинка склерозируется, уплотняется. Стадии ремиссии чередуются с рецидивами, возникающими все чаще. Объем движений в суставах существенно снижается, при сгибании или разгибании сустава слышится щелчки, хруст. Болезненные ощущения появляются даже в состоянии покоя, провоцируя бессонницу, быструю утомляемость. При диагностировании патологии используются консервативные методы лечения, редко дающий положительный результат |
| Третья | На рентгенологических изображениях заметно полное или частичное сращение суставных щелей и множество сформировавшихся крупных остеофитов около сочленений. Артралгия становится постоянной, усиливается при малейшем движении. Суставы тугоподвижны в течение всего дня из-за развившегося анкилоза. Консервативное лечение не эффективно, направлено только на устранение болей. Пациента готовят к хирургическому вмешательству — корригирующей остеотомии, но чаще к эндопротезированию |
Диагностика
Лечением деформирующего артрита занимаются ревматологи или ортопеды, постравматического — травматологи. Если в штате больницы таких специалистов нет, нужно записаться на прием к терапевту. Первичный диагноз выставляется на основании жалоб пациента, его внешнего осмотра, изучения анамнеза. Для подтверждения проводится ряд инструментальных и лабораторных исследований. Наиболее информативна рентгенография, позволяющая выявить все характерные признаки деформации суставов — субхондральный остеосклероз, сузившуюся щель, сформировавшиеся кисты и остеофиты.
Для оценки состояния соединительнотканных структур (связок, сухожилий, мышц) проводится МРТ или КТ. При тяжелом течении артрита пациентам показана артроскопия. В полость сустава вводится устройство, оснащенное миниатюрной видеокамерой. Во время ее продвижения изображение внутренней поверхности сочленения передается на монитор. Во время артроскопии проводится забор синовиальной жидкости для изучения ее состава. При необходимости берутся биоптаты синовиальной оболочки и хрящевых тканей.
Основные методы терапии
Практикуется комплексный подход к лечению деформирующего артрита коленного, голеностопного, локтевого, тазобедренного суставов. При выборе методов терапии врач учитывает стадию патологии и причину ее развития, степень повреждения тканей. Так как возникшие деструктивно-дегенеративные изменения в суставах необратимы, лечение направлено на улучшение самочувствия пациента. Для снижения выраженности артралгии используются препараты различных клинико-фармакологических групп:
- нестероидные противовоспалительные средства (НПВС) — Мелоксикам, Лорноксикам, Диклофенак, Нимесулид, Кетопрофен. При острых болях вводятся внутримышечно, при артралгии средней и слабой выраженности — в таблетках, капсулах, драже. Так как прием НПВС провоцирует изъязвление слизистой желудка, одновременно назначаются ингибиторы протонного насоса, например, Омез или Омепразол. Самый желудочнотоксичный препарат — Индометацин, обладающий и самым мощным обезболивающим действием;

- медикаментозные блокады с глюкокортикостероидами Дипроспаном, Дексаметазоном, Флостероном, Гидрокортизоном, Триамциналоном. Для усиления анальгетического эффекта комбинируются с анестетиками Лидокаином или Новокаином. Врачи неоднозначно относятся к этому способу устранения артралгии из-за мощных побочных проявлений гормональных препаратов. Они быстро и надолго снимают боль, но одновременно оказывают токсичное воздействие на внутренние органы. Глюкокортикостероиды снижают массу костей, и так подвергающихся разрушению артритом.

Пациентам обязательно назначается длительный курсовой (не менее 3 месяцев) прием хондропротекторов (Терафлекс, Структум, Хондроксид, Артра). Препараты способствуют частичной регенерации хрящевых тканей, а по мере накопления в суставах оказывают противовоспалительное и анальгетическое действие. Эти средства стоят очень не дешево, поэтому, чтобы деньги были потрачены не зря, следует избегать каких-либо физических нагрузок во время лечения. Хондропротекторы производятся в виде кремов, мазей, гелей (Хондроитин-Акос, Хондроксид, Терафлекс). Назначаются местные средства редко, так как клинически не подтверждена способность ингредиентов проникать в суставные полости.
Пациенту рекомендуется снизить физическую нагрузку на больной сустав, избегать чрезмерной двигательной активности и подъема тяжестей. С этой целью назначается ношение эластичных бандажей на стадии ремиссии и жестких, полужестких ортезов во время обострений. Ортопедические приспособления используются только в дневное время. При диагностировании деформирующего артрита 2 или 3 степени тяжести рекомендуется во время движения применять трость или костыли. Пациентам назначаются 5-10 сеансов магнитотерапии, лазеротерапии, УВЧ-терапии, массаж, ЛФК для улучшения кровообращения в поврежденном суставе.
Категорически запрещается использовать какие-либо народные средства. Это приведет к прогрессированию деформирующего артрита, его распространению на здоровые суставы. Затормозить или полностью остановить патологию возможно только с помощью фармакологических препаратов, физиопроцедур, а в осложненных случаях показана замена сустава эндопротезом.
Похожие статьи



