Полиартрит пальцев рук: симптомы, диагностика, лечение, полное описание недуга
Полиартрит пальцев рук представлен воспалительным процессом, протекающим в суставах. Поражение пальцев может являться самостоятельной патологией или быть частью нарушений, касающихся опорно-двигательного аппарата. У пациента возникают неприятные ощущения в суставах. Развитие патологии происходит постепенно или резко.
Причины и типы
Полиартрит рук и других частей образуется в результате изменений дегенеративного характера. У пожилых людей подобные изменения затрагивают костную ткань и хрящ пальцев. В молодом возрасте появление заболевания часто вызывается травмами или тяжелой работой.
Полиартрит кистей рук может возникнуть и при наличии инфекционных процессов в организме или локальных патологий. Примером является воспаление сухожилий и связок – лигаментит. Полиартрит пальцев рук может возникнуть и при наличии следующих факторов:
- Развитие ангины.
- Туберкулез.
- Наличие у больного ОРВИ или гриппа.
- При краснухе.
- Во время гонореи.
- Гепатиты тоже способствуют появлению болезни.
Неинфекционная форма поражения сустава связана с нарушением обмена солей и заболеваниями системного характера:
- сепсисом крови;
- аутоиммунными болезнями;
- заболеваниями эндокринного или неврогенного типа;
- красной волчанкой.
Поражение суставов может свидетельствовать о начале формирования другого воспалительного процесса – артрита ревматоидного характера. Проблемы с суставами пальцев являются признаками псориатической и реактивной формы артрита.
Характеристика типов полиартрита сустава связана с причинами появления. Исходя из указанного параметра, выделяют следующие формы:
- Ревматоидный полиартрит свидетельствует о начальном этапе развития системного артрита ревматоидного типа.
- Обменный полиартрит возникает при сбоях в обмене веществ и накоплении солей в суставной сумке.
- Вторичный тип вызывается различными болезнями: заболевания Бехтерева, синдром Рейтера.
- Посттравматическая форма заболевания появляется после полученной травмы. В некоторых случаях может возникнуть инфекция при попадании в поврежденные ткани.
- Инфекционный характер полиартрита вызван патологиями: сифилисом, бруцеллезом, гонореей, сальмонеллезом или туберкулезом.
Стадии и проявления
Симптомы развития 1 стадии заболевания сустава практически незаметны внешне. У больного иногда появляются болезненные ощущения при физической нагрузке, длительном сжатии предмета или во время смены погоды. В утреннее время состояние характеризуется скованностью движений. На межфаланговых суставах появляется дискомфорт и неприятные ощущения ноющего характера.
На 2 стадии происходит образование на пальцах небольших узелков. Появляются болезненные ощущения, не связанные с физической активностью или перенапряжением. У некоторых пациентов появляются первые симптомы деформации: выпячивание пальцев в стороны, их утолщение.
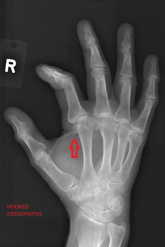
Если лечение полиартрита пальцев рук не осуществляется, то наступает 3 стадия. Пальцы становятся уродливыми, что свидетельствует о сильной степени деформации. Образуются большие узлы и острые остеофиты костей. В некоторых ситуациях они даже могут прорывать покровы кожи.
Симптомы возрастной, инфекционной и обменной формы заболевания представлены болезненными ощущениями в суставах. Неприятные признаки возникают в следующих местах:
- в суставах, которые соединяют проксимальную фалангу и кости ладони;
- в суставах между средней и проксимальной фалангой.
Если у больного развивается псориатический тип, то боль образуется в дистальном суставе. Характерны для полиартрита и общие проявления в виде ноющих ощущений в пальцах. Боль может отдавать в запястье или кисть. Не является редкостью возникновение признаков во время ухудшения погоды или в ночное время.
Появляются следующие проявления:
- Отсутствие возможности выполнять мелкие задачи: удерживать объекты и выполнять другие действия, требующие функционирования мелкой моторики.
- После сна появляется скованность.
- Ткани становятся припухлыми.
- Вокруг воспаления ткани немеют и краснеют.
- После переохлаждения болезненные ощущения усиливаются.
Развитие полиартрита приводит к формированию узелков в области суставов. Отсутствие вмешательства приводит к ослаблению мышечной ткани и деформации пальцев. Не исключается вероятность развития атрофии мышц. В дальнейшем болезнь поражает сосуды, нервы и сухожилия.
Диагностика
Полиартрит требуется дифференцировать от других заболеваний, так как для многих болезней представленные симптомы являются характерными. С этой целью назначается общий и биохимический анализ крови. Если у больного имеется полиартрит, то будут обнаружены следующие индикаторы развития воспалительного процесса:
- лейкоцитоз – повышенное содержание лейкоцитов;
- увеличение скорости оседания эритроцитов – СОЭ;
- повышается значение С-реактивного белка.
Требуется подтвердить диагноз, для чего проводят анализ на ревматоидный фактор. Нужно обратить внимание, что в течение одной процедуры невозможно точно определить заболевание, поэтому может потребоваться целый комплекс мероприятий. Для уточнения диагноза применяют способы инструментальной диагностики:
- Магнитно-резонансная томография.
- Рентгенографическое обследование.
Лечение
Как лечить полиартрит пальцев рук, каковы нюансы? Длительность терапии определяется врачом после диагностики и обнаружения формы, причин и особенностей болезни. Не стоит рассчитывать, что лечение быстро завершится, так как патология может поражать многие ткани. Это свидетельствует о серьезности заболевания. Тем не менее соблюдение правил и рекомендаций увеличит шансы на выздоровление.
Традиционное
Медикаментозное лечение является основной методикой устранения полиартрита. В состав терапии включаются следующие средства:
- витаминные комплексы: пивные дрожжи, рыбий жир и препараты с цинком и кальцием;
- антибактериальные средства назначаются при инфекционной природе заболевания;
- для восстановления тканей используются хондропротекторы;
- нестероидные средства противовоспалительного действия могут назначаться в качестве мазей или инъекций;
- для устранения болевого синдрома применяются кортикостероиды.
- лекарства наружного действия: компрессы, мазь, кремы;
- физиотерапия: гимнастика, магнитотерапия, массаж, диатермия, парафинотерапия, ионофорез, УФО и фонофорез.
Для наилучшего эффекта может использоваться мазь или таблеточная форма лекарств противовоспалительного воздействия. К препаратам НВПС относятся следующие средства:
- Ортофен.
- Ибупрофен.
- Нимесулид.
- Кетонал.
- Ксефокам.
- Диклофенак.
- Мовалис уколы или таблетки.
Народное
Вылечить полиартрит можно иными способами. Для этого подходят народные средства. Они помогают укрепить ткани и улучшить кровообращение. Народные средства нужно применять осторожно. Рекомендуется посетить врача и получить рекомендации.
Для протирания больных суставов используется лекарство из сока чистотела и вазелина. Потребуется 10 мл свежего сока смешать с 1 баночкой вазелина. Применять состав ежедневно, проводя обработку больной поверхности и участков вокруг нее.
Народные средства представлены еще одним лекарством. В равных частях берутся следующие компоненты:
- трава спорыша;
- плоды шиповника;
- листья березы.
Для изготовления средства нужно взять 6 ложек смеси и залить их кипятком. После этого действия необходимо нагреть препарат на водяной бане и настоять 30 минут. После настаивания добавляют 3 ложки соли. В жидкости нужно смочить бинт и приложить его к поверхности больных пальцев на 1 час. Рекомендуется закрепить пленкой.
Народные рецепты характеризуются и простыми способами лечения. Можно взять листья папоротника, подорожника или лопуха. Их сминают и прикладывают к пальцам рук, фиксируя повязкой. Наличие в таких растениях противовоспалительных компонентов позволяет уменьшить боль и избавиться от дискомфорта.
Лечение полиартрита можно осуществить с помощью ванночек. Нужно 100 г шалфея залить 1 л кипятка и настаивать в течение 1 часа. Для использования состав должен быть теплым. В средство погружают руки и удерживают их в течение 20 минут. После завершения процедуры нужно тщательно вымыть и вытереть руки.
Образ жизни и питание
Большое значение имеет образ жизни больного и соблюдение рекомендаций специалиста. Во время ремиссии можно посещать курсы лечебной гимнастики или массажа. Если имеется желание заниматься лечебной физкультурой дома, то следует посоветоваться со специалистом и вместе составить комплекс упражнений.
Массаж может проводиться несколькими способами. Первый элемент представлен аккуратным массированием больных участков круговыми движениями. Можно обхватить больную руку сверху, положив на нее другую. Осуществляется поглаживания от ногтей к ладони. В этом случае суставы не будут подвергаться воздействию. Проводить растирание больных суставов следует после получения разрешения от врача. Для выполнения этой задачи применяют вращательные движения.
Диета – важная составляющая лечения. Нужно ограничивать прием вредной продукции, что особенно касается сетей быстрого питания. Из рациона исключают солености и копченую продукцию. Такая же участь обязательно должна постигнуть сладкую и маринованную пищу. Она может приводить к обострению болезни, поэтому рисковать своим самочувствием не стоит. Аналогичная ситуация с кофе и энергетическими напитками. Необходимо избегать приема газированных напитков.
Рекомендуется включить в меню следующие компоненты:
- Молочные продукты.
- Зелень.
- Фрукты.
- Овощи.
Полезно употреблять не только овощи и фрукты, но и морепродукты, яйца, мясо птицы и гречневую крупу. Для костей полезна рыба, а среди овощей и фруктов предпочтение нужно отдать следующим продуктам:
- яблокам;
- бруснике;
- тыкве;
- луку;
- клюкве.
Важно заниматься профилактикой заболевания, что позволит избежать появления полиартрита пальцев и его симптомов. Для этого требуется своевременно устранять инфекции и посещать врача при необходимости. Нужно избегать переохлаждения рук. Правильная диета и физические нагрузки помогают избежать не только развития полиартрита, но и других заболеваний суставов.
Похожие статьи












