Лечение деформирующего артроза плечевого сустава
Многим людям среднего и старшего возраста знакома ситуация, когда при выполнении простых и привычных действий в быту вдруг возникает болевой дискомфорт в области плеча. Становится трудно разговаривать по телефону, держа долго трубку на весу, достать любимую книгу с верхней полки без посторонней помощи практически невозможно, а чтобы вбить гвоздь высоко в стене, об этом вообще не стоит думать.
При обращении к врачу-ревматологу или участковому терапевту с жалобами на боль в плечевом суставе консультирующий специалист ставит неутешительный и «страшный» диагноз — деформирующий артроз плечевого сустава. Лечение такого заболевания — длительное, требует терпения и дисциплины от пациента, так как комплексная терапия предусматривает не только медикаментозное лечение, но и при необходимости оперативное вмешательство.
Какие признаки, симптомы и степени развития деформирующего артроза существуют, как избавиться от боли в плечах?
Что такое деформирующий артроз, почему он возникает?
Деформирующий артроз плечевого сустава – это хроническая форма дегенеративного разрушения суставного хряща, при котором наблюдается стойкое нарушение функциональной работоспособности плечевого пояса и верхних конечностей. Заболевание суставов плечевой области широко распространен, поражает людей старше 45-50 лет.
Однако наиболее сложные патологии наблюдаются у людей старшего и пожилого возраста, когда суставные хрящи со временем изнашиваются. Без своевременного лечения процесс дегенерации суставной поверхности еще более осложняется, что приводит к инвалидности.
Признаки деформирующего артроза левого или правого плечевого суставов проявляются в остром болевом дискомфорте на фоне истончения хрящевой поверхности. Основная причина образования поверхностного разрушения сустава — солевые отложения, которые со временем деформируют и разрушают костную ткань.
В сочленяющихся суставных элементах подвижного соединения плечевой кости с лопаткой появляются грубые костные наросты, которые со временем ограничивают степень свободы движений всего плечевого механизма.
Причинно-следственные факторы проявления деформирующего артроза плечевого сочленения:
- поражение суставов инфекционным или бактериальным агентом;
- генетическая предрасположенность человека к артрологическим патологиям;
- нарушение эндокринной системы;
- результат хронического поражения костно-суставной поверхности артритом;
- мышечная слабость из-за недостаточного кровоснабжения;
- перенесенные травмы плечевого соединения;
- избыточная физическая нагрузка на плечи в течение длительного времени.
Болевая симптоматика и выбор терапии зависит от степени тяжести заболевания.
Стадии развития заболевания и их симптомы
Деформирующий артроз, при котором ограничивается свобода движений, появляется не сразу и не вдруг. Дегенерацию дистрофического разрушения суставной поверхности плечевого механизма можно разложить на три стадии.
| Клиническое состояние | Симптомы патологии | Рентгенологическая картина |
| Деформирующий артроз плечевого сустава 1 степени | При максимальной амплитуде отведения рук назад ощущается ноющая боль в плечевом регионе. Усиление болевых ощущений обостряется в ночное время | Рентгенограмма определяет на суставной впадине характерные наросты в виде ворсинок |
| Деформирующий артроз плечевого сустава 2 степени | Выраженный хруст при двигательной активности обусловлен мышечной атрофией. Болевой рефлекс различной степени интенсивности наблюдается при движении и в состоянии покоя | На рентгеновском снимке отмечается истончение хрящевой поверхности, определяется сужение межсуставной щели. На тканевой поверхности проявляются контуры костных наростов |
| Деформирующий артроз плечевого сустава 3 степени | У пациента определяется четко выраженная деформация (топографическое смещение оси сустава), при котором видны костные выступы в области плечевой кости и лопатки. Отмечаются постоянный болевой синдром, ограничение подвижности. Полное отведение и подъем руки невозможны | Суставная поверхность образована из рваных лоскутков, видны контуры омертвленных участков хряща на рыхлой поверхности суставной впадины |
Артрологическое поражение не всегда доходит до тяжелой стадии заболевания. Прогрессирование патологии может ограничиться 1 или 2 степенью, которая поддается медикаментозному, физиотерапевтическому и профилактическому лечению.
Осложняющая 3 стадия деформирующего артроза возникает при полном бездействии человека и/или его нежелании проводить лечебно-профилактические мероприятия.
Как помочь больному?
Современная медицина обладает достаточным количеством различных фармакологических средств лечения и прочих методов избавления от клинической симптоматики заболеваний 1-2 степени. Лечение деформирующего артроза плечевого сустава основано на курсе терапевтического медикаментозного реагирования, который обезболит и устранит воспалительный процесс посредством лекарственных препаратов.
Официальная медицина помогает лишь устранить симптоматический фактор. Полностью восстановить прочность и прежнюю эластичность суставных хрящей невозможно.
Терапия плечевого артроза 1 степени
Лечение и профилактика деформирующего артроза плечевого сустава 1 степени – это наиболее легкий вариант терапевтической деятельности. В схему медикаментозного лечения включают препараты обезболивающего, противовоспалительного действия, восстанавливающие потерянные двигательные функции сустава.
Важно соблюдение жесткой диеты, ограничивающей употребление жирной, соленой, копченой, маринованной пищи, как и физиопроцедуры для восстановления двигательной активности, гимнастические упражнения и специальный массаж, точечно воздействующий на проблемные места.
Натуральным строительным материалом для восстановления хрящевой поверхности является коллаген – фибриллярный белок, участвующий в укреплении соединительных тканей (дермы, связочно-сухожильного аппарата, мышц и так далее).
Благодаря этому натуральному компоненту удается поддерживать прочностные характеристики и эластичность костно-суставной структуры.
Некоторые фармацевтические компании, предлагающие препараты с активным содержанием свободных аминокислот гидролизата коллагена, имеют сомнительную репутацию, так как их состав содержит частично переработанные экстракты суставных тканей представителей морской фауны.
Такие фармакологические средства лечения не содержат необходимого для полноценного жизнеобеспечения суставов количества аминокислот L-глютамина, так как при термической переработке в промышленных масштабах они полностью утрачивают свои целебные свойства.
Надежнее и полезнее для суставов будут свежие морепродукты, в которых коллаген содержится в натуральном виде:
- креветка;
- морской краб;
- омар;
- морской лук, капуста;
- треска, камбала, минтай.
Обеспечить организм природным компонентом можно не только морепродуктами. Внимания заслуживают такие продукты:
- говядина, в которой коллагена содержится 2,6 г на 100 г продукта;
- индейка – 2,4 г/100 г;
- свинина – 2,1 г/100 г;
- курица – 0,7 г/100 г.
Чтобы поддерживать в организме достаточное количество коллагена, необходимо как можно чаще употреблять продукты с желатином.
Снять воспаление, на некоторое время уменьшить болезненность сочленений помогут анальгетики: для наружного применения — в виде мазей и гелей, а для внутреннего – инъекционные растворы.
В домашних условиях очень эффективны специальные упражнения с отягощением, например, заполненной водой пластиковой бутылкой:
- сидя на стуле с ровной спиной и держа в руках отягощающий предмет (1,5-2 кг), необходимо производить амплитудные движения вперед/назад, стараясь не сгибать руку в локте. Достаточно 10-12 ежедневных гимнастических повторов;
- опираясь коленом на стул, изгибаем слегка спину. С отягощающим предметом в руках начинаем расслабленные маятниковые движения прямой рукой вправо/влево. Упражнение выполняется по 5-10 раз в одну и другую стороны;
- лежа на полу, необходимо расположить бутылку выше лопаток. Плавными медленными движениями начинать раскатывать ее, двигая плечами вверх-вниз.
Домашние упражнения рекомендуется выполнять не спеша, но только при полном отсутствии обострения артроза.
Наравне с традиционным лечением по согласованию с лечащим врачом можно проводить домашнюю терапию при помощи народных средств лечения:
- компресс из березовых листьев (50 г) и разбавленного спирта (100 мл) окажет противовоспалительное, согревающее действие для ноющего плеча;
- ванны из морской соли улучшат обмен веществ, активизируют мышечное кровообращение, снимают на некоторое время симптоматическое воспаление плечевого сустава. На 100 л воды комфортной температуры необходимо 3-3,5 кг соли;
- согревающий эффект больным суставам плеча окажет камфорное масло, которое наносится на пораженную область, сверху покрывается пищевой пленкой и теплой тканью. Лечебная процедура выполняется перед сном.
Перед началом процедур домашнего лечения необходим разогревающий массаж больного места. Следует учитывать аллергическую реакцию на лечебные компоненты.
После каждого курса лечения (7-10 дней) обязательно обращение к врачу.
Медицинская помощь при плечевом артрозе 2 степени
Так как клиническая симптоматика при данном виде патологии – это постоянно ноющая боль, хруст, щелчки в плечевом соединении, то целесообразно начинать лечение с медикаментозной терапии. Никакая гимнастика, массаж или физиотерапия на этой патологической стадии не помогут.
Восстановить необходимую амплитуду движений, суставную подвижность можно при помощи нестероидных противовоспалительных комбинаций, обезболивающих, противоревматических препаратов:
Амелотекс® – нестероидная противовоспалительная лекарственная форма, обладающая ферментативной активностью в биосинтезе воспалительной области. Фармакологическое средство оказывает жаропонижающее, противоревматическое действие. Лекарственный препарат предназначен для симптоматического болевого устранения при остеоартрозах, ревматоидном артрите, воспалительных процессах заболеваний суставов, сопровождающихся дегенеративным нарушением. Препарат не рекомендуется людям с повышенной чувствительностью к активному веществу — мелоксикаму, беременным женщинам, людям с хроническими патологиями желудочно-кишечного тракта, мочеполовой системы;

- Ибуклин® – препарат смешанного действия, с активными действующими компонентами Ибупрофеном и Парацетамолом. Лекарственное средство нестероидного противовоспалительного действия обладает жаропонижающей, анальгезирующей активностью. Рекомендуется для лечения суставных болей, посттравматических синдромов, дегенеративных заболеваний опорно-двигательной системы. Не рекомендуется пациентам с язвенным обострением, желудочно-кишечным кровотечением, прогрессирующей почечной и печеночной патологиями, людям с системными заболеваниями крови;

- Кетодексал® – фармакологический препарат, предназначенный для внутреннего внутривенного и мышечного введения, обладающий обезболивающим действием. Анальгезирующая активность наступает после 30-40 минут и действует 5-7 часов. Рекомендуется для снижения болевой активности при острых или хронических патологиях опорной системы. Есть противопоказания: почечная/печеночная недостаточность, язвенная болезнь, проблемное состояние сердечно-сосудистой системы.

Эти средства представлены в ознакомительных целях. Решение о назначении лекарственных препаратов принимает только лечащий врач. Лишь после устранения основного болевого симптома можно начинать лечение физиотерапевтическим воздействием, массажем, средствами народной медицины.
Хирургическое лечение плечевого артроза 3 степени
Тяжелая суставная патология плечевого соединения не поддается традиционному медикаментозному лечению. Полную неподвижность суставным сегментам опорно-двигательной системы обеспечивают крупные костные разрастания, мышечная атрофия, деформационные состояния тканевой структуры плечевого сочленения.
В медицине практикуется артроскопия плечевого сустава — малоинвазивный метод хирургического вмешательства. Сущность хирургической манипуляции заключается в доставке в суставную полость ирригационной жидкости для размежевания суставов.
Благодаря такому способу лечения спустя некоторое время человек ощущает значительное симптоматическое облегчение. Больные суставы на некоторое время приобретают определенную степень подвижности. Однако единственно отрицательный момент – это необходимость повторного хирургического прокола в случае рецидива.
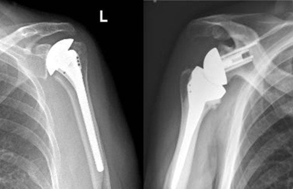
Вернуться к активной и привычной жизни поможет более эффективный способ хирургического воздействия при деформирующем артрозе плечевого сустава. Эндопротезирование – это сравнительно молодой вид оперативной коррекции, который позволяет заменить атрофированный больной сустав на его искусственный аналог.
Эндопротезы — цементные и бесцементные — различаются способом крепления к кости. В зависимости от заменяемых частей сустава различают два вида протеза:
- гемиартропластика, когда заменяется только головка плечевой кости;
- тотальный протез, когда необходима полная замена плечевого сустава.
Профилактика заболеваний
В народе говорят, что артрит и артроз плечевого сустава – это заболевание штангистов и грузчиков. Исходя из народной мудрости, легко предположить, что лечебной профилактикой ревматических и артрологических заболеваний плечевого пояса станет ограничение тяжелого физического труда, поднятия и переноса тяжестей.
Максимально щадящий режим особенно важен в старшем и пожилом возрасте, когда дегенеративно-дистрофические преобразования суставов вступают в активную фазу.
Обязательные условия обеспечения здоровья суставов:
- температурный комфорт организма;
- соблюдение санитарной и личной гигиены;
- ежедневная профилактика патологий суставов в виде несложных разминочных упражнений;
- качественное, полноценное питание с употреблением минералов и витаминных комплексов;
- обязательное ежегодное профилактическое посещение участкового врача, особенно актуально для пожилых людей после 65-70 лет.
Берегите себя и будьте всегда здоровы!
Похожие статьи






