Тендовагинит сухожилий — причины, виды, симптомы, лечение заболевания
Тендовагинит сухожилия — воспаление внутренней (синовиальной) оболочки фиброзного влагалища мышечного сухожилия. Заболевание развивается в результате инфицирования, чрезмерных физических нагрузок, выполнения однотипных движений на работе. Острый или хронический тендовагинит часто сопровождает суставные патологии: артриты, остеоартрозы, подагру.
Клинически проявляется болезненными ощущениями, усиливающимися во время движения, отеками, гиперемией. Инфекционное заболевание протекает на фоне симптомов общей интоксикации организма. Тендовагинит хорошо поддается консервативным методам лечения. Оперативное вмешательство показано больному при прогрессировании патологии и быстром развитии осложнений.
Суть заболевания
Сухожилия соединяют между собой костные и мышечные структуры; благодаря их плотности и эластичности опорно-двигательный аппарат выдерживает серьезные нагрузки. При движении происходит сокращение мышечных волокон и сдвиг сухожилия относительно рядом расположенных тканей. Та часть сухожилия, которая прилегает к мышце, покрыта соединительнотканным футляром. Его внутренняя поверхность выстлана оболочкой, постоянно вырабатывающей синовиальную жидкость с маслянистой консистенцией. Она обеспечивает:
- легкое скольжение сухожилия;
- защищает тяж от истирания и быстрого изнашивания.
При развитии воспалительного процесса или дегенерации сухожилия стенки синовиальной сумки воспаляются. Легкое скольжение становится невозможным. У человека возникают первые симптомы тендовагинита.
| Форма тендовагинита | Причины развития заболевания |
| Асептическая | Травмирование сухожилия или повышенные нагрузки на него при выполнении однотипных движений |
| Инфекционная | Проникновение в сухожилие болезнетворных бактерий: стафилококков, стрептококков, бледных трепонем, гонококков, микобактерий туберкулеза, возбудителей бруцеллеза |
| Крепитирующая | Ежедневное выполнение повторяющихся однотипных движений во время спортивных тренировок или на службе |
| Стенозирующая | Травмирование: вывихи суставов, разрывы связок или сухожилий, их полные отрывы от костного основания |
| Острая | Травмирование, спортивные тренировки, подъем тяжестей, артриты, остеоартрозы, подагра, болезнь Бехтерева |
| Хроническая | Отсутствие лечения острого тендовагинита |
Причины и классификация
Заболевание может протекать в острой или хронической форме. Острый тендовагинит хорошо поддается лечению при своевременной диагностике. Если терапия не была проведена, то патология принимает рецидивирующий характер — при снижении иммунитета, переохлаждении, избыточной физической нагрузке сухожилие воспаляется. Для удобства диагностирования тендовагиниты классифицируются в зависимости от причин возникновения:
- крепитирующий. Развивается у людей, ежедневно повторяющих однотипные движения во время спортивных тренировок или выполнения профессиональных обязанностей. В группе риска находятся волейболисты, штангисты, теннисисты, граверы, люди, работающие на конвейере. Крепитация — похрустывание при движении, ставшее характерным признаком этой формы тендовагинита;
- стенозирующий. При этом заболевании воспаляется весь связочно-сухожильный аппарат кистей рук. Причиной патологического процесса становится травмирование: вывихи суставов, разрывы связок или сухожилий, их полные отрывы от костного основания. Отличительная особенность стенозирующего тендовагинита — формирование небольшого уплотнения.

Крепитирующий и стенозирующий тендовагиниты могут быть асептическими и гнойными. Асептическое заболевание возникает в результате травмирования или повышенных нагрузок при выполнении однотипных движений. Сухожилие воспаляется и из-за деструктивно-дегенеративных изменений в тканях. Такое состояние характерно для хронических заболеваний суставов — ревматоидного, подагрического артрита и остеопороза.
Наиболее опасен инфекционный тендовагинит, развивающийся после проникновения в сухожильное влагалище патогенных микроорганизмов. Возбудители неспецифической формы патологии:
- стрептококки;
- стафилококки.
В область сухожилия они переносятся потоком крови из первичных инфекционных очагов, расположенных в дыхательных путях, органах мочеполовой системы, желудочно-кишечном тракте. Иногда тендовагинит диагностируется после перенесенных гриппа, бактериальной ангины, бронхита, цистита, пиелонефрита.
Возбудителями специфического тендовагинита являются микобактерии туберкулеза, гонококки, бледные трепонемы. Наиболее опасно заражение полиморфными грамположительными микроорганизмами рода Brucella, провоцирующими бруцеллез. Они быстро распространяются по организму, поражая внутренние органы и опорно-двигательный аппарат.
Симптомы тендовагинита
Для асептического тендовагинита не характерна ярко выраженная симптоматика. Определить развитие заболевания можно по формированию отека. В области воспаленного сухожилия кожные покровы сглаживаются, выравниваются. При надавливании на зону отека не образуется углубление, но ощущается боль. Постепенно отек укрупняется, распространяется на здоровые ткани, сдавливая чувствительные нервные окончания. Интенсивность боли усиливается, особенно при движении. Появляется специфическое похрустывание, щелчки. При хроническом течении сильные боли возникают только в периоды обострений. На стадии ремиссии ограничен объем движений в пораженном сухожилии, при серьезной нагрузке возникают ноющие болезненные ощущения.
Острая инфекционная форма манифестирует признаками общей интоксикации организма. В синовиальной жидкости появляются примеси гноя из-за активного роста и размножения болезнетворных бактерий. Клиническая картина дополняется такими симптомами:
- подъем температуры выше субфебрильных значений, при остром течении превышающей 40 °C;
- лихорадочное состояние, озноб;
- повышенное потоотделение, холодная испарина;
- диспепсические расстройства — тошнота, отсутствие аппетита, метеоризм;
- неврологические нарушения — слабость, апатия, сонливость, головокружения, головные боли.
При гнойном тендовагините воспаление может распространиться на кожные покровы. Они становятся синеватого цвета, опухают. Из-за переполнения кровью сосудов кожа на ощупь горячая, сухая. Возникает боль пульсирующего, дергающего характера не только при движении, но и в состоянии покоя. Она иррадиирует в конечности и другие рядом расположенные части тела.
При стенозирующем тендовагините воспаленное сухожилие заполняет костно-фиброзный канал. В результате сдавливания человек постоянно ощущает сильные боли. При отсутствии лечения происходит часто необратимое повреждение расположенных рядом нервов. Одно из часто диагностируемых осложнений стенозирующего тендовагинита — синдром запястного канала.
Диагностика
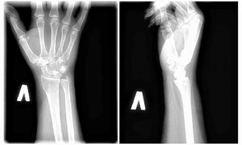
Опытный ревматолог или травматолог может поставить диагноз при первичном осмотре пациента на основании его жалоб и изучения анамнеза. При вялотекущем воспалительном процессе иногда требуется проведение дополнительных исследований:
- рентгенографии;
- компьютерной или магнитно-резонансной томографии;
- ультразвукового исследования.
Для оценки степени воспаления и общего состояния здоровья пациента назначаются исследования крови и мочи. Обязательно проводится неврологический осмотр. Он помогает установить функциональную активность сухожилия, выявить осложнения, возникшие из-за повреждения нервов. По результатам биохимических анализов определяется вид инфекционного агента и его чувствительность к антибиотикам и противомикробным средствам.
Лечение медикаментами
Лечение тендовагинита, особенно травматического, проводится с иммобилизацией конечности. Гипсовый лангет накладывается при осложненном течении заболевания, обычно для фиксации используется ортез. Он надежно иммобилизует сустав, а его ношение способствует ускоренной регенерации тканей. В течение 1-2 недель необходимо исключить какую-либо нагрузку на поврежденное сухожилие. На начальной стадии лечения пациенту рекомендованы холодные компрессы с кубиками льда для купирования воспаления. В терапии используются фармакологические препараты различных групп:
- анальгетики;
- глюкокортикостероиды;
- нестероидные противовоспалительные средства (НПВС);
- витамины группы B;
- антибиотики;
- противомикробные препараты;
- иммуностимуляторы.
Хорошо зарекомендовали себя в лечении патологии наружные средства. На протяжении всей терапии используются мази с НПВС — Вольтарен, Артрозилен, Ибупрофен, Кеторол. На завершающем этапе лечебная схема дополняется препаратами для локального нанесения с разогревающим действием. Наибольшая клиническая эффективность характерна для Капсикама, Апизартрона, Финалгеля.
Физиотерапевтические процедуры усиливают и пролонгируют действие системных и наружных средств. Врачи назначают при тендовагините диадинамические токи, электрофорез, УВЧ-терапию, магнитотерапию.
При неэффективности консервативной терапии проводится оперативное лечение. Хирургическое вмешательство также показано при обнаружении гноя в экссудате, развитии контрактуры в результате формирования спаек. Во время проведения операции врач рассекает влагалище сухожилия и удаляет его, высвобождая сухожилок.
При своевременно проведенном лечении прогноз на полное выздоровление благоприятный. Если тендовагинит принял рецидивирующее хроническое течение, то для восстановления всех функций кисти или стопы необходимо хирургическое вмешательство. Поэтому при первых признаках воспаления сухожилия необходимо обратиться к врачу за квалифицированной медицинской помощью.
Похожие статьи




